GIẢI PHẪU VÀ SINH LÝ BÌNH THƯỜNG CỦA KHOANG MÀNG PHỔI
Giải phẫu bình thường
- Màng phổi thành lót ở bên trong lồng ngực, và màng phổi tạng dính vào bề mặt nhu mô phổi, bao gồm cả mặt tiếp giáp của nó với trung thất và cơ hoành.
- Các nếp gấp của màng phổi tạng tạo thành các rãnh liên thuỳ — rãnh liên thuỳ lớn (chéo) và bé (ngang) ở bên phải và rãnh liên thùy lớn ở bên trái.
- Khoảng trống giữa màng phổi tạng và màng phổi thành (tức là khoang màng phổi) bình thường chỉ chứa khoảng 2 đến 5 ml dịch màng phổi.
Sinh lý bình thường
- Bình thường, có vài trăm ml dịch màng phổi được tạo ra và tái hấp thu mỗi ngày.
- Dịch được sản xuất chủ yếu ở màng phổi thành từ giường mao mạch phổi và được tái hấp thu ở màng phổi tạng và cả bằng dẫn lưu bạch huyết qua màng phổi thành.
XEM THÊM: TỰ HỌC CHẨN ĐOÁN HÌNH ẢNH: NHẬN BIẾT HÌNH ẢNH GIẢI PHẪU PHỔI BÌNH THƯỜNG
CÁC PHƯƠNG THỨC HÌNH ẢNH HỌC PHÁT HIỆN TRÀN DỊCH MÀNG PHỔI
- Chụp X quang thông thường thường là bước đầu tiên để phát hiện tràn dịch màng phổi.
- Các phương thức khác được sử dụng bao gồm chụp cắt lớp vi tính (CT) và siêu âm. CT và siêu âm đều nhạy trong phát hiện một lượng nhỏ chất lỏng.
- CT là tốt nhất để đánh giá bệnh nền gây tràn dịch hoặc mờ mờ hoàn toàn nửa phổi do tràn dịch.
- Siêu âm đặc biệt hữu ích trong việc hướng dẫn can thiệp để lấy bỏ dịch màng phổi. Các biểu hiện cơ bản của tràn dịch màng phổi là như nhau, bất kể phương thức nào được sử dụng.
MỘT SỐ ĐẶC ĐIỂM CỦA TRÀN DỊCH MÀNG PHỔI
Các Nguyên Nhân Gây Tràn Dịch Màng Phổi
- Chất dịch tích tụ trong khoang màng phổi khi tốc độ hình thành chất dịch vượt quá tốc độ tái hấp thu.
- Tốc độ hình thành có thể tăng lên do:
- Tăng áp lực thủy tĩnh, như suy tim trái.
- Giảm áp suất thẩm thấu chất keo, như trong giảm protein máu.
- Tăng tính thấm của mao mạch, như có thể xảy ra trong sự phá vỡ màng mao mạch do độc tính trong viêm phổi hoặc phản ứng quá mẫn.
- Tốc độ tái hấp thu có thể giảm do:
- Giảm hấp thu chất dịch của bạch huyết, do khối u chẹn hệ bạch huyết hoặc do tăng áp lực tĩnh mạch làm giảm tốc độ vận chuyển chất dịch qua ống ngực.
- Giảm áp lực trong khoang màng phổi, như trong xẹp phổi do tắc nghẽn phế quản.
- Tốc độ hình thành có thể tăng lên do:
- Tràn dịch màng phổi cũng có thể xuất hiện khi có sự vận chuyển của dịch màng bụng từ khoang màng bụng qua cơ hoành hoặc qua hệ thống bạch huyết từ một bệnh lý dưới cơ hoành (Bảng 1).
BẢNG 1: MỘT SỐ NGUYÊN NHÂN GÂY RA TRÀN DỊCH MÀNG PHỔI
| Nguyên nhân | Ví dụ |
|---|---|
| Tạo chất dịch quá mức | Suy tim sung huyết Giảm protein máu Tràn dịch cận viêm phổi Phản ứng quá mẫn |
| Giảm tái hấp thu chất dịch | Chẹn dòng bạch huyết do khối u Tăng áp lực tĩnh mạch trung tâm Giảm áp lực trong màng phổi |
| Vận chuyển từ khoang màng bụng | Báng bụng |
Các loại tràn dịch màng phổi
Tràn dịch màng phổi được chia thành dịch thấm ( transudates) hoặc dịch tiết (exudates) tùy thuộc vào hàm lượng protein và nồng độ lactate dehydrogenase của dịch.
- Dịch thấm có xu hướng hình thành khi tăng áp suất thủy tĩnh ở mao mạch hoặc giảm áp suất thẩm thấu. Nguyên nhân bao gồm:
- Suy tim sung huyết, chủ yếu là suy tim trái, là nguyên nhân phổ biến nhất của tràn dịch màng phổi dịch thấm.
- Giảm albumin máu
- Xơ gan
- Hội chứng thận hư
- Dịch tiết thường là kết quả của quá trình viêm.
- Nguyên nhân thường gặp nhất của tràn dịch màng phổi dịch tiết là bệnh lý ác tính.
- Mủ màng phổi là dịch tiết có chứa mủ.
- Trong dịch máu màng phổi, chất dịch có hematocrit> 50% hematocrit máu.
- Tràn dịch nhũ trấp (Chylothorax) có chứa nhiều chất béo trung tính hoặc cholesterol.
Đặc Tính Một Bên/Hai Bên Của Tràn Dịch Màng Phổi
- Một số bệnh có xu hướng gây ra tràn dịch màng phổi ở một bên ngực hoặc bên kia, hoặc ở cả hai.
- Các bệnh thường gây ra tràn dịch hai bên:
- Suy tim sung huyết thường tạo ra một lượng chất dịch như nhau trong mỗi nửa ngực. Nếu lượng dịch khác nhau rõ rệt ở hai bên phổi, hãy nghi ngờ có tràn dịch cận viêm phổi hoặc bệnh lý ác tính ở bên có lượng dịch lớn hơn.
- Lupus ban đỏ thường tạo tràn dịch hai bên nhưng khi một bên thì thường ở bên trái.
- Các bệnh có thể gây tràn dịch ở cả hai bên (nhưng thường là một bên) là:
- Tràn dịch do lao và tràn dịch xuất tiết khác liên quan đến các tác nhân truyền nhiễm, bao gồm vi rút
- Bệnh huyết khối tắc mạch phổi
- Chấn thương
- Các bệnh thường gây tràn dịch bên trái là:
- Viêm tụy
- Tắc nghẽn ống ngực đầu xa
- Hội chứng Dressler (Box 1, Hình 1)
- Các bệnh thường gây tràn dịch bên phải là:
- Bệnh vùng bụng liên quan đến gan hoặc buồng trứng (một số khối u buồng trứng có thể kết hợp với tràn dịch màng phổi bên phải và báng bụng [hội chứng Meigs])
- Viêm khớp dạng thấp, có thể gây tràn dịch mà không thay đổi trong nhiều năm
- Tắc nghẽn ống ngực đầu gần
| Box 1 HỘI CHỨNG DRESSLER |
|---|
| Còn được gọi là hội chứng sau phẫu thuật cắt màng tim / sau nhồi máu cơ tim. Thường xảy ra từ 2 đến 3 tuần sau nhồi máu cơ tim xuyên thành, gây tràn dịch màng phổi trái, tràn dịch màng ngoài tim và bệnh vùng khoảng chứa khí từng đám ở đáy phổi trái. Kèm với đau ngực và sốt, nó thường đáp ứng với aspirin hoặc steroid liều cao. |

