Greater Trochanteric Pain Syndrome
Từ đồng nghĩa
- Viêm túi thanh mạc mấu chuyển lớn (Trochanteric bursitis)
- Bệnh lý gân cơ mông nhỡ
Mã ICD-10: M70.6: Viêm túi thanh mạc mấu chuyển
ĐẠI CƯƠNG
Định nghĩa
Hội chứng đau mấu chuyển lớn (Greater trochanteric pain syndrome, GTPS) là nguyên nhân thường gặp của đau mặt ngoài khớp háng. GTPS thường được đặc trưng bởi đau khu trú quanh mấu chuyển lớn.

Dịch tễ học
GTPS là biểu hiện lâm sàng khá thường gặp, chiếm 10-20% bệnh nhân đau vùng háng. Hội chứng này thường gặp ở độ tuổi từ 40-60. Nữ thường gặp hơn nam (4:1) có thể là do sự khác biệt về sinh cơ học của xương chậu và chi dưới giữa hai giới.
Nguyên nhân
Nguyên nhân gây GTPS bao gồm từ bệnh lý hoặc rách gân cơ mông nhỡ và mông nhỏ cho đến viêm túi thanh mạc mấu chuyển lớn.
Trước đây tình trạng này thường được cho là do cọ xát gân cơ mông quá mức ở chỗ bám tận lên mấu chuyển lớn dẫn đến viêm túi thanh mạc dưới cơ mông lớn; do đó nó đã được gọi là viêm túi thanh mạc mấu chuyển lớn (greater trochanteric bursitis). Tuy nhiên, các thăm dò mô bệnh học và hình ảnh học đã không luôn luôn xác định được viêm túi thanh mạc, do đó dẫn đến tên gọi lâm sàng hiện tại của chứng đau này là GTPS.
GTPS là thường là do các vi chấn thương lập lại và các lực tải bất thường lên các gân cơ mông nhỡ và mông nhỏ tại mấu chuyển lớn, dẫn đến rách hoặc bệnh lý các gân cơ này. Thoái hóa và rách gân cơ mông ở chỗ bám mấu chuyển lớn có thể phối hợp với phản ứng viêm túi thanh mạc. Các yếu tố góp phần bao gồm thoái hóa khớp háng hoặc gối, thoái hóa cột sống thắt lưng, béo phì, chênh lệch chiều dài chi thật sự và chức năng, các bất thường về dáng đ, và căng của dải chậu chày. GTPS cũng có thể xảy ra sau phẫu thuật vùng hông, chẳng hạn như phẫu thuật xương đùi, thay khớp háng, hoặc phẫu thuật nội soi khớp; hoặc nó có thể do yếu cơ dạng háng sau phẫu thuật. GTPS cũng có thể là do chấn thương trực tiếp sau khi bị ngã hoặc va chạm thể thao.
Nhắc lại giải phẫu
Mấu chuyển lớn của xương đùi là nơi bám tận của các cơ mông nhỡ, cơ mông nhỏ, cơ hình lê (piriformis) và cơ bịt trong. Nó cũng là nơi nguyên uỷ của cơ rộng ngoài.

Có ba túi thanh mạc chính là túi thanh mạc dưới cơ mông lớn, mông nhỡ và mông nhỏ.
- Túi thanh mạc dưới cơ mông lớn là lớn nhất và nằm bên ngoài mấu chuyển lớn dưới cơ mông lớn và dải chậu chày.
- Túi thanh mạc dưới cơ mông nhỡ nằm bên dưới gân cơ mông nhỡ và nằm sau trên so với diện nhỏ ngoài của mấu chuyển lớn.
- Túi thanh mạc dưới cơ mông nhỏ nằm bên dưới gân cơ mông nhỏ ở bờ trước trên các mấu chuyển lớn.
Túi thanh mạc dưới cơ mông lớn thường liên quan trong trường hợp viêm túi thanh mạc mấu chuyển lớn.

