XEM THÊM: TỰ HỌC CHẨN ĐOÁN HÌNH ẢNH 5: NHẬN BIẾT BỆNH PHỔI KẼ VS BỆNH PHẾ NANG
ĐẠI CƯƠNG VIÊM PHỔI
Giới thiệu
- Viêm phổi (pneumonia) có thể được định nghĩa là sự đông đặc phổi tạo bởi các dịch tiết viêm, thường là kết quả của một tác nhân truyền nhiễm.
- Hầu hết các viêm phổi tạo ra bệnh khoảng chứa khí (nhu mô), thùy hoặc phân thuỳ. Một số viêm phổi khác biểu hiện bệnh lý mô kẽ hoặc cả khoảng chứa khí và mô kẽ.
- Hầu hết các vi sinh vật gây ra viêm phổi đều lan đến phổi qua đường khí phế quản, do hít vào hoặc hít sặc.
- Trong một số trường hợp, vi sinh vật có thể lan qua đường máu và ít gặp hơn là đường trực tiếp.
- Bởi vì nhiều vi sinh vật khác nhau có thể tạo ra các dấu hiệu hình ảnh học giống nhau ở phổi, rất khó để xác định một cách chắc chắn sinh vật gây bệnh chỉ từ hình ảnh X quang. Tuy nhiên, một số dạng bệnh nhất định rất gợi ý đến một sinh vật gây bệnh cụ thể (Bảng 1).
- Một số tác giả sử dụng thuật ngữ thâm nhiễm (infitrate) đồng nghĩa với viêm phổi, mặc dù nhiều bệnh, từ bệnh amyloid đến xơ phổi, có thể thâm nhiễm phổi.
BẢNG 1 CÁC DẠNG CÓ THỂ GỢI Ý TÁC NHÂN GÂY BỆNH
| Dạng bệnh VIÊM PHỔI | Vi sinh vật có khả năng gây bệnh |
|---|---|
| Viêm phổi tạo hang thùy trên với lan sang thùy dưới đối diện | Vi khuẩn lao (Mycobacterium tuberculosis ) |
| Viêm phổi thùy trên và đẩy lồi rãnh liên thuỳ | Klebsiella pneumoniae |
| Viêm phổi tạo hang thuỳ dưới | Pseudomonas aeruginosa hoặc các vi khuẩn kỵ khí |
| Bệnh kẽ hoặc nhu mô (khoảng chứa khí) quanh rốn phổi | Pneumocystis carinii (jiroveci) |
| Hang thuỳ trên vách mỏng | Coccidioides (cầu trùng), lao |
| Bệnh khoảng chứa khí với tràn dịch | Liên cầu, tụ cầu, lao |
| Các nốt lan toả | Histoplasma, lao, coccidioids |
| Nốt phổi đơn độc | Cryptococcus |
| Bóng mờ như ngón tay ở thuỳ trên | Aspergillus |
| Khối mô mềm hình cầu trong hang ở thùy trên có vách mỏng | Aspergillus (aspergilloma) |
Các đặc điểm chung của viêm phổi
- Vì viêm phổi lấp đầy các khoảng chứa khí hoặc mô kẽ liên quan với dịch tiết viêm, viêm phổi có hình ảnh đặc hơn (trắng hơn) so với mô phổi được thông khí bình thường xung quanh.
- Viêm phổi có thể có khí phế đồ nếu phế quản đó không chứa đầy dịch viêm.
- Có nhiều khả năng thấy hình ảnh phế quản chứa khí (khí phế đồ) khi viêm phổi liên quan đến phần trung tâm của phổi gần rốn phổi. Gần vùng ngoại vi của phổi, các phế quản thường quá nhỏ để có thể nhìn thấy được (Hình 1).
- Hãy nhớ rằng bất kỳ chất dịch hoặc mật độ mô mềm nào thay thế cho khí bình thường trong khoảng chứa khí cũng có thể tạo ra dấu hiệu này; do đó, khí phế đồ không đặc hiệu cho bệnh viêm phổi.
- Viêm phổi liên quan đến các khoảng chứa khí có hình ảnh như bông và bờ không rõ ràng.