NHẬN BIẾT CÁC DẠNG BIỂU HIỆN KHÁC NHAU CỦA TRÀN DỊCH MÀNG PHỔI
- Các lực ảnh hưởng đến sự xuất hiện của dịch màng phổi trên phim chụp X quang phổi phụ thuộc vào tư thế của bệnh nhân, trọng lực, lượng dịch và mức độ đàn hồi của phổi.
- Các mô tả tiếp theo, trừ khi có ý khác, giả sử rằng bệnh nhân đang ở tư thế thẳng.
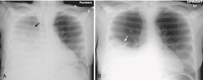
Tràn dịch dưới phổi (Subpulmonic Effusion)
- Hầu hết các tràn dịch màng phổi đầu tiên tập trung ở một vị trí bên dưới phổi giữa màng phổi thành lót bề mặt trên của cơ hoành và màng phổi tạng dưới thùy dưới.
- Nếu tình trạng tràn dịch vẫn hoàn toàn ở dưới phổi, có thể khó phát hiện trên phim chụp X quang thông thường, ngoại trừ những thay đổi đường viền ở nơi dường như là cơ hoành nhưng trên thực tế là ở giao tiếp dịch – phổi bên dưới phổi.
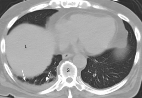
- Các hình thức xuất hiện khác nhau của tràn dịch dưới phổi được tóm tắt trong Bảng 2 (Hình 2 và Hình 3).
- Dưới phổi không có nghĩa là khu trú.
- Hầu hết các tràn dịch dưới phổi di chuyển tự do khi bệnh nhân thay đổi tư thế.
BẢNG 2 NHẬN BIẾT MỘT TRÀN DỊCH DƯỚI PHỔI


