Một loại gãy xương gần khớp thường gây cứng khớp gối nếu không được xử trí ngoại khoa và tập PHCN phù hợp.
TỔNG QUAN GÃY MÂM CHÀY
1. Giới Thiệu
Gãy mâm chày là tình trạng tổn thương xương xảy ra ở phần đầu trên của xương chày, ngay dưới khớp gối. Vùng mâm chày đóng vai trò quan trọng trong việc chịu lực và truyền tải trọng lượng cơ thể từ xương đùi xuống xương chày và bàn chân. Gãy mâm chày có thể ảnh hưởng nghiêm trọng đến chức năng khớp gối, gây đau, mất vững khớp, và hạn chế vận động. Việc chẩn đoán, điều trị chính xác và phục hồi chức năng toàn diện là yếu tố then chốt để bệnh nhân có thể hồi phục tối đa chức năng vận động và chất lượng cuộc sống sau chấn thương.
2. Nguyên Nhân Và Cơ Chế
- Nguyên nhân:
- Tai nạn giao thông: Đây là nguyên nhân phổ biến nhất, đặc biệt là tai nạn xe máy và ô tô, do lực tác động mạnh trực tiếp vào khớp gối.
- Tai nạn thể thao: Các môn thể thao đối kháng, trượt tuyết, bóng đá, bóng rổ có nguy cơ cao gây gãy mâm chày do va chạm hoặc té ngã.
- Ngã từ trên cao: Té ngã từ độ cao đáng kể, đặc biệt khi chân tiếp đất ở tư thế duỗi gối, có thể gây gãy mâm chày.
- Loãng xương: Ở người lớn tuổi, xương yếu do loãng xương có thể dễ gãy hơn ngay cả với chấn thương nhẹ.
- Cơ chế:
- Lực nén dọc trục: Lực tác động dọc theo trục xương chày khi gối ở tư thế duỗi hoặc hơi gấp gây nén mạnh lên mâm chày, dẫn đến gãy.
- Lực xoắn vặn: Lực xoắn vặn kết hợp với lực nén có thể gây ra các kiểu gãy phức tạp hơn.
- Lực vẹo ngoài hoặc vẹo trong (Valgus/Varus force): Lực tác động từ bên ngoài hoặc bên trong khớp gối khi chân chịu lực có thể gây gãy mâm chày kèm theo tổn thương dây chằng.
3. Dịch Tễ Học
- Gãy mâm chày chiếm khoảng 1% trong tổng số các trường hợp gãy xương và khoảng 8% trong số các gãy xương chi dưới.
- Tỷ lệ mắc bệnh có xu hướng tăng lên ở người lớn tuổi do sự gia tăng tỷ lệ loãng xương và các bệnh lý nội khoa khác.
- Gãy mâm chày thường gặp ở nam giới nhiều hơn nữ giới, đặc biệt ở nhóm tuổi hoạt động mạnh (20-50 tuổi) do tai nạn giao thông và thể thao. Tuy nhiên, ở người lớn tuổi, tỷ lệ mắc bệnh ở nữ giới có thể tăng lên do loãng xương.
4. Lượng Giá Lâm Sàng
- Hỏi bệnh sử: Thu thập thông tin chi tiết về cơ chế chấn thương, hoàn cảnh xảy ra tai nạn, các bệnh lý nền (đặc biệt là loãng xương), và tiền sử điều trị các bệnh lý khác.
- Khám thực thể:
- Nhìn: Sưng nề, bầm tím vùng gối, biến dạng khớp gối (nếu có di lệch nhiều).
- Sờ: Điểm đau chói khu trú ở mâm chày, có thể sờ thấy các mảnh gãy di lệch.
- Nếu không nghĩ đến gãy xương trầm trọng, có thể đánh giá thêm vận động khớp gối và độ vững khớp gối.
- Đánh giá thần kinh mạch máu: Kiểm tra mạch mu chân, mạch chày sau, cảm giác và vận động ngón chân để phát hiện sớm các tổn thương thần kinh mạch máu (hiếm gặp nhưng nghiêm trọng).
5. Hình Ảnh Học
- X-quang:
- Tư thế thẳng và nghiêng: là cơ bản và cần thiết để chẩn đoán gãy mâm chày. Đánh giá được vị trí, đường gãy, số lượng mảnh gãy, và mức độ di lệch.