- Khi viêm phổi tiếp xúc với bề mặt màng phổi, chẳng hạn như một rãnh liên thuỳ hoặc thành ngực, nó sẽ có bờ rõ.
- Mặt khác, viêm phổi kẽ có thể tạo ra dấu hiệu kẽ ở phần phổi bị ảnh hưởng hoặc có thể lan sang các đường dẫn khí kế cận và tương tự như bệnh khoảng chứa khí.
- Ngoại trừ sự xuất hiện của khí phế đồ, viêm phổi khoảng chứa khí thường đồng nhất về đậm độ (Hình 2).
- Trong một số loại viêm phổi (ví dụ viêm phế quản phổi), các phế quản cũng như khoảng chứa khí chứa dịch tiết viêm. Điều này có thể dẫn đến xẹp phổi do viêm phổi.
- Hộp 1 tóm tắt các điểm chính để nhận biết viêm phổi.

| HỘP 1. NHẬN BIẾT MỘT VIÊM PHỔI – CÁC DẤU HIỆU CHÍNH |
| Mờ hơn phổi bình thường xung quanh. Trong bệnh khoảng chứa khí, bờ ngoài có thể như lông tơ và không rõ ràng, ngoại trừ trường hợp chúng tiếp giáp với bề mặt màng phổi như các rãnh liên thuỳ, trong trường hợp này bờ sẽ sắc cạnh. Viêm phổi mô kẽ sẽ làm nổi bật các mô kẽ của phổi ở vùng bị ảnh hưởng; trong một số trường hợp, bệnh có thể lan đến các phế nang và trông giống với bệnh khoảng chứa khí. Viêm phổi có xu hướng đồng nhất về đậm độ. Viêm phổi thùy có thể có khí phế đồ. Viêm phổi có thể phối hợp với xẹp phổi ở phần phổi bị ảnh hưởng. |

CÁC DẠNG VIÊM PHỔI
- Viêm phổi có thể được phân bố trong phổi theo một số dạng được mô tả là thùy, phân đoạn, kẽ, tròn và hang (Bảng 2).
BẢNG 2. CÁC DẠNG HÌNH ẢNH CỦA VIÊM PHỔI
| Dạng | Đặc điểm |
|---|---|
| Thuỳ | Đông đặc đồng nhất của thùy bị ảnh hưởng với hình ảnh phế quản chứa khí |
| Phân thuỳ (viêm phế quản phổi) | Bệnh khoảng chứa khí loang lổ thường liên quan đến nhiều phân thuỳ đồng thời; không có khí phế đò; có thể kết hợp với xẹp phổi |
| Kẽ | Bệnh kẽ dạng lưới thường lan tỏa khắp phổi ban đầu trong quá trình bệnh; thường tiến triển thành bệnh khoảng chứa khí |
| Tròn | Viêm phổi hình cầu thường thấy ở thùy dưới ở trẻ em; có thể giống như một khối |
| Hang | Được tạo ra bởi nhiều vi sinh vật, đặc biệt là lao (Mycobacterium tuberculosis) |
- Cần nhớ rằng những thuật ngữ này chỉ đơn giản mô tả sự phân bố của bệnh trong phổi; chúng không là đặc điểm chẩn đoán là viêm phổi vì nhiều bệnh lý khác có thể tạo ra các dạng phân bố bệnh ở phổi như vậy.
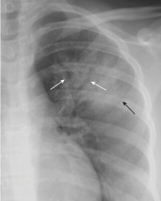
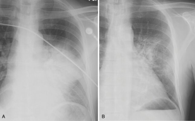
Viêm phổi thuỳ
- Nguyên mẫu của viêm phổi thùy là viêm phổi do phế cầu gây ra bởi Streptococcus pneumoniae (Hình 3).
- Mặc dù chúng ta gọi nó là viêm phổi thùy, nhưng bệnh nhân có thể có các triệu chứng trước khi bệnh ảnh hưởng đến toàn bộ thùy phổi. Ở dạng cổ điển nhất, bệnh lấp đầy gần hết hoặc toàn bộ một thùy phổi.
- Bởi vì các thùy bị được nối với nhau với một rãnh liên thùy, bờ của viêm phổi thùy có thể nổi rõ rệt.
