Bài viết trình bày giải phẫu chức năng phức hợp khớp gối: các khớp và đặc điểm vận động của phức hợp khớp gối.
PHỨC HỢP KHỚP GỐI (KNEE JOINT COMPLEX)
Có ba khớp ở vùng gọi là khớp gối: khớp chày đùi, khớp bánh chè đùi, và khớp chày mác trên.

Khớp chày đùi
Khớp chày đùi là khớp giữa hai xương dài nhất cơ thể, xương đùi và xương chày. Nó được xem là một khớp lồi cầu đôi hoặc khớp bản lề thay đổi kết hợp một bản lề và một khớp xoay. Ở khớp gối, gấp và duỗi xảy ra tương tự như khớp khuỷu, nhưng gấp kèm theo một mức độ xoay nhỏ nhưng đáng kể.
Diện khớp:
Lồi cầu trong và lồi cầu ngoài xương đùi. Lồi cầu ngoài dẹt hơn, diện khớp lớn hơn, hướng ra sau hơn, canh thẳng với xương đùi. Lồi cầu trong dài và hướng vào trong hơn, canh thẳng với xương chày.

Các Sụn chêm (meniscus)
- Sụn chêm ngoài hình oval (tròn), ở phía trước nhận bám tận từ cơ tứ đầu đùi và ở phía sau từ cơ khoeo và dây chằng chéo sau.
- Sụn chêm trong hình bán nguyệt (chữ C), ở phía trước nhận bám tận từ cơ tứ đầu đùi và dây chằng chéo trước, dây chằng bên trong ở bên, và cơ bán mạc ở phía sau.
Vai trò của sụn chêm:
- Các sụn chêm đóng vai trò quan trong trong khớp gối, gia tăng sự vững khớp, làm giảm chấn động bằng hấp thụ lực và phân tán lực (do đó bảo vệ sụn khớp và xương dưới sụn). Diện tiếp xúc ở khớp giảm 2/3 khi không có sụn chêm, làm tăng áp lực lên các mặt tiếp xúc và tăng nguy cơ chấn thương. Trong các tình huống lực tải thấp, tiếp xúc chủ yếu lên các sụn chêm, nhưng trong các tình huống lực tải cao, diện tiếp xúc tăng lên, và 70% lực tải vẫn lên các sụn chêm.
- Sụn chêm ngoài truyền tải khoảng 70% lực nén trong khoang ngoài của khớp gối.
- Sụn chêm trong truyền tải khoảng 50% lực nén trong khoang trong của khớp gối.
- Do cấu trúc trục của chi dưới (thường hơi lệch ngoài – valgus alignment) và cách trọng tâm cơ thể dồn lực khi đi lại, khoang trong (medial compartment) của khớp gối thường phải chịu tổng tải trọng lớn hơn đáng kể so với khoang ngoài (thường chiếm khoảng 60-70% tổng lực qua khớp gối) –> Sụn chêm trong sẽ chịu nhiều lực tuyệt đối nhiều hơn sụn chêm ngoài, và góp phần làm cho nó dễ bị tổn thương hơn.
- Các sụn chêm cũng tăng làm trơn khớp theo cơ chế choán chỗ, cho phép phân tán nhiều dịch khớp hơn đến bề mặt của xương chày và xương đùi.
- Cuối cùng, các sụn chêm hạn chế vận động giữa xương chày và xương đùi. Khi gấp và duỗi, các sụn chêm di chuyển với các lồi cầu xương đùi. Khi gấp gối, các sụn chêm di chuyển ra sau bởi vì sự lăn của xương đùi và hoạt động của cơ khoeo và cơ bán mạc. Vào cuối của vận động gập, các sụn chêm lấp đầy phần sau của khớp, hoạt động như một miếng đệm choán chỗ. Ngược lại, khi duỗi gối, cơ tứ đầu đùi và xương bánh chè hỗ trợ di chuyển các sụn chêm ra phía trước trên mặt khớp. Ngoài ra khi xoay các sụn chêm di chuyển theo xương chày.

XEM THÊM: TỔN THƯƠNG SỤN CHÊM KHỚP GỐI: CHẨN ĐOÁN VÀ XỬ TRÍ
Các dây chằng:
Khớp chày đùi có bốn dây chằng chính:
- Dây chằng bên trong (MCL, medial collateral ligament) là dây chằng hình tam giác dẹt bao phủ một phần rộng mặt trong khớp. MCL nâng đỡ chống lại lực từ bên ngoài (valgus) và một phần kháng lại xoay trong và xoay ngoài. MCL cung cấp 78% tổng lực kháng valgus ở tư thế gối gấp 25°.
- Dây chằng bên ngoài (LCL, lateral collateral ligament) mỏng hơn MCL, chống lại lực từ bên trong (varus), căng khi duỗi và giảm chiều dài khoảng 25% khi gấp tối đa. LCL cung cấp 69% lực kháng varus ở tư thế gối gấp 25°.
- Dây chằng chéo trước (ACL, anterior cruciate ligament) tạo cản chính (85%) vận động ra trước của xương chày so với xương đùi. ACL dài hơn PCL 40%. Các phần khác nhau của ACL căng ở tư thế gối khác nhau nhưng nói chung ACL được xem là căng ở tư thế gối duỗi.
- Dây chằng chéo sau (PCL, posterior cruciate ligament) tạo cản chính (95%) vận động ra sau của xương chày lên xương đùi. Nó căng tối đa ở tầm gập gối 45° đến 60°. PCL được xem là căng ở tư thế gối gập. Cả hai dây chằng chéo làm vững, hạn chế xoay, và gây trượt của các lồi cầu lên xương chày khi gập. Chúng cũng đem lại một phần làm vững chống lại lực vẹo trong và vẹo ngoài.


