Chương này sẽ trình bày về giải phẫu phổi bình thường được mô tả bằng X quang phổi thông thường và chụp cắt lớp vi tính (CT) ngực. Để dễ dàng giải thích các hình ảnh của ngực, trước hết cần phải có khả năng nhận biết giải phẫu bình thường, cơ bản để có thể phân biệt giữa cái bình thường với cái bất thường.
“Hệ thống” tốt nhất để xem xét bất kỳ hình ảnh chẩn đoán nào là một hệ thống dựa trên nền tảng kiến thức vững chắc về hình ảnh giải phẫu bình thường và những sai lệch thường gặp nhất so với bình thường.
Hình ẢNH X QUANG PHỔI THẲNG BÌNH THƯỜNG
- Hình 1 hiển thị một số đặc điểm giải phẫu bình thường có thể nhìn thấy trên phim chụp X quang ngực thẳng.

- Mạch và phế quản — các dấu hiệu ở phổi bình thường
- Hầu như tất cả “đường trắng” mà bạn nhìn thấy trong phổi trên phim chụp X quang ngực đều là mạch máu. Các mạch máu có đặc trưng phân nhánh và nhỏ dần từ rốn phổi trung tâm đến các rìa ngoại vi của phổi. Trên phim chụp X quang thông thường, không thể phân biệt chính xác giữa động mạch phổi và tĩnh mạch phổi.
- Các phế quản hầu như không thể nhìn thấy được trên phim chụp X quang phổi bình thường vì bình thường chúng có thành rất mỏng, chứa không khí và được bao quanh bởi không khí.
- Màng phổi – giải phẫu bình thường
- Màng phổi bao gồm hai lớp, lớp thành bên ngoài và lớp tạng bên trong, giữa hai màng là khoang màng phổi. Màng phổi tạng dính với phổi và cuộn lại để tạo thành các rãnh lớn và bé.
- Bình thường, có vài ml dịch nhưng không có không khí trong khoang màng phổi.
- Bình thường không thể nhìn thấy màng phổi thành và màng phổi tạng trên phim chụp X quang ngực thông thường, ngoại trừ trường hợp hai lớp màng phổi tạng ghép lại để tạo thành các rãnh (liên thuỳ). Ngay cả khi đó, chúng thường không dày hơn một đường được vẽ bằng bút chì đầu nhọn.
HỆ MẠCH PHỔI BÌNH THƯỜNG
- Ở tư thế thẳng đứng, lưu lượng máu đến đáy phổi thường lớn hơn lưu lượng đến các đỉnh phổi vì tác dụng của trọng lực. Do đó kích thước của các mạch máu ở đáy phổi thường lớn hơn kích thước của các mạch máu ở đỉnh phổi.
- Thông thường, các mạch máu phân nhánh và nhỏ dần từ trung tâm (rốn phổi) đến ngoại vi (gần thành ngực) (Hình 2).
- Những thay đổi về áp suất hoặc lưu lượng có thể làm thay đổi động lực bình thường của mạch máu phổi.


PHIM X QUANG NGỰC CHỤP NGHIÊNG (BÊN) BÌNH THƯỜNG
- Là một phần của hai góc chụp X quang ngực tiêu chuẩn, gồm X quang ngực thẳng tư thế đứng và X quang ngực nghiêng (bên) tư thế đứng.
- Phim X-quang ngực nghiêng trái (với mặt trái của bệnh nhân áp vào máy nhận) có giá trị chẩn đoán cao nhưng đôi khi bị người mới bắt đầu bỏ qua vì họ không quen với những dấu hiệu có thể nhìn thấy được trong hình chiếu đó.
- Hình 3 hiển thị một số đặc điểm giải phẫu bình thường có thể nhìn thấy trên phim X quang ngực nghiêng.
- Tại sao xem phim ngực nghiêng?
- Nó có thể giúp bạn xác định vị trí của bệnh lý mà bạn đã xác định hiện diện trên phim thẳng.
- Nó có thể khẳng định sự hiện diện của bệnh lý mà bạn có thể không chắc chắn khi chỉ dựa trên hình ảnh phim thẳng, chẳng hạn như khối u hoặc viêm phổi.
