- Tiếng Anh: Atelectasis
- Xẹp phổi là hiện tượng bệnh lý xảy ra ở đường hô hấp khi phổi hoặc các thùy phổi rơi vào tình trạng bị xẹp một phần hay toàn bộ do một nguyên nhân nào đó.
XEM THÊM: TỰ HỌC CHẨN ĐOÁN HÌNH ẢNH 5: NHẬN BIẾT BỆNH PHỔI KẼ VS BỆNH PHẾ NANG
CÁC DẤU HIỆU HÌNH ẢNH HỌC CỦA XẸP PHỔI
Tăng đậm độ của phổi bị ảnh hưởng (Hình 1).
- Biểu hiện thường gặp của xẹp phổi là tình trạng mất thể tích ở một vùng hoặc toàn bộ phổi, thường dẫn đến tăng đậm độ phổi liên quan.
- Phổi bình thường biểu hiện “đen” trên phim chụp X quang phổi vì chứa không khí. Khi mật độ chất dịch hoặc mô mềm được thay thế cho không khí đó hoặc khi không khí trong phổi được hấp thụ trở lại (như có thể xảy ra khi bị xẹp phổi), phần phổi đó trở nên trắng hơn (đặc hơn hoặc mờ hơn).

dịch chuyển của các rãnh liên thùy (lớn và bé) về phía vùng bị xẹp phổi
dịch chuyển của các cấu trúc di động của lồng ngực.
Các cấu trúc di động là những cấu trúc có khả năng di chuyển do những thay đổi trong thể tích phổi:
- Khí quản
- Bình thường ở vị trí đường giữa và ở giữa các mỏm gai của các thân đốt sống (cũng là cấu trúc nằm ở đường giữa) trên phim chụp X quang ngực thẳng. Khí quản thường hơi lệch sang phải tại vị trí của núm cung động mạch chủ bên trái.
- Với xẹp phổi, đặc biệt là ở các thùy trên, khí quản có thể dịch chuyển về phía mất thể tích (Hình 2).
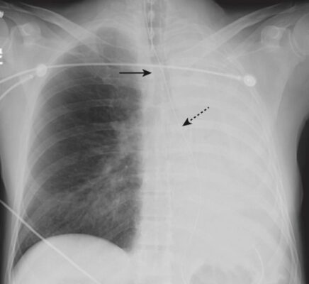
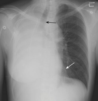
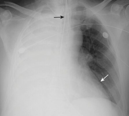
- Tim
- Bờ tim phải bình thường nằm ở bên phải của cột sống ít nhất 1 cm trên phim X quang thẳng.
- Trong trường hợp xẹp phổi, đặc biệt là ở các thùy dưới, tim có thể lệch sang bên này hoặc bên kia. Khi tim dịch chuyển về phía trái, bờ tim phải sẽ chồng lên cột sống (Hình 3). Khi tim dịch chuyển về phía bên phải, bờ trái tim sẽ tiến đến đường giữa (Hình 4).
- Cơ hoành
- Nửa hoành phải thường luôn cao hơn nửa hoành trái khoảng một nửa khoảng gian sườn. Ở khoảng 10% người bình thường, nửa hoành trái cao hơn nửa hoành phải.
- Khi có xẹp phổi, đặc biệt là ở các thùy dưới, nửa hoành ở bên bị ảnh hưởng thường sẽ bị dịch chuyển lên trên (Hình 5).




Giãn nở quá mức của các thùy không bị bệnh cùng bên hoặc của phổi đối bên
- Mất thể tích càng nhiều và càng kéo dài, thì phổi ở bên đối diện với xẹp phổi hoặc (các) thùy không bị ảnh hưởng ở phổi cùng bên sẽ càng nở ra để bù lại phần thể tích bị mất đi. Điều này có thể dễ nhận thấy trên phim nghiêng với gia tăng kích thước của khoảng trống phía sau xương ức và trên phim thẳng với sự mở rộng của phổi đối bên (bị căng phồng) qua đường giữa (Hình 6).