Bao khớp:
Bao khớp được củng cố bởi nhiều dây chằng và cơ, bao gồm MCL, các dây chằng chéo.
Xem video:
Khớp bánh chè đùi (patellofemoral joint)
Khớp giữa xương bánh chè với rãnh ròng rọc của xương đùi.
Xương bánh chè là một xương vừng hình tam giác bị bao quanh bởi các gân của cơ tứ đầu đùi. Vai trò chính của xương bánh chè là gia tăng thuận lợi cơ học của cơ tứ đầu đùi.

Mặt sau của xương bánh chè được bao phủ bởi một lớp sụn rất dày. Một gờ xương dọc chia mặt sau xương bánh chè thành các mặt trong và ngoài, và mỗi mặt có thể được chia thành mặt khớp nhỏ trên, giữa và dưới. Có một mặt thứ bảy, được gọi là mặt lẻ (odd facet), ở mặt trong cùng của xương bánh chè. Trong động tác gấp duỗi bình thường, thường có năm mặt khớp nhỏ này tiếp xúc với xương đùi.
Xương bánh chè kết nối với lồi củ chày qua gân bánh chè rất chắc. Nó được nối với xương đùi và xương chày bởi các dây chằng bánh chè-đùi và bánh chè-chày mà thật ra là sự dày lên của mạc cơ duỗi bao quanh khớp..

Khớp chày mác trên
Là một khớp nhỏ, giữa đầu xương mác và mặt sau dưới ngoài của mâm chày. Là khớp trượt di chuyển trước sau, trên –dưới và xoay theo sự xoay của xương chày và bàn chân. Xương mác xoay ngoài và di chuyển lên trên, ra ngoài khi bàn chân gập mu và nhận khoảng 16% lực tải tĩnh tác động lên chân.
Các chức năng chính của khớp chày mác trên là phân tán lực xoắn vặn do các vận động của bàn chân và giảm gập góc xương chày ra ngoài. Khớp chày mác và xương mác hấp thụ và kiểm soát lực căng hơn là lực ép lên chi dưới. Phần giữa của xương mác có khả năng chịu được các lực căng nhiều hơn bất kỳ phần nào khác của khung xương.

Các cấu trúc tạo thuận quanh khớp
Để tạo thuận sự vận động của khớp và các gân cơ, xung quanh gối có nhiều túi thanh dịch, như túi thanh dịch các cơ chân ngỗng, túi thanh dịch trên xương bánh chè, trước xương bánh chè, dưới xương bánh chè nông và sâu, túi thanh dịch ở hố khoeo…

ĐẶC ĐIỂM VẬN ĐỘNG CỦA PHỨC HỢP GỐI
Đặc điểm vận động của khớp gối
Tầm vận động bình thường ở khớp gối:
- Gấp 130° đến 145° và quá duỗi 1° đến 10°.
- Ở tư thế gối gập 90°, xoay trong xương chày đạt 6° đến 30° và xoay ngoài xấp xỉ 45°.
- Tầm vận động dạng và khép nhỏ khoảng 5°.

Chức năng của gối phức tạp bởi vì khớp không đối xứng của các mặt khớp trong và ngoài và cơ chế của xương bánh chè ở trước.
- Động tác gấp gối:
- Tư thế chuỗi đóng (chịu trọng lượng), xương đùi lăn ra trước trên xương chày và xoay ngoài và dạng so với xương chày.
- Trong một vận động chuỗi mở như đá bóng, gấp bắt đầu với vận động của xương chày lên xương đùi, làm cho xương chày di chuyển ra sau, xoay trong và khép.
- Động tác duỗi gối:
- Chuỗi đóng, xương đùi lăn ra sau , xoay trong, và khép
- Chuỗi mở: xương chày lăn ra trước, xoay ngoài và dạng (Vào cuối tầm vận động thường có vận động trượt lên nhau của hai đầu xương).
XEM THÊM: Quy luật lồi lõm trong ĐẠI CƯƠNG KỸ THUẬT DI ĐỘNG KHỚP. PHẦN 1.
- Xoay ở gối được tạo ra một phần bởi vận động nhiều hơn của lồi cầu ngoài lên xương chày qua quãng đường gần như gấp hai lần. Xoay chỉ có thể xảy ra với khớp có một phần gập nào đó. Do đó, ở tư thế duỗi, là tư thế khóa không có sự xoay. Xoay trong của xương chày cũng xảy ra khi bàn chân gập mu và sấp. Xoay ngoài xương chày cũng kèm theo gấp lòng và ngữa bàn chân.