- Nó có thể chứng tỏ bệnh lý không quan sát được trên phim thẳng (Hình 4).

Năm vùng chính trên phim chụp X-quang ngực nghiêng (bên)
(xem Hình 3 và Bảng 3-1)
- Khoảng trống sau màng xương ức
- Vùng rốn phổi
- Các rãnh
- Cột sống ngực
- Cơ hoành và góc sườn hoành sau.
BẢNG 3-1: Hướng dẫn nhanh đọc phim phổi nghiêng
| Vùng | Hình ảnh quan sát được |
|---|---|
| Khoảng trống sau xương ức | Hình liềm sáng giữa xương ức và động mạch chủ lên |
| Vùng rốn | Không có khối rõ ràng |
| Các rãnh liên thuỳ | Rãnh lớn và rãnh bé mỏng như đường vẽ bút chì, nếu nhìn thấy được |
| Cột sống ngực | Các thân đốt sống hình chữ nhật với các bản tận song song với nhau; khoảng đĩa đệm duy trì chiều cao từ trên xuống dưới của cột sống ngực |
| Cơ hoành và rãnh (ngách) sườn hoành sau | Nửa cơ hoành phải cao hơn một chút so với bên trái; ngách sườn hoành sau nhọn |
Khoảng trống sau xương ức
- Bình thường, có một hình lưỡi liềm tương đối sáng ngay sau xương ức và phía trước bóng của động mạch chủ lên. Hãy xem khoảng trống này có bị “lấp đầy” với mật độ mô mềm khi có một khối ở trung thất trước (Hình 5). Bệnh lý hạch có lẽ là nguyên nhân thường gặp nhất làm che lấp khoảng sau xương ức. U tuyến ức, u quái (teratoma) và phì đại tuyến giáp dưới xương ức cũng có thể tạo ra các khối ở trung thất trước, nhưng chúng thường không có hình ảnh giống như hình 5.
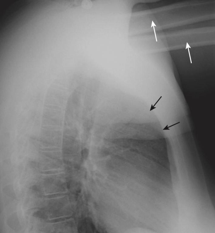
- Lưu ý Cạm bẫy: Hãy cẩn thận để không nhầm mô mềm của cánh tay của bệnh nhân chồng lên với “lấp đầy” khoảng trống. Mặc dù bệnh nhân được yêu cầu giữ hai tay qua đầu để bộc lộ ngực bên, nhưng nhiều bệnh nhân quá yếu không thể nâng cánh tay lên được.
- Giải pháp: Bạn sẽ có thể xác định cánh tay của bệnh nhân trên phim chụp X quang bằng cách phát hiện xương cánh tay (Hình 6).


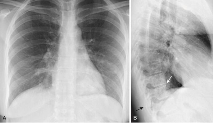
Vùng rốn phổi
- Rốn phổi có thể khó đánh giá khi nhìn trên phim thẳng, đặc biệt nếu cả hai rốn phổi đều hơi to ra, vì không thể so sánh với bên đối diện bình thường b.
- Xem phim nghiêng có thể hữu ích. Hầu hết các đậm độ ở rốn phổi được tạo thành từ các động mạch phổi. Bình thường, không có khối rõ ràng có thể nhìn thấy trong vùng rốn phổi trên phim chụp X quang nghiêng.