Hình . Giải phẫu mấu chuyển lớn với các vị trí bám tận của gân cơ và các túi thanh mạc. (A) Ba túi thanh mạc chính và vị trí của chúng. (B) Hình dạng mấu chuyển lớn với các diện nhỏ. (C) Nơi bám tận của gân cơ mông nhỡ và mông nhỏ. (Chỗ bám tận của gân cơ mông nhỏ là diện trước; của cơ mông nhỡ ở diện nhỏ ngoài và trên ngoài; và của cơ mông lớn và túi thanh mạc mấu chuyển là ở diện nhỏ sau)
LƯỢNG GIÁ
Triệu chứng cơ năng
Triệu chứng cơ năng chính của GTPS là mặt ngoài háng ở vùng mấu chuyển lớn. Đau có thể lan xuống mặt ngoài đùi (giả bệnh lý rễ) nhưng không quá đầu gối. Đau nhiều hơn khi vận động khớp háng, đặc biệt là xoay ngoài và dạng. Đau cũng có thể xuất hiện khi đứng, đi, leo cầu thang, bắt chéo chân, chạy. Đau có thể kéo dài và nặng lên khi thực những bài tập đột ngột không quen thuộc, ngã, chịu trọng lượng kéo dài hoặc tập thể thao quá mức (thường là chạy đường dài). Bệnh nhân có thể bị mất ngủ do đau khi nằm nghiêng lên đè chân đau hoặc nằm nghiêng chân đau ở trên trong tư thế khép háng.
Cần chẩn đoán GTPS sớm và chính xác, vì chẩn đoán nhầm hoặc muộn có thể làm triệu chứng nặng, khó trị hơn. Bệnh có thể bị nhầm với những nguyên nhân thường gặp gây đau vùng háng bao gồm thoái hoá khớp háng, đau lan từ cột sống thắt lưng và bệnh lý vùng chậu. Khả năng “mang tất và giày” là một câu hỏi hữu ích để phân biệt GTPS với thoái hoá khớp háng; bệnh nhân bị GTPS sẽ không gặp khó khăn với hoạt động này.
Khám lâm sàng
Một test lâm sàng duy nhất không đủ giá trị để chẩn đoán GTPS, nhưng khi kết hợp chúng có thể tăng khả năng chẩn đoán chính xác.
Trong GTPS, điển hình bệnh nhân đau khu trú khi sờ trực tiếp vào mấu chuyển lớn (dấu hiệu “nhảy đựng”/”jump” sign, bệnh nhân đau quá đến mức nhảy khỏi giường). Giá trị tiên lượng dương tính của đau khi ấn (PPV, positive predictive value đến 83%). Nếu không đau khi sờ thì khó có khả năng bệnh nhân bị GTPS. Đau mặt ngoài háng có thể được tái tạo bằng cách dạng háng có kháng khi bệnh nhân nằm nghiêng.
Test đứng một chân (đau khi đứng một chân trong 30 giây) là một nghiệm pháp có độ nhạy và PPV cao (100%) so với MRI; nếu dương tính khả năng bệnh nhân bị GTPS.
Kết hợp hai dấu hiệu lâm sàng này với những nghiệm pháp khác có thể gia tăng độ chính xác của chẩn đoán:
- Nghiệm pháp FABER (gập, dạng và xoay ngoài), FADER (gập, khép và xoay ngoài) và khép khớp háng thụ động ở tư thế nằm nghiêng có thể tái tạo triệu chứng đau của bệnh nhân do tăng lực căng lên gân cơ mông nhỡ và mông nhỏ.
- Các dấu hiệu lâm sàng phối hợp khác có thể bao gồm test Ober dương tính, test bước lên và xuống bục dương tính, và dáng đi Trendelenburg (yếu hoặc ức chế cơ mông nhỡ do đau).
Ghi chú: Giá trị tiên liệu dương tính (PPV, positive predictive value) là xác suất một người có kết quả test dương tính thực sự có bệnh.
Công thức PPV = TP / (TP + FP) với TP là dương tính thật, FP là dương tính giả.
Xem thêm: KHÁM KHỚP HÁNG. PHẦN 2: ĐO LƯỜNG VÀ CÁC TEST ĐẶC BIỆT
Lượng giá dáng đi, chênh lệch chiều dài chân, các bệnh lý khác ở vùng háng hoặc cột sống là một phần quan trong trong khám lâm sàng, bởi vì vận động và tải lực lên khớp bất thường ở một vùng của chuỗi động đóng có thể góp phần gây đau GTPS.
Đau liên quan đến hoạt động, đặc biệt là ở vùng trước bẹn, hoặc hạn chế tầm vận động khớp háng gợi ý bệnh lý bên trong khớp háng, như thoái hoá xương khớp, đụng chạm xương đùi- ổ cối (femoroacetabular impingement) hoặc bệnh lý sụn viền và cần phải thăm dò thêm.
Cần hỏi và thăm khám thần kinh để loại trừ bệnh lý rễ thắt lưng- cùng. Trong GTPS, thăm khám thần kinh không có phát hiện bất thường.

