Bài viết bắt đầu với X quang thông thường, trước hết là đánh giá kích thước tim, sau đó là mô tả các đường viền bình thường và bất thường của tim trên phim X quang thẳng, và cuối cùng là thảo luận về giải phẫu bình thường của tim trên chụp cắt lớp vi tính (CT) và hình ảnh cộng hưởng từ (MRI).
ĐÁNH GIÁ TIM TRÊN X quang ngực
Nhận biết một quả tim có kích thước bình thường
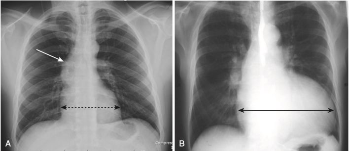
- Có thể ước tính kích thước của bóng tim trên phim chụp X quang ngực thẳng bằng tỷ lệ tim – lồng ngực, so sánh đường kính ngang rộng nhất của tim với đường kính trong rộng nhất của khung xương sườn (thường ngang mức cơ hoành) (Hình 1).
- Ở hầu hết người lớn bình thường khi hít vào tối đa (thấy được khoảng 9 xương sườn sau), tỷ lệ tim lồng ngực <50%.

Các đường viền tim bình thường
Các đường viền tim bình thường bao gồm một các đoạn lồi và lõm có thể nhìn thấy trên phim chụp X quang ngực thẳng (Hình 2).

Có thể xác định được bảy đường viền tim trên phim chụp X quang ngực thẳng.
- Ở phía bên phải của tim, đường viền đầu tiên là một cạnh gần như thẳng, mật độ thấp, có thấy được ngay bên cạnh khí quản phản ánh kích thước của động mạch chủ lên.
- Nơi đường viền của động mạch chủ lên gặp đường viền của tâm nhĩ phải, thường có một ấn lõm nhẹ ở đó tâm nhĩ trái có thể xuất hiện khi nó bị to ra (gọi là dấu hiệu mật độ kép, double-density sign).
- Đường viền tim phải được tạo thành bởi tâm nhĩ phải.
- Ở bên trái, đường viền đầu tiên là núm động mạch chủ, một hình ảnh x quang được tạo bởi cung động mạch chủ chồng lên một phần của đoạn đầu của động mạch chủ xuống.
- Đường viền tiếp theo bên dưới núm động mạch chủ là động mạch phổi chính, trước khi nó chia thành động mạch phổi phải và trái.
- Ngay dưới đoạn động mạch phổi chính thường có một vết lõm nhẹ nơi tâm nhĩ trái phì đại có thể xuất hiện ở phía bên trái của tim.
- Đường viền cuối cùng của tim bên trái được tạo thành bởi tâm thất trái.
- Động mạch chủ xuống gần như không nhìn thấy được với bóng của cột sống.
Những điểm chính về các đường viền tim:
- Động mạch chủ lên thường không có hình chiếu về bên phải xa hơn đường viền tim phải (tức là tâm nhĩ phải).
- Núm động mạch chủ bình thường <35 mm (đo từ rìa khí quản) và thường sẽ đẩy nhẹ khí quản sang phải.
- Đoạn động mạch phổi chính thường lõm hoặc phẳng. Ở những phụ nữ trẻ, nó thường có thể lồi ra ngoài.
- Tâm nhĩ trái bình thường không góp vào đường viền của tim trên phim chụp X quang ngực thẳng không quay.
- Tâm nhĩ trái lớn sẽ “lấp đầy” và làm thẳng đường cong lõm bình thường ngay dưới đoạn động mạch phổi chính và đôi khi có thể nhìn thấy ở phía bên phải của tim.
- Phần dưới của viền trái của tim được tạo thành từ tâm thất trái. Cần nhớ rằng tâm thất trái thực sự là tâm thất sau và tâm thất phải là tâm thất trước.
- Thông thường, động mạch chủ dưới song song với cột sống và hầu như không thể nhìn thấy trên phim chụp X quang ngực thẳng. Khi động mạch ngoằn ngoèo, nó sẽ lệch ra xa cột sống ngực về phía bên trái của bệnh nhân (Hình 3).