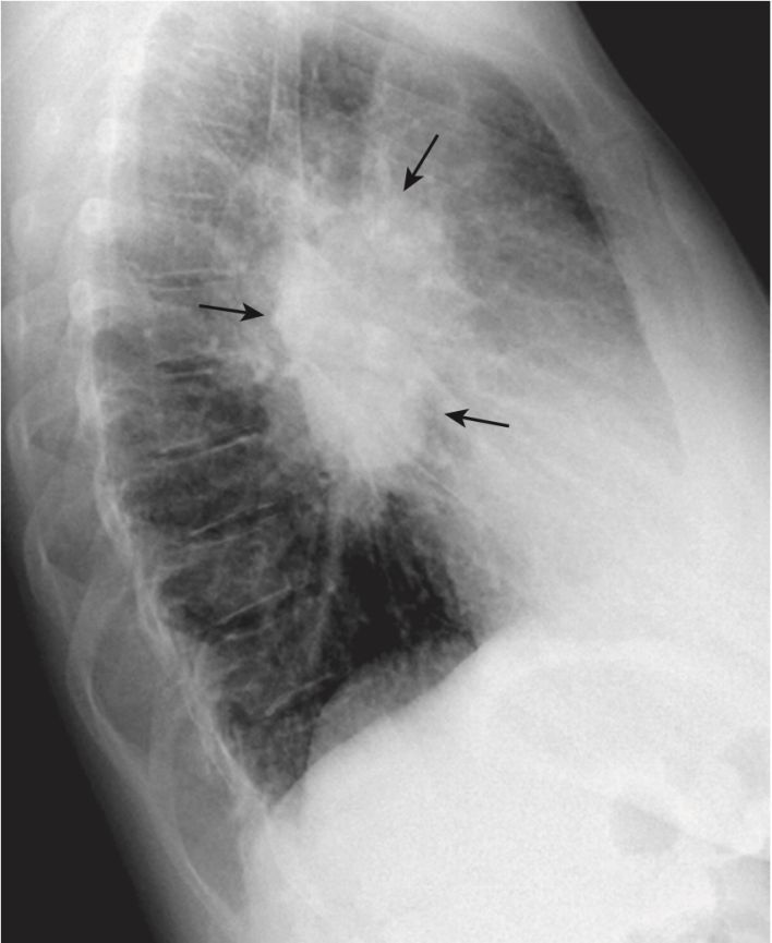
- Khi có một khối ở rốn phổi, chẳng hạn như các hạch lympho to ra, rốn phổi (hoặc cả hai rốn phổi) sẽ tạo ra một bóng mờ hình khối, có thùy, rõ rệt trên phim chụp X quang nghiêng (Hình 7).

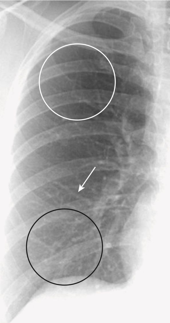
Các rãnh liên thuỳ
- Trên phim nghiêng, có thể nhìn thấy cả rãnh lớn (chéo) và bé (ngang) dưới dạng các đường nhỏ, màu trắng (dày khoảng bằng đường kẻ bằng đầu bút chì). Các rãnh phân định các thùy trên và dưới ở bên trái và các thùy trên, giữa và dưới ở bên phải.
- Các rãnh lớn chạy theo hướng chéo, khoảng từ mức của đốt sống ngực thứ 5 đến một điểm trên bề mặt cơ hoành của màng phổi sau xương ức vài cm. Rãnh bé nằm ngang mức xương sườn thứ 4 trước (chỉ có ở bên phải) và hướng theo chiều ngang (xem Hình 3).
- Có thể nhìn thấy cả rãnh lớn và rãnh bé trên phim nghiêng, nhưng do mặt phẳng chéo của rãnh lớn nên thường chỉ có thể nhìn thấy rãnh bé trên phim thẳng.
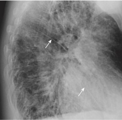
- Khi một rãnh chứa chất dịch hoặc bị xơ hóa do một quá trình mãn tính, rãnh sẽ dày lên (Hình 8). Rãnh dày lên do dịch hầu như luôn kèm theo các dấu hiệu khác của dịch trong lồng ngực, chẳng hạn như các đường Kerley B và tràn dịch màng phổi. Rãnh dày lên do xơ hóa là nguyên nhân có nhiều khả năng hơn nếu không có các dấu hiệu khác của chất dịch trong ngực.

Cột sống ngực
- Thông thường, các thân đốt sống ngực có hình dạng gần giống hình chữ nhật và mỗi bản tận của thân đốt sống song song với bản tận của thân đốt sống ở trên và dưới nó. Mỗi khe đĩa đệm cao hơn một chút hoặc giữ nguyên như khe bên trên nó trong suốt cột sống ngực.