- Ở vùng các thuỳ không gắn với một rãnh liên thuỳ, bờ sẽ không rõ ràng và không đều.
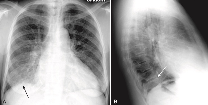
- Viêm phổi thuỳ hầu như luôn luôn tạo dấu hiệu bóng bờ (silhouette sign) khi chúng tiếp xúc với tim, động mạch chủ hoặc cơ hoành, và chúng hầu như luôn chứa các phế khí đồ (hình ảnh phế quản chứa khí) nếu chúng ảnh hưởng đến các phần trung tâm của phổi.

Viêm phổi phân thuỳ (Viêm phế quản phổi)
- Nguyên mẫu viêm phế quản phổi là do tụ cầu vàng (Staphylococcus aureus) gây ra. Nhiều vi khuẩn gram âm, chẳng hạn như trực khuẩn mủ xanh (Pseudomonas aeruginosa), có thể tạo ra hình ảnh tương tự.
- Viêm phế quản phổi lan ly tâm qua cây khí phế quản cùng một lúc đến nhiều ổ trong phổi. Do đó, nó thường ảnh hưởng đến một số phân thuỳ phổi đồng thời.
- Bởi vì các phân thuỳ phổi không gắn với các rãnh liên thuỳ, tất cả các bờ của viêm phổi phân thuỳ có xu hướng như bông (fluffy) và không rõ ràng (Hình 4).
- Không giống như viêm phổi thùy, viêm phế quản phổi phân thuỳ tạo ra dịch tiết lấp đầy phế quản. Do đó thường không có hình ảnh phế quản chứa khí và thường có giảm thể tích (xẹp phổi) phối hợp với viêm phế quản phổi.

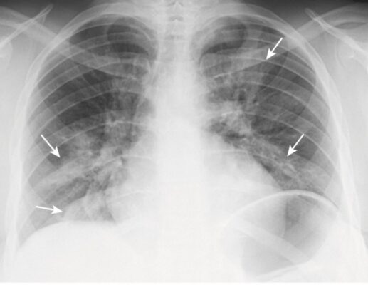
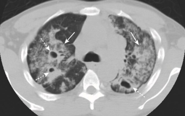
Viêm phổi kẽ (Interstitial Pneumonia)
- Nguyên mẫu của viêm phổi kẽ là viêm phổi do virus, viêm phổi do Mycoplasma pneumoniae và Pneumocystis ở bệnh nhân mắc hội chứng suy giảm miễn dịch mắc phải (AIDS).
- Viêm phổi kẽ có xu hướng ảnh hưởng đến thành của đường dẫn khí và vách phế nang và có thể tạo ra, đặc biệt là trong giai đoạn đầu, một dạng lưới nhỏ trong phổi.
- Hầu hết các trường hợp viêm phổi kẽ cuối cùng lan đến các phế nang lân cận và tạo ra bệnh khoảng chứa khí từng mảng hoặc hợp nhất, làm khó nhận biết bản chất kẽ ban đầu của viêm phổi bằng X quang.
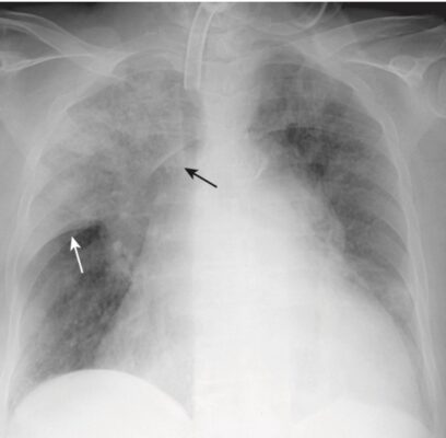
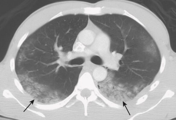
Viêm phổi do Pneumocystis carinii (jiroveci) (PCP)
- PCP là bệnh nhiễm trùng phổ biến nhất ở bệnh nhân AIDS trên lâm sàng.
- Điển hình biểu hiện là một viêm phổi kẽ dạng lưới, quanh rốn phổi hoặc như một bệnh khoảng chứa khí có thể trông giống như dạng phân bố trung tâm của phù phổi (Hình 5).
