Bài viết đề cập đến các nguyên lý hoạt động và những điểm cơ bản cần nắm của chụp cộng hưởng từ (MRI)
CHỤP ẢNH CỘNG HƯỞNG TỪ HOẠT ĐỘNG NHƯ THẾ NÀO
- Bởi vì chụp ảnh cộng hưởng từ (MRI) sử dụng thành phần phân tử của các mô, đặc biệt là nước, kỹ thuật này đặc biệt nhạy cảm để phát hiện các bất thường mô mềm với độ chi tiết cao hơn nhiều so với chụp cắt lớp vi tính (CT) và cũng rất thích hợp để đánh giá những thay đổi trong thành phần của mô theo thời gian, cung cấp một cơ hội để biết được tính cấp hoặc mạn (acuity) của mắc bệnh.
- MRI sử dụng từ trường rất mạnh để điều khiển hoạt động điện từ của hạt nhân nguyên tử theo cách giải phóng năng lượng dưới dạng các tín hiệu tần số vô tuyến (RF), được ghi lại bởi các cuộn cảm thu của máy quét và sau đó được xử lý bằng máy tính để tạo thành hình ảnh.
- Hoạt động của các máy quét MRI sử dụng trên lâm sàng dựa trên hạt nhân hydro (chứa một proton) do chúng có nhiều trong cơ thể con người.
- Mỗi proton có một điện tích dương, và vì các proton cũng có quay (spin) nên điện tích này chuyển động liên tục. Ta nhớ rằng một điện tích đang chuyển động cũng là một dòng điện, và bởi vì dòng điện tạo ra một từ trường, mỗi proton có một từ trường nhỏ riêng của nó (được gọi là mômen từ, magnetic moment).
- Khi bệnh nhân vào máy quét MRI, tất cả các proton vi từ trường đều canh chỉnh theo từ trường mạnh hơn của nam châm MRI bên ngoài. Hầu hết các proton này sẽ hướng song song với từ trường, và những proton khác sẽ hướng đối song song với từ trường, nhưng tất cả chúng sẽ canh chỉnh với từ trường bên ngoài của MRI.
- Các proton không chịu đứng yên, vì vậy chúng xoay quanh (precess) (tức là dao động như một con quay) dọc theo đường sức từ của MRI.
- Chúng ta sẽ quay trở lại với các proton nhỏ đang dao động trong một moment (từ tính).
CÁC PHẦN CỨNG CỦA MỘT MÁY QUÉT CỘNG HƯỞNG TỪ
Nam châm chính (Main Magnet)
- Nam châm chính trong máy quét MRI thường là nam châm siêu dẫn.
- Nam châm siêu dẫn chứa một cuộn dây dẫn được làm nguội đến nhiệt độ siêu dẫn để mang dòng điện (4 K hoặc −269 ° C). Ở nhiệt độ thấp (gần bằng độ không tuyệt đối), sức cản đối với dòng điện trong vật dẫn gần như biến mất.
- Do đó, một dòng điện một khi đi qua vật liệu siêu dẫn này sẽ chạy liên tục và tạo ra một từ trường vĩnh cửu. Nam châm trong máy quét MRI luôn “bật”.
- Hầu hết các máy quét ngày nay đều có cường độ từ trường từ 0,5 đến 3 Tesla (T). Máy quét MRI mở, nghĩa là những máy không hoàn toàn bao quanh bệnh nhân trong vòng quét, có cường độ trường thấp hơn từ 0,1 đến 1,0 T. Để so sánh, từ trường Trái đất chỉ khoảng 50 μT.
Các cuộn cảm (Coils)
- Các cuộn cảm đặt trong nam châm là một bộ phận quan trọng của máy quét MRI. Các cuộn cảm này chịu trách nhiệm truyền các xung RF (cuộn cảm phát) kích thích các proton hoặc nhận tín hiệu (hoặc xung cộng hưởng/echo) do các proton bị kích thích này phát ra (cuộn cảm thu).
- Các cuộn cảm này chịu dòng điện mạnh và tồn tại trong từ trường mạnh tạo ra âm thanh “gõ” lặp đi lặp lại trong quá trình quét MRI.
Máy tính
- Một máy tính dành riêng cho máy quét MRI sẽ xử lý các tín hiệu RF thu được từ cuộn cảm thu và chuyển đổi chúng thành hình ảnh.