- Tư thế chếch: Có thể giúp đánh giá rõ hơn các đường gãy phức tạp và các mảnh gãy nhỏ.
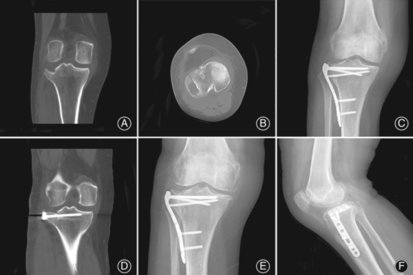
- Chụp cắt lớp vi tính (CT scan):
- Chỉ định: Trong hầu hết các trường hợp gãy mâm chày, CT scan là cần thiết để đánh giá chi tiết cấu trúc xương, đặc biệt là khi nghi ngờ gãy phức tạp, gãy lún, hoặc cần lập kế hoạch phẫu thuật.
- Ưu điểm: Hiển thị rõ ràng các mảnh gãy, mức độ lún của mâm chày, và sự xâm lấn vào khớp. Giúp phân loại gãy chính xác hơn và lựa chọn phương pháp điều trị phù hợp.
- Chụp cộng hưởng từ (MRI):
- Chỉ định: Khi nghi ngờ có tổn thương mô mềm phối hợp như rách dây chằng, tổn thương sụn chêm, hoặc tổn thương tủy xương.
- Ưu điểm: Đánh giá tốt các tổn thương mô mềm mà X-quang và CT không thể hiện rõ.

6. Phân Loại Gãy Mâm Chày
Có nhiều hệ thống phân loại gãy mâm chày, nhưng hai hệ thống phổ biến nhất là phân loại Schatzker và phân loại AO/OTA.
a) Phân loại Schatzker (1979):
Phân loại Schatzker dựa trên hình thái gãy xương trên X-quang, chia gãy mâm chày thành 6 loại chính, từ đơn giản đến phức tạp, dựa trên vị trí và đường gãy:
- Loại I: Gãy chẻ dọc mâm chày ngoài (Wedge fracture of the lateral tibial plateau). Gãy đơn giản, đường gãy dọc, thường do lực ép vẹo ngoài (valgus force) ở người trẻ xương còn chắc khỏe.
- Loại II: Gãy chẻ dọc mâm chày ngoài kèm lún (Split-depression fracture of the lateral tibial plateau), đường gãy dọc kết hợp với lún mâm chày ngoài. Thường gặp ở người lớn tuổi có xương yếu hơn.
- Loại III: Gãy lún đơn thuần mâm chày ngoài (Depression fracture of the lateral tibial plateau). Lún thuần túy mâm chày ngoài, không có đường gãy chẻ dọc rõ ràng. Gặp ở người loãng xương.
- Loại IV: Gãy mâm chày trong (Medial tibial plateau fracture). Gãy mâm chày trong, có thể chẻ dọc hoặc lún. Thường do lực ép vẹo trong (varus force) hoặc lực nén mạnh. Tiên lượng xấu hơn loại gãy mâm chày ngoài.
- Loại V: Gãy hai mâm chày (Bicondylar fracture). Gãy cả mâm chày ngoài và trong. Gãy phức tạp, thường do lực tác động mạnh.
- Loại VI: Gãy mâm chày kèm di lệch thân xương chày (Tibial plateau fracture with metaphyseal-diaphyseal dissociation). Gãy phức tạp nhất, bao gồm gãy mâm chày và phần trên thân xương chày. Thường do lực tác động năng lượng cao.

Ưu nhược điểm của phân loại Schatzker:
- Ưu điểm: Đơn giản, dễ sử dụng, dựa trên X-quang thường quy, có ý nghĩa tiên lượng và hướng dẫn điều trị. Thường được sử dụng rộng rãi trong thực hành lâm sàng.
- Nhược điểm: Dựa trên hình thái 2D trên X-quang, có thể bỏ sót các chi tiết quan trọng trên CT scan. Không đánh giá đầy đủ mức độ tổn thương dây chằng và mô mềm. Độ tin cậy giữa các người đánh giá có thể khác nhau đối với một số loại gãy.
b) Phân loại AO/OTA (Orthopaedic Trauma Association):
Phân loại AO/OTA là hệ thống phân loại toàn diện hơn, dựa trên vị trí giải phẫu, hình thái gãy, và mức độ phức tạp. Đối với gãy mâm chày, AO/OTA sử dụng mã 41-B (gãy một phần khớp) và 41-C (gãy hoàn toàn khớp). Mỗi loại lại được chia nhỏ hơn dựa trên mức độ phức tạp và số lượng mảnh gãy.