- Thoái hóa đĩa đệm có thể dẫn đến hẹp khe đĩa đệm và hình thành các gai xương nhỏ ở rìa của các thân đốt sống.
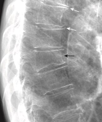
- Khi bị gãy do nén ép, thường là do loãng xương, thân đốt sống mất chiều cao. Gãy xương do nén thường làm bản tận trên của thân đốt sống lõm xuống (Hình 9).
- Đừng quên quan sát cột sống ngực khi đánh giá X quang phổi nghiêng để tìm các dấu hiệu có giá trị về các bệnh lý hệ thống.

Cơ hoành (diaphragm) và ngách sườn hoành sau (posterior costophrenic sulci)
- Vì cơ hoành được cấu tạo bởi mô mềm (cơ) và ổ bụng bên dưới chứa các cấu trúc mô mềm như gan và lá lách, chỉ có bờ trên của cơ hoành, tiếp giáp với phổi chứa đầy không khí, thường có thể nhìn thấy trên phim X quang thông thường.
- Dù cơ hoành ngăn cách lồng ngực với ổ bụng, chúng ta thường không nhìn thấy toàn bộ cơ hoành từ bên này sang bên kia trên phim chụp X quang thông thường vì vị trí của tim ở giữa lồng ngực.
- Do đó, về mặt X quang, nửa bên phải của cơ hoành là nửa cơ hoành (hemidiaphragm) phải và nửa bên trái của cơ hoành là nửa cơ hoành trái.
- Cách phân biệt nửa cơ hoành phải với nửa cơ hoành trái trên phim X quang nghiêng:
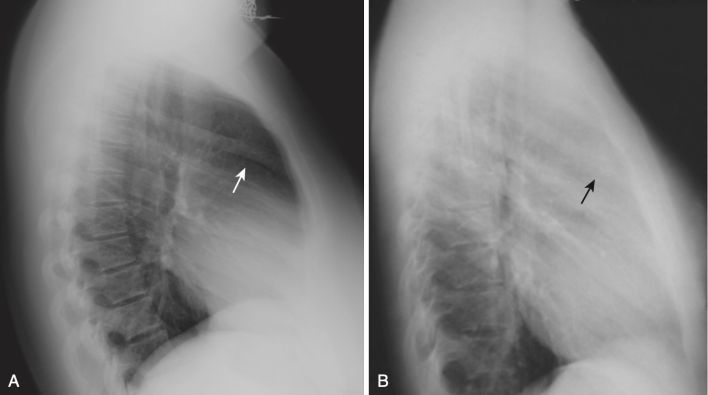
- Nửa cơ hoành phải thường có thể nhìn thấy được toàn bộ chiều dài của nó từ trước ra sau. Bình thường, nửa cơ hoành bên phải hơi cao hơn bên trái, trên phim chụp X quang nghiêng cũng như thẳng.
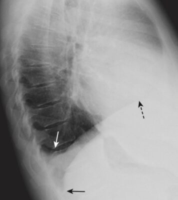
- Nửa cơ hoành trái được nhìn rõ ở phía sau nhưng bị bóng bởi cơ tim ở phía trước (tức là mép của nó biến mất ở phía trước) (Hình 10).
- Không khí trong dạ dày hoặc đại tràng góc lách nhìn thấy ngay dưới nửa cơ hoành trái. Gan nằm bên dưới nửa cơ hoành phải, và thường không thấy hơi ruột giữa gan và nửa cơ hoành phải.
Các góc sườn hoành sau (posterior costophrenic sulci)
- Mỗi nửa cơ hoành tạo ra một vòm tròn lõm vào phần trung tâm của đáy mỗi phổi giống như đáy của một chai rượu vang. Điều này tạo ra một chỗ hạ thấp, hay còn gọi là sulcus (ngách), bao quanh ngoại vi của mỗi phổi và là điểm thấp nhất của khoang màng phổi khi người bệnh ở tư thế dựng thẳng.
