XEM THÊM: TỰ HỌC CHẨN ĐOÁN HÌNH ẢNH: NHẬN BIẾT HÌNH ẢNH GIẢI PHẪU PHỔI BÌNH THƯỜNG
- Các bệnh ảnh hưởng đến nhu mô phổi có thể được chia thành hai loại chính một phần dựa trên bệnh lý của chúng và một phần dựa trên hình thái chúng thường tạo ra trên một chẩn đoán hình ảnh ngực.
- Bệnh khoang chứa khí (phế nang)
- Bệnh mô kẽ (thâm nhiễm)
CÁC ĐẶC ĐIỂM CỦA BỆNH KHOANG CHỨA KHÍ
- Bệnh khoang chứa khí có đặc điểm là tạo ra các đám mờ ở phổi có thể được mô tả là như lông tơ, như đám mây hoặc mờ (fluffy, cloudlike, or hazy).
- Những đám mờ mịn như lông tơ này có xu hướng hợp lại, có nghĩa là chúng hòa trộn vào nhau với bờ không thể nhận thấy rõ.
- Các bờ viền của bệnh khoang chứa khí không phân biệt rõ, có nghĩa là thường khó xác định một điểm phân giới rõ ràng giữa bệnh và phổi bình thường lân cận.
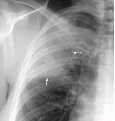
- Bệnh khoang chứa khí có thể phân bố khắp phổi, như trong phù phổi (Hình 1), hoặc có thể khu trú hơn, như trong bệnh viêm phổi thùy hoặc phân thùy (Hình 2).
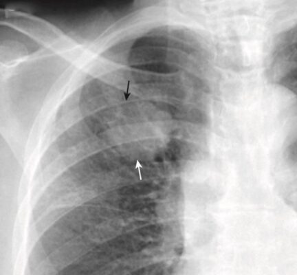
- Bệnh vùng khoang chứa khí có thể có hình ảnh phế quản chứa khí /(khí phế quản đồ)(air bronchogram).
- Khả năng nhìn thấy không khí trong phế quản vì bệnh lý khoang chứa khí xung quanh được gọi là hình ảnh phế quản chứa khí
- Hình ảnh phế quản chứa khí là một dấu hiệu của bệnh lý khoang chứa khí.
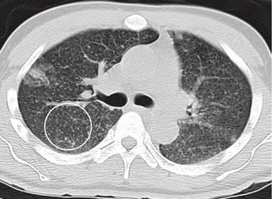
- Bình thường không nhìn thấy được phế quản vì thành của chúng rất mỏng, chứa không khí và được bao quanh bởi không khí. Khi một thứ gì đó như chất dịch hoặc mô mềm thay thế không khí bình thường bao quanh phế quản, thì không khí bên trong phế quản trở nên có thể nhìn thấy dưới dạng một loạt cấu trúc hình ống phân nhánh, màu đen – đây là hình ảnh phế quản chứa khí (Hình 3).
- Các chất có thể lấp đầy khoang chứa khí ngoài không khí thường là:
- Chất dịch, chẳng hạn như trong phù phổi
- Máu, ví dụ, xuất huyết phổi
- Dịch dạ dày, như xảy ra khi hít phải
- Dịch viêm xuất tiết, ví dụ, viêm phổi
- Nước, có thể được thấy ở bệnh nhân ngạt nước (gần chết đuối)
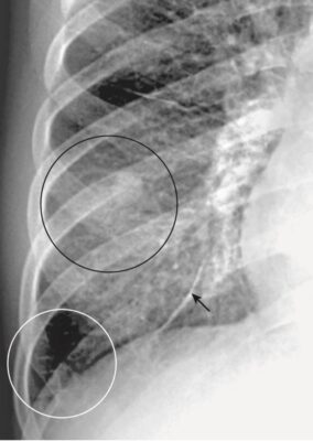
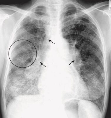
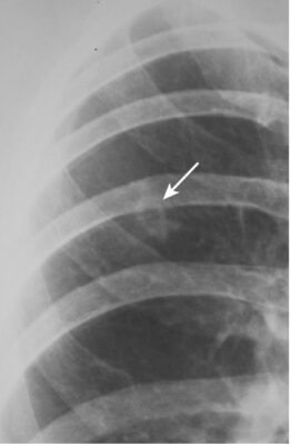
- Bệnh khoang chứa khí có thể biểu hiện dấu bóng bờ (dấu xoá bờ – silhouette sign) (Hình 4).
- Dấu xoá bờ xảy ra khi hai cấu trúc có cùng mật độ X quang (chẳng hạn như nước và mô mềm) chạm vào nhau sao cho rìa hoặc bờ giữa chúng biến mất. Không thể nói cấu trúc này này bắt đầu ở đâu và cấu trúc kia kết thúc ở đâu. Dấu hiệu bóng bờ không chỉ có giá trị ở ngực mà còn hỗ trợ cho việc phân tích các nghiên cứu hình ảnh ở những vị trí khác.