Các dấu hiệu của xẹp phổi được tóm tắt trong bảng sau.
Bảng 1. Các dấu hiệu của xẹp phổi
| Di lệch rãnh liên thùy lớn hoặc bé (về phía xẹp phổi) |
| Tăng đậm độ của phần phổi xẹp |
| Dịch chuyển của các cấu trúc di động trong lồng ngực (tức là tim, khí quản và / hoặc nửa cơ hoành về phía xẹp phổi) |
| Giãn nở bù trừ của các thùy/phân thùy hoặc phổi bình thường |
CÁC LOẠI XẸP PHỔI
Xẹp phổi dưới phân thùy (subsegmental atelectasis)
(Còn gọi là xẹp phổi thẳng, dạng đĩa) (Hình 7)
- Xẹp phổi dưới phân thùy tạo ra một đậm độ dạng đường thẳng có độ dày thay đổi, thường song song với cơ hoành, thường gặp ở đáy phổi. Nó không làm mất thể tích đủ nhiều nên không tạo sự dịch chuyển các cấu trúc lồng ngực di động.
- Thường xảy ra chủ yếu ở những bệnh nhân “bị bó nẹp”, nghĩa là không hít thở sâu, chẳng hạn như bệnh nhân sau phẫu thuật hoặc bệnh nhân đau ngực.
- Xẹp phổi dưới phân thùy không do tắc nghẽn phế quản. Có thể là liên quan đến việc bất hoạt của chất hoạt động bề mặt (surfactant), dẫn đến xẹp các khoảng chứa khí không theo thùy hoặc phân thùy.
- Về hình ảnh học, xẹp phổi dưới phân thùy và sẹo phổi thẳng mạn tính có thể trông giống hệt nhau. Xẹp phổi dưới phân thùy thường biến mất trong vòng vài ngày sau khi thở sâu và bình thường, trong khi sẹo vẫn còn.

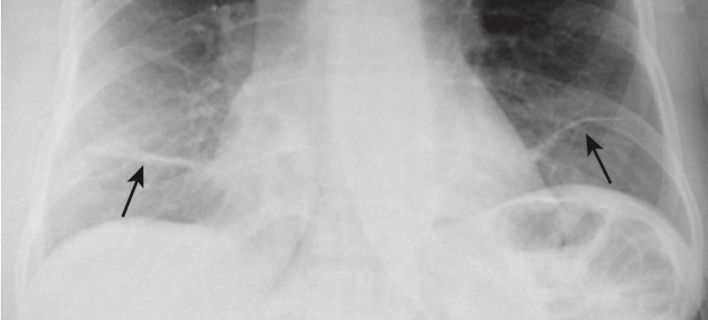
Xẹp phổi do chèn ép (Compressive atelectasis)
- Mất thể tích do phổi bị chèn ép thụ động có thể do:
- Hít vào kém, trường hợp này có xẹp phổi thụ động ở đáy (Hình 8, A)
- Tràn dịch màng phổi lượng lớn, tràn khí màng phổi nhiều, hoặc một tổn thương choán chỗ (chẳng hạn như một khối lớn trong phổi) (xem Hình 8, B)
- Khi gây ra bởi hít vào kém, xẹp phổi thụ động có thể giống như bệnh khoảng chứa khí ở đáy phổi.
- Cẩn thận: Nghi ngờ xẹp phổi do chèn ép nếu bệnh nhân thở với ít hơn 8 xương sườn sau.
- Giải pháp: Kiểm tra phim nghiêng để xác định có bệnh khoảng chứa khí ở đáy phổi thực sự hay không.