- 41-B: Gãy một phần khớp (Partial articular fractures)
- 41-B1: Gãy lún mâm chày ngoài (Pure split-depression fracture lateral plateau)
- 41-B2: Gãy lún mâm chày ngoài và chẻ dọc (Split-depression fracture lateral plateau)
- 41-B3: Gãy lún trung tâm (Depression fracture central)
- 41-C: Gãy hoàn toàn khớp (Complete articular fractures)
- 41-C1: Gãy đơn giản mâm chày và thân xương chày (Articular simple, metaphyseal simple)
- 41-C2: Gãy phức tạp mâm chày, đơn giản thân xương chày (Articular multifragmentary, metaphyseal simple)
- 41-C3: Gãy phức tạp mâm chày và thân xương chày (Articular multifragmentary, metaphyseal multifragmentary)
Ưu nhược điểm của phân loại AO/OTA:
- Ưu điểm: Toàn diện, chi tiết, bao gồm cả vị trí giải phẫu, hình thái gãy và mức độ phức tạp. Có độ tin cậy giữa các người đánh giá cao hơn so với Schatzker. Hữu ích trong nghiên cứu khoa học và trao đổi thông tin quốc tế.
- Nhược điểm: Phức tạp, khó nhớ và khó áp dụng nhanh chóng trong thực hành lâm sàng hàng ngày. Yêu cầu đánh giá CT scan để phân loại chính xác.
7. Các Phương Pháp Điều Trị Gãy Mâm Chày
Mục tiêu điều trị gãy mâm chày là khôi phục sự vững chắc của khớp gối, đảm bảo trục chi thẳng, và phục hồi tối đa chức năng vận động. Phương pháp điều trị được lựa chọn phụ thuộc vào nhiều yếu tố như loại gãy, độ di lệch, độ vững khớp, tuổi tác và tình trạng sức khỏe của bệnh nhân, cũng như kinh nghiệm của phẫu thuật viên.
a) Điều trị bảo tồn:
- Chỉ định:
- Gãy không di lệch hoặc di lệch ít (thường là gãy lún ít, Schatzker loại III với độ lún < 2mm, hoặc gãy đường hairline không di lệch).
- Bệnh nhân có chống chỉ định phẫu thuật do bệnh lý nội khoa nặng.
- Bệnh nhân không có nhu cầu vận động cao.
- Phương pháp:
- Bất động bằng bó bột hoặc nẹp: Thời gian bất động thường từ 6-8 tuần, tùy thuộc vào mức độ ổn định của gãy xương.
- Không tì lực: Tuyệt đối tránh chịu trọng lượng lên chân gãy trong thời gian bất động để xương có thể liền sẹo.
- Thuốc giảm đau, chống viêm: Sử dụng để kiểm soát đau và sưng.
- Vật lý trị liệu: Bắt đầu sớm sau khi giảm đau và sưng để duy trì tầm vận động các khớp không bị bất động (cổ chân, khớp háng), tăng cường sức mạnh cơ vùng đùi và cẳng chân.
- Ưu nhược điểm:
- Ưu điểm: Tránh được các nguy cơ phẫu thuật (nhiễm trùng, chảy máu, biến chứng gây mê), chi phí thấp hơn.
- Nhược điểm: Thời gian bất động kéo dài có thể dẫn đến cứng khớp, teo cơ, loãng xương do bất động. Nguy cơ gãy xương không liền hoặc liền lệch cao hơn so với phẫu thuật, đặc biệt với các loại gãy có xu hướng di lệch thứ phát. Kết quả chức năng có thể kém hơn so với phẫu thuật ở các trường hợp gãy di lệch.
b) Điều trị phẫu thuật:
- Chỉ định:
- Gãy di lệch (di lệch > 2mm, gãy lún > 2-4mm).
- Gãy mất vững khớp gối.
- Gãy phức tạp (Schatzker loại II, IV, V, VI; AO/OTA loại B và C).
- Gãy hở.
- Gãy ở bệnh nhân trẻ tuổi, hoạt động thể thao, hoặc có nhu cầu vận động cao.
