TRƯỜNG HỢP
Người đàn ông 57 tuổi gốc Bồ Đào Nha này nhận thấy rằng ông gặp khó khăn khi đi theo đường thẳng như đi diễu hành. Từ năm 20 tuổi cho đến năm 40 tuổi, ông có các triệu chứng tiến triển chậm. Kể từ đó, ông bị rối loạn dáng đi tiến triển nhanh chóng, nhìn đôi, rối loạn đồng vận và dị cảm ở các chi. Ở tuổi 45, ông phải ngồi xe lăn. Khi khám, ông bình thường về mặt trí tuệ nhưng bị nói khó nặng và chảy nước dãi liên tục. Ông bị lồi mắt, chuyển động mắt chậm và suy giảm khả năng nhìn lên và nhìn xuống theo ý muốn nhưng không bị rung giật nhãn cầu. Ông bị máy giật cơ và mất phối hợp lưỡi nhưng không bị co giật cơ mặt. Ông bị yếu cơ chung và teo cơ mức độ vừa phải, nhưng trương lực cơ bình thường. Không có phản xạ gân, nhưng có dấu hiệu Babinski ở cả hai bên. Giảm các cảm giác sâu và giảm khả năng phối hợp do thất điều, loạn tầm và loạn liên động nặng. Có thể thấy run tĩnh liên tục ở bàn tay. Mẹ và ông nội cũng như chị gái và con trai của ông cũng gặp vấn đề về dáng đi, tiến triển và bắt đầu khi trưởng thành. Chụp MRI não cho thấy teo tiểu não.
- Chẩn đoán có khả năng xảy ra nhất là gì?
- Bước chẩn đoán tiếp theo là gì?
- Bước điều trị tiếp theo là gì?
TRẢ LỜI: Thất điều, tiểu não gai (Ataxia, Spinocerebellar)
Tóm tắt: Đây là trường hợp của một người đàn ông khỏe mạnh về cơ bản, có khởi phát âm thầm và tiến triển dần dần của hội chứng được báo trước bằng những khó khăn khi đi lại, sau đó được đặc trưng với thất điều.
◆ Chẩn đoán có khả năng nhất: Thoái hóa tiểu não trội nhiễm sắc thể thường với các đặc điểm thần kinh bổ sung với nhận thức bình thường – nhiều khả năng là chứng thất điều gai – tiểu não loại 3 (SCA-3).
◆ Bước chẩn đoán tiếp theo: Xác nhận chẩn đoán bằng DNA.
◆ Bước xử lý tiếp theo: Chăm sóc hỗ trợ, tư vấn di truyền, phục hồi chức năng.
Phân tích
Mục tiêu
1. Mô tả rối loạn vận động của chứng thất điều.
2. Liệt kê chẩn đoán phân biệt của thất điều bao gồm nguyên nhân di truyền và không di truyền.
Xem xét
Như đã trình bày, người đàn ông cơ bản khỏe mạnh này có khởi phát âm thầm và tiến triển dần dần của một hội chứng được báo trước bằng những khó khăn về dáng đi, sau đó được mô tả là chứng thất điều. Sau đó, xuất hiện chứng nói khó, chuyển động mắt bất thường, có thể có các dấu hiệu tế bào thần kinh vận động dưới, bệnh lý thần kinh và các khiếm khuyết tế bào thần kinh vận động trên. Hình ảnh lâm sàng này cho thấy sự thoái hóa của nhiều hệ thống với đặc điểm nổi bật nhất là chứng thất điều và phối hợp kém khi thực hiện các vận động tự ý. Những điều này thường do các vấn đề về kiểm soát vận động do bệnh lý của tiểu não hoặc các liên kết của nó, hoặc bất thường cảm thụ bản thể do bệnh lý ở các đường dẫn truyền cảm giác. Chứng thất điều có thể là đơn độc hoặc là một phần của hội chứng kết hợp với các bất thường thần kinh khác hoặc bất thường ở các hệ thống cơ thể khác. Bệnh nhân này có các bất thường thần kinh khác nhưng không có bằng chứng nào ít nhất là tại thời điểm này về sự liên quan đến các hệ thống cơ thể khác. Ngoài ra, có sự liên quan mạnh mẽ trong gia đình; cụ thể, có bốn thế hệ liên tiếp bị ảnh hưởng trong gia đình của ông và cả hai giới đều bị ảnh hưởng. Mặc dù các rối loạn gia đình không nhất thiết là do di truyền, nhưng sự liên quan rộng rãi này thực sự cho thấy một rối loạn trội trên nhiễm sắc thể thường. Điều này được củng cố bởi thực tế là chứng thất điều lặn nhiễm sắc thể thường có xu hướng liên quan đến các hệ thống cơ thể khác, trong khi bệnh trội nhiễm sắc thể thường khởi phát ở người lớn thì không như vậy.