CÁC NGUYÊN TẮC CHUNG
Khi giải thích các bất thường của tim, bất kể phương pháp nào đang được sử dụng, các nguyên tắc sau đây đều đúng:
- Tâm thất phản ứng với sự cản trở đường ra của chúng trước hết bằng cách phì đại chứ không phải là giãn. Do đó, lúc đầu tim có thể không to ra với các tổn thương như hẹp eo động mạch chủ, hẹp bẩm sinh động mạch chủ, hẹp động mạch phổi hoặc tăng huyết áp. Khi thành tâm thất trở nên dày hơn, lòng tim thực sự trở nên nhỏ hơn, và chỉ khi cơ bắt đầu suy yếu và tim mất bù thì tim mới to ra rõ rệt.
- Chứng tim lớn (Cardiomegaly), khi được nhận ra trên phim X quang ngực, chủ yếu là do giãn lớn của tâm thất, không phải do giãn rộng riêng biệt của tâm nhĩ. Do đó, tim thường có kích thước bình thường trong bệnh hẹp van hai lá sớm, cho dù tâm nhĩ trái đã to ra.
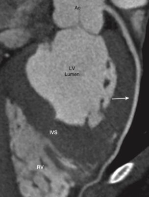
- Nói chung, sự lớn của buồng tim rõ rệt nhất sẽ xảy ra do quá tải thể tích chứ không phải do quá tải áp suất, do đó các buồng tim lớn nhất thường được tạo ra bởi các van bị trào ngược hơn là van bị hẹp. Do đó tim thường sẽ lớn hơn khi có trào ngược động mạch chủ hơn là hẹp eo động mạch chủ, và nhĩ trái thường sẽ lớn hơn khi trào ngược van hai lá so với hẹp van hai lá (Hình 4).

ĐÁNH GIÁ TIM TRÊN CT TIM
- Chụp CT tim được thực hiện bằng cách sử dụng máy quét CT nhanh đa lát cắt, thường có chất cản quang iốt trong tĩnh mạch và thu nhận đồng bộ với sóng điện tâm đồ (ECG-gating) để giảm nhiễu chuyển động.
- Cả CT tim và MRI tim đều áp dụng đồng bộ với sóng điện tâm đồ, cho phép thu được một loạt hình ảnh qua một số chu kỳ tim và được phân tích với các thuật toán máy tính.
- CT tim có thể được sử dụng để đánh giá các động mạch vành và van tim và tìm kiếm các khối ở tim. Bằng cách tái tạo nhiều giai đoạn của chu kỳ tim, cũng có thể phân tích chuyển động của thành tim và đánh giá phân suất tống máu và tưới máu cơ tim.
- Ba mặt phẳng tiêu chuẩn để xem hình ảnh CT của tim là trục (cắt ngang), đứng dọc (bên), và vành (trán). Hình 5 đến 4-10 minh hoạ các đặc điểm giải phẫu CT bình thường chính của tim và các mạch lớn.
GIẢI PHẪU CT TIM BÌNH THƯỜNG
Dưới đây chỉ đề cập đến một vài mốc giải phẫu chính trên CT ngực và tất cả các hình ảnh quét được sử dụng sẽ được tăng cường chất cản quang, tức là bệnh nhân sẽ được tiêm thuốc cản quang tĩnh mạch để làm trắng các mạch máu.
Chúng ta sẽ bắt đầu ở phần trên cùng của ngực và đi dần xuống, làm rõ các cấu trúc chính có thể nhìn thấy ở sáu mức chính.
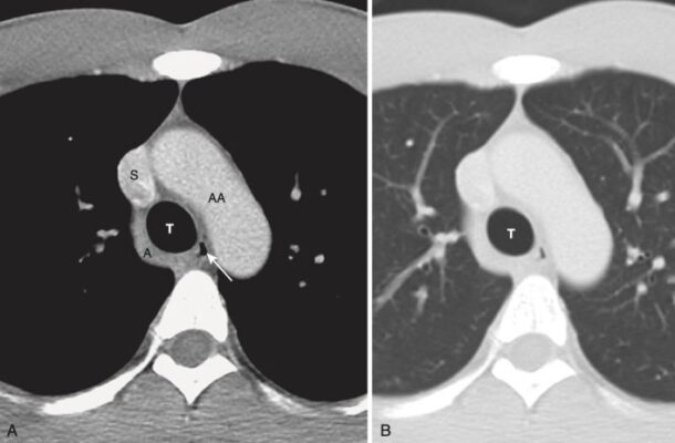
Mức 5 mạch máu (Hình 5)
- Ở mức này, có thể xác định được hai phổi, khí quản (T) và thực quản. Khí quản có màu đen vì chứa không khí; thường có hình bầu dục và đường kính khoảng 2 cm. Thực quản nằm phía sau và ở bên trái hoặc bên phải của khí quản. Nó thường xẹp nhưng có thể chứa không khí nuốt vào.
- Tùy thuộc vào mức của lát cắt, có thể thấy một vài mạch máu lớn. Các cấu trúc tĩnh mạch có xu hướng nằm ở phía trước so với động mạch.
- Các tĩnh mạch cánh tay đầu (brachiocephalic veins, B) nằm ngay sau xương ức. Từ bên phải của bệnh nhân sang bên trái, các động mạch có thể nhìn thấy được có thể bao gồm động mạch vô danh (innominate, I), động mạch cảnh chung trái (C) và động mạch dưới đòn trái (S).

