Đau của Vua
Vua của đau
( Alexandre Đại đế, Charlemagne, vua Louis XI đều bị gout hành hạ)
Bệnh gout (thống phong) đã được biết từ thời Hippocrates (thế kỷ thứ IV trước Công nguyên). Từ gout xuất phát từ gutta (nghĩa Latin là giọt), bởi vì trước đây người ta tin rằng chất độc nhỏ thành giọt vào trong khớp là nguyên nhân của chứng bệnh.
Qua hàng thế kỷ, gout được xem là một bệnh của tầng lớp thượng lưu nhưng điều này gần đây dường như có xu hướng đảo nghịch ở các nước phương Tây, có lẽ bởi vì sự phổ biến của thức ăn nhanh rẻ tiền, gia tăng tiêu thụ rượu bia, và giảm hoạt động thể lực. Điều này cũng giải thích các kết quả của các thăm dò gần đây ở Anh và Mỹ cho thấy tỉ lệ mắc bệnh gout tăng lên so với trước (chiếm trên 1-4% tổng dân số). Ở Việt Nam tỉ lệ bệnh gout có xu hướng gia tăng, nhất là ở những thành phố lớn với mức sống tăng nhanh, tập trung nam giới trung niên tiêu thụ nhiều bia rượu. Hiểu được quá trình hình thành bệnh gout, nắm vững phương pháp chẩn đoán và các phương tiện điều trị hiện có giúp người thầy thuốc chọn lựa tốt hơn chiến lược điều trị và dự phòng chứng bệnh từng được xem là đau nhất trong tất cả các bệnh khớp của con người.
QUÁ TRÌNH HÌNH THÀNH BỆNH GOUT
Bệnh gout hiện được xem là một rối loạn chuyển hóa liên quan đến bệnh khớp do tinh thể. Đó là hậu quả của các phản ứng viêm tạo nên do sự lắng đọng các vị tinh thể muối mononatri urat (MNU, tiếng Anh là monosodium urate, MSU) khi các dịch của cơ thể bị bão hòa với urat.
Có ba điều kiện tiên quyết (ba bước) cho sự hình thành bệnh gout:
- Bước 1: sự xuất hiện của tình trạng tăng acid uric máu dẫn đến bão hòa urat (Thật ra, thuật ngữ “urat” chính xác hơn thuật ngữ thông dụng “acid uric” bởi vì, độ pH sinh lý (máu), 99% phân tử là ở dạng muối urat. Chỉ ở đường tiết niệu (pH < 5,7) thì phần lớn các phân tử ở dạng acid uric, và có thể tạo các tinh thể acid uric do tính hòa tan kém hơn).
- Bước 2: sự hình thành các tinh thể MNU, và
- Bước 3: sự tương tác giữa các tinh thể MNU với các bạch cầu.
1. Tăng acid uric máu
Cơ thể người không có enzym uricase để thoái giáng acid uric, một sản phẩm cuối của quá trình dị hóa nhân purin. Do đó, nồng độ acid uric bình thường ở nam (7 mg/dL [416 4mmol/L]) và phụ nữ tiền mãn kinh (6 mg/dL [357 mmol/L)) gần với giới hạn hoà tan của acid uric (xấp xỉ 7 mg/dL ở 37°C) trong ống nghiệm.
Nguy cơ bệnh gout tăng dần khi nồng độ acid uric huyết thanh vượt quá giới hạn này, và nồng độ huyết thanh > 9 mg/dL [535 mmol/L] tương ứng với tỉ lệ mới mắc hàng năm khoảng 5%. Nồng độ acid uric huyết thanh tăng nhanh vào tuổi trưởng thành ở nam giới, và sau mãn kinh ở nữ giới. Khoảng 95% phụ nữ tiền mãn kinh có nồng độ acid uric huyết thanh <6 mg/dL [357 mmol/L], thấp hơn nhiều so với giới hạn hòa tan, bởi vì oestrogen tăng thanh thải acid uric. Vì thế, bệnh gout ít gặp ở phụ nữ tiền mãn kinh, và tỉ lệ mắc bệnh ở nam cao hơn với tất cả độ tuổi (tỉ lệ nam/nữ thay đổi từ 7/1 đến 9/1).
Tăng urat máu là do bài tiết ở thận kém, hoặc tăng sản xuất quá mức urat, hoặc cả hai. Đa số bệnh nhân (>90%) tăng urat máu có giảm thanh thải acid uric ở thận nguyên phát, có lẽ do bẩm chất di truyền. Tuy nhiên, sự bài tiết suy giảm ở thận tự nó không đủ gây bệnh gout, và cần có sự phối hợp của các yếu tố khác bao gồm ăn nhiều (đạm), uống nhiều rượu, béo phì, và đề kháng insulin (insulin gia tăng sự tái hấp thu acid uric ở ống thận).