.

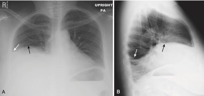
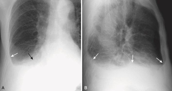
Mờ các góc sườn hoành (Blunting of the Costophrenic Angles)
Khi tràn dịch dưới phổi phát triển về kích thước, trước tiên nó sẽ lấp đầy và do đó làm mờ rãnh sườn hoành sau, có thể nhìn thấy ở phim phổi nghiêng. Điều này xảy ra với khoảng 75 mL chất dịch (Hình 4).

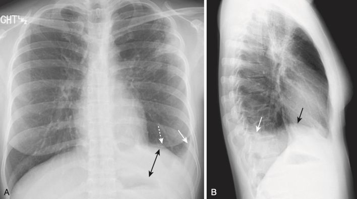
- Khi tràn dịch đạt đến kích thước khoảng 300 mL, nó làm mờ góc sườn hoành bên, có thể nhìn thấy trên phim X quang ngực thẳng (Hình 5).
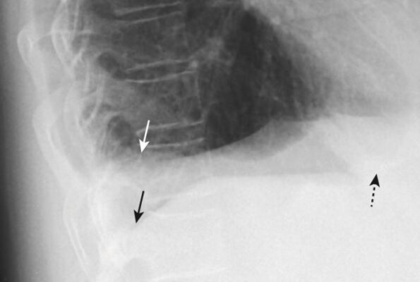
- Cạm bẫy: Dày màng phổi do xơ hóa cũng có thể gây mờ góc sườn hoành.
- Giải pháp: Sẹo (ví dụ, do nhiễm trùng, phẫu thuật hoặc máu trong khoang màng phổi trước đó) đôi khi tạo ra hình dạng mờ kiểu dốc trượt tuyết đặc trưng, không giống như hình dạng như sụn chêm (meniscoid) của tràn dịch màng phổi (Hình 6).
- Dày màng phổi sẽ không thay đổi vị trí khi bệnh nhân thay đổi tư thế, khác với hầu hết các trường hợp tràn dịch.


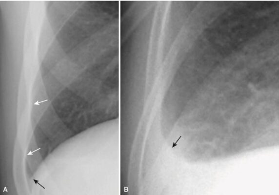
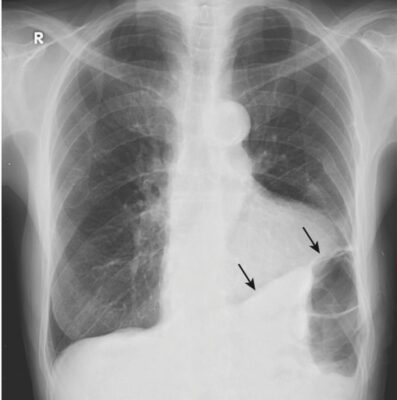
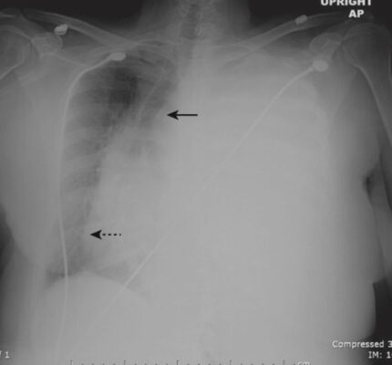
Dấu hiệu sụn chêm (The Meniscus Sign)
- Do sự co lại đàn hồi tự nhiên của phổi, dịch màng phổi dường như dâng cao hơn dọc theo bờ bên của lồng ngực so với ở giữa ở phim phổi thẳng. Điều này tạo ra hình dạng sụn chêm (khum) đặc trưng – nghĩa là mức dịch cao hơn ở hai bên và thấp hơn ở giữa (đường cong Damoiseau).
- Ở phim nghiêng, dịch tạo hình dạng chữ U, cao như nhau ở cả phía trước và phía sau (Hình 7). Xác định đậm độ phổi bất thường với hình dạng khum gợi ý nhiều đến tràn dịch màng phổi.