- Các biểu hiện khác, chẳng hạn như bệnh khoảng chứa khí một bên hoặc bệnh khoảng chứa khí loang lổ ít phổ biến hơn.
- Thường không có tràn dịch màng phổi và không có hạch rốn phổi
- Nhiễm trùng cơ hội thường xảy ra khi lượng CD4 dưới 200 / mm máu.

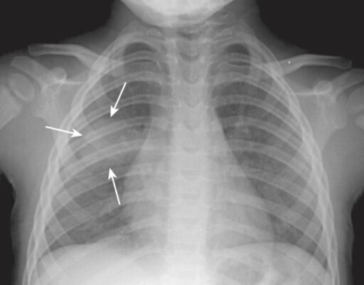
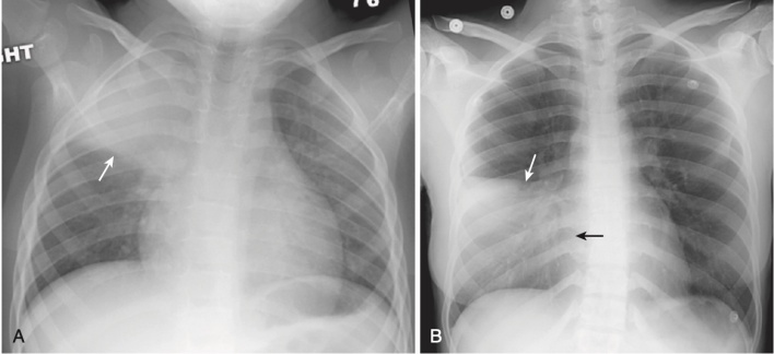
Viêm phổi dạng tròn (Round Pneumonia)
- Một số viêm phổi, chủ yếu ở trẻ em, có thể có hình cầu trên phim chụp X quang phổi.
- Những viêm phổi tròn này hầu như luôn nằm sau phổi, thường là ở các thùy dưới.
- Các tác nhân gây bệnh bao gồm Haemophilus influenzae, Streptococcus và Pneumococcus.
- Viêm phổi tròn có thể bị nhầm lẫn với một khối u ngoại trừ các triệu chứng liên quan đến nhiễm trùng thường đi kèm với các phát hiện ở phổi và các khối u không phổ biến ở trẻ em (Hình 6).

Viêm phổi hang (Cavitary Pneumonia)
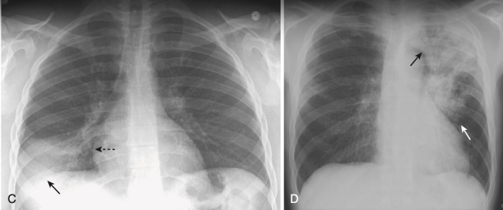
- Vi sinh vật nguyên mẫu gây ra viêm phổi hang là vi khuẩn lao (Mycobacterium tuberculosis).
- Tạo hang thường gặp trong lao hậu tiên phát (lao tái hoạt) nhưng hiếm gặp ở lao nguyên phát. Các hang thường nằm ở các thùy trên, hai bên và có thành mỏng, bờ trong nhẵn và không chứa mức dịch – khí (Hình 7). Sự lây lan xuyên phế quản (từ một thùy trên sang thùy dưới bên đối diện hoặc đến một thùy khác trong phổi) sẽ khiến bạn nghĩ đến nhiễm khuẩn Mycobacterium tuberculosis.
- Các tác nhân truyền nhiễm khác gây ra viêm phổi hang là:
- Viêm phổi do tụ cầu có thể tạo hang và tạo ra các túi khí (pneumatoceles) có thành mỏng.
- Viêm phổi do liên cầu, viêm phổi do Klebsiella, và bệnh do coccidioidomycosis cũng có thể gây viêm phổi hang.

Viêm phổi do hít (Aspiration)
- Có nhiều nguyên nhân dẫn đến tình trạng hít dị vật vào cây khí phế quản, trong số đó có các bệnh lý thần kinh (đột quỵ, chấn thương sọ não), thay đổi trạng thái tâm thần (gây mê, dùng thuốc phiện quá liều), trào ngược dạ dày thực quản và hậu phẫu vùng đầu cổ.