Cần cân nhắc một số nguyên nhân không phải do di truyền gây ra chứng thất điều vì chúng sẽ gợi ý các vấn đề xử lý khác, mặc dù hầu hết đều biểu hiện thời gian tiến triển ngắn hơn nhiều. Các nguyên nhân có thể nhận biết bao gồm chấn thương, độc chất và chuyển hóa, khối u và cơ chế tự miễn. Thoái hóa tiểu não cận ung thư (Paraneoplastic cerebellar degenerations, PCD) liên quan đến kháng thể kháng tế bào thần kinh loại khối u cụ thể là nguyên nhân tương đối thường gặp gây ra chứng thất điều khởi phát muộn và được đặc trưng bởi tiến triển bán cấp và cần phát hiện và điều trị khối u tiềm ẩn. Hiếm gặp hơn (và gây tranh cãi), thoái hóa tiểu não gai bán cấp liên quan đến các bệnh miễn dịch không phải cận u như không dung nạp gluten. Ngoài ra, các bất thường về nội tiết tố, chẳng hạn như thiếu hụt hormone tuyến giáp có thể gây ra chứng thất điều.
XEM THÊM:GIẢI PHẪU CHỨC NĂNG THẦN KINH: TIỂU NÃO
TIẾP CẬN THẤT ĐIỀU TIỂU NÃO TRỘI NHIỄM SẮC THỂ THƯỜNG
Định nghĩa
Chứng thất điều: một chuyển động vụng về và không đều đặn của các chi hoặc thân mình do điều hợp vận động thô kém.
Bệnh giãn nở lặp lại trinucleotide (Trinucleotide repeat expansion disease) —do dãn các đoạn DNA trong một gen chứa cùng một trình tự trinucleotide được lặp lại nhiều lần. Các đoạn lặp lại này là một tập hợp con của các đoạn lặp lại vi vệ tinh không ổn định xảy ra trong tất cả các trình tự bộ gen. Nếu đoạn lặp lại có trong một gen, sự giãn nở của đoạn lặp lại sẽ dẫn đến một sản phẩm gen bị lỗi và thường là bệnh.
Phương pháp tiếp cận lâm sàng
Harding (1983) đã đề xuất một phân loại lâm sàng hữu ích cho chứng thất điều tiểu não trội nhiễm sắc thể thường khởi phát muộn. Ngoài ra, các hội chứng tiểu não lẻ tẻ bao gồm các dạng vô căn có nguyên nhân không rõ ràng được đặc trưng bởi chứng thất điều tiến triển, suy giảm chức năng tự chủ và các đặc điểm ngoại tháp, chẳng hạn như teo đa hệ thống (multiple system atrophy, MSA). Trong hệ thống Harding, chứng thất điều tiểu não trội nhiễm sắc thể thường I (ADCA I), chứng thất điều tiểu não có phối hợp với các đặc điểm bổ sung liên quan đến hệ thống tháp ngoại nhãn, vỏ não và các dây thần kinh ngoại biên. ADCA II có liên quan đến chứng loạn dưỡng điểm sắc tố và ADCA III là hội chứng tiểu não khởi phát muộn thuần túy.