Radio Frequancy Coil: cuộn phát sóng tần số radio, Gradient coils: cuộn gradient, Magnet: Từ trường, Scanner: Bộ phận quét, Patient: Bệnh nhân.
ĐIỀU GÌ XẢY RA SAU KHI BẮT ĐẦU QUÉT
- Khi bệnh nhân được đặt vào nam châm của máy quét, các cuộn cảm phát sẽ gửi một xung điện từ ngắn (đo bằng mili giây) được gọi là xung tần số vô tuyến (radiofrequency pulse). Cần nhớ rằng tại thời điểm này, các proton đang quay trong bệnh nhân đã canh chỉnh theo từ trường bên ngoài của nam châm.
- Xung RF này được gửi ở một tần số cụ thể làm thay đổi hướng của các proton.
- Khi xung RF bị tắt, các proton bị dịch chuyển sẽ giãn ra (relax) và canh chỉnh lại với từ trường chính, và năng lượng sau đó được giải phóng dưới dạng tín hiệu RF (xung cộng hưởng/echo) được phát hiện bởi các cuộn cảm thu (receiver coils).
- Khoảng thời gian cần thiết để sự phục hồi và phân rã này xảy ra và tạo cộng hưởng được gọi là T1 và T2.
- T1 thư giãn (hoặc hồi phục) là thời gian để mô phục hồi về trạng thái dọc (song song với từ trường); nghĩa là khoảng thời gian sau khi xung RF được phát.
- T2 thư giãn (hoặc phân rã) là thời gian cần thiết để mô lấy lại hướng ngang (vuông góc với từ trường) sau khi xung RF được phát.
- Tóm lại, ngay sau khi dừng xung RF, quá trình thư giãn bắt đầu và các hạt nhân đang quay sẽ giải phóng năng lượng sau đó được phát hiện bởi cuộn thu và cuối cùng được sử dụng để tạo ra hình ảnh.
Các Chuỗi Xung (Pulse Sequences)
- Các chuỗi xung bao gồm một tập hợp các thông số hình ảnh được xác định trước bằng các giao thức (protocols) cho các bệnh lý đặc hiệu và bộ phận cơ thể cụ thể và sau đó được kỹ thuật viên MRI chọn trước trên máy tính. Một giao thức chụp hình ảnh cụ thể (ví dụ: giao thức MRI chụp não thông thường) bao gồm một loạt nhiều chuỗi xung xác định cách các mô khác nhau sẽ xuất hiện trên bản quét. Một chuỗi xung có thể kéo dài từ 20 giây đến 15 phút.
- Có hai chuỗi xung chính: spin echo (SE) (xung cộng hưởng xoay) và gradient recalled echo (GRE) (xung cộng hưởng chênh). Các chuỗi xung SE có tỷ lệ tín hiệu/ nhiễu cao hơn, nhưng các chuỗi xung GRE là các chuỗi xung nhanh hơn được ưu tiên cho các kỹ thuật chụp hình nhanh. Tất cả các chuỗi xung được sử dụng trong quét MRI đều dựa trên hai chuỗi xung này.
Thời gian Lặp lại (Repetition Time) và Thời gian Xung Cộng hưởng (Echo Time)
- Các thông số thời gian lặp lại (TR) và thời gian xung cộng hưởng (TE) được thiết lập bởi người vận hành MRI trên bảng điều khiển trước khi quét và xác định mức hình ảnh được “trọng”/“weighted” hoặc thiên về.
- TR là thời gian lặp lại giữa hai xung RF và nó ảnh hưởng đến mức độ thiên về T1.
- Các chuỗi xung có TR ngắn (nghĩa là một khoảng thời gian ngắn giữa các xung RF) sẽ tạo ra hình ảnh bị thiên về T1 (T1w)
- TE là thời gian giữa một xung RF phát và xung cộng hưởng của nó, và nó ảnh hưởng đến mức thiên về T2.
- Các chuỗi xung có TE dài (có nghĩa là một khoảng thời gian dài giữa xung RF và xung cộng hưởng) sẽ tạo ra hình ảnh gọi là hình ảnh bị thiên về/trọng T2 (T2w).