- Xoay ở 20° cuối cùng của động tác duỗi được gọi là cơ chế xoay khóa gối (screw-home mechanism). Cơ chế xoay khóa là điểm mà ở đó các lồi cầu trong và ngoài bị khóa để tạo nên tư thế khóa của khớp gối duỗi. Cơ chế khóa di chuyển lồi củ chày ra ngoài và tạo nên một dịch chuyển vào trong ở gối. Một trong các nguyên nhân giả định của cơ chế khóa là do trong 200 cuối tầm duỗi, xương chày vẫn tiếp tục trượt ra trước ở diện lồi cầu trong tạo nên sự xoay ra ngoài của xương chày trong chuỗi chuyển động mở (vì diện lồi cầu trong dài hơn diện lồi cầu ngoài) hoặc là dây chằng chéo trước bị căng ngay trước khi xoay, và kéo các lồi cầu theo hướng ngược lại, tạo nên vận động xoay. Một lý do khác là hướng kéo ra ngoài của cơ tứ dầu khi duỗi gối. Cơ chế khóa gối bị tổn hại khi tổn thương dây chằng chéo trước bởi vì xương chày di chuyển ra trước (nhiều hơn) trên xương đùi. Cơ chế này không bị ảnh hưởng đáng kể khi mất dây chằng dọc sau, chứng tỏ rằng dây chằng dọc trước có vai trò chính.

Vận động của xương bánh chè
- Khi gối gấp xương bánh chè đi xuống với quãng đường khoảng hai lần chiều dài của nó. Khi gối duỗi, xương bánh chè trở lại vị trí nghỉ ở trên ngoài xương đùi trên rãnh ròng rọc ở đệm mỡ trên xương bánh chè. Ở tư thế gấp vận động xương bánh chè hạn chế do gia tăng tiếp xúc với xương đùi.
- Vận động của xương bánh chè bị ảnh hưởng nhiều nhất bởi mặt khớp và chiều dài của gân bánh chè và ít bị ảnh hưởng bởi cơ tứ đầu đùi. Trong 20° đầu tiên của gập, xương chày xoay trong và xương bánh chè bị kéo khỏi vị trí trên ngoài của nó xuống vào trong rãnh, khi đó nó tiếp xúc bằng mặt khớp trong. Sự vững được tạo bởi lồi cầu ngoài là quan trọng nhất bởi vì hầu hết bán trật và trật xương bánh chè xảy ra ở tầm vận động ban đầu này.
- Xương bánh chè đi dọc theo rãnh cho đến 90° gập, vào lúc này tiếp xúc là ở các mặt khớp trên của xương bánh chè . Lúc đó, xương bánh chè một lần nữa di chuyển ra ngoài trên lồi cầu. Nếu gập tiếp tục đến 135° , tiếp xúc của xương bánh chè là mặt khớp lẻ (odd facet). Ở động tác gập, các vận động thẳng và dịch chuyển của xương bánh chè là ra sau và xuống dưới, tuy nhiên xương bánh chè cũng có một ít vận động góc ảnh hưởng đến vị trí của nó. Trong khi gấp gối, xương bánh chè cũng gấp, dạng và xoay ngoài và ngược lại khi duỗi (duỗi, khép, xoay trong).

Hình: Di chuyển của xương bánh chè và diện tiếp xúc khi gập gối.

* Góc Q:
Là góc giữa một dường từ gai chậu trước trên của xương cánh chậu đến giữa xương bánh chè và một đường từ giữa xương bánh chề đến lồi củ chày. Góc Q tốt nhất cho hoạt động của cơ tứ đầu đùi là khoảng 10° vẹo ngoài. Góc Q bình thường ở nam là 10° đến 14° , nữ từ 15° đến 17°.
Góc Q tạo lực ép vẹo ngoài lên gối, và nếu quá lớn có thể gây các vấn đề bánh chè đùi. Góc Q > 17° được xem là quá mức và được gọi là gối vẹo ngoài (genu valgum) hay chân chữ X. Góc Q rất nhỏ gọi là gối vẹo trong (genu varus), chân hình chữ O.

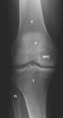
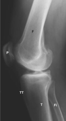
LIÊN HỆ X QUANG KHỚP GỐI




Ghi chú viết tắt:
- F = Femur; Xương đùi
T = Tibia; Xương chày - P = Patella; Xương bánh chè
- Fi = Fibula; Xương mác
- MFC = Medial femoral condyle ; Lồi cầu trong xương đùi
- TT = Tibial tubercle; lồi củ xương chày
- FT = Femoral trochlear groove; rãnh ròng rọc xương đùi
- A = Anterior cruciate ligament; ACL, dây chằng chéo trước
- B = Posterior cruciate ligament; PCL, dây chằng chéo sau
Xem tiếp Phần 2: Giải phẫu chức năng phức hợp khớp gối. Cơ và Hoạt động cơ






