PHI LỘ
Nhân một trường hợp một bệnh nhân đến khám vì biến dạng ngón chân bunion.
- Từ đồng nghĩa: Ngón cái vẹo ngoài (Hallux valgus)
- Mã ICD-10
- M20.1: Biến dạng quẹo ngón chân cái ra ngoài, Hallux valgus (mắc phải).
(Từ quẹo này là của cục khám chữa bệnh)
- M20.1: Biến dạng quẹo ngón chân cái ra ngoài, Hallux valgus (mắc phải).
ĐỊNH NGHĨA, NGUYÊN NHÂN, DỊCH TỄ
Định nghĩa
Thuật ngữ bunion bắt nguồn từ từ bunion trong tiếng Latin, có nghĩa là “củ cải”, một hình ảnh gợi ý về sự phát triển hoặc phì đại rõ ràng xung quanh khớp bàn ngón chân cái. Thuật ngữ y học cho hiện tượng này là hallux valgus, nghĩa là ngón cái vẹo ngoài.
Không có thuật ngữ Latin tương tự cho ngón chân út, vì vậy một tình trạng tương tự liên quan đến khớp bàn ngón chân (MTP) út được gọi là bunionette. Nó còn được gọi là bunion của thợ may, vì tư thế ngồi bắt chéo chân, thường liên quan đến thợ may, có thể gây áp lực lên ngón chân thứ năm và có khả năng gây ra biến dạng này.
Nguyên nhân, Dịch tễ
Hallux valgus là một biến dạng phổ biến của bàn chân trước và là biến dạng phổ biến nhất của khớp bàn ngón chân cái, thường gây đau (Hình 1 và 2). Biến dạng này thường gặp ở nữ, tỷ lệ hallux valgus giữa phụ nữ và nam giới được báo cáo là 15:1.
(Giống như bunion, bunionette có mối liên quan đến những đôi giày chật và phổ biến ở phụ nữ hơn nam giới với tỷ lệ là 4:1)
Nguyên nhân của chứng vẹo ngón chân cái là do nhiều yếu tố và có thể là bên trong hoặc bên ngoài.
- Các nguyên nhân bên trong về cơ bản là do di truyền, và có liên quan đến tính di động quá mức của dãy xương đầu tiên (xương bàn ngón chân ngón cái) tại khớp nối của nó với xương chêm trong. Lỏng lẻo dây chằng (ví dụ, hội chứng Marfan, hội chứng Ehlers-Danlos) có thể dẫn đến biến dạng này, cũng như các biến đổi về hình dạng của đầu xương bàn chân (tức là đầu tròn kém ổn định hơn đầu phẳng). Một yếu tố góp phần khác là xương bàn ngón vẹo trong nguyên phát (metatarsus primus varus), nghĩa là xương bàn ngón thứ nhất vẹo trong, được cho là có liên quan đến bunion ở trẻ vị thành niên. Bàn chân bẹt (Pes planus) và chiều dài xương bàn chân thứ nhất cũng đã được đánh giá về vai trò góp phần gây ra chứng vẹo ngón chân cái, nhưng các phát hiện còn chưa rõ ràng.
- Nguyên nhân bên ngoài chính là giày dép không phù hợp, với lực ép vẹo ngoài bất thường tạo ra biến dạng. Điều này đặc biệt đáng chú ý ở những phụ nữ đi giày cao gót có hộp ngón chân hẹp.

Sinh lý bệnh
Quá trình sinh lý bệnh bắt nguồn từ cả đốt ngón gần và xương bàn chân thứ nhất.
- Ngón gần lệch ra ngoài trên đầu xương bàn chân thứ nhất, càng tăng lên do lực kéo của cơ khép ngón cái. Bao khớp bên ngoài bị co rút lại, và các cấu trúc bên trong bị suy yếu. Xương bàn chân lệch về phía trong, nhưng các xương vừng bên dưới vẫn giữ mối liên hệ với xương bàn ngón thứ hai, do đó tạo ra sự phân ly của phức hợp xương bàn chân – xương vừng.
- Khi hai quá trình này xảy ra cùng nhau, lực kéo của cơ dạng ngón cái di chuyển về phía lòng bàn chân nhiều hơn và lực kéo của gân duỗi di chuyển sang bên (ra ngoài), tương ứng gây ra hiện tượng ngón chân cái quay sấp và lệch ra ngoài nhiều hơn nữa.
- Khi đầu xương bàn chân lộ ra nhiều hơn, sẽ thấy rõ một cục nổi ở mặt trong, hay còn gọi là (búi) bunion. Có một bao hoạt dịch nằm giữa đầu xương bàn chân và da, và bao này có thể bị viêm và đau. Tùy thuộc vào mức độ xoay theo trục của xương bàn chân thứ nhất và độ quay sấp của ngón chân, dãy xương đầu tiên trở nên rối loạn chức năng, dẫn đến tăng chịu trọng lượng dồn lên các đầu xương bàn chân ở phía bên ngoài hơn (ngón 2, 3 …) và “đau xương bàn chân dịch chuyển” (transfer metatarsalgia), gây đau dưới mặt lòng bàn chân trước.
LÂM SÀNG, CHẨN ĐOÁN
Triệu chứng
Các triệu chứng biểu hiện có thể khác nhau. Bệnh nhân có thể chỉ phàn nàn về cục u ở bên trong khớp ngón chân cái, không gây đau đớn gì. Tuy nhiên, thường thì sẽ có đau và nặng hơn khi mang giày chật và giảm bớt khi đi chân trần hoặc đi giày hở ngón. Nếu bị viêm khớp nặng, bệnh nhân có thể bị đau trong tầm vận động của khớp bàn ngón (MTP) khi đi bộ. Bunion có thể trở nên đỏ và viêm khi bao hoạt dịch bị cọ xát bởi giày. Bệnh nhân sẽ khó tìm được đôi giày thoải mái. Khi ngón chân cái lệch chuyển sang vẹo ngoài nhiều hơn, nó có xu hướng chạm vào mặt trong của búp ngón chân thứ hai, gây đè ép và đau.
Khám lâm sàng
Nhìn:
- Nhìn thường thấy sự phì đại rõ ràng ở trên đầu xương bàn chân thứ nhất, thỉnh thoảng có dấu hiệu viêm (viêm bao hoạt dịch). Ngón chân cái sẽ bị lệch ra ngoài, và khi biến dạng tiến triển, ngón chân cái sẽ quay sấp (xoay theo trục). Có thể có sự lệch ra ngoài của bàn chân trước và có thể có các vết chai dưới đầu các xương bàn chân của các ngón chân nhỏ hơn còn lại.
- Các ngón chân bình búa (hammer toes), co rút lại, thường được ghi nhận là do ngón chân cái dồn chen vào giày.