MỘT SỐ KHÁI NIỆM CƠ BẢN VỀ TÍN HIỆU MRI
- Để chẩn đoán bản chất của tổ chức bằng MRI, người ta thường dựa vào độ sáng tối và độ tương phản của tổ chức so với các mô lân cận. Khi mô tả độ sáng tối của tổ chức và của dịch, người ta thường dùng khái niệm cường độ tín hiệu, ví dụ như:
- Cường độ tín hiệu cao = màu trắng
- Cường độ tín hiệu trung bình= màu xám
- Cường độ tín hiệu thấp = màu đen
- Ngoài ra có thể so sánh một cách tương đối cường độ tín hiệu của vùng chúng ta quan tâm với các tổ chức lân cận, ví dụ như:
- Tăng tín hiệu (hyperintense) = sáng hơn vùng mà chúng ta so sánh
- Đồng tín hiệu (isointense) = cùng độ sáng với vùng mà chúng ta so sánh
- Giảm tín hiệu (hypointense) = sẫm màu hơn vùng mà chúng ta so sánh.
CÁC XÁC ĐỊNH MỘT HÌNH ẢNH LÀ T1W HAY T2W
- Các mô khác nhau có giá trị T1 và T2 khác nhau, đó là lý do tại sao mỡ, cơ và xương, chẳng hạn, sẽ xuất hiện không chỉ khác nhau mà còn với các chuỗi xung khác nhau.
Sáng và Tối
- Các mô có T1 ngắn sẽ sáng.
- Các mô có T2 dài sẽ sáng.
- Sáng có nghĩa là trắng hơn hoặc có cường độ tín hiệu tăng trên các lát quét MRI. Tối có nghĩa là đen hơn hoặc có cường độ tín hiệu giảm trên MRI.
- Một điểm chính là nước sẽ tối trên các ảnh trọng T1 (T1W) và sáng trên các ảnh trọng T2w. Nước tối ở T1 và sáng ở T2.
- Một cách để nhớ nước có màu sáng ở T2 là số “2” có cả trong H2O (nước) và T2w.
- Do đó, khi nhìn vào bất kỳ hình ảnh MR nào, trước tiên hãy cố gắng tìm một thứ mà ta biết là chất lỏng (nước), chẳng hạn như dịch não tủy trong não thất và ống sống hoặc nước tiểu trong bàng quang.
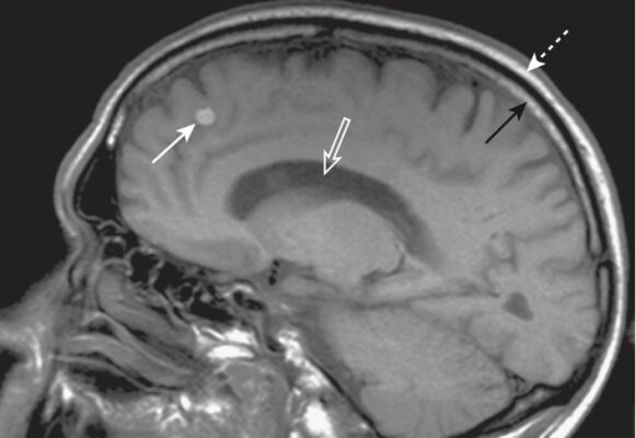
- Nếu dịch có màu tối, thì hình ảnh đang xem có thể là hình ảnh T1w (Hình 2, A).
- Nếu chất dịch sáng, thì hình ảnh đang xem có thể là hình ảnh T2w (xem Hình 2, B).
- Một số mô và cấu trúc thường sáng trên hình ảnh T1w.
- Mỡ: mỡ dưới da và trong ổ bụng, mỡ trong tủy xương, các khối u chứa mỡ (xem Hình 2, A)
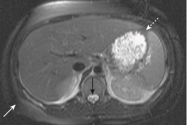
- Xuất huyết: thay đổi tùy theo thời gian của xuất huyết (Hình 3)
- Dịch protein: trong các nang thận hoặc gan, nang ung thư
- Tuy nhiên, một nang đơn giản chứa nước sẽ tối trên ảnh T1w (và sáng trên ảnh T2w), vì hãy nhớ rằng ở T1 nước có màu tối (Hình 4)
- Melanin: ví dụ, u hắc tố (Hình 5)
- Gadolinium và các chất thuận từ khác (mangan, đồng)
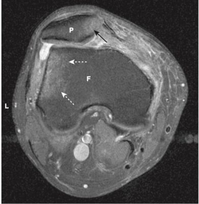
- Một số mô và cấu trúc thường sáng trên hình ảnh T2w.