MỘT SỐ NGUYÊN NHÂN GÂY BỆNH LÝ KHOẢNG CHỨA KHÍ
Có nhiều nguyên nhân gây ra bệnh lý khoảng chứa khí, sau đây trình bày ba nguyên nhân thường gặp.
Viêm phổi
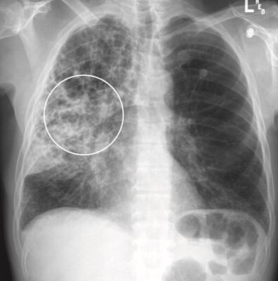
Khoảng 90% trường hợp, viêm phổi thùy hoặc phân thuỳ mắc phải ở cộng đồng là do Phế cầu (Streptococcus pneumoniae) (Hình 5). Viêm phổi thường biểu hiện dưới dạng bệnh lý khoang chứa khí thùy, phân thuỳ hoặc từng đám (mảng). Viêm phổi có thể có hình ảnh phế quản chứa khí. Thường khỏi bệnh xảy ra trong vòng dưới 10 ngày.

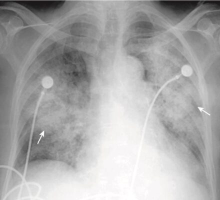
Phù phế nang phổi (Pulmonary alveolar edema)
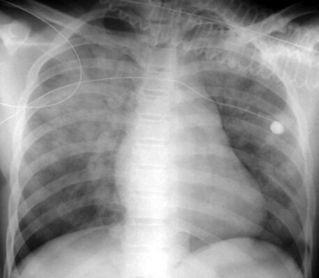
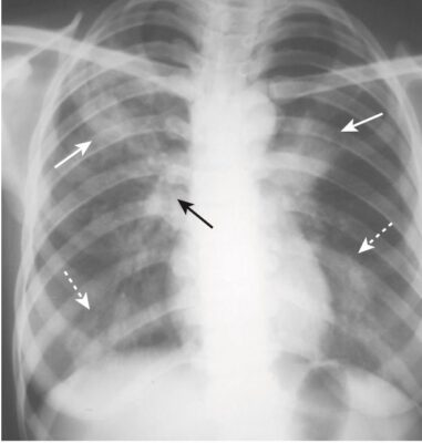
- Phù phế nang phổi cấp tính điển hình thường tạo ra bệnh lý khoang chứa khí hai bên, quanh rốn phổi, đôi khi được mô tả là có hình dạng cánh dơi (bat-wing) hoặc cánh thiên thần (angel-wing) (Hình 6).
- Biểu hiện có thể không đối xứng nhưng thường không chỉ một bên. Phù phổi có nguồn gốc từ tim thường phối hợp với tràn dịch màng phổi và chất dịch làm dày các rãnh lớn và rãnh bé.
- Bởi vì chất dịch không chỉ lấp đầy các khoang chứa khí mà còn cả các phế quản, nên thường không có hình ảnh phế quản chứa khí trong phù phế nang phổi. Thường thì phù phổi hết nhanh sau khi điều trị (<48 giờ).

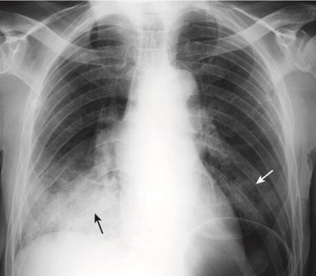
Hít phải (Aspiration)
- Hít phải có xu hướng ảnh hưởng đến bất kỳ phần nào của phổi nằm thấp nhất vào thời điểm bệnh nhân hít phải, và các biểu hiện của nó phụ thuộc vào (các) chất được hít vào. Đối với hầu hết các bệnh nhân nằm giường, hít phải thường ảnh hưởng đến các thùy dưới hoặc phần sau của thùy trên.
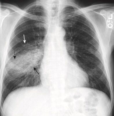
- Do đặc điểm về đường đi và kích thước của phế quản chính bên phải, hít phải thường xảy ra ở thùy dưới bên phải hơn là thùy dưới bên trái (Hình 7 ).
- Hình ảnh chụp X quang của hít phải và bệnh khỏi nhanh như thế nào tùy thuộc vào loại chất hít phải và có bị nhiễm trùng hay không. Hít phải dịch vị sạch hoặc nước thường sạch nhanh trong vòng 24 đến 48 giờ, trong khi hít phải bội nhiễm có thể mất vài tuần mới khỏi.