- Các loại phẫu thuật:
- Nắn chỉnh kín và cố định ngoài (External Fixation):
- Chỉ định: Gãy hở, gãy phần mềm tổn thương nặng, gãy ở bệnh nhân có nhiều bệnh lý nội khoa. Thường được sử dụng như một biện pháp tạm thời ban đầu để ổn định gãy xương, giảm đau và sưng nề, chờ cho tình trạng phần mềm cải thiện trước khi phẫu thuật cố định trong. Cũng có thể sử dụng cố định ngoài đơn thuần trong một số trường hợp gãy ít di lệch ở bệnh nhân có nguy cơ phẫu thuật cao.
- Phương pháp: Sử dụng các đinh Schanz cắm qua da vào xương ở trên và dưới ổ gãy, sau đó kết nối với nhau bằng hệ thống thanh giằng và khớp.
- Ưu nhược điểm:
- Ưu điểm: Ít xâm lấn, ít gây tổn thương thêm cho phần mềm xung quanh ổ gãy, có thể kiểm soát và điều chỉnh độ dài chi và trục chi sau mổ.
- Nhược điểm: Bệnh nhân phải mang khung cố định ngoài cồng kềnh trong thời gian dài, nguy cơ nhiễm trùng chân đinh cao, khó khăn trong việc phục hồi chức năng sớm.
- Nắn chỉnh hở và cố định trong (Open Reduction and Internal Fixation – ORIF):
- Chỉ định: Hầu hết các trường hợp gãy mâm chày di lệch cần phẫu thuật.
- Phương pháp: bộc lộ ổ gãy, nắn chỉnh các mảnh gãy về vị trí giải phẫu ban đầu, sau đó cố định bằng nẹp vít (plate and screws) hoặc vít xốp (cannulated screws). Trong trường hợp gãy lún mâm chày, cần nâng mâm chày bị lún lên và ghép xương để phục hồi diện khớp và nâng đỡ sụn khớp.
- Các loại nẹp vít: Nẹp vít khóa (locking plate), nẹp vít tái tạo đường viền mâm chày (pre-contoured plate), nẹp vít bản rộng (buttress plate). Lựa chọn loại nẹp vít phù hợp tùy thuộc vào loại gãy và vị trí gãy.
- Ghép xương: Có thể sử dụng xương tự thân (lấy từ mào chậu) hoặc xương đồng loại để ghép vào vùng khuyết xương do lún mâm chày hoặc để tăng cường độ vững chắc của ổ gãy.
- Ưu nhược điểm:
- Ưu điểm: Nắn chỉnh giải phẫu chính xác hơn, cố định vững chắc ổ gãy, cho phép phục hồi chức năng sớm, kết quả chức năng tốt hơn so với điều trị bảo tồn và cố định ngoài.
- Nhược điểm: Phẫu thuật xâm lấn, nguy cơ nhiễm trùng vết mổ, tổn thương phần mềm, chậm liền xương, biến chứng do nẹp vít (lộ nẹp, gãy nẹp).
- Cố định bằng vít xốp đơn thuần (Cannulated Screw Fixation):
- Chỉ định: Một số trường hợp gãy chẻ dọc đơn giản mâm chày ngoài (Schatzker loại I) không lún hoặc lún rất ít, gãy không di lệch hoặc di lệch ít.
- Phương pháp: Sử dụng vít xốp đường kính lớn (6.5mm hoặc 7.3mm) để cố định các mảnh gãy. Phẫu thuật ít xâm lấn, thường mổ mở nhỏ hoặc mổ qua da dưới hướng dẫn của màn hình tăng sáng.
- Ưu nhược điểm:
- Ưu điểm: Ít xâm lấn, thời gian phẫu thuật ngắn, phục hồi sớm.
- Nhược điểm: Độ vững chắc không cao bằng nẹp vít, chỉ phù hợp với các loại gãy đơn giản, nguy cơ di lệch thứ phát nếu không cố định đủ vững.
- Nắn chỉnh kín và cố định ngoài (External Fixation):

PHỤC HỒI CHỨC NĂNG SAU PHẪU THUẬT GÃY MÂM CHÀY
Phục hồi chức năng đóng vai trò then chốt trong việc tối ưu hóa kết quả điều trị gãy mâm chày, giúp bệnh nhân giảm đau, phục hồi tầm vận động khớp gối, tăng cường sức mạnh cơ, cải thiện dáng đi, và quay trở lại các hoạt động sinh hoạt hàng ngày và công việc. Chương trình phục hồi chức năng được thiết kế cá nhân hóa dựa trên loại gãy, phương pháp phẫu thuật, giai đoạn liền xương, và tình trạng cụ thể của từng bệnh nhân.