Các nguyên nhân phụ gây tăng urat máu gồm:
- Suy thận
- Dùng các thuốc cạnh tranh với acid uric trong bài tiết ở thận bao gồm các lợi tiểu quai hay thiazide, aspirin liều thấp, hay cyclosporin,
- Các bệnh lý tăng sinh tủy hoặc tăng sinh lympho gây tăng acid uric máu vì tăng phá hủy tế bào.
- Một số hiếm các bệnh lý khiếm khuyết enzyme (như thiếu enzym hypoxanthin guanin phosphoribosyl transferase, tăng họat enzym phosphoribosyl pyrophosphat synthetase, thiếu enzyme glucose-6-phosphatase, và thiếu enzym fructose-1- phosphat aldolase (nên nghi ngờ ở những bệnh nhân khởi phát gout sớm, trước tuổi 30).
2. Sự hình thành các tinh thể MNU
Sự hình thành các tinh thể MNU từ các dịch của cơ thể bị bão hòa với urat được được tạo thuận do sự kết hợp của một số yếu tố như: tăng nồng độ urat, giảm nhiệt độ tại chỗ, toan hóa, và sự mất cân bằng giữa các chất thúc đẩy và các chất ức chế sự hình thành tinh thể urat. Đa số bệnh nhân tăng uric máu kéo dài vẫn không có triệu chứng gì bởi vì nguy cơ bị bệnh gout phụ thuộc vào ái tính của người đó với việc hình thành tinh thể.
Quá trình tạo tinh thể diễn ra chậm chạp và mất nhiều năm. Điều này có thể giải thích tại sao tỉ lệ mới mắc cao bệnh gout xảy ra ở nam giới sau tuổi 35, và ở nữ giới sau tuổi 65, vài năm sau thời điểm xảy ra gia tăng urat. Ngoài ra, những thay đổi thoái hóa có thể làm cho các khớp (già cỗi) dễ bị tổn thương, và các mảnh sụn đóng vai trò như là mầm cho quá trình tạo tinh thể. Vì thế, bệnh gout thường biểu hiện ở khớp bàn đốt ngón chân cái vì các thay đổi thoái hóa thường gặp nhất ở các khớp này và sự tạo thành tinh thể có lẽ dễ hơn bởi nhiệt độ thấp ở bàn chân.
3. Tương tác giữa các tinh thể MNU với các bạch cầu
Sự hiện diện bạch cầu đa nhân nhiều hơn trong các dịch khớp có chứa tinh thể MNU gợi ý rằng hiện tượng viêm cường độ thấp mạn tính được duy trì trong các khớp này. Các đợt cấp sau đó chồng lên nền viêm mạn.
Cơ chế khởi phát đợt cấp vẫn chưa được hiểu một cách tường tận. Người ta cho rằng sự tan rã của lớp áo apolipoprotein làm cho các tinh thể urat bị thực bào bởi các đại thực bào, dưỡng bào, và nguyên bào sợi. Điều này dẫn đến sự giải phóng các chất trung gian của viêm như IL1 và TNF anpha và sự di chuyển đến của các bạch cầu trung tính. Trong các bạch cầu trung tính, những túi thực bào chứa tinh thể urat sau đó hòa vào thể tiêu bào (lysosyme), tiếp theo là sự vỡ của các túi tiêu-thực bào (phago-lysosyme), và giải phóng thêm nữa các chất trung gian phản ứng viêm.

Các cơ chế dẫn đến sự thoái lui của một đợt cấp vẫn còn chưa được hiểu tường tận, và có thể là do sự gắn trở lại của apolipoprotein với các tinh thể urat, tự hủy (apoptosis) của bạch cầu trung tính, và sự thực bào các tinh thể urat bởi các đại thực bào biệt hóa dẫn đến sự điều hòa ức chế (downregulation) phản ứng viêm khớp.
LƯỢNG GIÁ – CHẨN ĐOÁN
Lâm sàng
Gout cấp
Nếu đã từng bị cơn đau do gout, người bệnh thường có thể biết khi nào đợt cấp sắp xảy ra, với dấu hiệu báo trước là ngứa (có lẽ do sự mất hạt của các dưỡng bào và giải phóng chất histamin tiền triệu.
Các đợt cấp thường bắt đầu nửa đêm về sáng – từ khoảng 2-7 giờ sáng (đây là một tính chất khá đặc trưng của gout). Đau tăng lên mức tối đa sau khoảng vài giờ với cường độ đau rất dữ dội, tăng nhạy cảm của da trên vùng khớp bị đến mức mà ngay cả chạm vào giường hoặc chăn cũng gây đau không chịu nổi. Gout xảy ra ở khớp bàn đốt ngón chân cái >70% trường hợp (50% theo thống kê ở Việt Nam) nhưng cũng có thể bị ở những khớp khác như khớp bàn chân, cổ chân, gối, và cổ tay.