Hình : Một lưu đồ chẩn đoán tóm tắt các đặc điểm lâm sàng chính để chẩn đoán phân biệt của GTPS. ER = external rotation. GTPS = greater trochanteric pain syndrome. IR = internal rotation. OA = osteoarthritis. SLS = single leg stance.
Hạn chế chức năng
GTPS có thể hạn chế hoạt động và khả năng di chuyển, như đi, chạy, lên xuống cầu thang, chơi thể thao. Đau cũng có thể làm gián đoạn giấc ngủ.
Cận lâm sàng
Chẩn đoán GTPS thường có thể được thực hiện bằng hỏi bệnh và khám sàng đơn thuần. Trong những trường hợp không đáp ứng hoặc bệnh cảnh lâm sàng phối hợp, có thể cần thực hiện các thăm dò chẩn đoán hình ảnh để loại trừ các bệnh lý khác và khẳng định chẩn đoán.
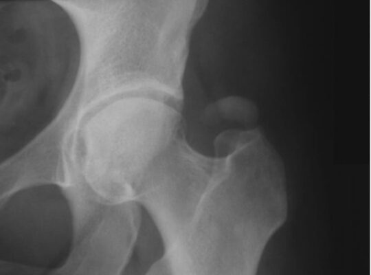
X quang khớp háng trong GTPS thường bình thường, và có thể loại trừ các chẩn đoán phân biệt thường gặp như thoái hoá khớp háng hoặc gãy xương. Đôi khi có thể thấy các nốt vôi hóa ở vùng túi thanh mạc hoặc trong chỗ bám của gân cơ (bệnh lý gân cơ canxi hoá).

X quang khớp háng một bệnh nhân bị viêm gân can xi hoá do lắng đọng tinh thể hydroxyapatie ở gân cơ mông phía trên mấu chuyển lớn
Siêu âm chẩn đoán có giá trị tiên liệu chẩn đoán (PPV) GTPS cao. Các dấu hiệu dương tính bao gồm túi thanh mạc ở mấu chuyển dày và chứa nhiều dịch với bằng chứng của viêm, các dấu hiệu bệnh gân cơ, hoặc rách trong gân cơ mông nhỡ hoặc mông nhỏ..

Hình: Siêu âm mặt phẳng cắt ngang háng ở một bệnh nhân đau mặt ngoài háng. Có dịch nghèo echo trong túi thanh mạc dưới cơ mông nhỡ (mũi tên chấm trắng), nằm giữa cơ và gân mông nhỡ (hoa thị) và diện nhỏ sau ngoài của mấu chuyển lớn. Dải chậu chày ở nông so với cơ mông nhỡ (mũi tên trắng).
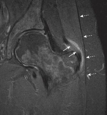
Chụp cộng hưởng từ có thể hữu ích trong trường hợp đau mặt bên háng nghi do những nguyên nhân khác. Các thay đổi trên hình ảnh MRI thường quan sát ở các bệnh nhân không triệu chứng do đó giải thích kết quả phải liên hệ với lâm sàng.

Hình ảnh MRI T2 xung xoá mỡ mặt phẳng trán một bệnh nhân đau mặt ngoài háng và viêm túi thanh mạc với tăng tín hiệu do dịch giữa dải chậu chày (mũi tên chấm trắng) và gân cơ mông nhỡ (mũi tên trắng)
Chẩn đoán phân biệt
- Thoái hóa khớp háng
- Bệnh lý rễ thắt lưng cùng
- Viêm rễ thắt lưng cùng
- Hoại tử vô khuẩn chỏm xương đùi
- Hội chứng dải chậu chày (Iliotibial band syndrome)
- Gãy cổ xương đùi
- Bệnh lý sụn viền ổ cối
- Khối u
ĐIỀU TRỊ
Cách điều trị tối ưu cho GTPS hiện vẫn còn chưa được rõ, nhưng mục đích chính là xử lý các lực tải và giảm lực ép lên mấu chuyển lớn, làm mạnh các cơ mông, và điều trị các bệnh kèm theo.
Điều trị ban đầu
Điều trị ban đầu tập trung vào giảm đau cấp tính thông qua nghỉ ngơi, chườm lạnh, các kỹ thuật mô mềm, băng dán (tapping), thuốc giảm đau hoặc chống viêm và điều chỉnh hoạt động thể thao, chẳng hạn như giảm leo cầu thang và các hoạt động làm đau tăng lên khác như chạy. Tránh đè trực tiếp lên chân đau, như khi ngủ. Nên tư vấn giảm cân nếu có béo phì.