CÁC ĐẶC ĐIỂM CỦA BỆNH PHỔI KẼ
- Các cấu trúc mô kẽ ở phổi bao gồm mô liên kết, bạch huyết, mạch máu và các phế quản. Đây là những cấu trúc bao quanh và nâng đỡ các khoang chứa khí.
- Bệnh phổi mô kẽ (đôi khi được gọi là bệnh phổi thâm nhiễm) có các đặc điểm sau:
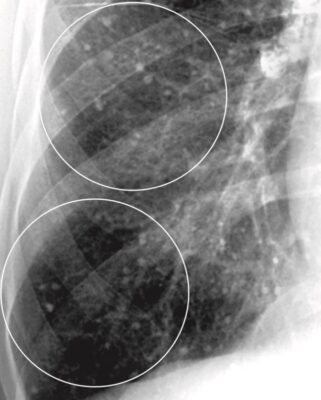
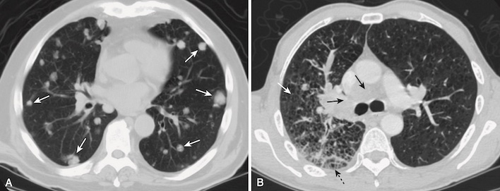
- Bệnh phổi mô kẽ tạo ra những cấu trúc có thể được coi là “phần tử” (“particles”) bệnh rời rạc xuất hiện trong mạng lưới kẽ phong phú của phổi (Hình 8 ).
- Các “phần tử” bệnh này có thể được đặc trưng hơn nữa là có ba dạng biểu hiện:
- Bệnh kẽ lưới (reticular) biểu hiện như một mạng lưới các đường kẽ (xem Hình 8, A).
- Bệnh kẽ hạt (nodular) biểu hiện dưới dạng các chấm (xem Hình 8, B).
- Bệnh kẽ lưới hạt có cả các đường và các chấm (xem Hình 8, C).
- Những “phần tử” bệnh lý kẽ này có xu hướng không đồng nhất, tách biệt với nhau bởi những vùng phổi được thông khí bình thường.
- Các bờ của bệnh phổi kẽ rõ nét hơn so với các ranh giới của bệnh khoang chứa khí (thường không phân biệt rõ).
- Bệnh phổi kẽ có thể khu trú (như trong nốt phổi đơn độc) hoặc phân bố lan tỏa trong hai phổi (Hình 9).
- Thường không có khí phế đồ (hình ảnh phế quản chứa khí), khác với bệnh khoảng chứa khí.


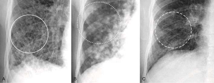
- Cạm bẫy: Đôi khi có bệnh kẽ dày đặc đến nỗi các thành phần của bệnh có thể chồng lên nhau và trông có vẻ như bệnh khoang chứa khí trên phim X quang ngực thông thường. Hãy nhớ rằng hình ảnh X quang thường quy là biểu diễn hai chiều của vật thể ba chiều (con người), vì vậy, tất cả các đậm độ trong phổi đều bị xếp chồng lên nhau trên bất kỳ một góc chụp nào. Điều này có thể làm cho các phần tử nhỏ của bệnh kẽ dường như dính liền lại và giống bệnh khoang chứa khí hơn.
- Giải pháp: Nhìn vào vùng ngoại vi của các bóng hội tụ (confluent shadows ) đó để xác định xem chúng thực sự là do bệnh khoang chứa khí hay do sự chồng lên của nhiều dạng lưới và dạng nốt (Hình 10).
- Chụp CT ngực để xác định rõ hơn đặc điểm của bệnh.

