Những tiến bộ trong chẩn đoán hình ảnh thần kinh đã có tác động đáng kể đến việc chẩn đoán và điều trị các bệnh lý thần kinh, từ việc phát hiện và điều trị đột quỵ sớm hơn đến chẩn đoán kịp thời hơn chứng sa sút trí tuệ và phát hiện và điều trị nhanh chóng các phình động mạch não đến khả năng chẩn đoán bệnh xơ hoá rải rác chỉ sau một đợt duy nhất.
Bài viết sẽ được trình bày làm 2 phần, phần 1 trình bày các đặc điểm của CT và MRI trong ghi hình não, và bệnh lý não do chấn thương. Phần 2 chủ yếu trình bày bệnh lý não nội khoa.
Chụp cắt lớp vi tính (CT) lẫn chụp cộng hưởng từ (MRI) đều được sử dụng để nghiên cứu não và tủy sống, nhưng MRI là nghiên cứu được lựa chọn đầu tiên cho hầu hết các tình huống lâm sàng (Bảng 1). Chụp X quang thông thường không có vai trò đáng kể trong việc chẩn đoán hình ảnh các bất thường nội sọ.
| Bất thường | Thăm dò chọn lựa đầu tiên | Các thăm dò khác |
|---|---|---|
| Đột quỵ cấp | Hình ảnh trọng khuyếch tán cho đột quỵ cấp hoặc nhỏ, nếu có | Chụp CT không cản quang có thể phân biệt xuất huyết với nhồi máu |
| Nhức đầu, nặng và cấp tính | Chụp CT không cản quang để phát hiện xuất huyết dưới nhện | Chụp mạch MR (MRA), hoặc chụp mạch CT (CTA) để phát hiện phình động mạch nếu phát hiện xuất huyết dưới nhện |
| Nhức đầu, mạn tính | Chụp cộng hưởng từ (MRI) không/có thuốc | Có thể thay bằng CT không/ có cản quang |
| Co giật | MRI không/có thuốc | CT không/có thuốc cản quang nếu không có MRI |
| Máu | CT không cản quang | Siêu âm với trẻ nhỏ |
| Chấn thương đầu | CT không cản quang là lựa chọn hàng đầu | MRI nhạy hơn trong phát hiện tổn thương sợi trục lan tỏa, nhưng đòi hỏi nhiều thời gian hơn và không phải lúc nào cũng có sẵn |
| Bệnh động mạch cảnh ngoài sọ | Siêu âm Doppler | MRA là thăm dò rất tốt; CTA tốt nhất để đánh giá hẹp trước khi phẫu thuật |
| Não úng thủy | MRI là nghiên cứu ban đầu | CT để theo dõi |
| Chóng mặt và xoàng đầu | MRI có thuốc | MRA nếu cần |
| Khối u | MRI có thuốc | CT có thuốc nếu không có MRI |
| Thay đổi trạng thái tâm thần | MRI không/có thuốc | CT không thuốc cản quang |
GIẢI PHẪU BÌNH THƯỜNG VÀ HÌNH ẢNH CT
- Giải phẫu bình thường của não trên hình ảnh CT nhìn dễ hiểu hơn một chút so với MRI.
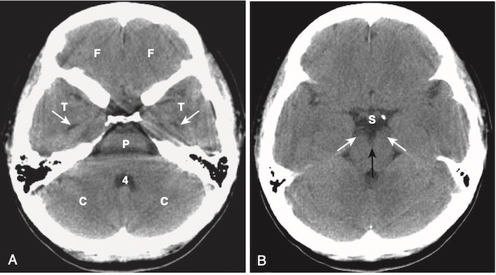
- Ở hố sau (posterior fossa), não thất 4 xuất hiện như một cấu trúc hình chữ U ngược. Tương tự như tất cả các cấu trúc chứa dịch não tủy (CSF, cerebrospinal fluid), nó thường có màu đen trên CT. Phía sau não thất thứ 4 là các bán cầu tiểu não, và phía trước là cầu não và hành tủy. Lều tiểu não (tentorium cerebelli) ngăn cách các thành phần dưới lều của hố sau (hành tủy, cầu não, tiểu não và não thất 4) với khoang trên lều. (Hình 1A)
- Bể chứa gian cuống (interpeduncular cistern) nằm trong não giữa và ngăn cách các cặp cuống não, các cuống này nổi lên từ bề mặt trên của cầu não. Bể chứa trên tuyến yên (suprasellar cistern) nằm trước bể chứa gian cuống và thường có hình dạng giống như hình sao năm hoặc sáu cánh. (Hình 1B)
- Các khe sylvian đối xứng hai bên và chứa dịch não tủy. Chúng tách thuỳ thái dương khỏi thùy trán và thùy đỉnh. (Hình 1C)
- Nhân bèo (lentiform nucleus) bao gồm bèo sẫm (putamen) (nằm ngoài) và cầu nhạt (globus pallidus) (nằm trong) (Hình 1E). Não thất ba có dạng rãnh và nằm ở đường giữa. Ở phía sau của não thất ba là tuyến tùng. Phía sau hơn nữa là bể chứa củ não sinh tư (quadrigeminal plate cistern). (Hình 1C)
- Thể chai (corpus callosum) nối bán cầu đại não phải và trái và tạo thành mái của não thất bên. Đầu trước được gọi là genu (gối ), và đầu sau được gọi là splenium (nghĩa là như cuộn băng, dịch là lồi?).
- Các hạch nền được đại diện bởi nhân dưới đồi, chất đen, cầu nhạt, bèo sẫm và nhân đuôi (caudate nucleus). Bèo sẫm và nhân đuôi được gọi thể vân (striatum).
- Sừng (trán) trước của não thất bên ôm lấy đầu của nhân đuôi (Hình 1D, E). Hai sừng trước được ngăn cách bởi vách trong suốt (septum pellucidum) ở đường giữa. Sừng thái dương, bình thường rất nhỏ, ở thấp hơn và nằm trong thùy thái dương. Sừng sau của não thất bên (sừng chẩm) nằm trong thùy chẩm. (Hình 1F) Phần cao nhất của hệ thống não thất là các thân của não thất bên.
- Liềm não (falx cerebri) nằm trong khe liên bán cầu, ngăn cách hai bán cầu đại não và thường bị vôi hóa ở người lớn.
- Bề mặt hoặc vỏ não được tạo thành từ các cuộn chất xám bao gồm các sulci (rãnh) và gyri (hồi). Chất trắng bên trong nằm bên dưới vỏ não.



Hình 1. Chụp cắt lớp vi tính đầu bình thường không cản quang.
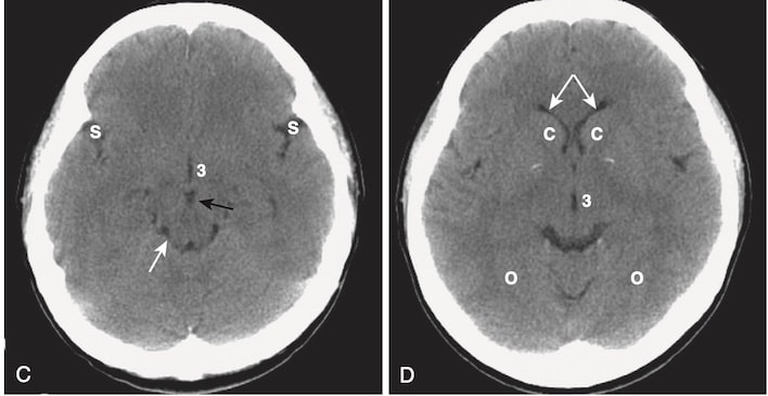
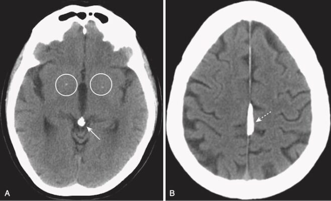
- Trên chụp CT não không cản quang, bất cứ thứ gì xuất hiện “màu trắng” thường hoặc là mật độ xương (canxi) hoặc máu, nếu không có dị vật kim loại (Bảng 2).
- Vôi hóa có thể thấy trên CT não và không phải bệnh lý (Hình 2). Vôi hóa sinh lý có xu hướng tăng dần theo tuổi tác.
- Tuyến tùng (xem Hình 2, A)
- Hạch nền (xem Hình 2, A)
- Đám rối màng mạch (xem Hình 1, F)
- Liềm não và lều (xem Hình 2, B)
- Các cấu trúc bình thường có thể tăng cường tín hiệu sau khi dùng thuốc cản quang tĩnh mạch có i-ốt:
- Xoang tĩnh mạch
- Đám rối màng mạch
- Tuyến yên và cuống yên
- Các chất kim loại trong đầu có thể gây nhiễu (artifact) trên phim chụp CT. Vật liệu hàn răng, kẹp phình động mạch và mảnh đạn đều có thể gây ra nhiễu vệt.

| Giảm đậm độ/Hypodense (Tối) (còn được gọi là giảm tín hiệu/hypointense) | Đồng đậm độ/Isodense | Tăng đậm độ/Hyperdense (Sáng) (còn được gọi là tăng tín hiệu/hyperintense) |
|---|---|---|
| Mỡ (thường không có ở đầu) Không khí (ví dụ, xoang) Nước (ví dụ, dịch não tủy) Máu tụ dưới màng cứng mạn tính / hygromas | Não bình thường Một số dạng protein (ví dụ, máu tụ dưới màng cứng bán cấp) | Kim loại (ví dụ, kẹp phình động mạch hoặc viên đạn) Iốt (sau khi tiêm thuốc cản quang) Canxi Xuất huyết (protein cao ) |
MRI VÀ NÃO
- Nói chung, MRI là nghiên cứu được lựa chọn để phát hiện và phân loại các bất thường nội sọ và tủy sống. Nó thường nhạy hơn CT vì độ tương phản và độ phân giải mô mềm cao hơn. Tuy nhiên, nó ít nhạy hơn so với CT trong việc phát hiện vôi hóa ở các tổn thương và xương vỏ. MRI không thể sử dụng được với hầu hết các bệnh nhân có máy tạo nhịp tim.
- MRI khó giải thích hơn là CT. Cấu trúc hoặc bất thường giống nhau sẽ xuất hiện khác nhau tùy thuộc vào chuỗi xung và các thông số quét. Ngoài ra, MRI thay đổi với sự thay đổi theo thời gian của một số bất thường (ví dụ: xuất huyết).
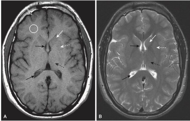
- Đánh giá ban đầu của MRI não có thể bắt đầu với hình ảnh đứng dọc T1w. Trên chuỗi quét này, não trong như các mẫu vật hoặc sơ đồ giải phẫu quen nhìn (Hình 3). Một thuận lợi là nhiều cấu trúc trong não đối xứng theo cặp ở hai bên, do đó đừng quên so sánh bên này với bên kia trên ảnh cắt ngang của não (Hình 4).
- Bảng 3 tóm tắt các đặc điểm tín hiệu của các mô khác nhau quan sát được trên MRI.


| Sáng trên T1 | Tối trên T1 | Sáng trên T2 | Tối trên T2 |
|---|---|---|---|
| Mỡ | Vôi hoá | Nước (phù, CSF) | Mỡ |
| Gadolinium | Khí | Vôi hoá | |
| Nhiều protein | Xuất huyết mạn tính | Xuất huyết tối cấp | KHí |
| Xuất huyết bán cấp | Xuất huyết cấp tính | Xuất huyết bán cấp muộn | Xuất huyết bán cấp sớm |
| Melanin | Nước (phù, CSF) | Xuất huyết mạn Xuất huyết cấp Nhiều protein |
CHẤN THƯƠNG SỌ NÃO
- CT không cản quang là nghiên cứu được lựa chọn trong chấn thương sọ não cấp tính. Mục tiêu chính trong chụp cắt lớp là để xác định xem có tổn thương đe dọa tính mạng nhưng có thể điều trị được hay không.
- Đánh giá CT não ban đầu trong trường hợp khẩn cấp tập trung vào việc có (a) hiệu ứng choán chỗ (mass effect) và (b) máu hay không.
- Để xác định xem có hiệu ứng choán chỗ hay không, hãy tìm sự dịch chuyển hoặc đè ép của các cấu trúc chính so với vị trí bình thường của chúng bằng cách phân tích vị trí và hình dáng của các não thất, bể đáy và các rãnh não.
- Máu thường tăng đậm độ (sáng) và có thể đọng lại trong các bể đáy, khe sylvian và khe liên bán cầu, các não thất, khoang dưới màng cứng hoặc ngoài màng cứng, hoặc trong nhu mô não.
Gãy xương sọ (Skull fractures)
- Gãy xương sọ thường do tác động trực tiếp vào hộp sọ và chúng thường xảy ra tại điểm va chạm. Sự hiện diện của gãy xương sọ ngụ ý lực đủ mạnh có thể gây ra chấn thương nội sọ.
- Để phát hiện được các gãy xương sọ, hãy xem hình ảnh chụp CT bằng cửa sổ “xương” để thấy rõ nhất cấu trúc xương (Hình 5).
- Gãy xương sọ có thể được mô tả là dạng thẳng, lún hoặc nền sọ.

Gãy xương sọ thẳng (Linear skull fractures)
- Gãy xương sọ thẳng là trường hợp thường gặp nhất và có ít quan trọng ngoài các bất thường nội sọ có thể xảy ra tại thời điểm gãy, chẳng hạn như tụ máu ngoài màng cứng. Gãy vòm sọ thường xảy ra nhất ở xương thái dương và xương đỉnh (xem Hình 5, B).
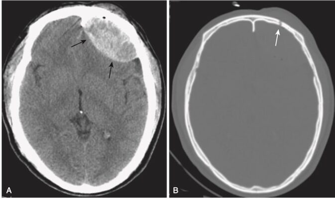
Gãy xương sọ lún (Depressed skull fractures)
- Gãy lún sọ (Hình 6) có nhiều khả năng kèm theo chấn thương não bên dưới. Gãy lún là kết quả của một va đập có năng lượng cao vào một vùng nhỏ của hộp sọ, thường là ở vùng trán và thường bị vỡ nhiều mảnh. Có thể cần phẫu thuật nâng mảnh bị lún (xem Hình 6, A).
Gãy xương nền sọ (Basilar skull fractures)
- Gãy nền sọ là loại gãy nặng nề nhất và bao gồm một vết gãy thẳng ở đáy hộp sọ. Gãy xương có thể kèm theo các vết rách màng cứng làm rò rỉ dịch não tủy, có thể dẫn đến chảy dịch não tủy ở lỗ mũi hoặc lỗ tai.
- Có thể nghi ngờ gãy xương này nếu có không khí trong não (não chứa khí do chấn thương), chất dịch trong xoang chũm, hoặc mức dịch – khí trong xoang bướm (sphenoid sinus) (xem Hình 6, B).

Gãy xương mặt
- CT là nghiên cứu hình ảnh được lựa chọn để đánh giá gãy xương mặt. Máy quét đa lát cắt cho phép tái tạo các mặt phẳng đứng dọc (sagittal) và mặt phẳng trán (coronal) để bệnh nhân không cần phải thay đổi tư thế trong máy quét.
- Cần cẩn thận trong chẩn đoán gãy xương mặt nếu chỉ dựa vào dấu hiệu có vẻ là gãy xương chỉ trên một hình ảnh. Hãy tìm vết gãy xuất hiện trên vài hình ảnh liền kề.
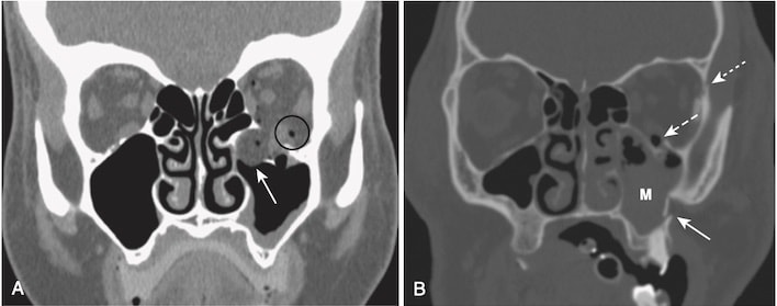
- Gãy xương ổ mắt thường gặp nhất là gãy bung ra/bùng vỡ (blow-out fracture) (Hình 7), được tạo ra do tác động trực tiếp lên ổ mắt (ví dụ, một quả bóng chày đập vào mắt) và gây ra sự gia tăng đột ngột áp lực trong ổ mắt dẫn đến gãy của sàn ổ mắt dưới (vào trong xoang hàm trên/maxillary sinus) hoặc thành trong của ổ mắt (vào trong xoang sàng/ethmoid sinus). Đôi khi cơ thẳng dưới có thể bị kẹt trong chỗ gãy, dẫn đến hạn chế nhìn lên trên và nhìn đôi.
- Nhận biết gãy bung ra ổ mắt (xem Hình 7, A):
- Khí thũng ổ mắt. Không khí trong ổ mắt thông với một trong các xoang chứa không khí lân cận, hoặc xoang sàng hoặc xoang hàm trên
- Gãy xương qua thành trong hoặc sàn của ổ mắt
- Kẹt mỡ và / hoặc cơ ngoại nhãn, đi xuống dưới như khối mô mềm vào đỉnh xoang hàm trên
- Dịch (máu) trong xoang hàm trên
- Gãy ba chân (tripod fracture), thường là do tác động lực mạnh lên gò má, là một dạng gãy xương mặt tương đối phổ biến khác. Loại gãy liên quan đến việc tách gò má (zygoma) khỏi phần còn lại của mặt bằng cách tách đường khớp trán-gò má, gãy sàn ổ mắt và gãy thành ngoài của bên của xoang hàm trên cùng bên (xem Hình 7, B)

XUẤT HUYẾT NỘI SỌ (INTRACRANIAL HEMORRHAGE)
- Gãy xương sọ có thể kết hợp với xuất huyết nội sọ và / hoặc tổn thương sợi trục lan tỏa.
- Có bốn loại xuất huyết nội sọ có thể liên quan đến chấn thương sọ não:
- Tụ máu ngoài màng cứng
- Tụ máu dưới màng cứng
- Xuất huyết trong não
- Xuất huyết dưới nhện (được thảo luận với phình động mạch)
Tụ máu ngoài màng cứng (Extradural Hematoma)
- Tụ máu ngoài màng cứng là xuất huyết vào khoảng giữa màng cứng và mặt trong của xương sọ (Bảng 4).
- Hầu hết các trường hợp là do chấn thương động mạch hoặc tĩnh mạch màng não giữa do chấn thương sọ não, điển hình là do tai nạn xe cơ giới.
- Hầu như tất cả máu tụ ngoài màng cứng (95%) có kèm theo gãy xương sọ, thường là xương thái dương. Máu tụ ngoài màng cứng cũng có thể do vỡ của các xoang tĩnh mạch màng cứng gần với vết nứt xương sọ.
- Nhận biết tụ máu ngoài màng cứng:
- Máu tụ biểu hiện dưới dạng một khối hình thấu kính hai mặt lồi, đậm độ cao, thường thấy nhất ở vùng thái dương đỉnh của não (Hình 8).
- Vì màng cứng thường dính với vòm sọ (calvarium) ở mép các đường khớp sọ (sutures) nên máu tụ ngoài màng cứng không thể vượt quá các đường khớp sọ (máu tụ dưới màng cứng có thể vượt quá các đường khớp).
- Máu tụ ngoài màng cứng có thể vượt qua lều, nhưng máu tụ dưới màng cứng thì không.