Các khớp trung tâm như khớp háng, vai, và cột sống ít khi bị, có lẽ bởi vì nhiệt độ ở những khớp này cao hơn không tạo điều kiện cho sự hình thành tinh thể. Người ta vẫn chưa rõ tại sao chỉ một hoặc hai khớp bị đau trong một thời điểm, nhưng đôi khi có những đợt đa khớp đặc biệt là về sau trong diễn tiến của bệnh. Sốt cũng là một triệu chứng thường gặp và nhất là với các đợt đa khớp (trong khoảng 50%). Gout cũng có thể gây viêm bao hoạt dịch và viêm bao gân. Đau thường giảm dần trong vòng một tuần cho dù không điều trị. Một số bệnh nhân có thể có tiền sử gia đình.
Các yếu tố thúc đẩy đợt gout cấp bao gồm nhiễm trùng, chấn thương, phẫu thuật, nhịn ăn quá mức, nuôi dưỡng bằng dịch truyền, và khởi đầu điều trị giảm uric máu. Lý do có thể là do toan hóa do acid lactic (với nhiễm trùng), nhiễm toan keton (ketoacidosis) (với nhịn đói), gia tăng phân hủy mô (với chấn thương hoặc phẫu thuật), sự bong mảnh các tinh thể urat trong khớp (với chấn thương), hoặc hạ thấp đột ngột nồng độ urat bằng liệu pháp giảm acid uric máu đến dưới mức bão hòa quanh các lắng đọng vi tinh thể, làm giải phóng nhiều tinh thể hơn từ bờ của lắng đọng.
Các dấu hiệu thực thể trên lâm sàng là những dấu hiệu viêm khớp cấp (sưng, nóng, đỏ, đau và mất vận động).
Cần phân biệt đau khớp do gout với viêm khớp nhiễm trùng vì viêm khớp nhiễm trùng có thể dẫn đến những hậu quả nặng nề nếu không được điều trị kịp thời. Biểu hiện lâm sàng của gout cấp và viêm khớp nhiễm trùng thường khó có thể phân biệt được (đặc biệt khi bị ở khớp khác khớp bàn đốt ngón cái) và đôi khi cũng xảy ra. Nếu nghi ngờ, nên điều trị bệnh nhân theo hướng viêm khớp nhiễm trùng và tiếp tục xét nghiệm.
Những bệnh lý khác có thể gây viêm khớp khởi phát cấp bao gồm viêm khớp phản ứng, giả gout (đặc trưng bởi khởi phát ở người già, xu hướng ở khớp gối hoặc cổ tay, X quang có vôi hóa sụn khớp (chondro-calcinosis), và có tinh thể pyrophosphat trong dịch khớp) và viêm khớp dạng thấp (với biểu hiện đa khớp).
Gout u cục tophus mạn tính
Khoảng thời gian không triệu chứng giữa các đợt cấp có thể kéo dài từ vài ngày đến hàng năm. Ở một số BN, thời kỳ không triệu chứng ngắn dần và, sau đợt cấp đầu tiên khoảng 10 năm, giai đoạn gout u cục mạn tính hình thành (tophus, từ Latin nghĩa là đá xốp dễ vỡ). Tophi đôi khi được phát hiện trước đợt cấp, đặc biệt ở phụ nữ lớn tuổi có các yếu tố nguy cơ như suy thận và điều trị lợi tiểu. Tophi thường xuất hiện ở các khớp trước đó bị đau trong đợt gout cấp, trên các hạt Heberden, ở các vùng tương đối vô mạch như loa tai hay trên các điểm đè ép như mỏm khuỷu. Người ta vẫn chưa rõ tại sao tophi ít xuất hiện ở những vùng lạnh hơn khác như ở mũi chẳng hạn.



Vị trí của tophi quyết định tác hại của nó. Những tophi nằm ở loa tại và trên những hạt Heberden không gây phản ứng viêm (vì loa tai tương đối vô mạch và các khớp liên đốt xa (DIP) không bị lực ép như các khớp bàn đốt I). Tophi ở gần xương có thể dẫn đến các tổn thương hủy hoại và ăn mòn xương.
Cận lâm sàng
Mục đích của xét nghiệm là để khẳng định hoặc gợi ý bệnh gout, loại trừ chẩn đoán phân biệt (đặc biệt là viêm khớp nhiễm khuẩn), hướng dẫn điều trị lâu dài, hoặc xác định các bệnh lý khác kèm theo.
1. Để khẳng định hay gợi ý chẩn đoán gout
Nếu nghi ngờ viêm khớp nhiễm khuẩn hoặc chưa chẩn đoán gout từ trước, có thể chọc hút và phân tích dịch khớp. Các tinh thể urat có hình kim và không khúc xạ kép trên kính hiển vi phân cực. Sự hiện diện các tinh thể không chứng minh rằng gout là cấp tính. Ở những bệnh nhân có tophi, phát hiện các tinh thể MNU trong chất giống bã đậu được hút từ cục tophi có giá trị chẩn đoán gout.