Mức cung động mạch chủ (Hình 6)
- Ở mức này, có thể xác định được cung động mạch chủ, tĩnh mạch chủ trên và tĩnh mạch đơn (azygous vein).
- Cung động mạch chủ là một ống hình chữ U lộn ngược. Nếu lát cắt lướt qua phần trên cùng của cung, nó sẽ xuất hiện dưới dạng một cấu trúc hình hạt đậu (dấu phẩy) với đường kính gần bằng nhau về phía trước và phía sau.
- Tĩnh mạch chủ trên, nơi tĩnh mạch azygos đi vào, sẽ nằm ở bên phải khí quản.

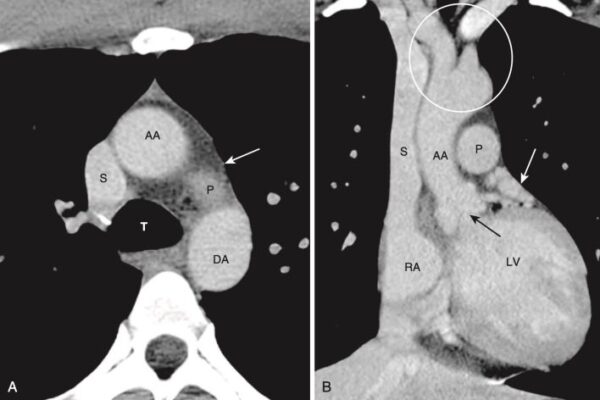
Mức cửa sổ chủ phế (Aortopulmonary Window) (Hình 7)
- Ở mức này, có thể xác định được động mạch chủ lên và xuống, tĩnh mạch chủ trên và (có thể thấy) mặt trên của động mạch phổi trái .
- Khi các lát cắt xuống thấp hơn qua lỗ mở chữ U lộn ngược của cung động mạch chủ, động mạch chủ lên sẽ có dạng tròn ở phía trước, trong khi động mạch chủ xuống sẽ có dạng tròn ở phía sau và bên trái của cột sống. Động mạch chủ lên thường có đường kính 2,5 đến 3,5 cm và động mạch chủ xuống nhỏ hơn một chút ở mức 2 đến 3 cm.
- Ở hầu hết mọi người, có một khoảng trống ngay bên dưới cung động mạch chủ nhưng ở trên động mạch phổi được gọi là cửa sổ chủ phế. Cửa sổ động mạch chủ là một mốc quan trọng vì đây là vị trí thường xuất hiện các hạch phì đại.
- Ở mức này hoặc thấp hơn một chút, khí quản chia đôi ở carina thành phế quản chính phải và bên trái.

