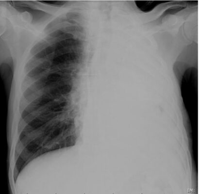
Tình huống: Anh S, 31 tuổi, đến khoa cấp cứu trong tình trạng khó thở cấp tính. Hình chụp X quang ngực thẳng của anh được thể hiện trong Hình 1.

- Như bạn có thể thấy, toàn bộ nửa phổi trái của anh S bị mờ.
- Phương pháp điều trị cho anh S sẽ khác nhau tùy thuộc vào anh bị xẹp phổi/atelectasis (có thể cần phải nội soi phế quản khẩn cấp), tràn dịch lượng nhiều (có thể cần phải chọc hút màng phổi khẩn cấp) hay viêm phổi (cần dùng kháng sinh).
- Bạn phải xác định rõ nguyên nhân gây ra tình trạng mờ này thì mới có thể điều trị chính xác. Câu trả lời cho câu hỏi đó được chứng tỏ trên phim chụp X quang, nếu bạn biết cách tiếp cận vấn đề.
- Có ba nguyên nhân chính gây ra mờ nửa phổi và một nguyên nhân khác ít gặp hơn. Đó là:
- Xẹp phổi toàn bộ một phổi
- Tràn dịch màng phổi lượng lớn
- Viêm phổi toàn bộ một phổi
- Và nguyên nhân thứ tư: Cắt bỏ toàn bộ một phổi
XẸP TOÀN BỘ MỘT PHỔI
- Xẹp phế quản toàn bộ một phổi thường do tắc hoàn toàn phế quản chính bên trái hoặc phải. Khi phế quản bị tắc nghẽn, không khí không thể đi vào phổi. Không khí còn lại trong phổi được hấp thụ vào máu qua hệ thống mao mạch phổi. Điều này dẫn đến mất thể tích của phổi bị ảnh hưởng.
- Ở một người lớn tuổi, tình trạng này có thể do khối u gây tắc nghẽn như ung thư biểu mô phế quản gây ra. Ở những người trẻ hơn, bệnh hen có thể tạo ra các nút nhầy niêm mạc làm tắc nghẽn các phế quản, hoặc do hít phải dị vật (như đậu phộng ở trẻ em). Những bệnh nhân nặng cũng bị xẹp phổi do các nút nhầy niêm mạc.
- Trong xẹp phế quản do tắc nghẽn, cho dù có giảm thể trong phổi bị ảnh hưởng, màng phổi thành và màng phổi tạng hầu như không bao giờ tách rời nhau. Đây là một điểm cần lưu ý để phân biệt xẹp phổi do tắc nghẽn và xẹp phổi do tràn khí màng phổi (Bảng 1 và Hình 2).
- Vì màng phổi nội tạng và màng phổi thành không tách rời nhau trong xẹp phổi, các cấu trúc di động trong lồng ngực bị “kéo” về phía bên của xẹp phổi, tạo ra sự di lệch (dịch chuyển/shift) của các cấu trúc lồng ngực di động này về bên bị mờ.
- Các cấu trúc di động dễ thấy nhất trong lồng ngực là tim, khí quản và các nửa cơ hoành.
BẢNG 1 SO SÁNH TRÀN KHÍ MÀNG PHỔI (PNEUMOTHORAX) VÀ XẸP PHỔI DO TẮC NGHẼN
| Đặc điểm | Tràn khí màng phổi | Xẹp phổi do tắc nghẽn |
|---|---|---|
| Khoang màng phổi | Không khí trong khoang màng phổi ngăn cách màng phổi tạng với màng phổi thành. | Màng phổi tạng và màng phổi thành không tách rời nhau. |
| Mật độ | Bản thân tràn khí màng phổi sẽ biểu hiện là “màu đen” (mật độ không khí). Nửa phổi có thể có vẻ sáng hơn bình thường. | Xẹp phổi là tình trạng không có không khí trong phổi. Nửa phổi sẽ có vẻ mờ đục hơn (“trắng hơn”) so với bình thường. |
| Sự di lệch | Không bao giờ có sự dịch chuyển của tim hoặc khí quản về phía bên bị tràn khí màng phổi. | Hầu như luôn luôn có sự dịch chuyển của tim và khí quản về phía xẹp phổi. |

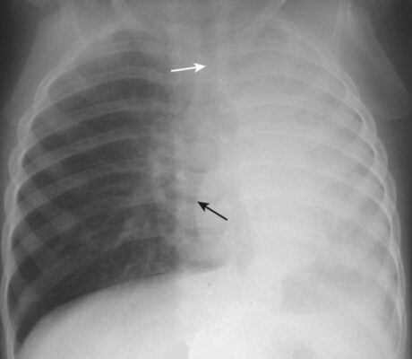
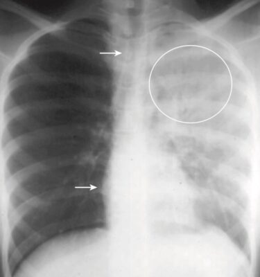
- Trong xẹp phổi do tắc nghẽn, một hoặc tất cả các cấu trúc này sẽ dịch chuyển về bên phổi mờ (về phía bên bị mất thể tích) (Hình 3).

