Trường hợp
Một người đàn ông 57 tuổi có tiền sử đái tháo đường týp 2 lâu năm được đưa vào nhập viện để điều trị vết loét ở gót chân phải. Bệnh nhân cho biết cách đó vài ngày ông bị chấn thương nhẹ khi bị trẹo cổ chân phải trên nền đất không bằng phẳng.
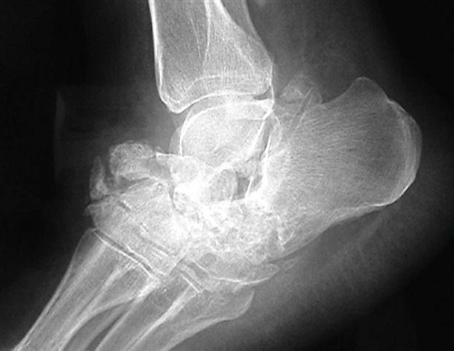
Bệnh nhân nhìn chung khỏe mạnh. Khám bàn chân phải cho thấy vết loét chảy dịch ra ngoài, bàn chân và cổ chân bị biến dạng với cung bàn chân bị sụp. Móng chân dày bất thường, da bàn chân cứng và có một số vết chai. Da ở phần dưới cẳng chân sáng bóng, ít lông mọc hơn ở phần trên. Bệnh nhân không có cảm giác ở bên dưới cổ chân. Mạch ngoại vi tốt khi kiểm tra Doppler nhưng không thể xác định được chỉ số áp lực cổ chân – cánh tay (ABI) vì huyết áp tâm thu ở cổ chân là 240 mm/Hg.

Bệnh nhân sống một mình. Mặc dù mắc bệnh tiểu đường đã lâu nhưng ông không được khám thường xuyên ở bất kỳ phòng khám chuyên khoa bàn chân hay bệnh viện chuyên khoa tiểu đường nào.
Các lựa chọn để xử lý thêm đã được thảo luận với bệnh nhân.
Bình luận
Bệnh khớp Charcot là một tình trạng tiến triển đặc trưng bởi trật khớp, gãy xương bệnh lý và biến dạng nặng ảnh hưởng đến chức năng. Rối loạn này dẫn đến sự phá hủy dần dần xương và mô mềm ở các khớp chịu trọng lượng và ở dạng nghiêm trọng nhất có thể gây ra sự phá vỡ đáng kể cấu trúc xương. Tình trạng này có thể ảnh hưởng đến bất kỳ khớp nào; tuy nhiên, nó xảy ra phổ biến nhất ở chi dưới ở bàn chân và cổ chân.

Đái tháo đường được xem là nguyên nhân phổ biến nhất của bệnh khớp Charcot, với tỷ lệ mắc bệnh là 1–2,5%. Tuy nhiên, bất kỳ tình trạng nào gây ra bệnh thần kinh cảm giác hoặc tự chủ đều có thể dẫn đến khớp Charcot. Nó có thể xảy ra như một biến chứng của bệnh giang mai, nghiện rượu mạn tính, bệnh phong, thoát vị tuỷ – màng tuỷ, chấn thương tủy sống, bệnh rỗng tủy, lọc thận hoặc giảm cảm giác đau bẩm sinh.
Hai giả thuyết chính đã được đề xuất để giải thích sinh lý bệnh của tình trạng này. Đầu tiên là giả thuyết chấn thương thần kinh, cho rằng khớp Charcot là kết quả của một chấn thương không được nhận biết ở bàn chân bị mất cảm giác. Bệnh lý thần kinh cảm giác khiến bệnh nhân không cảm nhận được sự phá hủy xương xảy ra khi đi lại. Chấn thương vi mô này dẫn đến sự phá hủy dần dần và tổn thương xương và các khớp.
