Đai chậu, gồm cả khớp háng có vai trò nâng đỡ trọng lượng của cơ thể trong khi cho phép vận động bằng cách gia tăng tầm vận động ở chi dưới.
Tương tự với đai vai, xương chậu phải được định hướng để đặt khớp háng vào vị trí thuận lợi cho vận động chi dưới. Do đó, sự phận động phối hợp của đai chậu và đùi ở khớp háng là cần thiết cho hoạt động khớp hiệu quả.
Đai chậu và khớp háng là một phần của một hệ thống chuỗi đóng ở đó lực từ chân đi lên qua khớp háng và xương chậu đến thân hoặc đi xuống từ thân qua xương chậu và khớp háng đến chi dưới. Đai chậu và khớp háng cũng góp phần quan trọng để giữ thăng bằng và tư thế đứng thông qua các hoạt động cơ liên tục để điều chỉnh và đảm bảo thăng bằng.
ĐAI CHẬU (PELVIC GIRDLE)
Xương
Đai chậu gồm ba xương nối với nhau bằng liên kết xơ: xương cánh chậu (ilium) ở trên, xương ngồi (ischium) ở sau dưới, và xương mu (pubis) ở trước dưới. Các xương này nối với nhau bằng sụn hyaline lúc mới sinh, nhưng dính hoàn toàn với nhau (cốt hóa) vào tuổi 20-25.
Vùng chậu là một vùng của cơ thể có sự khác biệt rõ rệt giữa hai giới. Phụ nữ thường có đai chậu nhẹ, mỏng và rộng hơn nam giới. Ở phía trước xương chậu phụ nữ loe ra sang hai bên nhiều hơn. Ở phía sau xương cùng của nữ cũng rộng hơn, tạo khoang chậu rộng hơn. Sự khác biệt về xương này có ảnh hưởng trực tiếp lên chức năng cơ ở khớp háng và xung quanh.

- Xương cùng hình chêm gồm 5 đốt sống nối với nhau.
- Xương cụt.
- Xương đùi
XEM VIDEO:
Các khớp

Khớp mu:
Hai bên phải và trái của xương chậu nối với nhau ở phía trước ở khớp mu, một khớp sụn có một đĩa sụn xơ nối hai xương mu. Khớp này được giữ vững bởi dây chằng mu trên và dưới và vận động rất hạn chế.
Khớp cùng-chậu (SI joint):
Ở phía sau, xương chậu nối với thân ở khớp cùng chậu, một khớp hoạt dịch mạnh làm vững bằng sụn xơ và dây chằng vững chắc. Mặt khớp của xương cùng hướng ra sau ngoài và khớp với xương cánh chậu. Được mô tả là khớp mặt phẳng, tuy nhiên mặt khớp rất không đều, giúp khóa hai mặt khớp với nhau.
Có ba nhóm dây chằng nâng đỡ khớp cùng-chậu phải và trái, và chúng là những dây chằng mạnh nhất trong cơ thể.


Góc thắt lưng-cùng: Góc được xác định bằng vẽ một đường thẳng ngang và một đường dọc theo nền xương cùng. Góc sẽ tăng khi xương chậu nghiêng ra trước và giảm khi xương chậu nghiêng ra sau. Góc tối ưu khoảng 30 độ. Nếu quá ưỡn, sẽ tăng lực xé giữa L5 và S1.
Vận động của xương chậu
Vận động ở khớp cùng chậu
Vận động ở khớp cùng chậu thay đổi đáng kể giữa hai giới và các cá nhân khác nhau. Nam có dây chằng cùng chậu dày và chắc hơn, khớp cùng chậu ít vận động (thực tế 3/10 nam dính khớp cùng chậu). Nữ có khớp cùng chậu di động hơn vì dây chằng lỏng hơn và có thể tăng lên trong chu kỳ kinh nguyệt, và nhất là trong thời gian mang thai.
Vận động ở khớp cùng chậu có thể được mô tả bằng vận động của xương cùng (và xương cùng di chuyển cùng với vận động của thân mình), bao gồm:
- gấp cùng (còn gọi là nutation)- xảy ra khi gấp thân hoặc đùi;
- duỗi cùng (counternutation)- xảy ra khi duỗi thân hoặc đùi; xoay cùng sang hai bên.

Vận động chung của đai chậu
Ngoài các vận động giữa xương cùng và xương cánh chậu, còn có vận động chung của đai chậu. Những vận động này đi kèm và do kết quả của vận động của cột sống thắt lưng và đùi. Vận động của xương chậu được mô tả theo xương cánh chậu, đặc biệt là gai chậu trước trên và trước dưới.

- Nghiêng chậu ra trước/ra sau– mặt phẳng trước -sau: gai chậu trước trên (GCTT) ra trước, ra sau
- Nghiêng chậu (xuống) sang bên phải/trái– mặt phẳng trán. Xương chậu có thể nghiêng sang bên khi chịu trọng lượng hoặc bất cứ vận động sang bên nào của thân hoặc đùi. Khi đứng lên chân phải, xương chậu phải nâng lên, khớp háng khép và xương chậu trái hạ xuống (nghiêng), khớp háng dạng. Vận động này được kiểm soát bởi các cơ, đặc biệt là cơ mông nhỡ để giảm mức độ nghiêng xuống của xương chậu.
- Xoay chậu sang phải/trái (mặt phẳng cắt ngang) khi vận động một chân. Khi chân phải đánh ra trước khi đi, chạy, đá, xương chậu xoay sang trái.