Nồng độ urat huyết thanh thường bình thường trong gout cấp (49% trong một nghiên cứu) và nhiều bệnh nhân tăng acid uric máu không bao giờ bị gout cấp. Do đó, tăng nồng độ urat huyết thanh hướng đến bệnh gout, nhưng không có giá trị chẩn đoán xác định. Chụp X quang thông thường không phát hiện gì ở bệnh nhân đau gout cấp và có thể chỉ có hình ảnh sưng nề ở mô mềm. Ở những bệnh nhân bị các đợt tái phát, có thể có dấu hiệu phá hủy xương hay dấu ăn mòn ở khớp (hình 2).
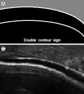
Siêu âm có khả năng chẩn đoán gout không xâm lấn nhờ phát hiện tinh thể urat lắng đọng trên bề mặt sụn khớp (double contour sign, dấu viền đôi), các dạng lắng đọng tinh thể urat (tophaceous materials) và khuyết xương điển hình (typical erosion).

2. Để chẩn đoán loại trừ
Cấy máu và dịch khớp là bắt buộc ở những bệnh nhân nghi ngờ viêm khớp nhiễm khuẩn. Nếu nghi ngờ viêm khớp nhiễm khuẩn, bệnh nhân cần được điều trị với kháng sinh cho đến khi kết quả cấy vi khuẩn âm tính.
Hình. Hình ảnh X quang trong gout mạn tính.
Chụp X quang thông thường giúp phân biệt gout tophi mạn tính với viêm khớp dạng thấp. Ăn mòn trong gout có đặc trưng nằm ở dưới vỏ xương, như phần vỏ được thổi vào, bung ra (hình lưỡi liềm) và nằm khỏi bờ khớp, đôi khi ngoài bao khớp. Viêm khớp dạng thấp gây ăn mòn bờ, luôn luôn nằm trong giới hạn bao khớp. Dấu hiệu không có giảm mật độ xương quanh khớp và khe khớp bình thường cũng giúp phân biệt gout với viêm khớp dạng thấp.
3. Để hướng dẫn điều trị lâu dài
Nồng độ acid uric huyết thanh giúp theo dõi điều chỉnh điều trị dự phòng lâu dài.
4. Để xác định các bệnh lý kèm theo
Cần đánh giá tình trạng chức năng thận và tầm soát các yếu tố nguy cơ tim mạch (lipid và đường huyết lúc đói) ở tất cả các bệnh nhân chẩn đoán gout.
Chẩn đoán:
Nguyên nhân của viêm khớp một khớp cấp tính mới khởi phát không thể xác định một cách đáng tin cậy nếu chỉ dựa vào tiền sử và khám lâm sàng. Viêm khớp nhiễm trùng, bệnh gout và bệnh giả gout có thể có biểu hiện rất giống nhau.
Tuy nhiên, một số biểu hiện lâm sàng đặc trưng của bệnh gout nên một số tác giả (Janssens và cộng sự) đã đưa ra những tiêu chuẩn chẩn đoán bệnh gout mà không cần chọc hút khớp như sau:
- Nam giới
- Cơn viêm khớp trước đó
- Khởi phát trong vòng 1 ngày
- Khớp sưng đỏ
- Ảnh hưởng đến khớp bàn đốt ngón cái
- Tăng huyết áp hoặc 1 hoặc nhiều bệnh tim mạch
- Mức axit uric huyết thanh cao hơn 5,88 mg / dL
Tuy nhiên, các tiêu chuẩn vàng để chẩn đoán chính xác bệnh gout vẫn như sau:
- Chứng minh sự có mặt của tinh thể MNU trong tế bào
- Loại trừ nhiễm trùng hoặc các loại tinh thể khác trong dịch khớp viêm
Những bệnh nhân có biểu hiện viêm khớp cấp tính cần được chọc dò khớp để loại trừ viêm khớp nhiễm trùng, ngay cả khi nồng độ axit uric trong huyết thanh của họ tăng cao. Viêm khớp nhiễm trùng không do lậu cầu có tỷ lệ tử vong là 10% và do đó cần phải được loại trừ.
XỬ TRÍ BỆNH GOUT
Theo nguyên tắc chung, không nên điều trị tăng acid uric máu không có triệu chứng, mặc dù các nghiên cứu siêu âm đã chứng minh rằng sự lắng đọng tinh thể urat vào các mô mềm xảy ra ở một số ít bệnh nhân bị tăng acid uric máu không có triệu chứng. Bệnh nhân có nồng độ cao hơn 11 mg / dL và bài tiết quá mức axit uric có nguy cơ bị sỏi thận và suy thận; do đó, chức năng thận nên được theo dõi ở những người này.
Điều trị gout cấp
Gout cấp là một tình trạng tự giới hạn, thường chỉ kéo dài từ 7 đến 10 ngày. Mục đích của điều trị là giảm đau và làm người bệnh mau phục hồi. Các thuốc dùng điều trị một đợt gout cấp tác động lên bước 3 nhằm ức chế phản ứng viêm cấp. Dùng thuốc càng sớm thì đáp ứng càng nhanh. Bởi vì gout dễ tái lại, nên kê cho bệnh nhân thuốc dự trữ (colchicin hoặc NSAID) để dùng vào lúc khởi phát đợt tiếp theo nếu được.