- Mỡ: mỡ dưới da và trong ổ bụng, mỡ trong tủy xương, các khối u chứa mỡ (xem Hình 2, B)
- Nước, phù nề (Hình 6 và 7), viêm, nhiễm trùng, nang (xem Hình 4)
- Xuất huyết: thay đổi tùy theo thời gian xuất huyết (xem Hình 3)
- Lưu ý rằng cả mỡ và xuất huyết đều có thể có T1-sáng và T2-sáng.






Ức chế (Suppression)
- Một tính năng hữu ích của MRI là khả năng loại bỏ hoặc ức chế tín hiệu từ các mô nhất định một cách chọn lọc, do đó làm cho mô đó trông tối trên hình ảnh và làm cho các cấu trúc và bệnh lý khác dễ thấy hơn.
- Một mô cơ thể thường bị ức chế là mỡ.
- Mỡ bình thường sáng trên hình ảnh T1w nhưng sẽ tối trên hình ảnh T1 ức chế mỡ T1 (Hình 8)(còn gọi là xoá mỡ).
- Tính năng này rất hữu ích khi cố gắng xác định các tổn thương chứa mỡ như u quái buồng trứng, u tủy mỡ thượng thận và liposarcoma (Hình 9), bởi vì chúng sẽ thay đổi từ sáng trên các hình ảnh không ức chế mỡ chuyển thành tối trên các hình ảnh ức chế mỡ.
- Ức chế mỡ cũng cần thiết để đánh giá các mô sau khi dùng thuốc đối quang từ gadolinium.


Các loại chuỗi xung khác
- Có nhiều chuỗi xung khác ngoài hình ảnh T1w và T2w mà thường bao gồm một giao thức quét MRI riêng, chẳng hạn như hình ảnh trọng về khuếch tán, hình ảnh trọng về mật độ proton và các hình ảnh có các từ viết tắt để dễ nhớ, chẳng hạn như STIR, FLAIR và MRA / TOF (viết tắt của từ short tau inversion recovery, fluid- attenuated inversion recovery, và time-of-flight magnetic resonance angiography).
- MRI Chức năng, hoặc fMRI, liên hệ giữa sự thay đổi nhu cầu lưu lượng máu của não với những thay đổi trong hoạt động thần kinh và chuyển chúng thành sự khác biệt trong tín hiệu MRI, đặc biệt là trên hình ảnh T2W. fMRI hiện được sử dụng để lập bản đồ hoạt động thần kinh trong não hoặc tủy sống.
CÁC CHẤT ĐỐI QUANG TỪ MRI: CÁC CÂN NHẮC CHUNG
- Gadolinium là chất đối quang từ tĩnh mạch phổ biến nhất được sử dụng trong MRI lâm sàng.
- Gadolinium là một ion kim loại nặng, đất hiếm được chelat hóa thành các hợp chất khác nhau để tạo thành chất đối quang từ MRI. Khi được chelat hóa với một axit được gọi là axit gadolinium diethylenetriaminepentaacetic (Gd-DTPA), nó tạo thành gadopentetate dimeglumine, một chất đối quang từ thường được sử dụng.
- Chất đối quang từ dựa trên gadolinium được sử dụng giống như cách sử dụng chất cản quang có i-ốt trong CT. Chúng có thể được tiêm nội mạch hoặc nội khớp.
- Sau khi tiêm tĩnh mạch, Gd-DTPA đi vào máu, tăng cường (enhancing) làm rõ nhu mô cơ quan, sau đó được thải trừ qua thận qua lọc cầu thận.
- Các loại thuốc đối quang từ đặc biệt khác dựa trên gadolinium có một thành phần thải trừ qua đường mật.
- Tác dụng của gadolinium là rút ngắn thời gian thư giãn T1 của hạt nhân hydro (và ở mức độ ít hơn là rút ngắn T2).
- Việc rút ngắn T1 sẽ làm tín hiệu sáng hơn trên ảnh T1w so với cùng ảnh không có gadolinium, và chính vì lý do này mà ảnh thu được sau khi tiêm gadolinium thường là T1w để tận dụng hiệu ứng này.
- Mỡ sáng trên T1 ngay cả khi không dùng gadolinium. Để tăng khả năng phát hiện sự tăng cường độ tương phản trong mỡ, hình ảnh trước và sau dùng đối quang từ thường được ức chế mỡ (có nghĩa là làm tối) để nâng cao tác dụng của gadolinium (Hình 10).