Phục hồi chức năng
Tập luyện
Tập luyện và thay đổi lực tải (load modification) là nền tảng của điều trị hiệu quả bệnh lý gân cơ. Vật lý trị liệu cần điều chỉnh tùy theo từng bệnh nhân và trong giai đoạn đầu cần tập trung vào kiểm soát và làm mạnh cơ mông, và sau đó, khi kiểm soát vùng hông cải thiện, các bài tập làm mạnh cơ cần nhằm vào các cơ dạng háng. Ngoài ra, cần tập kiểm soát tư thế thắt lưng – chậu để gia tăng hiệu quả sinh cơ học. Để giảm lực ép lên các gân cơ mông, cần tránh các tư thế khép háng quá mức (như bắt chéo chân và các bài tập kéo dãn dải chậu chày), và ban đêm bệnh nhân có thể ngủ đặt 1 hoặc hai gối giữa hai chân.
Một số bài tập có thể khuyến cáo như là bắt cầu, tập mạnh cơ dạng háng ở tư thế nằm nghiêng, squat với theraband, bước lên xuống bục…


Điều trị vật lý
Siêu âm trị liệu có thể được sử dụng lên mặt ngoài háng (gân cơ, túi thanh mạc, dải chậu chày) tuy nhiên ít có nghiên cứu về tính hiệu quả của trị liệu này.
Những nghiên cứu ban đầu với trị liệu bằng sóng xung kích (Shock wave therapy) cho một số kết quả khả quan và cần được nghiên cứu đầy đủ hơn.

Thủ thuật
Tiêm corticosteroid có hiệu quả giảm đau và cải thiện hoạt động ngắn hạn (1 đến 6 tháng), tuy nhiên các nghiên cứu cho thấy sau 12 tháng không có sự khác biệt so với tiếp cận theo dõi và chờ đợi (không tiêm).
Trong một thử nghiệm không ngẫu nhiên so sánh giữa tiêm corticoid (75 bệnh nhân) với một chương trình tập luyện ở nhà (76 bệnh nhân); tỉ lệ thành công vào lúc 1 tháng tương ứng là 75% và 7%, nhưng sau 15 tháng là 48% với nhóm tiêm corticoid và 80% với nhóm tập luyện, cho thấy hiệu quả của tiêm corticoid chỉ là ngắn hạn. Nếu sử dụng, mục đích của tiêm corticoid là giảm đau để bệnh nhân có thể tham gia vào một chương trình PHCN hiệu quả với vật lý trị liệu hướng mục đích, thay đổi lực tải (load modification) và kiểm soát tư thế.
Phẫu thuật
Phẫu thuật được cân nhắc trong các trường hợp không đáp ứng với điều trị bảo tồn và hạn chế chức năng kéo dài. Các kỹ thuật bao gồm cắt bỏ túi hoạt dịch, giải phóng hoặc làm dài dải chậu chày, hoặc phẫu thuật mở hoặc nội soi khâu nối sửa chữa gân cơ mông, tuỳ theo nguyên nhân.
XEM CA LÂM SÀNG: ĐAU HÔNG VÀ ĐÙI
Tài liệu tham khảo chính:
Greater trochanteric pain syndrome: a review of diagnosis and management in general practice. Christopher JB Speers and Gurjit S Bhogal. British Journal of General Practice 2017; 67 (663): 479-480.
Essentials Of Physical Medicine And Rehabilitation: Musculoskeletal Disorders, Pain, And Rehabilitation, Fourth Edition. Elsevier, Inc. 2019.