- Hít phải hầu như luôn xảy ra ở những phần thấp nhất của phổi.
- Khi một người ở tư thế dựng thẳng, các phần thấp nhất của phổi thường là các thùy dưới. Bên phải thường bị nhiều hơn bên trái vì phế quản chính bên phải thẳng hơn và rộng hơn.
- Khi một người nằm nghiêng người, hít phải thường xảy ra ở các phân thuỳ trên của thuỳ dưới hoặc phân thuỳ sau của thuỳ trên.
- Hít phải cấp tính sẽ tạo các dấu hiệu X quang của bệnh khoảng chứa khí.
- Vị trí, tốc độ xuất hiện và nhóm bệnh nhân có khuynh hướng hít phải là những manh mối cho nguyên nhân của hít phải (Hình 8).

Nhận biết các dạng hít phải khác nhau
- Diễn tiến hít phải trên lâm sàng và X quang phụ thuộc vào vật lạ bị hít vào:
- Hút dịch vị loãng (đã được trung hòa) hoặc nước
- Về mặt kỹ thuật, đây không phải là viêm phổi vì nó không liên quan đến tác nhân nhiễm trùng, được phổi xử lý như thể nó là dịch phù phổi, và điển hình chỉ tồn tại trong một hoặc hai ngày sau đó được tái hấp thu.
- Hít phải gây viêm phổi do vi sinh vật trong phổi
- Mặc dù chúng ta thường xuyên hít phải các vi sinh vật bình thường vùng hầu họng, nhưng có một số bệnh nhân mà những vi sinh này có thể phát triển thành viêm phổi, bao gồm cả người lớn tuổi và những người bị suy giảm miễn dịch, suy nhược hoặc mắc bệnh phổi tiềm ẩn.
- Viêm phổi do hít phải thường do các sinh vật kỵ khí, chẳng hạn như Bacteroides. Những sinh vật này tạo ra bệnh khoảng chứa khí và thường tạo hang. Có thể mất hàng tháng để lành.
- Hít phải dịch axit dạ dày không được trung hoà (hội chứng Mendelson)
- Khi hít phải một lượng lớn axit dạ dày không được trung hoà, viêm phổi do hóa chất phát triển, tạo ra bệnh khoảng chứa khí vùng thấp hoặc phù phổi. Bệnh có thể xuất hiện nhanh chóng, trong vài giờ sau khi hít phải. Quá trình làm sạch có thể mất vài ngày hoặc lâu hơn, và viêm phổi do hóa chất dễ bị nhiễm trùng thứ phát.
- Hút dịch vị loãng (đã được trung hòa) hoặc nước
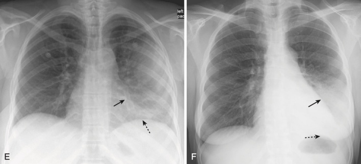
XÁC ĐỊNH VỊ TRÍ VIÊM PHỔI
- Mặc dù kháng sinh sẽ đi đến mọi thùy của phổi mà không cần biết thùy nào thực sự bị bệnh viêm phổi, xác định vị trí của viêm phổi có thể cung cấp manh mối về loại vi sinh vật gây bệnh (ví dụ ở thuỳ trên nghĩ đến bệnh lao ) và bệnh lý liên quan (ví dụ: thùy dưới, nghĩ đến hít phải tái phát).
- Trên phim chụp X quang thông thường, nên xác định vị trí của bệnh bằng sử dụng hai góc nhìn vuông góc với nhau như X quang phổi thẳng và nghiêng. Chụp cắt lớp vi tính (CT) có thể định vị và mô tả đặc điểm của bệnh rõ hơn và xác định bệnh lý liên quan, chẳng hạn như tràn dịch màng phổi hoặc các hang quá nhỏ khó nhìn thấy trên X quang thông thường.
- Đôi khi, chỉ có thể chụp X quang thẳng (như đối với những bệnh nhân bị bệnh nặng hoặc suy nhược chụp phim di động tại giường). Tuy nhiên, thường vẫn có thể xác định được vị trí viêm phổi chỉ bằng phim X quang thẳng bằng cách phân tích các bờ của cấu trúc nào bị bệnh phủ bóng che khuất (tức là dấu hiệu bóng bờ) (Bảng 4).