- Trên phim chụp X quang ngực thẳng, các ngách này dễ dàng nhìn thấy nhất ở rìa ngoài của phổi gọi là ngách sườn hoành bên (còn được gọi là góc sườn hoành bên) và trên phim chụp X quang nghiêng là ngách sườn hoành sau (còn được gọi là góc sườn hoành sau) (xem Hình 1 và 3).
- Thông thường, tất cả các ngách sườn hoành đều có đường viền sắc nét và góc nhọn.
- Tràn dịch màng phổi tích tụ trong các hốc sâu của ngách sườn hoành khi bệnh nhân ở tư thế dựng thẳng, sẽ lấp đầy các góc nhọn này, gọi là tù góc sườn hoành.
- Chỉ cần khoảng 75 mL dịch (hoặc ít hơn) để làm tù góc sườn hoành trên phim nghiêng, trong khi cần khoảng 250 đến 300 mL dịch để làm tù góc sườn hoành trên phim thẳng (xem Hình 10 và Bảng 3-1).

GIẢI PHẪU CT BÌNH THƯỜNG CỦA NGỰC
- Theo quy ước, chụp CT ngực, giống như hầu hết các nghiên cứu X quang khác, được xem với bên phải của bệnh nhân ở bên trái của bạn và bên trái của bệnh nhân ở bên phải của bạn. Nếu bệnh nhân được quét ở tư thế nằm ngửa, như thường lệ, phần trên của mỗi hình là phía trước và phần dưới của mỗi hình là phía sau.
- Chụp CT ngực thường được “chia cửa sổ” và được hiển thị ở ít nhất hai định dạng nhằm xác định giải phẫu một cách tối ưu.
- Các cửa sổ phổi (Lung windows) được chọn để lấy hình ảnh rõ nhất các bất thường của nhu mô phổi và xác định giải phẫu phế quản bình thường và bất thường. Các cấu trúc trung thất thường xuất hiện dưới dạng một đậm độ trắng đồng nhất trên các cửa sổ phổi.
- Các cửa sổ trung thất (Mediastinal windows) được chọn để hiển thị các cấu trúc trung thất, rốn phổi và màng phổi. Phổi thường có hình ảnh đen hoàn toàn khi nhìn với cửa sổ trung thất.
- Các cửa sổ xương (Bone windows) cũng được sử dụng khá thường xuyên như một cách thứ ba để hiển thị dữ liệu, để thể hiện rõ nhất của cấu trúc xương.
- Cần biết là hiển thị các cửa sổ khác nhau này là thao tác xử lý dữ liệu thu được trong quá trình quét gốc và không yêu cầu bệnh nhân phải quét lại.
GIẢI PHẪU CT BÌNH THƯỜNG CỦA PHỔI
- Tất cả các giải phẫu có thể nhìn thấy trên phim X quang ngực thông thường đều quan sát được trên phim chụp CT ngực, nhưng với độ chi tiết hơn. Với việc tái tạo các hình ảnh CT lát cắt mỏng, phổi có thể được hình dung ở bất kỳ mặt phẳng nào, mặc dù ba mặt phẳng phổ biến nhất là mặt phẳng ngang (axial), mặt phẳng đứng dọc (sagittal) và mặt phẳng trán (coronal, còn gọi là mặt phẳng vành) (Hình 11).
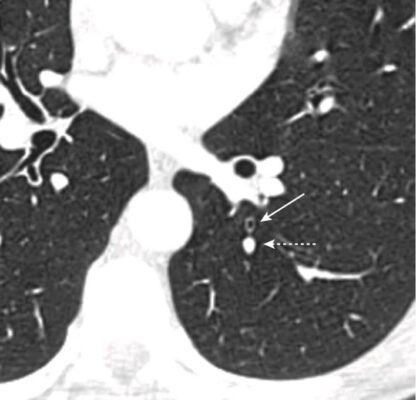
- Các mạch máu: Có thể nhìn thấy gần như toàn bộ đường đi của chúng từ rốn phổi đến bề mặt màng phổi. Có thể phân biệt các động mạch phổi với các tĩnh mạch phổi (Hình 12).
- Các phế quản và tiểu phế quản cũng có thể nhìn thấy được, và theo quy luật, các phế quản thường nhỏ hơn các động mạch phổi đi kèm (Hình 13).