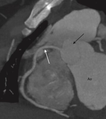
Hình 7. Mức cửa sổ chủ phế (A) và hình cắt đứng bên (vành/trán) (B). A, Ở mức này, có thể xác định được khí quản (T), động mạch chủ lên (AA) và động mạch chủ xuống (DA), tĩnh mạch chủ trên (S), và có thể là mặt trên của động mạch phổi trái (P), cửa sổ chủ phế (mũi tên trắng). B, CT đứng bên được định dạng lại cho phép chúng ta nhìn thấy cả tâm nhĩ phải (RA), tĩnh mạch chủ trên (S), tâm thất trái (LV), van động mạch chủ (mũi tên đen), động mạch chủ lên (AA), động mạch phổi chính (P), phần phụ tâm nhĩ trái (mũi tên màu trắng), và gốc của các mạch máu lớn (vòng tròn màu trắng).
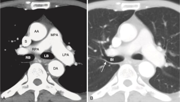
Ở Mức động mạch phổi chính (Hình 8)
- Ở các mức này (có thể cần nhiều hơn một lát cắt để nhìn thấy tất cả các cấu trúc này), có thể xác định được động mạch phổi chính, động mạch phổi phải và trái; phế quản chính phải và trái; và phế quản trung gian.
- Động mạch phổi trái cao hơn bên phải và biểu hiện như thể là phần tiếp nối của động mạch phổi chính. Động mạch phổi phải xuất phát ở một góc 90° so với động mạch phổi chính và chạy chéo sang bên phải.
- Phế quản chính phải biểu hiện dưới dạng một cấu trúc hình tròn, chứa không khí, sau đó sẽ trở thành hình ống khi phế quản thùy trên bên phải xuất hiện. Sau phế quản trung gian không nên có gì ngoài mô phổi.
- Phế quản chính trái xuất hiện như một cấu trúc hình tròn chứa không khí ở bên trái.

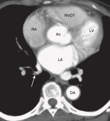
Mức tim cao (Hình 9)
- Ở mức này, có thể xác định được nhĩ trái, nhĩ phải, gốc động mạch chủ và đường ra của thất phải (right ventricular outflow tract, RVOT).
- Tâm nhĩ trái chiếm phần sau và trung tâm của tim. Có thể thấy một hoặc nhiều tĩnh mạch phổi đổ vào nhĩ trái.
- Tâm nhĩ phải tạo thành bờ phải tim và nằm ngay bên phải của nhĩ trái.
- Đường ra của tâm thất phải nằm trước, bên và trên so với gốc của động mạch chủ. Van động mạch phổi nằm trước, bên và trên van động mạch chủ .

