ĐẠI CƯƠNG
- Trật khớp khuỷu chiếm 11% đến 28% tổng số chấn thương ở khuỷu (Mehloff et al. 1988).
- Đây là trật khớp phổ biến nhất ở trẻ em dưới 10 tuổi và là trật khớp phổ biến thứ hai ở người lớn sau khớp vai (Morrey 1993).
- Tỷ lệ mới mắc hàng năm của trật khớp cấp tính là 6 trên 100.000 người (Linscheid và Wheeler 1965).
- Trong số tất cả các trường hợp trật khớp khuỷu, 90% là trật khớp ra sau hoặc sau ngoài.
- Biến chứng phổ biến nhất là giảm cuối tầm duỗi, với báo cáo cho thấy 60% trường hợp bị co rút (Mehloff et al. 1988).
- Bất động dài hơn 3 tuần có liên quan đến cứng và co rút khớp kéo dài (Mehloff et al. 1988, Broberg và Morrey 1987).
- Những biến chứng này làm nhấn mạnh sự cần thiết của phục hồi chức năng với việc bắt đầu sớm tầm vận động chủ động khớp khuỷu.
GIẢI PHẪU VÀ SINH CƠ HỌC
Khớp khuỷu bao gồm hai loại khớp và do đó cho phép hai loại vận động. Khớp cánh tay trụ giống như khớp bản lề, cho phép gập và duỗi, trong khi khớp cánh tay quay và khớp quay trụ trên cho phép vận động xoay quanh trục (Morrey 1986). Độ ổn định của khớp khuỷu được cung cấp bởi các mặt khớp, dây chằng bên trong và dây chằng bên ngoài, và các cơ đi ngang qua khớp.
- Dây chằng bên trong (Hình 1), hay dây chằng bên trụ, bao gồm ba phần: đoạn trước, sau và ngang. Bó trước là thành phần mạnh nhất và nổi rõ nhất, trong khi bó sau là sự dày lên của phần sau của bao khớp và cung cấp sự ổn định ở góc gập 90 độ.
- Phức hợp dây chằng bên ngoài (Hình 2) bao gồm dây chằng bên quay, dây chằng vòng quay (annular ligament), và dây chằng bên trụ ngoài (lateral ulnar collateral ligament). Dây chằng bên trụ ngoài đóng góp nhiều nhất vào sự ổn định ở mặt ngoài của khớp khuỷu. Tổn thương cấu trúc này có thể dẫn đến mất vững xoay sau ngoài.
- Các thành phần làm vững chính của khớp khuỷu bao gồm khớp cánh tay trụ, dải trước của dây chằng bên trong, và dây chằng bên trụ ngoài.
- Các thành phần làm vững phụ bao gồm chỏm xương quay, mỏm vẹt (coronoid), và bao khớp trước). Độ ổn định động được cung cấp bởi các cơ đi ngang qua khớp, bao gồm cơ nhị đầu và cơ tam đầu (An và Morrey 2000, Funk et al. 1987), nguyên uỷ của các cơ duỗi chung, và nguyên uỷ của cơ sấp – gấp.


XEM THÊM: GIẢI PHẪU CHỨC NĂNG VÙNG CÁNH -CẲNG TAY. XƯƠNG VÀ KHỚP
CƠ CHẾ CỦA CHẤN THƯƠNG
- Cơ chế của chấn thương gây trật khớp khuỷu thường là ngã chống tay với cánh tay khép.
- Một số ít trường hợp trật khớp trẻ em là do tai nạn xe cơ giới, chấn thương trực tiếp, chấn thương thể thao và các cơ chế năng lượng cao khác.
ĐÁNH GIÁ VÀ X QUANG
- Chẩn đoán xác định trật khớp khuỷu cấp tính tương đối đơn giản.
- Nhìn thấy sưng nề mô mềm và có biến dạng rõ ràng.
- Cần phải khám kỹ thần kinh mạch máu chi trên trước và sau khi chỉnh trật.
- Cần sờ và khám cổ tay và khớp vai để loại trừ tổn thương kết hợp, có thể xuất hiện trong 10% đến 15% trường hợp (Morrey 1995).