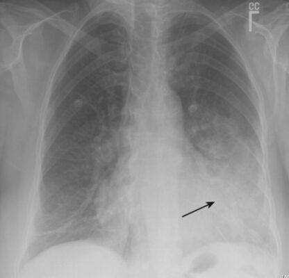
- Dấu hiệu bóng bờ (Silhouette sign)
- Nếu hai vật thể có cùng đậm độ x quang tiếp xúc nhau, thì bờ giữa chúng sẽ biến mất (xem Hình 2). Dấu hiệu bóng bờ có giá trị trong việc xác định vị trí và xác định các loại mô trên khắp cơ thể, không chỉ riêng ở ngực.
BẢNG 4. SỬ DỤNG DẤU HIỆU BÓNG BỜ TRÊN X QUANG NGỰC THẲNG
| Cấu trúc Không còn nhìn thấy được | Vị trí của bệnh |
|---|---|
| Động mạch chủ lên | Thùy trên bên phải |
| Bờ tim phải | Thùy giữa phải |
| Nửa cơ hoành phải | Thuỳ dưới bên phải |
| Động mạch chủ xuống | Thuỳ trên hoặc dưới bên trái |
| Bờ tim trái | Phân thuỳ lưỡi của thuỳ trên trái |
| Phân thuỳ lưỡi của thuỳ trên trái | Thuỳ dưới bên trái |
- Dấu hiệu đốt sống (The spine sign) (Hình 9)
- Trên phim X quang phổi nghiêng, cột sống ngực thường càng đậm màu hơn (đen hơn) khi khảo sát nó từ đai vai đến cơ hoành (trên xuống).
- Đặc điểm này xảy ra bởi vì chùm tia X thông thường cần xuyên qua nhiều mô hơn (nhiều xương, nhiều cơ) xung quanh vai hơn là ngang trên cơ hoành, nơi tia chỉ cần đi qua tim và phổi được thông khí.
- Khi bệnh của mô mềm hoặc đậm độ chất dịch liên quan đến phần sau của thùy dưới, nhiều chùm tia X sẽ được hấp thụ bởi đậm độ mới thêm vào và cột sống sẽ có vẻ trở nên “trắng hơn” (mờ hơn) ngay phía trên ngách sườn hoành sau.
- Đây được gọi là dấu hiệu cột sống và nó đem lại một cách khác để định khu bệnh ở phổi.
- Bệnh ở thùy dưới có thể không rõ ràng trên phim thẳng nếu bệnh có vị trí dưới mặt phẳng của điểm cao nhất của cơ hoành bên bị ảnh hưởng. Do đó, dấu hiệu cột sống có thể cho thấy sự hiện diện của bệnh lý ở thùy dưới, chẳng hạn như viêm phổi thùy dưới, mà có thể không nhìn thấy được trên phim thẳng.

- Hình 10 là tổng hợp các hình biểu hiện đặc trưng của viêm phổi thùy quan sát được trên phim X quang ngực thẳng.
Hình 10. Biểu hiện tổng hợp của các viêm phổi thùy.
VIÊM PHỔI LÀNH NHƯ THẾ NÀO
- Viêm phổi có thể khỏi sau 2 đến 3 ngày nếu sinh vật nhạy cảm với kháng sinh được sử dụng, đặc biệt là viêm phổi do phế cầu khuẩn.
- Hầu hết các viêm phổi thường lành từ bên trong (tạo các ổ nhỏ, vacuolization), dần dần biến mất theo kiểu loang lổ trong vài ngày hoặc vài tuần (Hình 11).
- Nếu một viêm phổi không thuyên giảm trong vài tuần, hãy xem xét sự hiện diện của một tổn thương gây tắc nghẽn, chẳng hạn như khối u cản trở dẫn lưu khỏi phần phổi đó. Chụp CT ngực có thể giúp xác định tổn thương gây tắc nghẽn này.

Lược dịch có chỉnh sửa từ: Learning Radiology: RECOGNIZING THE BASICS. William Herring, MD, FACR.3rd EDITION. Elsevier Inc 2016.