- Các cấu trúc trở nên sáng trên hình ảnh hậu gadolinium thường là mạch máu (chẳng hạn như khối u) (Hình 11) hoặc các mô bị viêm, và được mô tả là tăng cường (enhancing).


CÁC VẤN ĐỀ VỀ AN TOÀN VỚI MRI
Chứng sợ khoảng hẹp (Claustrophobia)
- Một số bệnh nhân đôi lúc có thể bị sợ hãi quá mức trong phạm vi nhỏ của máy quét MRI và họ sẽ không thể bắt đầu hoặc hoàn thành xét nghiệm chẩn đoán. Điều trị trước bằng các thuốc an thần có thể hữu ích trong các tình huống lâm sàng thích hợp.
- Hoặc là bệnh nhân có thể được quét trong một nam châm mở, không đóng kín. Tuy nhiên, cường độ từ trường sẽ thấp hơn và độ phân giải sẽ kém hơn.
Các vật thể sắt từ
- Bất kỳ vật thể sắt từ nào bên trong cơ thể bệnh nhân đều có thể bị từ trường của máy quét MRI di chuyển và có khả năng làm tổn thương các mô lân cận. Những vật sắt từ bên trong như vậy cũng có khả năng bị đốt nóng và gây bỏng cho các mô xung quanh.
- Các vật thể sắt từ ở vị trí mà chuyển động của chúng có thể gây hại cho bệnh nhân là một chống chỉ định tuyệt đối với MRI. Các vật thể này bao gồm các vật dụng được đưa vào với mục đích điều trị, chẳng hạn như kẹp phình động mạch não, kẹp mạch máu và kim bấm phẫu thuật. Nhiều kẹp mạch và kim bấm hiện nay được sản xuất để tương thích với MRI.
- Một số dị vật, chẳng hạn như mảnh đạn, mảnh bom và kim loại trong mắt (đôi khi thấy ở những thợ làm đồ kim khí) cũng có thể là sắt từ.
- Cần chụp X quang thông thường ổ mắt ở những bệnh nhân có tiền sử có dị vật kim loại trong mắt trước khi chụp MRI, và nếu có kim loại, nên sử dụng các chẩn đoán hình ảnh thay thế.
- Các vật sắt từ bên ngoài bệnh nhân, chẳng hạn như bình ôxy, kéo, dao mổ và các dụng cụ kim loại, cũng có thể gây rủi ro cho bệnh nhân vì chúng có thể bay trong không khí khi nằm trong từ trường và vì lý do này bị cấm trong phòng quét MRI .
Thiết bị Cơ hoặc Điện
- Thường không thể thực hiện MRI ở những bệnh nhân có máy tạo nhịp tim, cấy máy kích thích giảm đau, máy bơm insulin, máy bơm truyền thuốc được cấy ghép khác và cấy ghép ốc tai điện tử. Một ngoại lệ là một loại máy tạo nhịp tim mới hơn đã được Cục Quản lý Thực phẩm và Dược phẩm (FDA) phê duyệt, được thiết kế đặc biệt để bệnh nhân có thể chụp MRI một cách an toàn.
Một Bệnh Nhân Có Thiết Bị Y Tế Cấy Ghép Có Thể Được Chụp MRI hay không?
- Câu trả lời là còn tuỳ.
- Vào năm 2005, ASTM International, trước đây được gọi là Hiệp hội Vật liệu và Thử nghiệm Hoa Kỳ, đã xác định thuật ngữ, hiện được FDA công nhận, dành cho các thiết bị y tế ở bệnh nhân chuẩn bị chụp MRI.
- Cộng hưởng Từ An toàn đề cập đến một vật phẩm không có mối nguy hiểm đã biết trong tất cả các môi trường MRI. Những sản phẩm này, chẳng hạn như ống nhựa, là phi kim loại, không dẫn điện và không từ tính.
- Cộng hưởng Từ có Điều kiện đề cập đến một vật phẩm đã được chứng minh là không gây ra các mối nguy hiểm đã biết trong một môi trường MRI cụ thể trong các điều kiện sử dụng cụ thể. Môi trường MRI khác nhau về cường độ của nam châm chính, từ trường gradient và trường RF …
- Cộng hưởng Từ Không an toàn đề cập đến bất kỳ vật dụng nào được biết là gây nguy hiểm trong tất cả các môi trường MRI. Các vật dụng MR không an toàn có thể bao gồm các vật dụng có từ tính như một kéo sắt từ.