Các chọn lựa điều trị bao gồm:
- Thuốc kháng viêm không steroid
- Colchicin
- Corticoid tiêm trong khớp
- Corticoid toàn thân (uống hoặc tiêm bắp)
Thuốc kháng viêm không steroid (NSAID) là thuốc chọn lựa đầu tiên ở đa số bệnh nhân miễn là không có chống chỉ định (suy thận, loét dạ dày hoạt động, suy tim sung huyết, nhạy cảm với thuốc, hoặc điều trị kháng đông).
Không có sự khác biệt lớn về hiệu quả giữa các NSAID. Dù hiệu quả của các thuốc NSAID chọn lọc và không chọn lọc COX II là ngang nhau, nên tránh dùng các thuốc chọn lọc COX II ở những bệnh nhân có bệnh tim thiếu máu cục bộ hoặc bệnh mạch máu não vì những lo ngại gần về sự an toàn tim mạch. Với những bệnh nhân khác, sự chọn lựa NSAID (chọn lọc hay không chọn lọc COX II) tùy theo đánh giá trên bệnh nhân về các yếu tố nguy cơ về tim mạch và tiêu hóa. NSAID thường được dùng tiếp ít nhất 5 đến 7 ngày (khoảng thời gian mà bệnh nhân có thể bị đau nếu họ không điều trị) hoặc dài hơn nếu đau lâu giảm. Để giảm tác hại lên hệ tiêu hóa, liều NSAID nên giảm dần khi bắt đầu cải thiện triệu chứng. Có thể dùng thuốc tiêm hoặc thuốc đạn nếu bệnh nhân không thể uống thuốc.
Thuốc chọn lựa thứ hai là colchicin, dù cũ nhưng vẫn hiệu quả. Cơ chế hoạt động của thuốc là ức chế sự thực bào của bạch cầu trung tính với tinh thể urat. Colchicin tạo thành một chất nhị trùng (dimer) tubulin-colchicin bịt đầu tập hợp của các vi ống, ngăn cản sự vận chuyển các chất liệu bị thực bào đến các thể tiêu bào. Colchicin cũng ngăn chận giải phóng các yếu tố hóa hướng động, giảm tính vận động và sự dính kết của các bạch cầu đa nhân, và ức chế sự sự phosphoryl hóa tyrosin và sự tạo thành leukotrien. Thuốc hiệu quả nhất khi bắt đầu ngay sau khởi phát đợt cấp, trước khi hiện tượng thực bào thành lập. Colchicin không phải là thuốc chọn lọc đầu tiên bởi vì chỉ số điều trị hẹp. Hầu hết bệnh nhân bị tiêu chảy, thường xảy ra trước khi giảm triệu chứng đau. Liều khuyến cáo thường là liều khởi đầu 1 mg theo sau bằng 500 mg mỗi hai đến ba giờ cho đến khi giảm đau hoặc xuất hiện nôn mửa hoặc tiêu chảy, nhưng liều 500 mg ba lần/ ngày cũng hiệu quả. Nên giảm dần liều khi cải thiện triệu chứng (để giảm tiêu chảy), và sau đó ngừng dùng khi hết đau hoàn toàn. Colchicin cần được giảm liều với những bệnh nhân suy thận và tránh dùng ở bệnh nhân suy chức năng gan, tắc nghẽn đường mật hoặc không có khả năng chịu được tiêu chảy.

Trường hợp gout ảnh hưởng đến khớp vừa hoặc lớn và nếu chắc chắn loại trừ viêm khớp nhiễm khuẩn, có thể tiêm corticosteroid trong khớp, đặc biệt nếu bệnh nhân không thể dùng NSAID hoặc colchicin. Methylprednisolon là chế phẩm thường dùng nhất, liều thông thường là 80 mg với các khớp lớn (gối hay cổ chân) và 40 mg với khớp vừa (cổ tay hoặc khuỷu tay). Giảm đau có thể xảy ra trong vòng 24-48 giờ. Nếu không sử dụng thuốc tiêm có thể dùng prednisolone theo đường uống, 20-30 mg/ngày chia làm nhiều lần, nhất là ở bệnh nhân không dung nạp NSAID hoặc suy thận.
Với những bệnh nhân bị gout đa khớp khó điều trị với các phương pháp khác, có thể chọn corticoid toàn thân. Corticotrophin (ACTH) có hiệu quả trong gout cấp, nhưng không có ích lợi riêng nào so với corticoid. Corticoid tiêm bắp cũng hiệu quả như ACTH và NSAID. Có thể tiêm 80-120 mg methylprednisolon liều duy nhất hoặc uống prednisolon (20-40 mg/ngày đầu và giảm dần mỗi 7-10 ngày để ngăn ngừa đợt dội).