1. Giai đoạn sớm (0-6 tuần sau phẫu thuật):
Mục tiêu chính là kiểm soát đau và sưng, bảo vệ ổ gãy, duy trì tầm vận động khớp gối và các khớp lân cận, và bắt đầu tăng cường sức mạnh cơ.
- Kiểm soát đau và sưng:
- Chườm lạnh: Thường xuyên chườm lạnh vùng gối 15-20 phút mỗi 2-3 giờ trong ngày để giảm đau và sưng.
- Nâng cao chân: Khi nghỉ ngơi, kê cao chân gãy lên gối hoặc gối cao để giảm sưng nề.
- Thuốc giảm đau: Sử dụng thuốc giảm đau theo chỉ định của bác sĩ (paracetamol, NSAIDs, opioid nếu cần).
- Băng ép: Sử dụng băng chun hoặc băng ép chuyên dụng để kiểm soát sưng cẳng bàn chân.
- Duy trì tầm vận động khớp:
- Vận động thụ động (PROM): Bắt đầu sớm sau phẫu thuật, thường ngay ngày thứ nhất hoặc thứ hai. Sử dụng máy tập CPM (Continuous Passive Motion) hoặc kỹ thuật viên vật lý trị liệu thực hiện vận động thụ động khớp gối trong giới hạn cho phép, tránh gây đau. Lưu ý di động xương bánh chè thường xuyên. Mục tiêu là đạt được tầm vận động tối thiểu 0-90 độ trong 2-3 tuần đầu.
- Vận động chủ động có trợ giúp (AAROM): Khi bệnh nhân giảm đau và kiểm soát được cơ, bắt đầu vận động chủ động có trợ giúp, sử dụng tay hoặc dụng cụ hỗ trợ để thực hiện các động tác gấp duỗi khớp gối.
- Vận động chủ động (AROM): Khi bệnh nhân kiểm soát tốt hơn và giảm đau, chuyển sang vận động chủ động hoàn toàn, tự thực hiện các động tác gấp duỗi khớp gối trong khả năng.
- Bài tập cổ chân và bàn chân: Thực hiện các bài tập vận động cổ chân (gấp duỗi, xoay trong ngoài) và bàn chân (gập duỗi ngón chân) để duy trì tầm vận động và giảm nguy cơ tắc mạch do huyết khối.
- Tăng cường sức mạnh cơ:
- Bài tập đẳng trường (Isometric exercises): Bắt đầu sớm để duy trì trương lực cơ và tránh teo cơ.
- Gồng cơ tứ đầu đùi (Quadriceps sets): Nằm hoặc ngồi duỗi chân, gồng cơ đùi, giữ trong 5-10 giây, lặp lại 10-15 lần.
- Gồng cơ gân kheo (Hamstring sets): Nằm sấp hoặc ngồi, gồng cơ gân kheo, giữ trong 5-10 giây, lặp lại 10-15 lần.
- Gồng cơ khép háng (Adductor sets): Nằm ngửa, ép hai chân vào nhau, gồng cơ khép háng, giữ trong 5-10 giây, lặp lại 10-15 lần.
- Gồng cơ dạng háng (Abductor sets): Nằm nghiêng, dạng chân lên trên, gồng cơ dạng háng, giữ trong 5-10 giây, lặp lại 10-15 lần.
- Gồng cơ cẳng chân (Calf sets): Ngồi hoặc đứng, nhón gót chân lên, gồng cơ cẳng chân, giữ trong 5-10 giây, lặp lại 10-15 lần.
- Bài tập đẳng trường (Isometric exercises): Bắt đầu sớm để duy trì trương lực cơ và tránh teo cơ.
- Tập đi với nạng, không chịu trọng lượng (Non-Weight Bearing – NWB):
- Sử dụng nạng hoặc khung tập đi để di chuyển, tuyệt đối tránh chịu trọng lượng lên chân phẫu thuật trong 6 tuần đầu hoặc cho đến khi có chỉ định của bác sĩ dựa trên đánh giá X-quang và lâm sàng về mức độ liền xương.
- Hướng dẫn bệnh nhân cách sử dụng nạng đúng cách để đảm bảo an toàn và hiệu quả.