Giải thích thứ hai, lý thuyết mạch máu thần kinh, cho rằng tình trạng cơ bản gây ra sự phát triển của bệnh lý thần kinh tự chủ. Điều này dẫn đến chuyển dòng máu từ tiểu động mạch sang tiểu tĩnh mạch, được phản ánh bằng mạch đập tốt trên đánh giá Doppler. Bệnh lý thần kinh này làm cho chi thể nhận được lưu lượng máu tăng lên và dẫn đến loãng xương do mất cân bằng trong quá trình phá hủy và tổng hợp xương.
Bệnh khớp Charcot rất có thể là kết quả của sự kết hợp của các cơ chế này. Bệnh lý thần kinh tự chủ dẫn đến sự tạo xương bất thường, còn bệnh lý thần kinh cảm giác dẫn đến khớp mất cảm giác và dễ bị chấn thương. Khi xương bất thường không có khả năng bảo vệ khớp, xương dần dần bị gãy và khớp bị bán trật.
Bệnh nhân bị ảnh hưởng có thể biểu hiện bệnh khớp cấp tính hoặc mạn tính. Khớp Charcot cấp tính hầu như luôn có dấu hiệu viêm. Biểu hiện tình trạng sưng rõ rệt một bên, tăng nhiệt độ da cục bộ, đỏ da và tràn dịch khớp. Có thể có sự mất vững và mất chức năng khớp. Vận động khớp thụ động có thể cho thấy ‘một túi xương lỏng lẻo’. Mặc dù giảm cảm giác chung nhưng đau vẫn xuất hiện ở hơn 75% bệnh nhân. Khoảng 40% bệnh nhân mắc bệnh khớp Charcot cấp tính có loét đồng thời, do đó làm phức tạp việc chẩn đoán và gây lo ngại về viêm tủy xương.
Loại trừ nhiễm trùng là ưu tiên hàng đầu trong xử lý cấp tính. Đếm số lượng bạch cầu là một dấu hiệu không đặc hiệu cho tình trạng viêm và nó có thể tăng ở những bệnh nhân mắc bệnh khớp Charcot và không bị nhiễm trùng. Tốc độ máu lắng rất hữu ích nhưng không đủ nhạy để xác nhận sự hiện diện của nhiễm trùng. Protein phản ứng C, một dấu chỉ điểm viêm, là một xét nghiệm đáng tin cậy hơn, với kết quả cao rõ rệt cho thấy tình trạng nhiễm trùng đang hoạt động. Thường rất khó phân biệt giữa nhiễm trùng mô mềm sâu và viêm tủy xương. Sinh thiết xương là phương pháp chắc chắn duy nhất để xác định chẩn đoán viêm tủy xương. Tuy nhiên, CT, MRI hoặc chụp X quang thường được sử dụng. Hạn chế chính là khoảng thời gian tương đối dài từ khi khởi phát đến khi xuất hiện những thay đổi viêm tủy xương điển hình trên X quang.

Xử lý y tế chính trong tình trạng cấp tính là điều trị nhiễm trùng bằng kháng sinh thích hợp và duy trì kiểm soát chặt chẽ mức đường huyết, đặc biệt vì tăng đường huyết có thể gây ra hiện tượng glycosyl hóa các collagen không enzyme, dẫn đến tình trạng lỏng lẻo ở dây chằng và khớp không vững.
Bảo vệ khớp là điều cần thiết. Tư vấn của chuyên gia bàn chân rất có giá trị trong việc chăm sóc da và móng chân để tránh bị tổn thương thêm. Bệnh nhân không nên chịu sức nặng lên khớp Charcot cấp tính. Khớp được bảo vệ bằng bó bột tiếp xúc toàn phần hoặc dụng cụ chỉnh hình thích hợp. Khung tập đi chỉnh hình cho khớp Charcot (CROW) đặc biệt phổ biến vì nó cho phép tháo nẹp chỉnh hình trong thời gian ngắn tại nhà để tắm hoặc thực hiện các hoạt động khác. Bệnh nhân bị bệnh khớp Charcot hai bên có thể cần phải ngồi trên xe lăn để tránh trọng lượng đè lên cả hai chân. Thời gian không mang trọng lượng nghiêm ngặt thường là từ hai đến sáu tháng.