Nếu bệnh nhân không có đáp ứng đầy đủ với điều trị ban đầu với một loại thuốc duy nhất, các hướng dẫn của ACR khuyến cáo có thể bổ sung một thứ hai thích hợp, hoặc là phối hợp ngay từ đầu với cơn gout cấp tính, nặng, liên quan đến nhiều khớp lớn hoặc đa khớp. Các phác đồ kết hợp thuốc được chấp nhận bao gồm:
- Colchicine kết hợp với NSAID
- Corticosteroid đường uống kết hợp với colchicine
- Steroid nội khớp kết hợp với colchicine hoặc NSAID
Không điều trị tình trạng tăng acid uric máu cho đến khi cơn cấp tính được kiểm soát (trừ khi thận đang gặp nguy cơ do lượng acid uric cao bất thường). Bắt đầu điều trị kiểm soát tăng acid uric máu trong cơn cấp tính có thể làm đợt cấp nặng và kéo dài hơn. Tuy nhiên, nếu bệnh nhân đã sử dụng probenecid hoặc allopurinol tại thời điểm xảy ra cơn cấp tính, thì nên tiếp tục dùng thuốc đó với cùng liều lượng đó trong suốt đợt cấp.
Dự phòng các đợt tái phát
Sau khi chẩn đoán và điều trị đợt viêm khớp do gout cấp, người bệnh cần được hướng dẫn các biện pháp chung, và trong những trường hợp cụ thể có thể phải dự phòng bằng thuốc lâu dài.
Bệnh nhân cần phải hiểu sự khác nhau giữa điều trị triệu chứng ngắn hạn và điều trị dự phòng dài hạn.
Các biện pháp chung
Nghiên cứu dịch tễ học gần đây đã chứng tỏ nguy cơ bệnh gout gia tăng với chế độ ăn nhiều thịt giàu purin (đặc biệt thịt bò, heo, hoặc cừu) hoặc thức ăn hải sản.
Tuy nhiên nghiên cứu này cũng cho thấy rằng tổng lượng protein ăn vào, lượng protein động vật, và dùng rau quả giàu purin không liên quan đến nguy cơ bệnh gout. Tần suất bệnh thấp ở những người dùng nhiều các chế phẩm từ sữa bò. Một chế độ ăn hoàn toàn không chứa purin rất khó ăn, khó duy trì lâu dài và tác dụng hạ nồng độ acid uric máu lại không đáng kể (khoảng 1mg/dL). Có thể giảm nồng độ urat huyết thanh và tần suất các đợt đau bằng cách giảm cân thông qua hạn chế năng lượng tiêu thụ, giảm ăn các chất đường đơn, và tăng tỉ lệ protein và mỡ không bão hòa. Chế độ ăn như vậy cũng sẽ giảm nồng độ đường, insulin, và triglycerid huyết thanh và cải thiện sự nhạy cảm, insulin, do đó giảm tỉ lệ tử vong và bệnh tật tim mạch. Cần tránh nhịn ăn thái quá nếu điều này thúc đẩy các đợt cấp.
Sự liên hệ giữa rượu và gout cũng đã được khẳng định. Cần hạn chế mọi thức uống chứa cồn quá mức vì gia tăng lượng cần uống vào sẽ gia tăng nguy cơ bị gout. Bia có nguy cơ cao hơn các rượu mạnh, và uống ít rượu điều độ không gia tăng nguy cơ gout.
Xem thêm: Thức ăn và vận động cho người bị bệnh gout
Nếu bệnh nhân cao huyết áp và đang dùng thuốc lợi tiểu, cần đổi sang loại thuốc hạ huyết áp khác phù hợp.
Dự phòng bằng thuốc
62% bệnh nhân bị đau đợt thứ hai trong năm đầu tiên, 78% trong 2 năm, trong khi 7% không bị thêm đợt nào sau 10 năm dù không dùng thuốc hạ uric máu. Vì thế, chỉ nên điều trị dự phòng ở những bệnh nhân bị đau nhiều đợt (hơn 3 đợt/năm), gout tophi mạn tính, ăn mòn trên X quang, hay có sỏi urat. Dự phòng bằng các thuốc giảm uric máu cũng thích hợp với những bệnh nhân không triệu chứng với mức bài tiết acid uric niệu >1100 mg/24 giờ (có 50% khả năng hình thành sỏi thận) hoặc những người có acid uric huyết thanh tăng kéo dài (> 9 mg/dL liên quan đến nguy cơ cao viêm khớp do gout tái phát và hình thành tophi).
Các thuốc được dùng để ngăn ngừa các đợt tái phát hoạt động ở bước 1, nhằm làm giảm urat huyết thanh dưới giới hạn hòa tan. Nồng độ urat huyết thanh càng thấp thì ít có khả năng bị đợt tái phát. Duy trì axid uric dưới 360 mm/l là cần thiết để ngăn ngừa tái phát và giúp làm tan tophi. Trong thực hành có hai loại thuốc được dùng: các chất ức chế enzym xanthin oxidase (allopurinol, febuxostat) và các thuốc tăng thải acid uric ở nước tiểu (probenecid, sulphipyrazon…).