2. Giai đoạn giữa (6-12 tuần sau phẫu thuật):
Mục tiêu là tăng cường tầm vận động, tăng sức mạnh cơ, bắt đầu tập chịu trọng lượng tăng dần, và cải thiện khả năng thăng bằng và phối hợp.
- Tăng cường tầm vận động:
- Tiếp tục vận động chủ động (AROM): Tập trung vào phục hồi hoàn toàn tầm vận động khớp gối, đạt được gấp gối tối đa và duỗi gối hết tầm.
- Bài tập kéo giãn: Thực hiện các bài tập kéo giãn cơ tứ đầu đùi, cơ gân kheo, cơ cẳng chân để cải thiện độ linh hoạt và giảm cứng khớp.
- Di động khớp (Joint mobilization): Kỹ thuật viên vật lý trị liệu có thể sử dụng các kỹ thuật di động khớp để cải thiện tầm vận động khớp gối và giảm đau.
- Tăng cường sức mạnh cơ:
- Bài tập kháng trở (Resistive exercises): Bắt đầu sử dụng dây kháng lực (Theraband), tạ nhẹ, hoặc máy tập để tăng cường sức mạnh cơ tứ đầu đùi, cơ gân kheo, cơ cẳng chân, cơ háng và cơ mông.
- Bài tập nâng thẳng chân (Straight Leg Raise – SLR): Nằm ngửa, nâng chân phẫu thuật lên duỗi thẳng, giữ trong vài giây, lặp lại nhiều lần. Có thể tăng độ khó bằng cách đeo thêm tạ cổ chân.
- Bài tập gập gối (Knee Flexion): Nằm sấp hoặc đứng, gập gối chân phẫu thuật về phía sau, có thể sử dụng dây kháng lực để tăng độ khó.
- Bài tập đạp xe tại chỗ (Stationary cycling): Tập đạp xe với lực cản nhẹ và chiều cao yên xe phù hợp để đảm bảo không gây đau khớp gối.
- Bài tập bước lên bục (Step-ups): Bước lên bục thấp bằng chân lành, sau đó từ từ bước chân phẫu thuật lên theo.
- Bài tập squat dựa tường (Wall squats): Đứng tựa lưng vào tường, từ từ hạ thấp người xuống tư thế squat đến góc gối khoảng 90 độ, giữ trong vài giây, sau đó đứng lên.
- Bài tập kháng trở (Resistive exercises): Bắt đầu sử dụng dây kháng lực (Theraband), tạ nhẹ, hoặc máy tập để tăng cường sức mạnh cơ tứ đầu đùi, cơ gân kheo, cơ cẳng chân, cơ háng và cơ mông.
- Tập chịu trọng lượng tăng tiến (Progressive Weight Bearing):
- Bắt đầu chịu trọng lượng một phần (Partial Weight Bearing – PWB) theo chỉ định của bác sĩ, thường bắt đầu với 25-50% trọng lượng cơ thể, sau đó tăng dần theo thời gian và khả năng chịu đựng của bệnh nhân.
- Có thể sử dụng cân để kiểm soát mức độ chịu trọng lượng chính xác.
- Chuyển sang chịu trọng lượng hoàn toàn (Full Weight Bearing – FWB) khi có chỉ định của bác sĩ và bệnh nhân không còn đau khi chịu trọng lượng.
- Tập đi lại trên địa hình khác nhau: Khi chịu trọng lượng hoàn toàn, tập đi trên các bề mặt khác nhau (cứng, mềm, dốc, bậc thang) để cải thiện khả năng thích ứng và thăng bằng.
- Tập thăng bằng và phối hợp:
- Bài tập đứng một chân (Single Leg Stance): Đứng một chân trên chân lành, sau đó tập đứng một chân trên chân phẫu thuật, giữ càng lâu càng tốt.
- Bài tập thăng bằng trên ván nhún (Balance board or wobble board): Tập thăng bằng trên ván nhún để cải thiện khả năng kiểm soát tư thế và phản xạ thăng bằng.
- Bài tập phối hợp: Các bài tập kết hợp vận động tay và chân, hoặc các bài tập mô phỏng các hoạt động chức năng hàng ngày (ví dụ như đi bộ kết hợp với mang vác vật nhẹ).