- Khi có tràn dịch hoặc tràn khí màng phổi nhiều, mất thể tích liên quan đến xẹp phổi do chèn ép có thể cân bằng với tăng thể tích do dịch (như trong tràn dịch màng phổi) hoặc khí (như trong tràn khí màng phổi). Ở một bệnh nhân người lớn bị mờ nửa phổi, không có hình ảnh phế quản chứa khí, và ít hoặc không có sự dịch chuyển của các cấu trúc lồng ngực di động, cần phải nghi ngờ một ung thư biểu mô phế quản gây tắc nghẽn, có lẽ kèm theo di căn đến màng phổi (Hình 9).


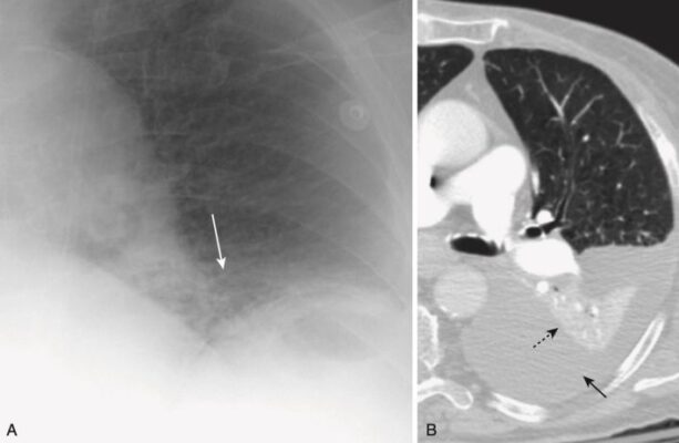
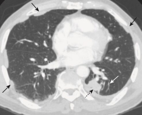
Xẹp phổi tròn (Round atelectasis)
- Hình thức xẹp phổi này thường thấy ở ngoại vi đáy phổi và do sự kết hợp của bệnh màng phổi trước đó (chẳng hạn như tiếp xúc với amiăng hoặc lao) và gây tràn dịch màng phổi tạo ra xẹp phổi cho chèn ép liền kề.
- Khi tràn dịch màng phổi rút đi, bệnh lý màng phổi nền dẫn đến một phần của phổi xẹp bị “kẹt”. Điều này tạo ra một tổn thương dạng khối có thể bị nhầm lẫn với một khối u.
- Trên chụp cắt lớp vi tính (CT) ngực, các dấu hiệu mạch máu phế quản đặc trưng dẫn từ xẹp phổi tròn quay trở lại rốn phổi, tạo ra hình dạng đuôi sao chổi (comet-tail appearance) (Hình 10).

Xẹp phổi tắc nghẽn (Obstructive atelectasis) (xem Hình 3)
- Xẹp phổi tắc nghẽn có liên quan đến sự tái hấp thu không khí từ phế nang, qua giường mao mạch phổi, ở đầu xa của một tổn thương gây tắc nghẽn cây phế quản.
- Tốc độ hấp thu của không khí và xẹp phổi phụ thuộc vào lượng khí của nó khi phế quản bị tắc. Mất khoảng 18 đến 24 giờ để xẹp toàn bộ phổi khi bệnh nhân thở không khí trong phòng nhưng ít hơn một giờ với bệnh nhân thở oxy gần 100%.
- Phân thùy, thùy hoặc phổi bị ảnh hưởng xẹp xuống và trở nên mờ hơn (trắng hơn) vì nó không chứa không khí. Sự xẹp xuống dẫn đến mất thể tích ở phân thùy/ thùy / phổi bị ảnh hưởng. Do màng phổi thành và màng phổi thành vẫn luôn tiếp xúc với nhau khi phổi mất thể tích, nên có một lực kéo các cấu trúc di động của lồng ngực về phía vùng xẹp phổi.
- Các nguyên nhân phổ biến nhất của xẹp phổi do tắc nghẽn được tóm tắt trong Bảng 2.