- Sau chỉnh trật cần kiểm tra cẳng tay xem có sờ đau trên khớp quay trụ dưới và màng gian cốt để xác định một biến thể của chấn thương Essex-Lopresti (gãy chỏm quay, rách màng gian cốt cẳng tay, và trật khớp quay trụ dưới).
- Cần chụp X quang (thẳng, nghiêng, và chếch) trước khi thực hiện các thao tác nắn chỉnh trật để xác định hướng trật khớp và bất kỳ gãy xương quanh khớp nào liên quan. X quang chếch đặc biệt hữu ích trong việc xác định gãy chỏm quay hoặc mỏm vẹt.
- Nếu có gãy xương nhiều mảnh, chụp cắt lớp vi tính có thể giúp xác định hình thái gãy xương.
- Cần chụp X quang sau nắn chỉnh để xác định nắn chỉnh tốt và xem có các dị vật trong khớp (phim nghiêng xác định tốt nhất mặt khớp cánh tay trụ).
PHÂN LOẠI
- Sự mất vững có thể được phân loại về mặt giải phẫu là trật khớp đơn giản (không kèm theo gãy xương) hoặc phức tạp (có gãy xương kèm theo).
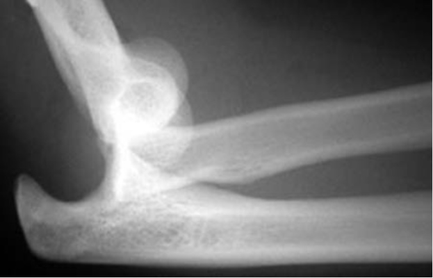
- Trật khớp đơn giản được phân loại thành ra trước hoặc ra sau. Trật khớp sau là phổ biến nhất (Mezera và Hotchkiss 2001) (Hình 3) và được chia tiếp nhỏ hơn theo hướng của xương trụ bị trật (sau, sau trong, sau ngoài, thẳng ngoài).
- Trật khớp phức tạp thường liên quan đến gãy chỏm quay, mỏm vẹt, hoặc mỏm khuỷu (olecranon). Gãy chỏm quay xảy ra ở khoảng 10% trường hợp trật khớp khuỷu, trong khi gãy mỏm vẹt xảy ra từ 2% đến 18% (Morrey 1995).
- Nguy cơ thoái hóa khớp sau chấn thương tăng lên đáng kể khi có trật khớp phức tạp (Broberg và Morrey 1987).
- Kết hợp của trật khớp khuỷu với gãy chỏm quay và mỏm vẹt đồng thời đã được gọi là “bộ ba khủng khiếp” (“the terrible triad”, cho thấy kết quả điều trị kém.
- Trật khớp tái phát không phổ biến và thường là do các bao khớp và dây chằng không lành tốt.
- Gãy xương hoặc tổn thương sụn khớp không được phát hiện có thể được nhận thấy trong phẫu thuật. Durig và cộng sự. (1979) báo cáo chấn thương xương sụn không được phát hiện trong gần 100% trường hợp trật khớp khuỷu cấp tính vào thời điểm thăm dò phẫu thuật.

ĐIỀU TRỊ
Nắn chỉnh trật khớp và bất động
Điều trị ban đầu của trật khớp khuỷu là nắn chỉnh trật khớp. Nắn chỉnh khớp cần được giảm đau và giãn cơ đầy đủ và thường có thể được thực hiện tại khoa cấp cứu.
- Chỉnh trật khớp ra sau sử dụng lực kéo dọc lên cẳng tay bắt đầu với khuỷu duỗi. Một tay ôm lấy cẳng tay, kéo lực kéo theo chiều dọc, trong khi tay kia của người khám đặt quanh khớp khuỷu. Trong khi tác động lực kéo, điều chỉnh thẳng trục nếu có vẹo trong hoặc vẹo ngoài, nhẹ nhàng đưa khuỷu đưa về tư thế gập. Các ngón tay của bàn tay xung quanh khớp khuỷu tạo một lực ép lên mỏm khuỷu ra trước, trong khi ngón tay cái đặt vào hõm trước khuỷu tạo một lực ngược lại ra phía sau, nhẹ nhàng bẩy mỏm khuỷu ra trước và xuống dưới quanh ròng rọc xương cánh tay. Có thể cảm nhận được tiếng “cục” vào khớp và là một dấu hiệu thuận lợi đối với cải thiện độ ổn định của khớp.