Sờ
Ấn có thể phát hiện đau xương bàn chân (Metatarsalgia) ngay cả khi không có cục sẹo.
Vận động:
- Có thể có hạn chế duỗi khớp MTP ngón cái thụ động (bình thường khoảng 70 độ). Điều này có thể chứng tỏ có thoái hóa khớp MTP kèm theo.
- Khả năng vận động của ngón chân cái ở khớp chêm trong – xương bàn chân thứ nhất được đánh giá so với dãy xương thứ hai.
Thăm khám thần kinh
Khám thần kinh thường bình thường. Tùy thuộc vào tiền sử bệnh của bệnh nhân (ví dụ: bệnh tiểu đường), việc đánh giá thần kinh cơ là quan trọng để đánh giá xem có bất kỳ tình trạng mất cảm giác rung, mất khả năng phân biệt hai điểm hoặc các dấu hiệu khác của tổn thương thần kinh hay không.
Hạn chế về chức năng
Những hạn chế chủ yếu là đi bộ đường dài và đi giày có mũi hẹp hoặc giày cao gót trong thời gian dài. Khi chứng vẹo ngón chân tiến triển, viêm khớp có thể trở thành một thành phần và dẫn đến cứng khớp và đau khi hoạt động (đạp xe, đi bộ đường dài, đi bộ quãng đường ngắn hoặc thậm chí là đứng).
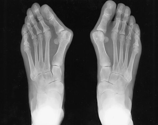
Hình ảnh học
Phim chụp X quang đơn giản chịu trọng lượng sẽ cung cấp hầu hết các thông tin cần thiết. Hình chụp trước sau (Hình 3) thể hiện góc (Hình 4) giữa xương bàn chân thứ nhất và thứ hai (góc giữa các xương bàn chân). Cũng cần đánh giá dấu hiệu thoái hóa khớp bàn ngón thứ nhất.


Chẩn đoán phân biệt
- Bệnh gout
- Ngón cái cứng (Hallux rigidus)
- Viêm khớp dạng thấp
- Nhiễm trùng
XỬ TRÍ
Điều trị bảo tồn
- Thuốc chống viêm không steroid và thuốc giảm đau có thể được sử dụng để giảm đau. Gây tê cục bộ và tiêm steroid vào khớp MTP đầu tiên có thể giúp giảm đau trong thời gian ngắn, nhưng chắc chắn không có tác dụng chữa bệnh và thường không được khuyến khích vì tiêm steroid có thể có tác dụng xấu lên mô mềm và sụn.
- Biện pháp bảo tồn quan trọng bao gồm giáo dục về giày dép – cụ thể là giày có gót thấp, đế đệm tốt, có đệm chân tốt và mũi giày rộng.
- Nhiều dụng cụ chỉnh hình có sẵn và có hiệu quả khác nhau. Chúng bao gồm các miếng đệm xốp được đặt trong khoảng kẽ ngón chân thứ nhất, các loại nẹp nhằm kéo xương bàn chân vào vị trí trung gian hơn và các dụng cụ chỉnh hình được làm riêng để chống lại sự quay sấp của bàn chân và hỗ trợ cung gan bàn chân.
- Các bài tập đề nghị bao gồm di động khớp khớp và kéo dãn bàn ngón thứ nhất, làm mạnh các cơ nội tại của bàn chân, nhằm cải thiện các triệu chứng cũng như tập trung vào luyện tập dáng đi.

Phẫu thuật
Phẫu thuật được cân nhắc au khi điều trị bảo tồn thất bại. Mục tiêu chính của phẫu thuật là để giảm đau và tạo ra một bàn chân có khả năng mang giày. Loại phẫu thuật, cho dù đó là thủ thuật mô mềm ở đầu xa kết hợp với phẫu thuật cắt bỏ xương ở đầu gần, chỉ phẫu thuật cắt xương ở đầu xa, hoặc thậm chí là làm cứng khớp MTP, tùy thuộc vào biến dạng giải phẫu hiện tại và độ phức tạp của nó. Trong những năm qua, hơn 100 quy trình phẫu thuật khác nhau đã được mô tả. Hơn nữa, không có quy trình đơn lẻ nào cung cấp đủ bằng chứng về tính ưu việt hơn bất kỳ quy trình nào khác.
Tỷ lệ biến chứng và tái phát có thể tương đối cao và khó đạt được sự hài lòng của bệnh nhân.
ESSENTIALS OF PHYSICAL MEDICINE AND REHABILITATION: MUSCULOSKELETAL DISORDERS, PAIN, AND REHABILITATION, FOURTH EDITION. Elsevier, Inc. 2019