Từ năm 1993, chứng thất điều tiểu não trội nhiễm sắc thể thường ngày càng được mô tả theo vị trí di truyền của chúng và được gọi là chứng thất điều tiểu não gai. Hiện tại có hơn 25 rối loạn như vậy và con số này đang tăng lên. Các loại phổ biến nhất được liệt kê trong Bảng 1. Nhiều loại trong số này có thể được chẩn đoán chắc chắn bằng xét nghiệm DNA. Tuy nhiên, đặc điểm lâm sàng hữu ích trong việc hạn chế số lượng xét nghiệm cần thiết.
Có một số đột biến gen trên các nhiễm sắc thể khác nhau gây ra chứng thất điều tiểu não gai và tần suất gen trong các quần thể khác nhau thay đổi đáng kể. Nhìn chung, tỷ lệ mắc bệnh được cho là khoảng 1,5 trên 100.000 người, với sự phân bố giới tính bằng nhau. Hầu hết các ADCA đều do khiếm khuyết di truyền liên quan đến sự mở rộng trong trình tự DNA và hầu hết trong số này là sự mở rộng lặp lại trinucleotide (các loại SCA 1–3, 6–10, 12 và 17).
Các loại mở rộng lặp lại khác gây ra SCA đã được phát hiện. Ví dụ, SCA-10 liên quan đến sự mở rộng lặp lại ATTCT của gen SCA10 và SCA-8 liên quan đến sự mở rộng trong gen SCA8 với các nucleotide CTG được lặp lại. Cuối cùng, SCA-4 liên quan đến đột biến trong một gen không liên quan đến sự mở rộng lặp lại trinucleotide.
Độ tuổi khởi phát trung bình của tất cả các loại này là từ 20 đến 30 tuổi, ngoại trừ SCA-6, thường xảy ra ở độ tuổi từ 40 đến 50. Những người mắc SCA-8 thường phát triển các triệu chứng ở độ tuổi cuối 30. Bệnh nhân SCA-2 thường mắc chứng mất trí nhớ và chuyển động mắt chậm. Bệnh nhân SCA-8, những người có tuổi thọ bình thường và bệnh nhân SCA-1 nói chung đều có phản xạ chủ động. Bệnh nhân SCA-7 bị mất thị lực. Ở các loại SCA 1–3 và 7, có thể có độ tuổi khởi phát sớm hơn với mức độ nghiêm trọng tăng lên (gọi là dự đoán) từ thế hệ này sang thế hệ khác. Kích thước của vùng mở rộng lặp lại trong các gen bị ảnh hưởng tương quan với mức độ nghiêm trọng và độ tuổi khởi phát.
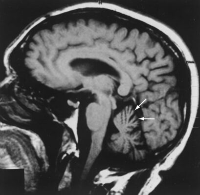
Chẩn đoán ban đầu về chứng thoái hóa tiểu não gai được nghi ngờ bằng cách khởi phát các triệu chứng ở người lớn. Chụp MRI hoặc CT não có thể phát hiện teo tiểu não và nhiều cấu trúc dưới vỏ não khác (Hình 5–1). Xét nghiệm di truyền phân tử để xác định gen có mở rộng lặp lại trinucleotide có thể hữu ích trong việc nhanh chóng xác định những người mang gen khác trong gia đình. Nhiều rối loạn trong số này hiện có thể được xác nhận bằng xét nghiệm DNA. Các đặc điểm lâm sàng của các rối loạn này được liệt kê trong bảng đi kèm (xem Bảng 5–1).

Sau khi xác định được khiếm khuyết di truyền, các thành viên trong gia đình cũng có thể được xét nghiệm. Thật không may, xét nghiệm di truyền không phải lúc nào cũng cung cấp thông tin 100%. Có những trường hợp hiếm gặp về chứng thoái hóa tiểu não gai được chẩn đoán lâm sàng mà không thể giải thích được bằng bất kỳ khiếm khuyết di truyền nào đã biết. Người ta ước tính rằng ở khoảng 50–60% người da trắng mắc dạng thoái hóa tiểu não trội có tính gia đình, xét nghiệm DNA có thể đưa ra chẩn đoán xác định.