Bảng 2. Các nguyên nhân thường gặp của xẹp phổi tắc nghẽn
| Nguyên nhân | Nhận xét |
| Các khối u | Bao gồm ung thư biểu mô phế quản (đặc biệt là tế bào vảy), di căn nội phế quản, u carcinoid |
| Nút nhầy | Đặc biệt ở những người nằm liệt giường, bệnh nhân sau phẫu thuật, những người bị hen suyễn hoặc xơ nang |
| Hít phải dị vật | Đặc biệt là các hạt đậu (lạc), đồ chơi, |
| Viêm | Như trong sẹo do lao phổi |
CÁC KIỂU DẠNG XẸP TRONG XẸP PHỔI THUỲ
- Xẹp phổi do tắc nghẽn tạo ra các kiểu xẹp có thể nhận biết được tùy thuộc vào vị trí của thùy hoặc phân thùy và mức độ mà các yếu tố như luồng khí giữa các thùy và viêm phổi tắc nghẽn làm cho thùy bị ảnh hưởng xẹp xuống.
- Nói chung, các thùy xẹp xuống theo hình rẻ quạt (tam giác) với đáy của hình quạt ở mặt màng phổi và đỉnh của tam giác được neo ở rốn phổi.
- Các thùy khác không bị ảnh hưởng sẽ tăng phình bù trừ để “lấp đầy” nửa ngực bị ảnh hưởng, và sự phình bù trừ này có thể hạn chế mức độ dịch chuyển của các cấu trúc di động trong lồng ngực.
- Cẩn thận : Một thùy hoặc phân thùy càng bị xẹp nặng (tức là thể tích của nó càng nhỏ), thì càng khó nhìn thấy trên phim X quang phổi. Điều này có thể dẫn đến giả định sai về sự cải thiện khi trên thực tế, tình trạng xẹp phổi đang càng nặng hơn.
- Giải pháp: Hãy phân tích kỹ hình ảnh để kiểm tra mức độ dịch chuyển của các rãnh liên thùy hoặc nửa cơ hoành hoặc chụp CT ngực.
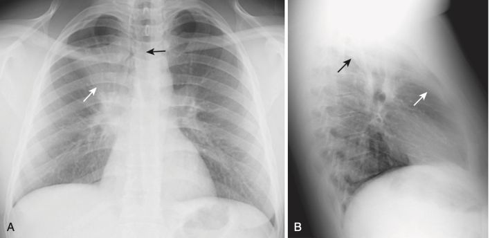
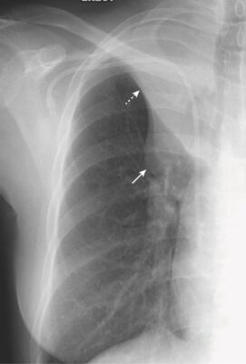
Xẹp phổi thùy trên bên phải (xem Hình 2)
- Trên phim X quang thẳng:
- Có sự dịch chuyển lên trên của rãnh liên thùy bé.
- Có sự dịch chuyển sang phải của khí quản.
- Trên phim X quang nghiêng:
- Có sự dịch chuyển lên trên của rãnh liên thùy bé và dịch chuyển về phía trước của rãnh liên thùy lớn.
- Nếu có một khối đủ lớn ở rốn phổi phải, gây xẹp phổi thùy trên bên phải, sự kết hợp của khối ở rốn phổi và sự dịch chuyển lên trên của rãnh liên thùy bé tạo ra một biểu hiện đặc trưng trên phim X quang thẳng được gọi là dấu hiệu S của Golden/S sign of Golden (Hình 11).

Xẹp phổi thùy trên bên trái (xem Hình 5)
- Trên phim X quang thẳng:
- Có một vùng mờ với tăng đậm độ xung quanh rốn phổi trái.
- Có sự dịch chuyển sang trái của khí quản.
- Có thể có hiện tượng nâng lên của nửa hoành trái
- Phình bù trừ của thùy dưới có thể làm cho phân thùy trên của thùy dưới bên trái kéo dài đến đỉnh của lồng ngực ở bên bị ảnh hưởng.