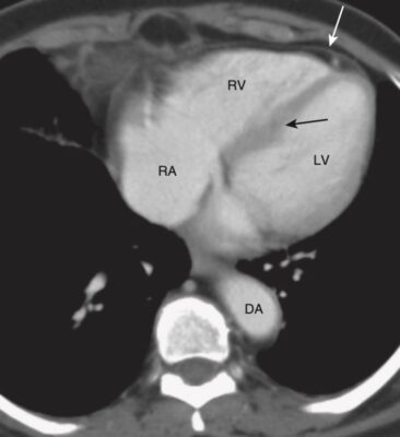
Mức tim thấp (Hình 10)
- Ở mức này, có thể xác định được nhĩ phải, thất phải, thất trái, màng ngoài tim và vách liên thất.
- Tâm nhĩ phải tiếp tục hình thành bờ tim phải. Tâm thất phải nằm ở phía trước, ngay sau xương ức, và thành xô xảm hơn thành tâm thất trái.. Tâm thất trái tạo ra bờ tim trái và bình thường có thành dày hơn tâm thất phải.
- Với thuốc cản quang tĩnh mạch, có thể nhìn thấy vách ngăn liên thất giữa tâm thất phải và trái.
- Màng ngoài tim (pericardium) bình thường dày khoảng 2 mm và thường được bao bọc bởi lớp mỡ trung thất bên ngoài màng tim và lớp mỡ thượng tâm mạc (epicardium) ở bề mặt bên trong của nó.

ỨNG DỤNG CỦA CT TIM MẠCH
- CT tim được sử dụng để đánh giá sự hiện diện của các khối u ở tim, các bất thường của động mạch chủ (bao gồm bóc tách động mạch chủ) và các bệnh của màng ngoài tim.
- CT tim cũng cho phép ghi hình và tái tạo ba chiều các động mạch vành và đo định lượng lượng canxi động mạch vành. Sử dụng thuốc cản quang tĩnh mạch cho phép đánh giá tình trạng thông thương lòng mạch với việc xác định huyết khối trong lòng mạch hoặc mảng bám trong thành mạch.
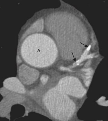
- Tính điểm canxi có thể giúp dự đoán các biến cố tim trong tương lai liên quan đến bệnh mạch vành do xơ vữa động mạch (Hình 11). Sự vắng mặt của canxi hóa động mạch vành có giá trị tiên đoán âm tính cao với tình trạng hẹp mạch vành đáng kể.
- Trong khi tính điểm canxi chủ yếu được sử dụng để phân tích nguy cơ của bệnh nhân không có triệu chứng, chụp CT mạch vành (CCTA) chủ yếu được sử dụng ở bệnh nhân đau ngực cấp tính hoặc mạn tính. Giống như tính điểm canxi, CCTA âm tính có giá trị dự đoán âm tính cao, tức là, một nghiên cứu âm tính thì khả năng bệnh động mạch vành tắc nghẽn rất thấp.
- Một nhược điểm tiềm ẩn đối với CT tim là liều bức xạ truyền cho bệnh nhân, trước đây tương đối cao. Hiện nay nhiều biện pháp đã được sử dụng để giảm liều lượng đó.

Chụp CT mạch vành (CCTA) — Giải phẫu bình thường
CCTA có độ chính xác khá tốt so với chụp động mạch vành xâm lấn (đặt thông), vẫn là tiêu chuẩn tham chiếu trong nghiên cứu động mạch vành.
Có nhiều biến thể của giải phẫu động mạch vành bình thường. Ở đây chỉ mô tả phân nhánh phổ biến nhất (Hình 12).