- Bảng 2 tóm tắt sự di chuyển của các cấu trúc di động trong lồng ngực ở bệnh nhân xẹp phổi.
BẢNG 2 NHẬN BIẾT “SỰ DỊCH CHUYỂN” TRONG XẸP PHỔI/CẮT BỎ PHỔI
| Cấu trúc | Vị trí Bình thường | Xẹp phổi hoặc Cắt bỏ phổi bên phải | Xẹp phổi hoặc cắt bỏ phổi bên trái |
|---|---|---|---|
| Tim | Đường giữa | Tim di chuyển sang phải; bờ trái tim có thể đến gần bờ trái của cột sống | Tim di chuyển sang trái; bờ phải tim chồng lên cột sống |
| Khí quản | Đường giữa | Dịch chuyển sang phải | Dịch chuyển sang trái |
| Nửa cơ hoành | Nửa bên phải cao hơn nửa bên trái | Nửa hoành phải di chuyển lên trên và có thể biến mất (dấu hiệu bóng bờ) | Nửa hoành trái di chuyển lên trên và có thể biến mất (dấu hiệu bóng bờ) |
TRÀN DỊCH MÀNG PHỔI LƯỢNG LỚN (MASSIVE PLEURAL EFFUSION)
- Nếu chất dịch như máu, dịch tiết hoặc dịch thấm lấp đầy khoang màng phổi làm mờ gần như toàn bộ nửa phổi, thì chất dịch có thể tác dụng giống như một khối nén ép mô phổi bên dưới.
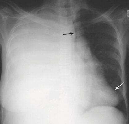
- Khi tích tụ đủ dịch màng phổi, tràn dịch lượng lớn sẽ “đẩy” các cấu trúc di động ra xa và có một sự dịch chuyển của tim và khí quản ra khỏi bên bị mờ (Hình 4).

- Tràn dịch màng phổi lượng lớn thường là do bệnh ác tính, ở dạng ung thư biểu mô phế quản hoặc thứ phát do di căn từ một cơ quan ở xa đến màng phổi. Chấn thương có thể gây ra tràn máu màng phổi, và bệnh lao thường gây ra tràn dịch lớn, ít biểu hiện lâm sàng. Tràn dịch do suy tim sung huyết rất thường gặp và thường là hai bên (nhưng không đối xứng), nhưng chúng hiếm khi đủ nhiều để chiếm toàn bộ một bên phổi.
- Đôi khi, có thể có sự cân bằng hoàn hảo giữa tác dụng đẩy do tràn dịch ác tính và kéo do xẹp phổi tắc nghẽn vì chính bệnh lý ác tính.
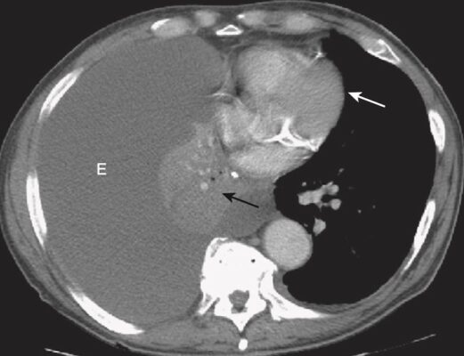
- Ở một bệnh nhân người lớn bị mờ nửa phổi, không có hình ảnh phế quản chứa khí và ít hoặc không có sự dịch chuyển của các cấu trúc lồng ngực di động, cần nghi ngờ một ung thư biểu mô tuyến phế quản gây tắc nghẽn, có lẽ có di căn đến màng phổi. Chụp cắt lớp vi tính (CT) ngực sẽ cho thấy những bất thường này (Hình 5).