KHỚP HÁNG
Xương
Ổ cối: là trung tâm của xương chậu.
Xương đùi:

- Góc nghiêng: Góc giữa cổ xương đùi và thân xương đùi ở mặt phẳng trán được gọi là góc nghiêng (angle of inclination), xấp xỉ 125°. Góc này lớn hơn lúc mới sinh (hơn 120-125°) và nhỏ dần khi phát triển và chuyển sang tư thế đứng. Tầm góc nghiêng thường từ 90° đến 135°.
- Góc nghiêng > 125° được gọi là háng vẹo ngoài (coxa valga), làm cho chi dài ra, giảm hiệu quả của cơ dạng háng, tăng lực tải lên chỏm xương đùi, giảm stress lên cổ xương đùi.
- Ngược lại, háng vẹo trong (coxa vara) khi góc nghiêng < 125°, làm ngắn chi, tăng hiệu quả cơ dạng háng, giảm tải lên chỏm xương đùi và tăng stress lên cổ xương đùi. Tỷ lệ coxa vara cao hơn ở nữ vận động viên so với nam.
![]() ![]() |
| Hình: Góc nghiêng bình thường và coxa vara, coxa valga. |
- Góc đưa ra trước (góc vặn): Góc của cổ xương đùi ở mặt phẳng ngang được gọi là góc đưa ra trước (anteversion). Bình thường cổ xương đùi xoay ra trước 12° đến 14° so với xương đùi.
Hình: góc đưa ra trước bình thường. Nếu góc này tăng (B) sẽ gây dáng đi ngón chân đưa vào trong. Nếu góc giảm (C), cổ xương đùi đưa ra sau, làm dáng đi ngón chân đưa ra ngoài.

Khớp
- Là khớp ổ cầu gồm khớp giữa ổ cối của xương chậu và chỏm xương đùi, với ba độ tự do, có đặc điểm là rất vững chắc nhưng vận động.
Diện khớp:
- Ổ cối hướng ra trước, ra ngoài và xuống dưới. Ổ cối được lót bởi sụn viền ổ cối mà dày nhất ở phần đỉnh của ổ, làm ổ sâu thêm và tăng tính vững chắc.
- Chỏm xương đùi hình cầu nằm khít trong khoang ổ cối. Khoảng 70% chỏm xương đùi tiếp khớp với ổ cối so với 20-25% chỏm xương cánh tay tiếp xúc với khoang ổ chảo.

Dây chằng và bao khớp:
- Bao quanh khớp háng là bao khớp lỏng nhưng mạnh, được củng cố bởi các dây chằng và gân của cơ thắt lưng (psoas).
- Dây chằng: ba dây chằng hòa lẫn vào bao khớp gồm
- Dây chằng (cánh) chậu-đùi, hay dây chằng chữ Y, là một dây chằng mạnh và nâng đỡ phía trước khớp háng khi đứng. Dây chằng này có thể nâng đỡ phần lớn trọng lượng cơ thể và đóng một vai trò quan trọng trong tư thế đứng. Dây chằng này cũng hạn chế quá duỗi khớp háng.
- Dây chằng mu đùi ở phía trước khớp háng, chủ yếu kháng lại động tác dạng, một phần với duỗi và xoay ngoài.
- Dây chằng ngồi đùi, ở bao khớp sau, kháng lại động tác duỗi, khép và xoay trong. Không có dây chằng quanh khớp háng kháng lại động tác gấp, do đó gấp háng có tầm vận động lớn nhất.
Các dây chằng và cơ nâng đỡ mọi hướng và giữ vững khớp háng. Ở tư thế gấp 90° với một ít xoay và dạng, chỏm xương đùi và ổ cối tương khớp tối đa. Đây là tư thế vững và thoải mái và phổ biến ở tư thế ngồi. Một tư thế không vững của khớp háng là gấp và khép, như khi ngồi bắt chéo chân.

Vận động tại khớp háng
Khớp háng cho phép đùi di chuyển theo một tầm khá rộng theo ba hướng.
Gấp háng- Duỗi háng
- Gấp háng từ 120° đến 125° và duỗi 10° đến 15° ở mặt phẳng đứng dọc.
- Gấp háng bị giới hạn chủ yếu bởi mô mềm và có thể tăng ở cuối tầm nếu xương chậu nghiêng sau. Gấp háng dễ dàng với gối gập nhưng bị hạn chế nhiều bởi cơ hamstring nếu gấp ở tư thế duỗi gối.
- Duỗi háng bị hạn chế bởi bao khớp phần trước, các cơ gấp háng và dây chằng chậu đùi. Nghiêng chậu ra trước góp phần vào tầm vận động duỗi háng.

Dạng háng – Khép háng
Dạng háng xấp xỉ 30° đến 45° và khép 15° đến 30°. Dạng bị hạn chế bởi các cơ khép và khép bị hạn chế bởi mạc căng cân đùi.
Xoay trong- Xoay ngoài háng
Xoay trong từ 30° đến 50° và xoay ngoài từ 30° đến 50°. Gấp đùi có thể tăng tầm xoay trong và xoay ngoài.

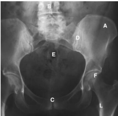
LIÊN HỆ X QUANG


Ghi chú viết tắt:
- A = Iliac crest; mào chậu
- B = Lumbar spine; cột sống thắt lưng
- C = Symphysis pubis; khớp mu
- D = Sacroiliac joint, khớp cùng-chậu
- E = Sacrum; xương cùng
- F = Femoral head; chỏm xương đùi
- G = Greater trochanter of femur; mấu chuyển lớn xương đùi
- I = Ischium; ụ ngồi
- L = Lesser trochanter of femur; mấu chuyển bé xương đùi
Xem tiếp Phần 2: Giải phẫu chức năng vùng chậu - hông: Cơ và Hoạt động cơ
XEM THÊM VIDDEO:











