- Tên tiếng Anh: Scaphoid Fracture
- Mã ICD 10: S62.0
BỆNH LÝ
Nhắc lại giải phẫu:
Xương thuyền là xương lớn nhất ở hàng xương trên của cổ tay, khớp nối với xương quay, xương nguyệt, xương thang và xương cả. Là xương có cấu trúc 3 chiều phức tạp, được một tả giống như một chiếc thuyền, có hướng chéo so với trục dọc của tay. Xương thuyền gồm cực trên, cực dưới, và một eo (waist) ở giữa. Trên 75% xương thuyền được bao phủ bởi sụn khớp.

Cung cấp máu
- nguồn cung cấp máu chính là nhánh mu cổ tay (nhánh của động mạch quay), đi vào xương thuyền ở một đường gờ không khớp trên mặt lưng và cung cấp máu cho 80% cực trên của xương thuyền qua nhánh ngược lên. Phần ba trên của xương thuyền được cấp máu từ tuần hoàn ngược lên và do đó có nguy cơ cao bị hoại tử xương khi gãy xương ở eo.
- nguồn cung cấp máu ít hơn từ cung gan tay nông (nhánh của động mạch quay gan tay), đi vào cực dưới và cung cấp máu cho cực dưới xương thuyền.

Nguyên nhân
- Nguyên nhân thường gặp là tai nạn sinh hoạt, khi bệnh nhân ngã chống tay, duỗi khuỷu. Lực tải dọc trục của cổ tay ở tư thế quá duỗi và nghiêng quay có thể gây ra gãy xương do xương thuyền tác động lên vành sau của xương quay.
- Thể thao có va chạm và tai nạn giao thông cũng là những nguyên nhân phổ biến.
- Các khối u và nhiễm trùng là những nguyên nhân hiếm gặp gây gãy xương thuyền bệnh lý.

Dịch tễ học
Gãy xương thuyền (cổ tay) là loại gãy xương cổ tay phổ biến nhất (60% gãy xương cổ tay) và gãy xương cổ tay thường khó chẩn đoán và điều trị. Thường gặp ở nam giới, tuổi trẻ (30-40), ít gặp ở người già và trẻ em.
Phân loại:
Gãy xương thuyền thường được phân loại theo vị trí gãy:
- Một phần ba trên,
- Một phần ba giữa (eo hoặc cổ xương thuyền),
- Một phần ba dưới (hoặc lồi củ).
Phần lớn các trường hợp gãy xương (khoảng 65%) xảy ra ở phần eo (cổ) xương thuyền, 25% ở 1/3 trên và 10% ở 1/3 dưới. Bên cạnh vị trí gãy xương, mức độ vỡ xương và di lệch có ảnh hưởng đáng kể đến tốc độ lành xương.
Một số phân loại chi tiết hơn: Phân loại Herbert và Fisher dựa trên độ vững của gãy xương, Phân loại Mayo (dựa vào vị trí đường gãy)
Tỷ lệ hoại tử vô mạch (AVN) có mối liên quan chặt chẽ với vị trí gãy xương; đoạn gần có tỷ lệ AVN 100%, giảm còn 33% ở đoạn xa xương thuyền.
CHẨN ĐOÁN
Lâm sàng
Gãy xương thuyền thường xảy ra khi ngã chống tay với cổ tay duỗi quá mức và nghiêng bên quay, thường gặp nhất ở những bệnh nhân nam trẻ tuổi hoạt động. Bệnh nhân thường bị đau, và đau khi ấn ở hõm lào giải phẫu (giữa khoang mu cổ tay thứ nhất và thứ hai), ít gặp hơn là ở cực dưới của xương thuyền (lồi củ), và có thể tăng đau khi bị ép dọc theo trục của xương bàn ngón tay cái (nghiệm pháp ép xương thuyền), và giảm lực cầm nắm.


Cần khai thác tiền sử hút thuốc lá vì tăng nguy cơ không liền xương khoảng 20%.
Các biến chứng bao gồm không liền xương, hoại tử xương, can lệch, làm thay đổi vận động học cổ tay. Điều này có thể dẫn đến đau, giảm ROM, giảm sức mạnh và thoái hóa khớp quay – cổ tay sớm.
Hình ảnh học
X quang
Gãy xương thuyền không di lệch thường khó đánh giá bằng X quang.
Các phim X quang ban đầu nên gồm phim thẳng, nghiêng, và chéo và phim thẳng với cổ tay nghiêng trụ.
Khoảng 25% gãy xương thuyền không được phát hiện trên các phim chụp ban đầu. Do đó nếu có nghi ngờ, nên bất động cổ tay khoảng 2 tuần bằng bột hoặc nẹp và chụp phim lặp lại.
MRI
Nếu nghi ngờ về lâm sàng, MRI rất nhạy trong phát hiện gãy xương thuyền, sớm nhất là 2 ngày sau chấn thương. Lợi ích của MRI:
- xác định ngay lập tức các vết gãy/tổn thương dây chằng
- đánh giá tình trạng mạch máu của xương (mạch máu ở đầu gần)
- rất tốt để đánh giá gãy xương ẩn
MRI có độ nhạy 97.7%m và độ đặc hiệu 99.8%.