- Trên phim X quang nghiêng:
- Có sự dịch chuyển về phía trước của rãnh liên thùy lớn, và thùy trên bị mờ tạo thành một dải tăng đậm độ chạy gần như song song với xương ức.
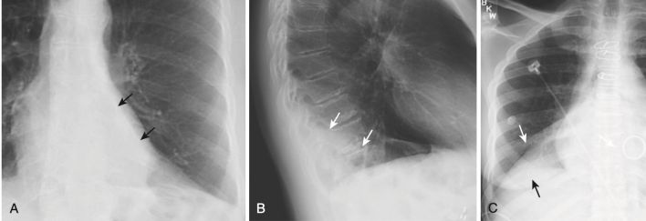
Xẹp phổi thùy dưới (Hình 12, A và Hình 12, B)
- Trên phim X quang thẳng:
- Cả thùy dưới bên phải và bên trái xẹp xuống tạo thành mật độ hình tam giác kéo dài từ đỉnh của rốn phổi đến đáy của nó ở phần trong của nửa cơ hoành bị ảnh hưởng.
- Có sự nâng lên của nửa cơ hoành ở bên bị ảnh hưởng.
- Tim có thể lệch về phía mất thể tích.
- Có sự dịch chuyển xuống dưới của rãnh liên thùy lớn (xem Hình 12, C).
- Trên phim X quang nghiêng:
- Có cả sự dịch chuyển xuống dưới và ra sau của rãnh liên thùy lớn cho đến khi thùy dưới bị xẹp hoàn toàn tạo thành mật độ hình tam giác nhỏ ở góc sườn hoành sau (xem Hình 12, B).
- Ở bệnh nhân nặng, xẹp phổi thường xảy ra nhất ở thùy dưới bên trái.
- Luôn kiểm tra nửa cơ hoành trái để chắc chắn rằng có thể quan sát được toàn bộ cơ hoành trái qua bóng tim vì xẹp phổi thùy dưới bên trái sẽ biểu hiện bằng sự biến mất (bóng bờ) của toàn bộ hoặc một phần của cơ hoành trái (xem Hình 12, A) .

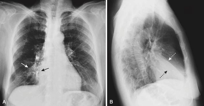
Xẹp phổi thùy giữa bên phải (xem Hình 1)
- Trên X quang thẳng:
- Có một đậm độ hình tam giác với đáy phủ bóng bờ với bờ tim phải và đỉnh của nó hướng về thành ngực bên.
- Rãnh liên thùy bé bị dịch chuyển xuống dưới.
- Trên phim X quang nghiêng:
- Có đậm độ hình tam giác với đáy hướng ra phía trước và đỉnh ở rốn phổi.
- Rãnh liên thùy bé có thể bị dịch chuyển xuống dưới và rãnh liên thùy lớn lên trên.
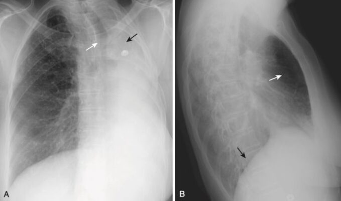
Xẹp phổi toàn bộ (xem Hình 3 và 4)
- Trên phim X quang thẳng:
- Mờ phổi xẹp do mất không khí.
- Nửa cơ hoành ở bên bị xẹp phổi sẽ bị phủ bóng bởi phổi không có thông khí phía trên nó.
- Có sự dịch chuyển của tất cả các cấu trúc di động của lồng ngực về phía bên của phổi xẹp.
- Trên phim chụp X quang nghiêng:
- Nửa cơ hoành ở bên xẹp phổi sẽ được phủ bóng bởi phổi không thông khí bên trên. Nhìn kỹ và bạn sẽ thấy chỉ có một nửa cơ hoành trên phim nghiêng, thay vì hai.
Lược dịch có chỉnh sửa từ: Learning Radiology: RECOGNIZING THE BASICS. William Herring, MD, FACR.3rd EDITION. Elsevier Inc 2016.