- Ảnh hưởng của tư thế bệnh nhân đến hình ảnh của dịch màng phổi:
- Khi bệnh nhân ở tư thế dựng thẳng, dịch màng phổi chuyển xuống đáy khoang ngực do tác dụng của trọng lực. Khi bệnh nhân ở tư thế nằm ngửa vị trí, dịch tràn di chuyển tự do sẽ tạo lớp dọc theo khoang sau màng phổi và tạo ra một hình ảnh “sương mù” đồng nhất trên toàn bộ nửa ngực khi quan sát từ phía trước (Hình 8).
- Khi bệnh nhân nằm dốc người (tư thế Fowler), dịch màng phổi sẽ tụ lại tạo thành một đậm độ hình tam giác có độ dày khác nhau ở đáy phổi với đỉnh hoặc phần mỏng nhất của tam giác có độ cao khác nhau nhau trong lồng ngực, tùy thuộc vào góc bệnh nhân nằm nâng người và lượng dịch.
- Cạm bẫy: Tùy thuộc vào mức độ góc nghiêng của bệnh nhân, phần trên hai phế trường có thể sáng (đen hơn) nếu bệnh nhân nằm dựng thẳng và chất dịch lắng xuống đáy ngực hoặc tối hơn (trắng hơn) khi bệnh nhân nằm ngả người nhiều hơn và tràn dịch bắt đầu tạo lớp ở phía sau. Sự thay đổi này có thể xảy ra với cùng một thể tích dịch màng phổi do tư thế của bệnh nhân.
- Giải pháp: Tốt nhất là phim chụp X quang phổi di động được chụp với bệnh nhân ở cùng một tư thế.

- Phim phổi ở tư thế nằm nghiêng
- Tác động của đặt tư thế bệnh nhân lên vị trí của dịch màng phổi có thể được sử dụng để tạo thuận lợi cho việc chẩn đoán bằng cách cho bệnh nhân nằm nghiêng về bên chứa dịch trong khi chụp chiếu lồng ngực bằng cách sử dụng chùm tia X hướng theo chiều ngang . Nếu bệnh nhân nằm nghiêng về bên phải, phim được gọi là phim phổi nằm nghiêng phải, và nếu bệnh nhân nằm nghiêng về bên trái, phim được gọi là phim phổi nằm nghiêng trái.
- Các phim ở tư thế nằm (nghiêng) có thể được sử dụng để:
- Khẳng định sự hiện diện của tràn dịch màng phổi.
- Xác định xem dịch màng phổi có chảy tự do trong khoang màng phổi hay không, một yếu tố quan trọng cần biết trước khi dẫn lưu dịch màng phổi.
- “Khám phá” một phần phổi bên dưới bị che lấp bởi tràn dịch.
- Nếu tràn dịch màng phổi có thể chảy tự do trong khoang màng phổi, dịch sẽ tạo ra một vùng hình dải đặc trưng với tăng đậm độ dọc theo bờ trong của lồng ngực ở bên thấp hơn (nghĩa là bên phải với phim nằm nghiêng phải và bên trái với phim nằm nghiêng trái). (Hình 9).
- Có thể dịch màng phổi không chảy tự do trong khoang màng phổi nếu có các kết dính cản trở sự lưu thông tự do của dịch (xem “Tràn dịch khu trú”).
- Các hình ảnh chụp ngực ở tư thế nằm (decubitus views) có thể phát hiện các tràn dịch lượng ít từ 15 đến 20 mL, nhưng chụp CT ngực đã thay thế phần lớn chụp tư thế nằm trong phát hiện một lượng rất nhỏ dịch màng phổi (Hình 10).
- Cạm bẫy: Không chỉ định phim chụp nằm nghiêng nếu toàn bộ nửa ngực bị mờ, vì không thể có sự thay đổi vị trí của chất dịch và phổi nằm dưới sẽ không còn nhìn thấy được ở tư thế nằm so với khi bệnh nhân dựng thẳng. Chụp CT ngực là một phương tiện tốt hơn để đánh giá phổi bên dưới nếu có mờ nửa ngực.