Nếu bắt đầu điều trị hạ axit uric, bệnh nhân nên được khám lại trong vòng 2 tuần để đảm bảo rằng không bị tác dụng phụ và sau đó cứ sau 1-2 tháng trong khi điều chỉnh liều lượng thuốc để đạt được mức axit uric mục tiêu là 5-6 mg / dL. Sau khi đạt được và duy trì mức này, bệnh nhân có thể được khám lại 6-12 tháng một lần và theo dõi acid uric huyết thanh để giúp đánh giá hiệu quả và tuân thủ điều trị.
Các đợt cấp dễ xảy ra trong những tháng đầu tiên sau khi khởi đầu điều trị giảm acid uric máu. Do đó:
- Không nên bắt đầu điều trị dự phòng trong 4 tuần đầu sau một đợt cấp để tránh kéo dài đợt cấp.
- Nên khởi đầu allopurinol, febuxostat hoặc thuốc tăng thải acid uric ở nước tiểu với liều thấp và tăng dần trong khoảng vài tuần, nhằm giảm nồng độ acid uric từ từ để giảm thiểu nguy cơ xảy ra đợt cấp. Cũng có nguy cơ tinh thể hóa urat trong đường tiết niệu với các thuốc gia tăng đào thải acid uric ở nước tiểu.
- Nên dùng kèm colchicin liều 500 mg hai lần mỗi ngày hoặc liều thấp NSAID cùng với thuốc dự phòng và tiếp tục dùng ít nhất 1 tháng sau khi nồng độ acid uric huyết thanh đã trở về bình thường (thường 3 tháng, hoặc đến khi tan sỏi tophi). Colchicin được thích dùng hơn, nhưng có thể gây bệnh về cơ nếu dùng lâu dài (đặc biệt bệnh nhân suy thận). Nếu bệnh nhân xuất hiện một đợt cấp, liều allopurinol và thuốc tương tự phải giữ không đổi và đợt cấp được điều trị theo cách thông thường.
Các chất ức chế enzym xanthin oxidase
Các thuốc này làm giảm sản xuất axit uric qua cơ chế cạnh tranh enzym xanthin oxidase, enzym này chuyển xanthin và hypoxanthin thành acid uric.
Allopurinol thường được dùng đầu tiên bởi vì nó giảm nồng độ urat ở tất cả các bệnh nhân, có thể dùng thuận tiện một lần/ngày, tương đối an toàn trừ phi liều quá mức ở bệnh nhân suy thận, phù hợp với bệnh nhân suy thận, và không có chống chỉ định ở bệnh nhân có sỏi urat.
Allopurinol (Purinol, Zyloprim) thường được khởi đầu liều duy nhất 100 mg mỗi ngày và gia tăng mỗi 3-4 tuần cho đến khi nồng độ urat huyết thanh bình thường. Liều thường dùng là 200-300 mg/ngày, mặc dù đôi khi có bệnh nhân phải dùng đến 600-900 mg/ngày. Nên kiểm tra sự dung nạp trước khi tăng liều. Các phản ứng quá nhạy cảm với allopurinol, bao gồm ban đỏ da và ngứa, xảy ra trong khoảng 2% BN. Phản ứng quá mẫn trầm trọng hiếm gặp hơn, liên quan đến liều lượng, biểu hiện với sốt, hoại tử biểu bì nhiễm độc (toxic epidermal necrolysis), viêm gan, và suy thận mà tỉ lệ tử vong có thể đến 20%.
Thường thì các bệnh nhân bị hội chứng này bị suy thận mà không được giảm liều allopurinol hợp lý (bảng 1) hoặc ở những bệnh nhân dùng thuốc lợi tiểu. Nếu cùng dùng azathioprin và allopurinol (chẳng hạn, sau ghép thận), liều azathioprin nên giảm 75% vì cả hai thuốc được chuyển hóa bởi enzym xanthin oxidase.
| Độ lọc cầu thận (mL/min) | Liều (mg/ngày) |
| >100 | 300 |
| 80-100 | 250 |
| 60-80 | 200 |
| 40-60 | 150 |
| 20-40 | 100 |
| 10-20 | 100 mỗi 2 ngày |
| <10 | 100 mỗi 3 ngày |
Febuxostat (Feburic), một chất ức chế chọn lọc không chọn lọc của xanthine oxidase, là một chất thay thế tiềm năng cho allopurinol ở những bệnh nhân bị bệnh gút. Febuxostat được dùng bằng đường uống và được chuyển hóa chủ yếu ở gan (và do đó cần theo dõi chức năng gan). Ngược lại, allopurinol và các chất chuyển hóa của nó được bài tiết chủ yếu qua thận. Vì vậy, febuxostat có thể dùng cho bệnh nhân suy thận mà không cần điều chỉnh liều lượng. Liều dùng thông thường 40 mg/ngày tăng lên 80 mg/ngày. Loại thuốc này đắt tiền hơn allopurinol.