Hai động mạch vành chính là động mạch vành trái và phải.
- Động mạch vành trái (LCA) phát sinh từ đỉnh động mạch vành trái tại van động mạch chủ. Nó phân chia gần như cùng một lúc thành động mạch mũ và động mạch gian thất trước (nhánh xuống trước trái (LAD). LAD, sau đó tạo ra các nhánh chéo (diagonal) và các nhánh vách (septal). Động mạch mũ có các nhánh biên (marginal) (Hình 13).
- Động mạch gian thất trước (LAD) đi trong rãnh liên thất trước và tiếp tục đến đỉnh tim. Nó cung cấp hầu hết tâm thất trái và cả bó nhĩ thất (AV), phần trước của vách với các nhánh vách và thành trước của tâm thất trái với các nhánh chéo (Hình 14).
- Động mạch mũ nằm giữa nhĩ trái và thất trái và cung cấp các mạch rìa tới thành bên của tâm thất trái.
- Động mạch vành phải (RCA) xuất phát từ xoang động mạch chủ, chạy giữa nhĩ phải và thất phải đến phần dưới của vách ngăn (Hình 15).
- Ở hầu hết mọi người, nhánh đầu tiên của RCA là nhánh nón ( conus branch) cung cấp cho đường ra của tâm thất phải. Ở hầu hết mọi người, nhánh thứ hai của RCA là động mạch nút xoang. Các nhánh tiếp theo là các nhánh chéo cấp máu cho thành trước của thất phải.
- Nhánh bờ (acute marginal branch, AM) lớn cấp máu cho thành bên của thất phải và chạy dọc theo bờ của thất phải trên cơ hoành. RCA đi tiếp ở phía sau rãnh nhĩ thất và cho một nhánh tới nút nhĩ thất.
- Ở hầu hết mọi người, động mạch gian thất sau (xuống sau, PDA) là một nhánh của RCA. PDA cấp máu cho thành dưới của tâm thất trái và phần dưới của vách ngăn.



- Tính ưu thế/chi phối của động mạch vành (Coronary artery dominance)
- Động mạch cung cấp PDA quyết định tính ưu thế động mạch vành.
- Nếu PDA được cung cấp bởi RCA, thì tuần hoàn mạch vành được gọi là ưu thế bên phải.
- Nếu PDA được cung cấp bởi động mạch mũ, một nhánh của động mạch vành trái, thì tuần hoàn vành được gọi là ưu thế bên trái.
- Nếu PDA được cung cấp bởi cả động mạch vành phải và động mạch vành ngoài, thì tuần hoàn vành được gọi là đồng ưu thế.
- Phần lớn dân chúng là ưu thế bên phải, khoảng 10% là ưu thế bên trái và số còn lại là đồng ưu thế. Hệ thống động mạch vành chi phối trái có liên quan đến tăng nguy cơ nhồi máu cơ tim và tăng tỷ lệ tử vong chung.
- Có thể thực hiện chụp CT siêu nhanh trong khoa cấp cứu để đánh giá đồng thời bệnh động mạch vành, bóc tách động mạch chủ và bệnh tắc mạch phổi huyết khối, gọi là cắt lớp loại trừ ba bệnh (triple rule-out) cho những bệnh nhân có biểu hiện với cơn đau ngực cấp tính. Việc quét như vậy đã được chứng minh là cải thiện ra quyết định lâm sàng và cho phép xuất viện sớm hơn.
MRI TIM
- Có thể sử dụng MRI để thu được hình ảnh giải phẫu và chức năng của tim bằng cách sử dụng kết hợp đồng bộ điện tâm đồ (ECG-gating) và thu nhận hình ảnh nhanh. Có thể giảm thiểu các chuyển động hô hấp (cũng góp phần làm mờ hình ảnh) bằng cách yêu cầu bệnh nhân nín thở trong thời gian ngắn trong khi ghi hình.
- MRI tim có thể mô tả sẹo do nhồi máu cơ tim, tràn dịch màng tim, các khiếm khuyết giải phẫu hoặc khối và có thể đánh giá chức năng của van và buồng tim.
- MRI tim có thể thực hiện có hoặc không có thuốc cản quang tĩnh mạch (Gadolinium). MRI tim đặc biệt hữu ích ở trẻ em như một phương pháp đánh giá bệnh tim bẩm sinh khi các nghiên cứu khác (chẳng hạn như siêu âm tim) đưa ra thông tin trái ngược hoặc không kết luận.
Giải phẫu MRI tim bình thường
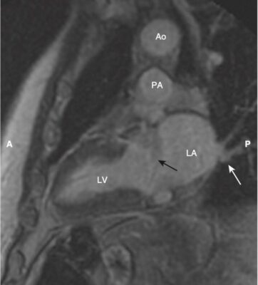
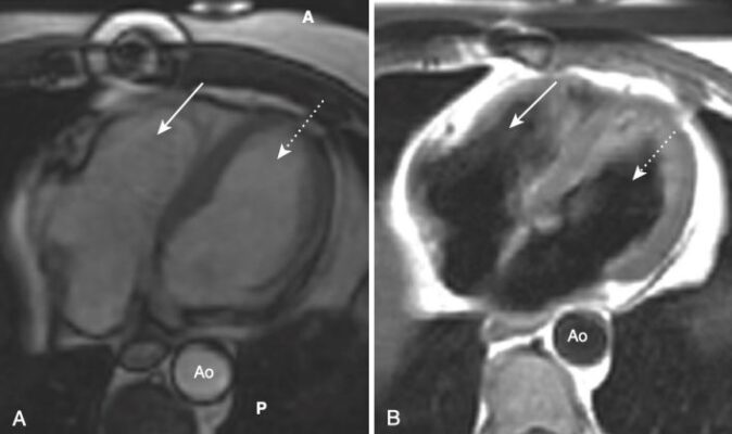
- Một trong những lợi ích của MRI là hình ảnh của nó có thể được hiển thị ở bất kỳ mặt phẳng nào. Bên cạnh các mặt phẳng cắt ngang (axial), đứng dọc (sagittal) và đứng bên (coronal, trán), có một số góc nhìn đặc hiệu thường được sử dụng trong MRI tim cho phép hình dung rõ nhất về tim. Chúng được gọi là trục dài cắt ngang (còn được gọi là mặt cắt bốn buồng), trục dài thẳng đứng, trục ngắn và mặt cắt ba buồng.
- Cấu trúc giải phẫu của tim trong các mặt phẳng cắt ngang, đứng dọc và trán giống như được thấy trên CT (Hình 16).