- Bảng 3 tóm tắt sự di chuyển của các cấu trúc di động trong lồng ngực ở những bệnh nhân tràn dịch màng phổi lượng lớn.
BẢNG 3. NHẬN BIẾT “SỰ DỊCH CHUYỂN” TRONG TRÀN DỊCH MÀNG PHỔI
| Cấu trúc | Vị trí bình thường | Tràn dịch bên Phải | Tràn dịch bên Trái |
|---|---|---|---|
| Tim | Đường giữa | Tim di chuyển sang bên trái; đỉnh có thể nằm gần thành ngực | Tim di chuyển sang bên phải; Phần tim nhô ra bên phải cột sống nhiều hơn |
| Khí quản | Đường giữa | Dịch chuyển sang trái | Dịch chuyển sang phải |
| Nửa cơ hoành | Nửa bên phải cao hơn nửa bên trái | Nửa cơ hoành phải biến mất trên X quang ngực (dấu hiệu bóng bờ) | Nửa cơ hoành trái biến mất trên X quang ngực (dấu hiệu bóng bờ) |
VIÊM PHỔI TOÀN BỘ MỘT PHỔI
- Dịch tiết viêm do viêm phổi lấp đầy các khoảng chứa khí, gây ra đông đặc và làm mờ phổi.
- Nửa phổi bị mờ đục bởi vì phổi không còn chứa không khí, nhưng không có lực kéo về phía bên bị viêm phổi do giảm thể tích cũng như không có lực đẩy ra khỏi bên bị viêm phổi do tràn dịch lượng lớn. Không có sự dịch chuyển của tim hoặc khí quản.
- Có thể có hình ảnh phế quản chứa khí (Hình 6).
- Bảng 4 tóm tắt sự di chuyển của các cấu trúc di động trong lồng ngực ở bệnh nhân viêm phổi toàn bộ (một) phổi.

BẢNG 4. NHẬN BIẾT “SỰ DỊCH CHUYỂN” TRONG VIÊM PHỔI
| Cấu trúc | Vị trí bình thường | Viêm phổi bên Phải | Viêm phổi bên Trái |
|---|---|---|---|
| Tim | Đường giữa | Thường không có sự dịch chuyển của tim khỏi vị trí bình thường | Thường không có sự dịch chuyển của tim khỏi vị trí bình thường |
| Khí quản | Đường giữa | Đường giữa | Đường giữa |
| Nửa cơ hoành | Nửa bên phải cao hơn nửa bên trái | Nửa cơ hoành phải có thể biến mất trên X quang ngực (dấu hiệu bóng bờ) | Nửa cơ hoành trái có thể biến mất trên X quang ngực (dấu hiệu bóng bờ) |
SAU CẮT BỎ PHỔI (POST PNEUMONECTOMY)
- Cắt bỏ phổi nghĩa là lấy bỏ toàn bộ (một) phổi.
- Để thực hiện phẫu thuật này, thường cần cắt bỏ xương sườn thứ 5 hoặc thứ 6 ở bên bị ảnh hưởng. Trong hầu hết các trường hợp, có thể thấy các kẹp phẫu thuật bằng kim loại ở vùng rốn phổi ở phía bên phổi bị cắt bỏ.
- Trong khoảng 24 giờ sau cuộc phẫu thuật, chỉ có không khí chiếm giữ nửa vùng phổi bị lấy bỏ (Hình 7).

- Trong vòng 2 tuần tiếp theo, nửa phổi dần dần được lấp đầy bởi chất dịch.
- Khoảng 4 tháng sau khi phẫu thuật, vùng ngực bị lấy bỏ phổi sẽ hoàn toàn mờ đục.
- Cuối cùng, các mô xơ hình thành trong vùng ngực bị lấy bỏ phổi, và ở hầu hết các bệnh nhân, toàn bộ nửa lồng ngực hoàn toàn mờ đục. Tim và khí quản dịch chuyển về phía bị mờ.
- Khám ngực giống như khám của một bệnh nhân bị xẹp phổi toàn bộ. Để nhận biết sự khác biệt, hãy tìm xương sườn thứ 5 hoặc thứ 6 bị thiếu và tìm kiếm các kẹp phẫu thuật ở rốn phổi để chứng tỏ phẫu thuật cắt bỏ phổi đã được thực hiện (Hình 8).

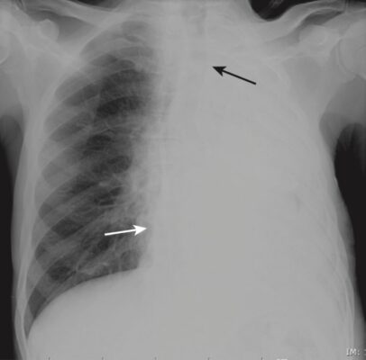
- Trở lại ca bệnh (anh S) với hình chụp X-quang phổi thẳng có mờ nửa phổi trái. Bất thường ở đây là gì?
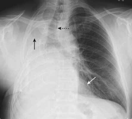
- Hình ảnh cho thấy có sự dịch chuyển của tim và khí quản về phía phổi bị mờ (Hình 9). Đây là đặc điểm của xẹp toàn bộ một phổi. Do độ tuổi (31) và tiền sử mắc bệnh hen (bạn đã hỏi về bệnh sử), rất có thể là biểu hiện xẹp phổi do một nút chất nhầy gây tắc nghẽn.
- Anh S đã được chụp CT, cho thấy tắc nghẽn ở phế quản chính bên trái và nút nhầy sau đó đã được lấy ra bằng nội soi phế quản.

Lược dịch có chỉnh sửa từ: Learning Radiology: RECOGNIZING THE BASICS. William Herring, MD, FACR.3rd EDITION. Elsevier Inc 2016.