MỘT SỐ NGUYÊN NHÂN GÂY RA BỆNH PHỔI KẼ
- Cũng như bệnh khoảng chứa khí, có nhiều bệnh gây ra bệnh mô kẽ ở phổi. Phần sau trình bày ngắn gọn một số bệnh lý thường gặp. Có thể chia thành những bệnh chủ yếu là dạng lưới và những bệnh chủ yếu là dạng nốt.
- Cần nhớ rằng nhiều bệnh lý có các dạng chồng lên nhau và nhiều bệnh phổi kẽ có sự kết hợp của cả những thay đổi dạng lưới và dạng nốt (bệnh dạng nốt – lưới).
Bệnh phổi kẽ chủ yếu dạng lưới
Phù kẽ phổi (phù phổi kẽ)
- Phù kẽ phổi có thể xảy ra do tăng áp lực mao mạch (suy tim sung huyết), tăng tính thấm mao mạch (phản ứng dị ứng), hoặc giảm hấp thu chất dịch (chẹn bạch huyết do bệnh di căn).
- Được xem là biểu hiện đến trước phù phế nang, phù phổi kẽ điển hình biểu hiện bốn dấu hiệu X quang chính: chất dịch trong các rãnh liên thuỳ (lớn và bé), bít quanh phế quản (do chất dịch trong thành tiểu phế quản), tràn dịch màng phổi và đường Kerley B (Hình. 11).
- Điển hình, bệnh nhân có thể ít có dấu hiệu khi khám lâm sàng (rale phổi), dù phim chụp X quang phổi cho thấy có phù mô kẽ phổi đáng kể, vì hầu như toàn bộ chất dịch nằm trong mô kẽ phổi chứ không phải trong khoang chứa khí.
- Với điều trị phù hợp, phù mô kẽ phổi thường khỏi nhanh chóng (<48 giờ).

Viêm phổi kẽ (Interstitial pneumonia)
- Có nhiều dạng viêm phổi kẽ: viêm phổi kẽ thông thường (usual interstitial pneumonia, UIP), dạng phổ biến nhất, viêm phổi kẽ bong vảy (desquamative interstitial pneumonia, DIP), và viêm phổi kẽ lipoid (lipoid interstitial pneumonia, LIP), và những dạng khác. Một dạng khác, được gọi là viêm phổi kẽ không đặc hiệu (nonspecific interstitial pneumonia, NSIP), không dễ dàng phân vào bất kỳ dạng nào khác.
- UIP đôi khi được dùng để chỉ bệnh xơ hóa mô kẽ vô căn (idiopathic interstitial fibrosis). UIP phổ biến hơn ở nam giới lớn tuổi và có liên quan đến hút thuốc lá và trào ngược dạ dày thực quản.
- X quang phổi có thể bình thường trong UIP. Biểu hiện sớm nhất trên phim X quang phổi bao gồm một dạng hình lưới mịn, đặc biệt là ở hai đáy phổi. Sau đó, dạng hình lưới trở nên thô hơn khi bệnh tiến triển và kết thúc với một hình dạng, được gọi là phổi tổ ong/honeycomb lung (các bệnh khác tạo ra dạng tổ ong). Cũng có thể bị mất thể tích phổi tiến triển.
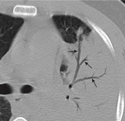
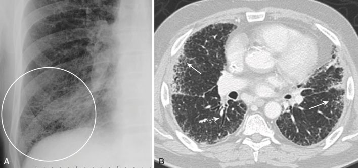
- Chẩn đoán được thực hiện trên CT khi có hình tổ ong, giãn phế quản do lực kéo, và tổn thương dạng kính mờ (ground-glass opacities) ở hai đáy phổi (Hình 12).
- Xơ phổi vô căn được xem là bệnh ở giai đoạn cuối trong phổ các bệnh viêm phổi mô kẽ này.

Bệnh phổi kẽ chủ yếu dạng nốt
Ung thư biểu mô phế quản (Bronchogenic carcinoma)
- Có bốn loại tế bào chính của ung thư biểu mô phế quản: ung thư biểu mô tuyến, ung thư biểu mô tế bào vảy, ung thư biểu mô tế bào nhỏ và ung thư biểu mô tế bào lớn.
- Đặc biệt, ung thư biểu mô tuyến có thể biểu hiện như một tổn thương dạng nốt phổi ở ngoại vi đơn độc.
- Thông thường, trên phim chụp X quang phổi thông thường, các nốt hoặc khối trong phổi có bờ rõ ràng hơn so với bệnh khoang chứa khí, tạo ra sự phân chia tương đối rõ ràng giữa nốt và mô phổi bình thường xung quanh.
- Chụp CT có thể cho thấy nốt phổi đông cứng hoặc không đều có thể không rõ ràng trên phim chụp X quang thông thường (Hình 13).