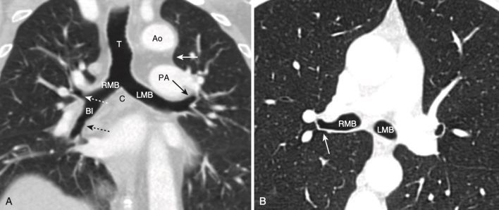
- Khí quản, thường có hình bầu dục, có đường kính khoảng 2 cm.
- Ở hầu hết mọi người, có một khoảng trống có thể nhìn thấy ngay dưới cung động mạch chủ nhưng ở trên động mạch phổi được gọi là cửa sổ chủ – phổi (aortopulmonary window, APW) (lưu ý không nhầm với cửa sổ chủ phế là một thuật ngữ để chỉ khiếm khuyết vách chủ – phổi bẩm sinh hiếm gặp). Cửa sổ chủ phổi là một mốc quan trọng, vì đây là vị trí phổ biến xuất hiện các hạch bạch huyết. Ở ngang mức hoặc thấp hơn một chút, khí quản chia đôi ở đường gờ giữa (carina) thành các phế quản chính bên phải và bên trái (Hình 14).
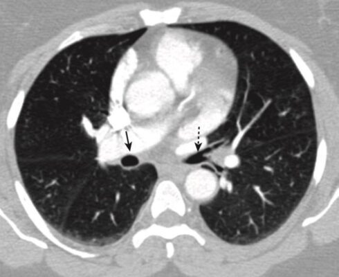
- Thấp hơn một chút là phế quản chính phải và trái và các phế quản trung gian. Phế quản chính bên phải có hình dạng một cấu trúc hình tròn, chứa khí và sẽ trở thành hình ống khi phế quản thùy trên bên phải xuất hiện. Sau phế quản trung gian không có gì ngoài mô phổi (Hình 15).
- Phế quản chính bên trái sẽ có dạng hình tròn chứa khí ở bên trái.





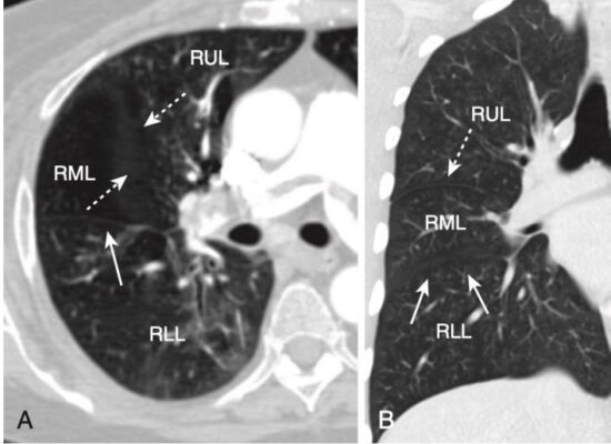
CÁC RÃNH LIÊN THUỲ
- Tùy thuộc vào độ dày của lát cắt, các rãnh sẽ có thể nhìn thấy dưới dạng các đường trắng mỏng hoặc bằng một dải vô mạch dày khoảng 2 cm khi chúng đi chéo qua phổi (Hình 16).
- Rãnh nhỏ đi cùng mặt phẳng ngang như với hình ảnh CT cắt ngang nên thường không thể nhìn thấy, ngoại trừ ở mặt phẳng đứng dọc hoặc mặt phẳng trán. Tuy nhiên, giống như các rãnh lớn, có thể suy luận ra vị trí của rãnh nhỏ bởi một vùng vô mạch giữa các thùy trên và thùy giữa phải (xem Hình 16, A).
- Rãnh lớn phân cách thuỳ trên với thuỳ thấp hơn. Ở bên phải, rãnh bé phân chia thùy giữa. Tương tự của nó ở bên trái là phân thuỳ lưỡi của thùy trên trái (Hình 17).


Lược dịch có chỉnh sửa từ: Learning Radiology: RECOGNIZING THE BASICS. William Herring, MD, FACR.3rd EDITION. Elsevier Inc 2016.