Xạ hình xương
Nếu chẩn đoán vẫn còn nghi vấn thì chỉ định chụp xạ hình xương (Tiel-van Buul 1993).
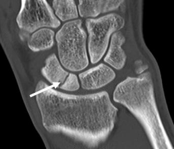
Chụp CT
Là phương thức tốt nhất để đánh giá vị trí gãy xương, góc, sự di lệch, kích thước mảnh gãy, mức độ xẹp và tiến triển của tình trạng không liền xương hoặc liền xương sau phẫu thuật
Đánh giá sự di lệch của gãy xương thuyền rất quan trọng để điều trị và thường được đánh giá tốt nhất bằng chụp cắt lớp vi tính (CT) lát mỏng (1 mm).
Sự di lệch được định nghĩa là:
- khoảng hở lớn hơn 1 mm,
- góc thuyền nguyệt ở phim nghiêng lớn hơn 60 độ,
- góc quay nguyệt phim nghiêng lớn hơn 15 độ hoặc
- góc trong xương thuyền (intra scaphoid angle) lớn hơn 35 độ.

XỬ TRÍ
Bảo tồn
Những gãy xương vững không di lệch (chiếm đa số) được điều trị bất động bằng bột/nẹp dạng ngón cái 6 tuần và đánh giá lại.
Thời gian lành xương thay đổi phụ thuộc vào vị trí gãy xương. Phần ba dưới thường lành sau – 8 tuần, phần ba giữa trong 8 – 12 tuần, và phần ba trên từ 12 – 24 tuần. Với gãy phần ba trên, ban đầu nên bất động đầy đủ hơn với bột dài cánh cẳng bàn tay.
Kết quả lành xương 90% với gãy xương thuyền di lệch < 1 mm.
Phẫu thuật
Điều trị bằng phẫu thuật được chỉ định cho những trường hợp sau:
- Gãy xương không di lệch, trong đó các biến chứng của bất động kéo dài (cứng khớp cổ tay, teo cơ mô cái và chậm quay lại lao động hoặc chơi thể thao)
- Gãy xương thuyền trước đây không được nhận biết hoặc điều trị
- Gãy xương thuyền có di lệch
- Gãy xương thuyền không lành xương.
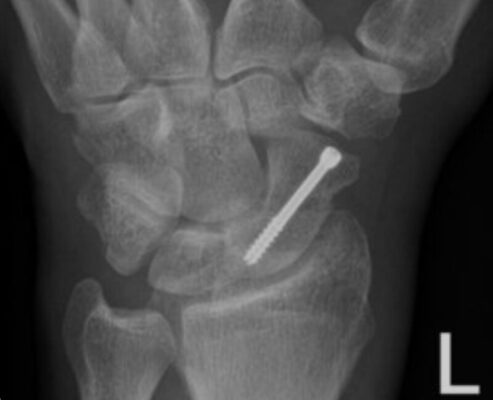
Đối với các gãy xương không di lệch hoặc di lệch tối thiểu, cố định qua da bằng vít đã trở thành phương pháp điều trị được chấp nhận. Một phân tích tổng hợp gần đây đã báo cáo rằng việc cố định qua da có thể dẫn đến sự liền xương sớm hơn 5 tuần so với điều trị bó bột và trở lại chơi thể thao hoặc làm việc sớm hơn khoảng 7 tuần so với điều trị bó bột (Modi và cộng sự 2009).

Với gãy xương không liền xương, có nhiều cách can thiệp. Ban đầu có thể mổ hở, cố định trong kèm theo ghép xương hoặc không (từ đầu dưới xương quay hoặc mào chậu). Các biện pháp khác là lấy bỏ mảnh xương cực trên, làm dính khớp, cắt mỏm trâm quay.
Sau phẫu thuật, cổ tay thường được cố định ban đầu ở nẹp bột và sau đó được bó bột hoàn toàn sau hai tuần sau khi xem lại vết thương và chụp lại phim X quang. Cổ tay được bó bột hoàn toàn cho đến sáu tuần sau phẫu thuật, và lặp lại phim chụp X quang và tháo bột nếu có dấu hiệu X quang của xương đang lành. Bệnh nhân có thể cần phải mang thêm nẹp cổ tay trong sáu tuần nữa để bảo vệ cổ tay.
Phục hồi chức năng
Sau khi được tháo bột, bệnh nhân cần tham gia một chương trình tập vận động chuẩn giống như gãy đầu dưới xương quay. Chủ yếu là vận động chủ động có trợ giúp, di động khớp và làm mạnh cơ tăng tiến.
Các mục tiêu chính là:
- Phục hồi tầm vận động
- Giảm sưng đau
- Tăng sức mạnh cầm nắm và cổ tay
- Trở lại các nhiệm vụ và hoạt động chức năng
Thường bệnh nhân có thể quay lại chơi thể thao và lái xe an toàn sau 3 tháng.
Tham khảo:
Orthobullet, NIH, Physiopedia ….