3. Giai đoạn muộn (sau 12 tuần):
Mục tiêu là phục hồi hoàn toàn chức năng vận động, quay trở lại hoạt động thể thao (nếu cần), và duy trì kết quả lâu dài.
- Phục hồi hoàn toàn chức năng vận động:
- Tiếp tục tăng cường sức mạnh cơ và sức bền với các bài tập kháng trở nâng cao.
- Tập luyện các động tác chức năng đặc hiệu liên quan đến công việc và hoạt động thể thao của bệnh nhân (ví dụ như chạy, nhảy, leo trèo).
- Đánh giá và điều chỉnh chương trình phục hồi chức năng liên tục để đảm bảo đạt được mục tiêu cuối cùng.
- Tập luyện thể thao (nếu cần): Đối với bệnh nhân muốn quay trở lại chơi thể thao, cần có chương trình tập luyện chuyên biệt để phục hồi sức mạnh, tốc độ, sự nhanh nhẹn, và các kỹ năng đặc thù của môn thể thao đó.
- Quay lại hoạt động hàng ngày và làm việc: Đánh giá khả năng thực hiện các hoạt động hàng ngày (sinh hoạt cá nhân, đi lại, leo cầu thang) và công việc. Đưa ra các lời khuyên và điều chỉnh môi trường làm việc nếu cần thiết để bệnh nhân có thể trở lại cuộc sống bình thường.
- Đánh giá và theo dõi lâu dài: Theo dõi định kỳ để đánh giá kết quả phục hồi chức năng, phát hiện sớm các biến chứng muộn (ví dụ như thoái hóa khớp gối), và đưa ra các biện pháp can thiệp kịp thời.
Một số Thang đo Lượng Giá:
| Thang đo | Đặc điểm chính | Ưu điểm | Nhược điểm |
| Knee Injury and Osteoarthritis Outcome Score (KOOS) | Đánh giá 5 lĩnh vực: đau, triệu chứng, hoạt động hàng ngày (ADL), thể thao/giải trí, và chất lượng cuộc sống liên quan đến khớp gối. | Toàn diện, phù hợp với bệnh nhân sau phẫu thuật | Phụ thuộc vào chủ quan bệnh nhân |
| American Knee Society Score (AKSS) | Gồm hai phần: điểm lâm sàng (đau, ROM, ổn định khớp) và điểm chức năng (khả năng đi lại, leo cầu thang). | Chi tiết về vận động khớp gối Dễ áp dụng trong thực hành lâm sàng. | Không đánh giá QoL |
| VAS, NRS | Đo mức độ đau | Nhanh chóng, dễ dùng | Chỉ tập trung vào đau |
| Lower Extremity Functional Scale (LEFS) | Bảng câu hỏi tự đánh giá với 20 mục liên quan đến khả năng thực hiện các hoạt động hàng ngày như đi bộ, leo cầu thang, hoặc mang vác vật nặng | Đơn giản, dễ sử dụng. – Theo dõi tiến triển phục hồi qua thời gian. | Không tập trung vào các yếu tố cụ thể của khớp gối hoặc tổn thương mô mềm. |
| Đo Tầm Vận Động Khớp | Đo biên độ vận động bằng thước đo góc | Chính xác về phục hồi vận động | Không đo được QoL hay cảm giác đau |
XEM THÊM: CÁC THANG ĐO LƯỢNG GIÁ HOẠT ĐỘNG CHỨC NĂNG THƯỜNG DÙNG
KẾT LUẬN
Gãy mâm chày là một tổn thương phức tạp, đòi hỏi sự phối hợp chặt chẽ giữa bác sĩ phẫu thuật, bác sĩ phục hồi chức năng, và bệnh nhân để đạt được kết quả điều trị tốt nhất. Điều trị phẫu thuật thường được chỉ định cho các trường hợp gãy di lệch, trong khi điều trị bảo tồn có thể phù hợp với các trường hợp gãy ít di lệch. Phục hồi chức năng đóng vai trò then chốt trong việc tối ưu hóa chức năng vận động và chất lượng cuộc sống sau chấn thương. Chương trình phục hồi chức năng cần được cá nhân hóa và điều chỉnh liên tục theo từng giai đoạn hồi phục của bệnh nhân. Với sự tuân thủ điều trị và tập luyện tích cực, đa số bệnh nhân gãy mâm chày có thể đạt được sự hồi phục đáng kể và quay trở lại cuộc sống sinh hoạt và làm việc bình thường.