Một số nghiên cứu cho thấy rằng tử vong do mọi nguyên nhân và tử vong do tim mạch khi dùng febuxostat cao hơn so với allopurinol. FDA đã thêm một cảnh báo hộp đen về việc tăng nguy cơ tử vong với febuxostat so với allopurinol và giới hạn cho phép sử dụng febuxostat trong các trường hợp thất bại hoặc không dung nạp với allopurinol trong điều trị.
Thuốc tăng thải acid uric ở nước tiểu
Loại thuốc này gia tăng sự bài tiết acid uric ở nước tiểu bằng cách ức chế tái hấp thu axit uric ở ống thận. Thuốc tăng thải acid uric ở nước tiểu nguy hiểm nếu sự bài tiết acid uric nước tiểu >800 mg/24 giờ với chế độ ăn bình thường, và chống chỉ định ở bệnh nhân có sỏi urat. Các thuốc này không hiệu quả ở bệnh nhân suy thận (độ thanh thải creatinin dưới 50 ml/phút). Liều dùng khởi đầu của probenecid (Benemid, Benuryl) là 500 mg/ngày, tăng dần đến 2g/ngày; liều khởi đầu của sulphinpyrazon (Anturan) là 100mg/ngày, tăng dần đến 600mg/ngày. Cả 2 thuốc này có thể gây rối loạn tiêu hóa và ban dị ứng.
Các thuốc khác:
Nếu allopurinol và các thuốc tăng thải acid uric ở nước tiểu dùng đơn độc không kiểm soát được tăng acid uric máu và giảm các đợt gout hơn nữa, khi đó có thể thử điều trị phối hợp.
Một số thuốc có thể có tác dụng giảm acid uric máu như fenofibrat (Lipanthyl) và losartan (Covance). Cả fenofibrat và losartan giảm nồng độ urat huyết thanh bằng cách gia tăng sự thanh thải ở thận, do đó có thể thử dùng các thuốc này để hạ urat máu nếu bệnh nhân có các bệnh trạng kèm theo tương ứng. Ở một số bệnh nhân đề kháng, chọn lựa duy nhất có thể là điều trị mỗi đợt cấp và chú ý kỹ đến các biện pháp chung.
Lesinurad (Zurampic) là chất ức chế tái hấp thu acid uric có chọn lọc đầu tiên (SURI) được FDA chấp thuận. Lesinurad phải được dùng đồng thời với một chất ức chế xanthine oxidase và dùng để điều trị tăng acid uric máu liên quan đến bệnh gout ở những bệnh nhân chưa đạt được nồng độ acid uric huyết thanh mục tiêu chỉ với một chất ức chế xanthine oxidase.
Pegloticase, một uricase có tác dụng xúc tác bằng enzym cho quá trình oxy hóa axit uric thành allantoin, đã được FDA chấp thuận cho bệnh gút. Pegloticase được cân nhắc khi các biện pháp trên không đủ đạt được mức giảm thích hợp nồng độ acid uric huyết thanh.
Với gout tophi mạn tính:
Không nên phẫu thuật lấy bỏ tophi trừ khi chúng nằm ở vị trí quan trọng. Phẫu thuật có thể được chỉ định đối với các biến chứng của tophi, bao gồm nhiễm trùng, biến dạng khớp, chèn ép (ví dụ, chèn ép tủy sống) và đau không đáp ứng, cũng như các vết loét liên quan đến ăn mòn cục tophi.
Mục tiêu điều trị theo khuyến cáo chuyên gia:
- Nồng độ axit uric huyết thanh giảm xuống dưới 5 mg / dL và duy trì ở mức này để tophi có thể giảm kích thước và số lượng trong vòng 1-3 năm
- Giảm đau
- Không bị đau cấp
Bệnh nhân nên được theo dõi thường xuyên (ví dụ, 3-6 tháng một lần) để đánh giá liệu các mục tiêu có đạt được hay không.
KẾT LUẬN
Viêm khớp do gout là sự kết hợp các cơ chế sinh lý mà cuối cùng dẫn đến sự hình thành các tinh thể urat trong khớp và mô mềm. Giảm thanh thải acid uric ở thận là nguyên nhân thường gặp nhất gây bệnh gout. Các đợt gout cấp thường được điều trị hiệu quả với NSAID hoặc colchicin. Người bệnh cần được giải thích về nguyên nhân gây bệnh và hướng dẫn chế độ ăn uống, vận động. Nhiều bệnh nhân gout cần điều trị lâu dài với chất ức chế enzym xanthin oxidase hoặc thuốc tăng thải acid uric ở thận.
MinhdatRehab, dựa theo bài viết được đăng ở tập san Thời sự Y học đã khá lâu, có chỉnh sửa và bổ sung.