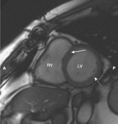
- Mặt cắt trục dài cắt ngang (bốn buồng) giống hình cắt ngang và được sử dụng tốt nhất để đánh giá vách ngăn và thành bên và đỉnh của tâm thất trái, thành tự do của tâm thất phải và kích thước của các buồng tim. Các van hai lá và van ba lá đặc biệt nhìn rõ ràng trong hình ảnh này (Hình 17).
- Trục dài đứng dọc giống như lát cắt đứng dọc và được sử dụng để đánh giá thành trước và thành dưới và đỉnh của tâm thất trái (Hình 18).
- Lát cắt trục ngắn mô tả tâm thất trái và phải để thực hiện các đo lường thể tích (Hình 19).
- Bởi vì hình ảnh MRI của tim đã được thu được với các thể tích ba chiều ở cả cuối tâm thu và cuối tâm trương, có thể thực hiện các đo lường khối lượng tâm thất, thể tích cuối tâm trương và thể tích cuối tâm thu dựa trên máy tính, và qua đó tính được thể tích nhát bóp và phân suất tống máu mà không cần can thiệp.
- Lát cắt ba buồng tương tự như lát cắt đứng bên và hiển thị gốc động mạch chủ và van động mạch chủ, đường ra thất trái, van hai lá, các thành trước vách và thành dưới bên của tâm thất trái (Hình 20).




- Tùy thuộc vào chuỗi xung MRI được sử dụng để thu được hình ảnh, máu có thể được mô tả là đen (thường sử dụng một xung gọi là chuỗi xung spin echo) và thường được sử dụng để đánh giá giải phẫu, hoặc sáng, nghĩa là màu trắng (thường sử dụng một chuỗi xung gọi là chuỗi xung echo gradient), và thường được sử dụng nhất để đánh giá chức năng (Hình 21).

Lược dịch có chỉnh sửa từ: Learning Radiology: RECOGNIZING THE BASICS. William Herring, MD, FACR.3rd EDITION. Elsevier Inc 2016.