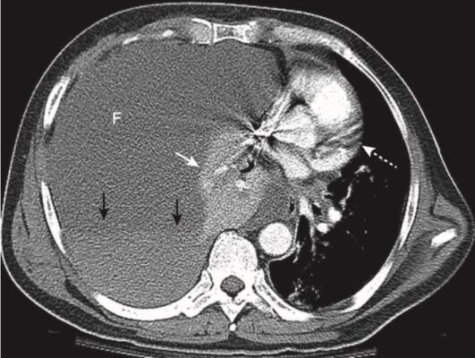
Mờ nửa ngực (một phổi)
- Khi nửa ngực của một người trưởng thành chứa khoảng 2 L chất dịch, toàn bộ nửa ngực sẽ bị mờ (Hình 11).
- Khi chất dịch đầy khoang màng phổi, phổi có xu hướng bị xẹp thụ động (xẹp phổi).
- Trên phim chụp X quang phổi thông thường, các tràn dịch lớn tạo hình ảnh mờ đủ mức bao bọc và che khuất bệnh lý bên dưới ở phổi. CT là phương thức thường được sử dụng để đánh giá phổi bên dưới khi có tràn dịch lớn (Hình 12).
- Tràn dịch lượng lớn có thể hoạt động như một khối và làm dịch chuyển tim và khí quản ra xa bên bị mờ.


XEM THÊM: TỰ HỌC CHẨN ĐOÁN HÌNH ẢNH: NHẬN BIẾT NGUYÊN NHÂN GÂY MỜ NỬA PHỔI
Tràn dịch khu trú (Loculated Effusions)
- Các kết dính trong khoang màng phổi, thường gây ra bởi nhiễm trùng hoặc tràn máu màng phổi cũ, có thể hạn chế khả năng di chuyển bình thường của tràn dịch màng phổi, làm cho tràn dịch vẫn ở cùng một vị trí cho dù bệnh nhân nằm ở tư thế nào.
- Các dấu hiệu hình ảnh học
- Có thể nghi ngờ tràn dịch khu trú khi tràn dịch có hình dạng hoặc vị trí bất thường trong lồng ngực (ví dụ: tràn dịch không ở vị trí thấp của lồng ngực khi bệnh nhân ở tư thế dựng thẳng trên phim chụp X quang thông thường [Hình 13] hoặc nằm ngửa khi chụp CT ngực).
- Xác định vị trí của dịch màng phổi có tầm quan trọng trong điều trị vì các tụ dịch này có xu hướng bị dính, gây khó khăn cho việc dẫn lưu so với các tràn dịch di chuyển tự do.