- Khi đã chỉnh trật, cần kiểm tra độ vững bằng thực hiện tầm vận động nhẹ nhàng, bao gồm gập, duỗi, và xoay. Chú ý xem có bị trật lại ra sau không và độ duỗi khuỷu mà mỏm khuỷu bắt đầu bán trật.
- Chụp X quang lần cuối để xác nhận khớp đã được chỉnh trật tốt và kiểm tra các gãy xương quanh khớp phối hợp.
- Nếu chỉnh trật tốt và khớp khuỷu vững, khuỷu được đeo máng cánh cẳng tay dài đỡ phía sau ở tư thế gấp 90 độ trong 5- 7 ngày.
Điều trị phẫu thuật
- Phẫu thuật đối với trật khớp khuỷu cấp tính ít được áp dụng và chỉ được chỉ định cho một số trường hợp:
- Nắn chỉnh khớp không đồng tâm, có sự chèn vào của mảnh xương hoặc mô mềm trong khớp
- Mất vững cần đeo nẹp khuỷu ở góc gập > 50 – 60 độ
- Khi kèm theo các gãy xương không vững quanh khớp
- Các trật khớp sau ngoài có thể được xử lý mà không cần phải phẫu thuật vì chúng thường vẫn ổn định sau khi nắn chỉnh trật (Hobgood et al. 2008, O’Driscoll et al. 2001, Sheps et al. 2004).
- Trật khớp khuỷu hoàn toàn gây rách cả cấu trúc dây chằng bên trong và bên ngoài. Josefsson và cộng sự (1987) đã phẫu thuật thăm dò 31 trường hợp trật khớp khuỷu đơn thuần và phát hiện thấy đứt hoàn toàn dây chằng bên trong và bên ngoài trong mọi trường hợp, thường là từ nguyên uỷ xương cánh tay.
- Có thể tiếp cận khuỷu qua hai đường rạch bên trong và bên ngoài riêng biệt hoặc qua một đường rạch phía sau với các vạt da lớn. Có thể cần phải cố định ngoài để đảm bảo sự vững khớp.
- Các nghiên cứu tiền cứu không cho thấy lợi ích hơn của phẫu thuật sớm khâu nối dây chằng bên so với tập tầm vận động sớm đối với những trường hợp trật khớp khuỷu đơn giản (Josefsson et al. 1987).
- Nếu các phương pháp điều trị không hiệu quả sau 6 tháng và co rút khuỷu trên 30 – 40 độ, thì có thể xem xét phẫu thuật giải phóng bao khớp (Husband và Hastings 1990).
CÁC BIẾN CHỨNG
- Di chứng cứng khớp sau chấn thương là thường gặp nhất và phổ biến hơn nhiều so với tình trạng mất ổn định sau trật khớp. Nhiều bệnh nhân mất khả năng duỗi cuối tầm từ 10 đến 15 độ (Morrey 1993). Tỷ lệ biến chứng tăng lên với những trật khớp phức tạp và những trường hợp cần can thiệp phẫu thuật.
- Hoạt động kém hiệu quả của phức hợp dây chằng bên ngoài có thể dẫn đến sự mất vững nhẹ sau khi trật khớp khuỷu. Trong tình trạng này, được mô tả là mất vững xoay sau bên (posterolateral rotatory instability, PLRI), khớp cánh tay trụ không bị trật mà là xoay, mở ra ở mặt ngoài khi xoay ngửa (O’Driscoll và cộng sự, 1991) (Hình 4).
- Sự gián đoạn động mạch cánh tay hiếm khi xảy ra; ít hơn 30 trường hợp đã được báo cáo trong y văn. Mạch đập có thể giảm khi khuỷu bị trật nhưng nhanh chóng trở lại sau khi chỉnh trật khuỷu.
- Tổn thương dây thần kinh cũng không thường gặp. Dây thần kinh trụ thường bị ảnh hưởng nhất với gián đoạn tạm thời do bị kéo căng.
- Vôi hóa các mô mềm tương đối phổ biến sau trật khớp khuỷu. Tình trạng này đã được báo cáo trong 75% trường hợp (Josefsson và cộng sự 1984) nhưng hiếm khi gây hạn chế vận động.