Sau khi lành, cần phải bảo vệ liên tục bàn chân bị ảnh hưởng. Dụng cụ chỉnh hình theo khuôn tùy chỉnh sẽ phù hợp với bàn chân Charcot bị ảnh hưởng nhẹ. Khớp Charcot nặng hoặc bán trật có thể cần được bảo vệ chắc chắn hơn đồng thời giảm thiểu khả năng chịu trọng lượng hơn nữa. Điều này có thể được hỗ trợ bằng cách sử dụng dụng cụ chỉnh hình chẳng hạn như AFO chịu lực lên gân bánh chè (patellar tendon bearing AFO).

Một số bệnh nhân có bàn chân mất ổn định đáng kể hoặc loét tái phát sẽ cần can thiệp phẫu thuật để cố định và chỉnh trục lại bàn chân bị ảnh hưởng. Một số phẫu thuật có thể hữu ích, chẳng hạn như kéo dài gân Achilles, cắt xương hoặc làm cứng khớp.
Chỉ định chính của cắt cụt chi bị ảnh hưởng là không kiểm soát được nhiễm trùng mô mềm hoặc xương. Nhiễm trùng ở bàn chân đái tháo đường mất cảm giác có thể khó điều trị ở mức độ mô do hoạt động bạch cầu giảm trong tình trạng tăng đường huyết. Một số bệnh nhân tiếp tục đi lại trên đôi chân bị nhiễm trùng, làm nhanh chóng lan truyền chất dịch bị nhiễm trùng dọc theo các mặt phẳng mô.
Mức độ cắt cụt cần thiết phụ thuộc chủ yếu vào mức độ nhiễm trùng. Đo oxy qua da sẽ cung cấp thông tin đáng tin cậy về tưới máu mô, có thể dự đoán khả năng lành mô trong tương lai sau khi cắt cụt chi. Cắt cụt ngón chân, một phần bàn chân, Symes và phần dưới đầu gối đều là những lựa chọn. Một số bệnh nhân cần cắt ở mức cao hơn, chẳng hạn như cắt cụt trên gối. Cần phải tham khảo quan điểm của các bác sĩ phục hồi chức năng trước khi cắt cụt chi vì mức độ và chiều dài của mỏm cụt được chọn sẽ có ảnh hưởng quan trọng trong quá trình phục hồi chức năng với chân giả cho bệnh nhân.
Bệnh nhân sẽ cần xử lý với chân giả tiêu chuẩn. Tuy nhiên, cần chăm sóc đặc biệt cho mỏm cụt, thường xuyên kiểm tra cả chi bị cắt cụt và chi kia. Tránh sử dụng chân giả lỏng lẻo, đặc biệt là với ổ mỏm cụt chịu lực xương bánh chè, vì có thể gây áp lực quá mức lên phần đầu mỏm cụt, vẫn có thể là những vùng không còn cảm giác, dẫn đến tổn thương da thêm. Đôi khi người ta ưu thích sử dụng ổ mỏm cụt tiếp xúc toàn bộ có lớp lót silicon để tránh những vấn đề như vậy.
Bệnh nhân nên được khuyến khích đánh giá da của mình hàng ngày, sử dụng gương hoặc với sự giúp đỡ của người chăm sóc. Nên sắp xếp các buổi khám bệnh đều đặn đến các phòng khám bệnh tiểu đường và bệnh lý về chân.
Further reading
Jeffcoate, W., Lima, J., Nobreqa, L. (2000). The Charcot foot. Diabet Med 17, 253–258. Elftman, N.W. (2006). Orthotic management of the neuropathic limb. Phys Med Rehabil Clinic N Am 17, 115–157.
Các hình ảnh do Minh Dat Rehab bổ sung, minh hoạ.