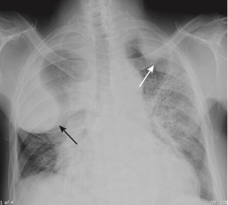
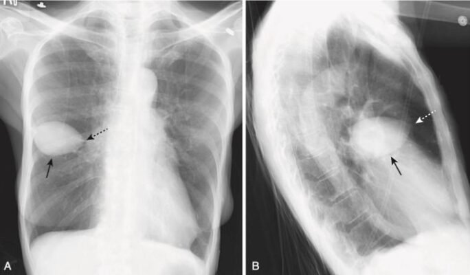
U giả phổi ở rãnh liên thuỳ (Fissural Pseudotumors)
- Các khối u giả là những tụ dịch màng phổi có bờ sắc rõ nằm hoặc giữa các lớp một rãnh liên thuỳ phổi hoặc ở vị trí dưới màng màng phổi ngay dưới rãnh. Đó là dịch thấm hầu như luôn xảy ra ở bệnh nhân suy tim sung huyết.
- Các dấu hiệu hình ảnh của một khối u giả là đặc trưng, vì vậy không nên nhầm chúng với một khối u thực sự.
- Chúng có hình thấu kính, thường xuất hiện nhất ở rãnh liên thuỳ bé (75%) và thường có đầu nhọn ở mỗi bên, nơi chúng lách vào rãnh liên thuỳ, giống như hình dạng của quả chanh. Chúng không có xu hướng di chuyển tự do khi thay đổi tư thế bệnh nhân.
- Chúng biến mất khi bệnh lý nền (thường là suy tim sung huyết) được điều trị, nhưng có xu hướng tái phát ở cùng một vị trí mỗi khi suy tim tái phát (Hình 14).

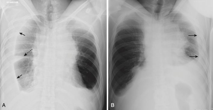
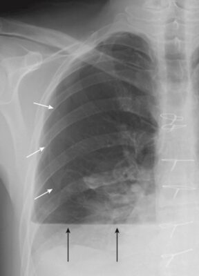
Tràn dịch màng phổi lớp mỏng (laminar Effusions)
- Tràn dịch màng phổi lớp mỏng là một dạng tràn dịch màng phổi trong đó chất lỏng tạo một đậm độ hình dải mỏng dọc theo thành ngực bên, đặc biệt là gần góc sườn hoành. Góc sườn hoành bên có xu hướng giữ nguyên góc nhọn với tràn dịch màng phổi lát mỏng, không giống như góc tù xảy ra với tràn dịch màng phổi thông thường.
- Tràn dịch lớp mỏng hầu như luôn luôn là kết quả của tăng áp lực tâm nhĩ trái, như trong suy tim sung huyết hoặc thứ phát sau bệnh lý ác tính lan truyền qua đường bạch huyết. Chúng thường không chảy tự do.
- Có thể nhận ra chúng bằng dải tăng đậm độ ngăn cách phổi chứa đầy khí với bờ trong của các xương sườn ở đáy phổi trên phim chụp X quang ngực thẳng. Ở những người khỏe mạnh, một lá phổi được thông khí phải trải rộng đến bên trong của mỗi xương sườn tiếp giáp (Hình 15).

Tràn khí – dịch màng phổi (Hydropneumothorax)
- Sự xuất hiện của cả không khí trong khoang màng phổi (tràn khí màng phổi) và lượng dịch bất thường trong khoang màng phổi (tràn dịch màng phổi) được gọi là tràn khí – dịch màng phổi.
- Một số nguyên nhân thường gặp của tràn khí – dịch màng phổi là chấn thương, phẫu thuật, hoặc một chọc dò lồng ngực gần đây để lấy bỏ dịch màng phổi làm không khí đi vào khoang màng phổi.
- Rò phế quản – màng phổi, một nối thông bất thường và tương đối ít gặp giữa cây phế quản và khoang màng phổi (thường do khối u, phẫu thuật hoặc nhiễm trùng) cũng có thể tạo ra cả khí và dịch trong khoang màng phổi.
- Không giống như tràn dịch màng phổi đơn thuần (tạo hình dạng sụn chêm bởi sự rút lại đàn hồi của phổi), tràn khí dịch màng phổi tạo ra một mức dịch – khí ở nửa ngực có đường dịch cạnh thẳng và một tiếp diện khí nằm trên dịch rõ nét khi chiếu tia X cắt ngang (Hình 16).
- Thường cần chụp CT để phân biệt giữa một tràn khí – dịch màng phổi và áp xe phổi, cả hai tình trạng đều có thể có biểu hiện giống nhau trên phim X quang ngực thông thường.

Lược dịch có chỉnh sửa từ: Learning Radiology: RECOGNIZING THE BASICS. William Herring, MD, FACR.3rd EDITION. Elsevier Inc 2016.