| Lớp | Nhận xét |
|---|---|
| Màng cứng (Dura mater) | Bao gồm hai lớp: một lớp màng ngoài màng xương (periosteal), không thể tách rời khỏi hộp sọ, và một lớp màng não bên trong; lớp màng não bên trong có những nếp gấp lại để tạo thành lều não và liềm não. |
| Màng nhện (Arachnoid) | Lớp giữa vô mạch; nó được ngăn cách với màng cứng bởi một khoang được gọi là không gian dưới màng cứng. |
| Màng mềm (Pia mater) | Áp sát não và tủy sống, màng mềm mang các mạch máu cung cấp cho não và tuỷ; ngăn cách màng nhện với màng mềm là khoang dưới nhện; màng mềm và màng nhện được gọi là leptomeninges (màng não mỏng). |

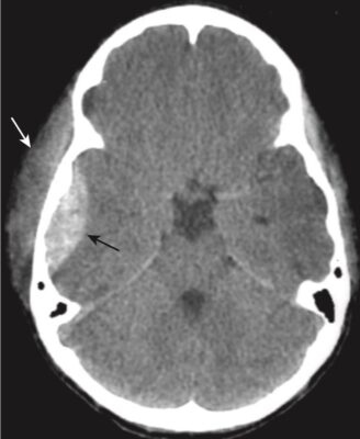
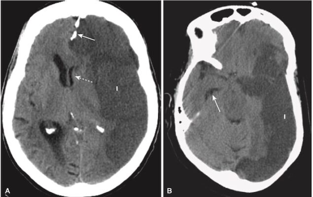
Máu tụ dưới màng cứng (Subdural Hematoma, SDH)
- Máu tụ dưới màng cứng thường gặp hơn máu tụ ngoài màng cứng và thường không kèm theo với gãy xương sọ. Máu tụ này thường là kết quả của các chấn thương giảm tốc trong tai nạn xe hơi – xe máy (bệnh nhân trẻ tuổi) hoặc thứ phát sau ngã (bệnh nhân lớn tuổi).
- Máu tụ dưới màng cứng thường được tạo ra do tổn thương các tĩnh mạch cầu nối bắt chéo từ vỏ não đến các xoang tĩnh mạch của não. Máu chảy vào khoang giữa màng cứng và màng nhện.
- Máu tụ dưới màng cứng cấp tính thường báo trước sự hiện diện của tổn thương nhu mô não nặng hơn, với tăng áp lực nội sọ, và có liên quan đến tỷ lệ tử vong cao hơn.
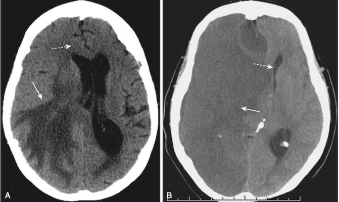
- Nhận biết máu tụ dưới màng cứng cấp tính (Hình 9)
- Trên CT, máu tụ dưới màng cứng cấp tính có hình lưỡi liềm, các dải ngoài não có đậm độ cao có thể băng ngang các đường khớp sọ và vào khe liên bán cầu. Máu tụ không vượt qua đường giữa.
- Điển hình, máu tụ dưới màng cứng lõm vào trong về phía não (máu tụ ngoài màng cứng lồi vào trong) (xem Hình 9, A).
- Sau một thời gian và khi máu tụ chuyển sang bán cấp, hoặc nếu máu dưới màng cứng được trộn với dịch não tủy có độ đậm đặc thấp hơn, chúng có thể biểu hiện đồng tín hiệu/cùng đậm độ (isodense) so với phần còn lại của não, trong trường hợp đó cần tìm các rãnh não bị ép hoặc biến mất hoặc bị đẩy lệch khỏi mặt trong xương sọ như các dấu hiệu của SDH (xem Hình 9, B).
- Các máu tụ dưới màng cứng có thể biểu hiện một mức dịch- dịch sau 1 tuần, khi các tế bào lắng xuống dưới huyết thanh.
- Tụ máu dưới màng cứng mạn tính
- Tụ máu dưới màng cứng mạn tính là những tụ máu xuất hiện hơn 3 tuần sau khi bị chấn thương.
- Máu tụ dưới màng cứng mạn tính thường có đậm độ thấp so với phần còn lại của não (xem Hình 9, C).