- Cốt hoá lạc chỗ (heterotopic ossification, HO) (với xương trưởng thành trong mô mềm) gây hạn chế vận động hiếm gặp, xảy ra trong ít hơn 5% trường hợp. Ở những bệnh nhân có nguy cơ cao, chẳng hạn như những người bị chấn thương sọ não kín, nên cân nhắc điều trị dự phòng bằng NSAID hoặc chiếu xạ liều thấp. Nếu cần thiết phải cắt bỏ xương lạc chỗ, tốt nhất nên thực hiện khi xương đã trưởng thành trên phim chụp X quang thường. Điều này thường xảy ra ít nhất 6 tháng sau chấn thương ban đầu (Hastings và Graham 1994).

NHỮNG CÂN NHẮC PHỤC HỒI CHỨC NĂNG
- Đa số đều đồng ý rằng bó bột và bất động kéo dài dẫn đến cứng khớp khuỷu sau chấn thương và cần nên tránh (O’Driscoll 1999, Pennig et al. 2000, Stavlas et al. 2004)
- Đối với trật khớp khuỷu đơn giản, tập tầm vận động (ROM) chủ động sớm là chìa khóa để phòng ngừa cứng khớp sau chấn thương và có được một kết quả thuận lợi.
- Khuỷu được nẹp từ 5 đến 7 ngày để các mô mềm được nghỉ ngơi.
- Sưng mô mềm có thể được kiểm soát bằng cách băng ép và chườm đá.
- Bắt đầu từ ngày thứ 5 đến ngày thứ 7, cho bệnh nhân mang một nẹp khuỷu có bản lề từ 30 đến 90 độ và bắt đầu ROM chủ động. ROM chủ động làm kích hoạt cơ và hỗ trợ giữ vững khuỷu và nén ép qua khớp.
- ROM được tăng lên trong nẹp khuỷu có bản lề 10 đến 15 độ mỗi tuần.
- Nên tránh sử dụng ROM thụ động vì làm tăng sưng và viêm.
- Cần tránh áp lực vẹo ngoài (valgus) lên khuỷu vì có thể làm gián đoạn quá trình làm lành của dây chằng bên trong (MCL) và dẫn đến sự mất vững hoặc trật khớp tái phát.
- Trong thời gian này, không nên chỉ định các bài tập tăng cường sức mạnh hoặc các bài tập kháng trở vì các bài tập này có thể tạo sức căng lên các cấu trúc dây chằng đang lành.
- Có thể bắt đầu sử dụng nẹp động hoặc nẹp tĩnh tăng tiến nếu ROM không được cải thiện đều đặn sau 6 tuần.
- Khả năng gập khuỷu hoàn toàn có thể đạt được sau 6 đến 12 tuần. Duỗi khuỷu hồi phục chậm hơn và có thể tiếp tục cải thiện trong 3 đến 5 tháng.
- Cần tránh ép duỗi cuối tầm.
- Sau 6 đến 8 tuần, có thể bắt đầu tập mạnh cơ.

XEM: PROTOCOL PHỤC HỒI CHỨC NĂNG SAU TRẬT KHỚP KHUỶU.
KẾT QUẢ
- Kết quả từ tốt đến rất tốt ở 75% đến 100% trường hợp trật khớp đơn giản (Lansinger et al. 1984).
- Gãy xương và điều trị phẫu thuật có thể ảnh hưởng xấu đến kết quả (Broberg và Morrey 1987, Lansinger et al. 1984).
- Có thể hạn chế cuối tầm duỗi từ 10 đến 15 độ (Josefsson et al. 1984).
- Theo dõi dài hạn cho thấy có tới 50% bệnh nhân đau hoặc khó chịu còn sót lại sau khi trật khớp khuỷu (Mehloff et al. 1988).
- Khoảng 60% bệnh nhân cho rằng khuỷu bị chấn thương không hoạt động tốt như bên kia (Josefsson et al. 1987).
- Cơ lực khớp khuỷu giảm trung bình 15 % (Broberg và Morrey 1987).
Tham khảo:
Charles E. Giangarra, Robert C. Manske. CLINICAL ORTHOPAEDIC REHABILITATION: A TEAM APPROACH, FOURTH EDITION. Copyright © 2018 by Elsevier, Inc.