Các di căn đến phổi
- Các di căn đến phổi có thể được chia thành ba loại tùy thuộc vào dạng bệnh được biểu hiện ở phổi.
- Di căn qua đường máu thường tạo ra hai hoặc nhiều nốt ở phổi, khi chúng đạt được kích thước lớn, đôi khi được gọi là di căn đạn pháo (cannonball metastases). Các khối u nguyên phát điển hình gây di căn dạng nốt đến phổi bao gồm ung thư vú, đại trực tràng, tế bào thận, bàng quang, tinh hoàn, ung thư đầu và cổ, sarcoma mô mềm và u hắc tố ác tính (Hình 14, A).
- Hình thức di căn thứ hai là lây lan theo đường bạch huyết.
- Cơ chế bệnh sinh của lan truyền bạch huyết đến phổi còn nhiều tranh cãi nhưng rất có thể liên quan đến sự lan truyền qua đường máu đến các mao mạch phổi và sau đó xâm nhập vào các bạch huyết lân cận. Một cách thứ khác của lan truyền bạch huyết là tắc nghẽn bạch huyết trung tâm, thường là ở rốn phổi, với sự lan truyền ngược dòng qua hệ bạch huyết trong phổi.
- Cho dù theo cách nào, lan truyền theo bạch huyết đến phổi có xu hướng giống phù mô kẽ phổi do suy tim sung huyết, ngoại trừ, khác với suy tim sung huyết, nó có xu hướng khu trú ở một thuỳ phổi hoặc chỉ liên quan đến một bên phổi. Các dấu hiệu bao gồm đường Kerley, dịch trong các rãnh liên thuỳ và tràn dịch màng phổi (xem Hình 14, B).
- Các khối u nguyên phát điển hình gây di căn theo đường bạch huyết di căn đến phổi bao gồm ung thư biểu mô vú, phổi, dạ dày, tuyến tụy và hiếm khi là ung thư biểu mô tuyến tiền liệt.
- Lan rộng trực tiếp là hình thức phát tán khối u ít phổ biến nhất liên quan đến phổi vì màng phổi có khả năng chống lại rất cao sự lan truyền bệnh ác tính trực tiếp đến các lớp của nó. Lan rộng trực tiếp thường có thể nhất là tạo ra một khối dưới màng phổi khu trú trong phổi, thường kèm theo phá hủy xương sườn lân cận (xem Hình 14, C).

Bệnh phổi kẽ hỗn hợp dạng lưới và nốt (Bệnh lưới nốt, Reticulonodular Disease)
Sarcoidosis
- Ngoài biểu hiện đặc trưng của bệnh hạch hai bên rốn phổi và cạnh khí quản phải, khoảng một nửa số bệnh nhân mắc bệnh sarcoid lồng ngực cũng biểu hiện bệnh phổi mô kẽ. Bệnh phổi kẽ thường là một hỗn hợp của cả thành phần dạng lưới và dạng nốt.
- Sự tiến triển của bệnh sarcoid có xu hướng bắt đầu bằng bệnh lý hạch (giai đoạn I), tiến tới sự kết hợp của cả bệnh phổi mô kẽ và bệnh lý hạch (giai đoạn II), sau đó tiến triển đến giai đoạn bệnh lý hạch thoái triển trong khi bệnh phổi mô kẽ vẫn còn (giai đoạn III).
- Hầu hết bệnh nhân bị bệnh phổi nhu mô sẽ lành hoàn toàn (Hình 15).