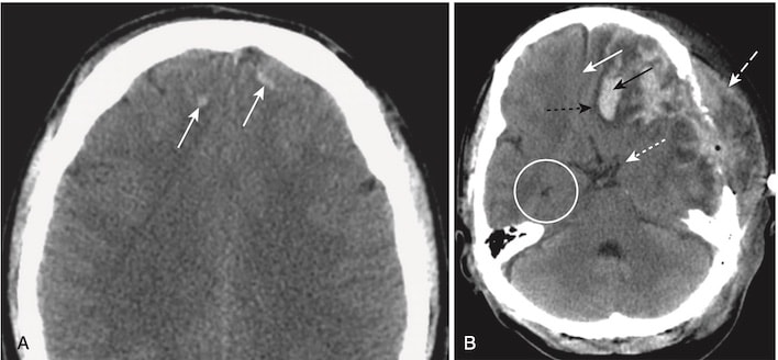
Tụ máu trong não (Intracerebral Hematoma)
- Chấn thương chỉ là một trong những cơ chế có thể dẫn đến xuất huyết trong não. Máu tụ trong não cũng có thể xảy ra do vỡ các phình mạch, bệnh xơ vữa động mạch trong các mạch máu nhỏ hoặc viêm mạch.
- Các chấn thương xảy ra tại điểm va chạm (được gọi là chấn thương đụng/coup) và chấn thương xảy ra bên đối diện với điểm va chạm (được gọi là chấn thương dội/contrecoup) là những chấn thương thường gặp nhất sau chấn thương. Các chấn thương đụng thường gây xé rách các mạch máu nhỏ trong não. Chấn thương dội là chấn thương tăng / giảm tốc xảy ra khi não bị đẩy theo hướng đối diện và đập vào mặt trong của hộp sọ.
- Một trong hai cơ chế này có thể tạo ra dập não (contusion). Các đụng dập xuất huyết là những xuất huyết, kèm theo phù nề, thường thấy ở phần dưới thùy trán và phần trước thùy thái dương trên hoặc gần bề mặt của não (Hình 10).
- Các dấu hiệu trên CT của xuất huyết trong não thay đổi theo thời gian và có thể không hiện rõ ngay lập tức trên phim chụp đầu tiên. MRI thường thể hiện các tổn thương từ thời điểm bị chấn thương nhưng có thể không có sẵn trong trường hợp khẩn cấp.
- Nhận biết xuất huyết trong não do chấn thương trên CT:
- Đụng dập xuất huyết não có thể xuất hiện dưới dạng nhiều vùng nhỏ, được phân cách rõ ràng với đậm độ cao trong nhu mô não (xem Hình 10, A).
- Chúng có thể được bao quanh bởi một vành giảm tín hiệu (hypodense) do phù nề (xem Hình 10, B).
- Có thể có máu trong não thất (Hình 11).
- Hiệu ứng choán chỗ thường gặp. Hiệu ứng choán chỗ có thể ép các não thất và đẩy lệch não thất thứ 3 và vách ngăn sang bên đối diện. Sự dịch chuyển như vậy có thể gây ra tổn thương não hoặc mạch máu nghiêm trọng.
- Những di lệch này được gọi là thoát vị (herniation). Những bệnh nhân có hiệu ứng choán chỗ đủ lớn có nguy cơ bị thoát vị não qua lều hoặc dưới liềm và tử vong (xem Hình 10, B). Các dạng thoát vị não được mô tả trong Bảng 5.


| Loại | Ghi chú |
|---|---|
| Thoát vị dưới liềm (Subfalcine herniation) | Não trên lều, cùng với não thất bên và vách trong suốt, thoát vị bên dưới liềm não và dịch chuyển qua đường giữa sang bên đối diện (xem Hình 12, A). |
| Thoát vị xuyên lều (Transtentorial herniation) | Thường thì các bán cầu đại não bị dịch chuyển xuống dưới qua khuyết (incisura) dưới lều, chèn ép sừng thái dương cùng bên và làm giãn sừng thái dương đối bên (xem Hình 12, B). |
| Thoát vị lỗ lớn/hạnh nhân (Foramen magnum/ tonsillar herniation) | Não dưới lều bị dịch chuyển xuống dưới qua lỗ lớn. |
| Thoát vị xương bướm (Sphenoid herniation) | Não trên lều trượt qua xương bướm hoặc là ra trước (trong trường hợp của thùy thái dương) hoặc ra phía sau (đối với thùy trán). |
| Thoát vị ngoài sọ | Sự dịch chuyển não qua một khiếm khuyết của xương sọ. |

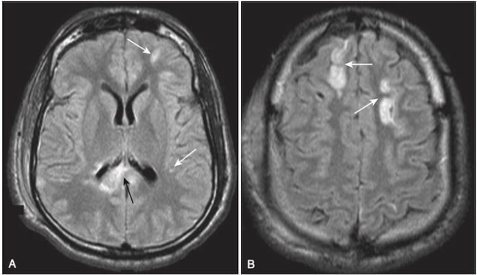
TỔN THƯƠNG SỢI TRỤC LAN TOẢ (DIFFUSE AXONAL INJURY, DAI)
- Tổn thương sợi trục lan tỏa là nguyên nhân dẫn đến hôn mê kéo dài sau chấn thương sọ não và là chấn thương sọ não có tiên lượng xấu nhất.