- Chi tiết về mức độ an toàn MRI của từng vật phẩm được mô tả có trong thông tin sản phẩm của nhà sản xuất, cũng như trên các trang web của các nhà sản xuất.
Phụ nữ có thai
- Mặc dù không có nguy cơ sinh học được biết có liên quan đến MRI ở người lớn, ảnh hưởng của MRI đối với thai vẫn chưa được biết chắc chắn.
- Tuy nhiên, Hiệp hội Hình ảnh học Hoa kỳ (American College of Radiology) tuyên bố rằng bệnh nhân mang thai có thể được chụp MRI ở bất kỳ giai đoạn nào của thai kỳ nếu quyết định rằng tỷ lệ rủi ro / lợi ích của bệnh nhân có lợi cho việc thực hiện (Hình 12).
- Có lẽ không nên thực hiện cộng hưởng từ trong giai đoạn đầu thai kỳ vì chưa biết rõ nguy cơ đối với phôi thai.
- Việc sử dụng chất đối quang từ gadolinium không được khuyến cáo ở bệnh nhân có thai, vì gadolinium đi qua nhau thai, sau đó được bài tiết qua thận của thai nhi và chưa rõ tác dụng đối với thai nhi.

Bệnh xơ hóa hệ thống do thận (Nephrogenic Systemic Fibrosis)
- Ở bệnh nhân suy thận, chất đối quang từ dựa trên gadolinium có liên quan đến một bệnh hiếm gặp, gây đau và khuyết tật, và đôi khi gây tử vong được gọi là bệnh xơ hóa hệ thống do thận (NSF).
- NSF tạo ra sự xơ hóa giống như xơ cứng bì ở da, mắt, khớp và các cơ quan nội tạng.
- Bệnh nhân có rối loạn chức năng thận từ trước, đặc biệt là những người đang lọc máu, có nguy cơ cao nhất bị NSF do sử dụng các chất đối quang từ dựa trên gadolinium.
- Phải thận trọng khi dùng gadolinium cho những bệnh nhân bị bệnh thận trung bình (đặc biệt với mức lọc cầu thận ước tính [eGFR] là 30-45 mL / phút / 1,73m2). Tránh sử dụng gadolinium ở những bệnh nhân bị bệnh thận nặng (eGFR <30 mL / phút / 1,73 m2).
CÁC ỨNG DỤNG CHẨN ĐOÁN CỦA MRI
- Một số ứng dụng lâm sàng của MRI được nêu trong Bảng 1. Bạn đọc tham khảo các chi tiết thảo luận ở các bài viết khác.
| Hệ | Cơ quan | Bệnh |
|---|---|---|
| Cơ xương | Đánh giá sụn chêm, gân, cơ Xương Viêm tủy xương Cột sống | Rách sụn chêm, tổn thương gân và dây chằng Đụng dập tủy xương; gãy xương ẩn hoặc do mỏi Giá trị tiên liệu âm tính cao nếu bình thường Bệnh lý đĩa đệm và thâm nhiễm tuỷ xương; phân biệt sẹo do phẫu thuật trước đó hoặc bệnh mới |
| Thần kinh | Não Thần kinh ngoại biên | Lý tưởng trong nghiên cứu não, đặc biệt hố sau; khối u, nhồi máu, xơ hoá rải rác Chèn ép, tổn thương |
| Tiêu hoá | Gan Đường mật Ruột non và ruột già | Làm rõ đặc tính tổn thương gan; phát hiện các tổn thương nhỏ; nang; ung thư tế bào gan; quá sản nốt khu trú; hemochromatosis (rối loạn sắc tố di truyền); thâm nhiễm mỡ Chụp đường mật tuỵ cộng hưởng từ với chít hẹp, giãn Chụp ruột cộng hưởng từ; viêm ruột thừa ở phụ nữ có thai |
| Nội tiết/Sinh sản | Tuyến thượng thận Khung chậu phụ nữ Khung chậu nam | Adenoma; xuất huyết thượng thận Giải phẫu tử cung buồng trứng; khối u, nang, lạc nội mạc… Phân giai đoạn các ung thư tiền liệt tuyến, trực tràng, bàng quang |
| Niệu dục | Thận | Các khối ở thận; phân biệt nang và các khối u |
Lược dịch có chỉnh sửa từ: Learning Radiology: RECOGNIZING THE BASICS. William Herring, MD, FACR.3rd EDITION. Elsevier Inc 2016.