Bệnh phổi kẽ và khoang chứa khí kết hợp
- Không phải tất cả các bệnh đều tuân theo quy luật hoặc là bệnh khoang chứa khí hoặc là bệnh phổi kẽ. Một số bệnh kết hợp cả hai dạng cùng một lúc hoặc có thể biểu hiện như bệnh khoang chứa khí sau đó là bệnh mô kẽ. Điển hình là Bệnh lao.
- Xem thêm cơ chế bệnh sinh lao phổi http://www.benhvien103.vn/co-che-benh-sinh-lao-phoi/
Bệnh lao phổi tiên phát (Primary Pulmonary Tuberculosis)
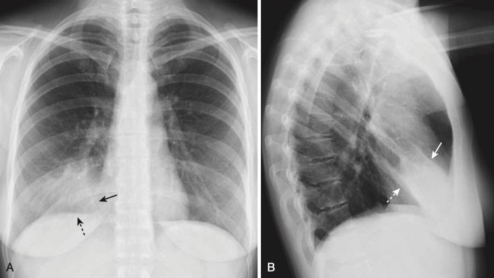
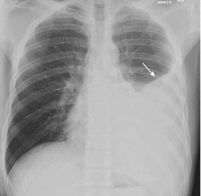
- Tương đối ít bệnh nhân lao tiên phát có biểu hiện bệnh lý lâm sàng. Các thùy trên bị ảnh hưởng nhiều hơn một chút so với các thuỳ dưới. Các biểu hiện cổ điển bao gồm viêm phổi thùy (Hình 16), đặc biệt với bệnh lý hạch kèm theo, bệnh hạch một bên rốn phổi hoặc hạch trung thất mà không có bệnh lý nhu mô (thường gặp hơn ở trẻ em), và tràn dịch màng phổi lượng nhiều và thường không có triệu chứng (phổ biến hơn ở người lớn) (Hình 17). Hiếm khi tạo hang.


Bệnh lao hậu tiên phát/Postprimary Tuberculosis (“Lao tái hoạt”)
- Hầu hết các trường hợp lao ở người lớn xảy ra khi có sự tái hoạt động của ổ nhiễm khuẩn tiên phát mắc phải trong thời thơ ấu. Nhiễm khuẩn lao giới hạn chủ yếu ở các phân thuỳ đỉnh và sau của các thuỳ trên và các phân thuỳ trên của các thuỳ dưới. Hoại tử bã đậu (caseous necrosis) và nang lao/tubercle (tích tụ đại thực bào đơn nhân, tế bào khổng lồ Langhans bao quanh bởi tế bào lympho và nguyên bào sợi) là những dấu hiệu bệnh lý đặc trưng của bệnh lao sau nguyên phát.
- Lành bệnh thường xảy ra với xơ hóa và co rút phổi lại.
Các dạng phân bố của bệnh lao hậu tiên phát
- Bệnh tạo hang ở thùy trên hai bên rất phổ biến. Hang này thường có thành mỏng, nhẵn ở bờ bên trong và không chứa mức dịch – khí (Hình 18).
- Có thể biểu hiện như viêm phổi.
- Sự lan truyền giữa các phế quản có thể xảy ra từ một thùy trên sang thùy dưới đối diện hoặc đến một thùy khác ở một trong hai phổi (Hình 19).
- Giãn phế quản – thường không triệu chứng (Hình 20).
- Hẹp phế quản là do xơ hóa và rút lại. Xơ hóa có thể gây biến dạng phế quản và xẹp phổi nhiều năm sau lần nhiễm trùng ban đầu – “hội chứng thùy giữa” (“middle lobe syndrome”).
- Nốt phổi đơn độc – u lao – có thể xảy ra ở bệnh lao tiên phát hoặc hậu tiên phát. Đây là những tổn thương hình tròn hoặc bầu dục thường kết hợp với những bóng mờ nhỏ, rời rạc ở ngay quanh tổn thương – gọi là tổn thương “vệ tinh”.
- Tràn dịch màng phổi trong bệnh lao hậu tiên phát hầu như luôn luôn có nghĩa là bệnh lây lan trực tiếp vào khoang màng phổi – tiên lượng nặng hơn so với tràn dịch màng phổi dạng tiên phát.



Lao kê (Miliary Tuberculosis)
- Biểu hiện sự lan truyền trực khuẩn lao qua đường máu. Khởi phát ngấm ngầm. Sốt, ớn lạnh và đổ mồ hôi ban đêm là thường gặp. Có thể mất vài tuần từ thời điểm phát tán đến khi có hình ảnh bệnh xuất hiện trên X quang. Lao kê có thể xảy ra như một biểu hiện của lao tiên phát hoặc lao hậu tiên phát, mặc dù biểu hiện lâm sàng của lao kê có thể không xuất hiện trong nhiều năm sau khi bị nhiễm trùng ban đầu.
- Khi mới nhìn thấy, các nốt kê có kích thước khoảng 1 mm; chúng có thể phát triển đến 2 đến 3 mm nếu không được điều trị. Khi được điều trị, các tổn thương thường sạch nhanh. Lao kê hiếm khi lành với các nốt vôi hóa (Hình 21).

Lược dịch có chỉnh sửa từ: Learning Radiology: RECOGNIZING THE BASICS. William Herring, MD, FACR.3rd EDITION. Elsevier Inc 2016.