- Các lực tăng / giảm tốc làm tổn thương các sợi trục sâu dưới vỏ não, gây mất ý thức ngay từ lúc bị chấn thương (thường là do tai nạn ô tô xe máy).
- Thể chai thường bị ảnh hưởng và chụp CT ban đầu có thể bình thường hoặc có thể đánh giá thấp mức độ tổn thương. Các phát hiện trên CT có thể tương tự như được mô tả đối với xuất huyết não sau chấn thương sọ não.
- MRI là nghiên cứu được lựa chọn trong việc xác định tổn thương sợi trục lan tỏa.
- Các chấm xuất huyết nhỏ có thể sáng trên hình ảnh T1w. (Trên một số chuỗi quét mới hơn, những chấm xuất huyết này có thể có màu sẫm.)
- Phát hiện thường gặp nhất là nhiều vùng sáng trên ảnh T2W tại điểm nối vỏ-tuỷ ở thuỳ thái dương hoặc thuỳ đỉnh hoặc trong thể chai (Hình 13).

TĂNG ÁP LỰC NỘI SỌ (INCREASED INTRACRANIAL PRESSURE)
- Một số dấu hiệu lâm sàng của tăng áp lực nội sọ là phù gai thị, nhức đầu và nhìn đôi.
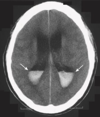
- Nói chung, tăng áp lực nội sọ là do phù não, dẫn đến tăng thể tích não, hoặc não úng thủy, tức là tăng kích thước của các não thất.
Phù não (Cerebral Edema)
- Ở người lớn, những nguyên nhân phổ biến nhất của phù não là chấn thương, tăng huyết áp (liên quan đến chảy máu trong não và đột quỵ), và các khối u.
- Phù não được chia thành hai loại chính: do mạch máu và do nhiễm độc tế bào (Hình 14).
- Phù não do mạch máu (Vasogenic edema) thể hiện sự tích tụ dịch ngoại bào và là loại có liên quan đến bệnh ác tính và nhiễm trùng. Nguyên nhân là do bất thường tính thấm của hàng rào máu não. Phù não này chủ yếu ảnh hưởng đến chất trắng (xem Hình 14, A).
- Phù não do nhiễm độc tế bào (Cytotoxic edema) biểu hiện phù tế bào và có liên quan đến thiếu máu não cục bộ. Phù não này là do chết tế bào và ảnh hưởng đến cả chất xám và chất trắng (xem Hình 14, B).
- Nhận biết phù não:
- Mất sự phân biệt bình thường giữa chất xám và chất trắng trong phù do nhiễm độc tế bào.
- Có thể có hiện tượng xoá mờ (đè nén hoặc bít tắc) của các nếp gấp vỏ não (sulci) bình thường.
- Các não thất có thể bị đè ép (Hình 15).
- Sự thoát vị của não có thể biểu hiện, một phần, bởi sự xoá mờ của các bể đáy (xem Hình 10, B).
- Tăng áp lực nội sọ thứ phát do tăng kích thước của não thất được thảo luận trong phần 2, mục “Não úng thủy”.


Lược dịch có chỉnh sửa từ: Learning Radiology: RECOGNIZING THE BASICS. William Herring, MD, FACR.3rd EDITION. Elsevier Inc 2016.