Bệnh SCA-3 hoặc bệnh Machado-Joseph (MJD) là phân nhóm SCA phổ biến nhất. Các hội chứng biểu hiện của SCA-3 bao gồm chứng thoái hóa tiểu não thuần túy, hội chứng Parkinson gia đình, liệt cứng hai chân di truyền, bệnh thần kinh di truyền và hội chứng chân không yên (RLS). Một dấu hiệu hiếm khi được nhận biết nhưng phổ biến và khá đặc hiệu của SCA-3 là giảm phân biệt nhiệt độ ở tất cả các chi và thậm chí cả thân và mặt. Giả lồi mắt (mắt lồi do mí mắt co lại), myokymia (vận động cơ không tự ý dưới da, như giun bò) mặt – lưỡi và loạn trương lực cơ được cho là các dấu hiệu đặc trưng nhưng không đặc hiệu của SCA-3.
MJD SCA-3 là một rối loạn di truyền trội trên nhiễm sắc thể thường với biểu hiện thay đổi lần đầu tiên được Nakano và cộng sự (1972) mô tả trong một gia đình người Mỹ gốc Bồ Đào Nha-Azorean. Kể từ đó, nhiều gia đình mắc MJD đã được báo cáo trên toàn thế giới. Có ba phân nhóm lâm sàng khác nhau được mô tả: Loại I khởi phát sớm (20–30 tuổi), các dấu hiệu tháp và ngoại tháp, liệt vận nhãn ngoài tiến triển (progressive external ophthalmoplegia , PEO) và các khiếm khuyết tiểu não nhẹ; loại II khởi phát ở độ tuổi trung gian. Khi khám bệnh lý thần kinh, sự thoái hóa của tiểu não và tủy ngực luôn hiện diện ở SCA-3, nhưng sự thoái hóa của thể vân, chất đen, cầu não, nhân vận nhãn và dây thần kinh ngoại biên thì thay đổi.

XEM THÊM: CASE REPORT N 02: NHÂN MỘT TRƯỜNG HỢP RUN
Điều trị
Không có cách chữa khỏi cho ADCA và không có phương pháp điều trị nào làm chậm quá trình tiến triển của bệnh. Tuy nhiên, điều trị hỗ trợ là rất quan trọng.
- Thuốc giúp kiểm soát chứng run không hiệu quả trong điều trị chứng run tiểu não, nhưng có thể hiệu quả đối với bệnh Parkinson, loạn trương lực, RLS (restless leg syndrome, hội chứng chân không yên) và nhiều triệu chứng thần kinh khác.
- Vận động trị liệu không có khả năng làm chậm quá trình mất điều hợp hoặc teo cơ, nhưng những bệnh nhân bị ảnh hưởng nên được khuyến khích hoạt động. Hoạt động trị liệu có thể hữu ích trong việc phát triển các cách giúp bệnh nhân thực hiện các hoạt động hàng ngày. Khung tập đi và các thiết bị khác có thể hỗ trợ bệnh nhân di chuyển. Các sửa đổi khác như đường dốc cho xe lăn, đồ dùng ăn uống có trọng lượng nặng và bệ ngồi bồn cầu nâng cao có thể giúp bệnh nhân độc lập hơn. Âm ngữ trị liệu và các phương tiện hỗ trợ giao tiếp dựa trên máy tính thường giúp ích khi người đó mất khả năng nói.
Mặc dù bản chất của các đột biến cụ thể có thể giúp xác định tiên lượng, nhưng rất khó xác định độ tuổi khởi phát chính xác và các triệu chứng cụ thể, đặc biệt là đối với những người mang gen không có triệu chứng. Cuối cùng, giống như tất cả các rối loạn thoái hóa tiến triển, bệnh có thể gây tử vong. Những người mắc SCA thường tử vong sau một đến hai thập kỷ kể từ khi các triệu chứng phát triển. Tiên lượng đối với SCA-11 và SCA-6 thường ít nghiêm trọng hơn, với các triệu chứng xấu đi rất chậm và những người mắc SCA-8 và SCA-11 có tuổi thọ bình thường.
Minh Dat Rehab, dịch từ Case Files: Neurology. McGraw-Hill. 2008.







