Tên tiếng Anh: Deep Venous Thrombosis (DVT)
Mã ICD-10
- I80: Viêm tĩnh mạch và tắc tĩnh mạch
- I80.1: Viêm tĩnh mạch và viêm tắc tĩnh mạch đùi
- I80.2: Viêm tĩnh mạch và viêm tắc tĩnh mạch của các tĩnh mạch sâu khác của chi dưới
- I80.3: Viêm tĩnh mạch và viêm tắc tĩnh mạch ở chi dưới, không đặc hiệu
- I80.8: Viêm tĩnh mạch và viêm tắc tĩnh mạch ở các vị trí khác
- I80.9: Viêm tĩnh mạch và viêm tắc tĩnh mạch vị trí không xác định
ĐẠI CƯƠNG
Định nghĩa
Huyết khối tĩnh mạch (Venous thromboembolism, VTE) là nguyên nhân gây bệnh và tử vong quan trọng, thường biểu hiện dưới dạng huyết khối tĩnh mạch sâu (DVT) và thuyên tắc phổi (pulmonary emboli, PE).
DVT xảy ra khi cục máu đông làm tắc tĩnh mạch một cách bất thường trong hệ thống tĩnh mạch sâu, chủ yếu ở chi dưới (nhưng cũng có thể ở những tĩnh mạch của tay, mạc treo hoặc não).
Huyết khối tĩnh mạch sâu thường thầm lặng và có thể gây biến chứng thuyên tắc phổi, có thể dẫn đến tử vong đột ngột. Ngay cả bệnh nhân không bị thuyên tắc mạch phổi, huyết khối tái phát và “hội chứng hậu huyết khối” cũng là một nguyên nhân gây cũng là một nguyên nhân gây bệnh quan trọng. Phòng ngừa, chẩn đoán và điều trị sớm DVT làm giảm tỷ lệ mắc bệnh, giảm nhẹ tình trạng huyết khối và gia tăng khả năng sống còn.
Dịch tễ học, các yếu tố nguy cơ
Dịch tễ
- DVT và biến chứng của nó là thuyên tắc mạch phổi khá thường gặp nhưng do “thầm lặng” mà không được chẩn đoán và có thể chỉ phát hiện khi tử thiết. Vì thế, tỷ lệ mắc DVT thường không được ước tính đầy đủ.
- Ước tính tỷ lệ mới mắc hàng năm là 80/100.000 dân, và tỷ lệ hiện mắc DVT ở chi dưới là 1/1000 dân.
- DVT hiếm gặp ở trẻ em, nguy cơ tăng lên với tuổi, và thường gặp nhất ở những người trên 40 tuổi.
Yếu tố nguy cơ
Ba yếu tố chính góp phần gây huyết khối tĩnh mạch (bộ ba Virchow) bao gồm những thay đổi trong lưu lượng máu (tình trạng ứ trệ), tổn thương nội mô mạch máu và rối loạn tăng đông máu (Hình 1).

Nguy cơ phát triển DVT thay đổi tùy theo các đặc điểm cụ thể của bệnh nhân, tình trạng bệnh lý hoặc loại thuốc, phẫu thuật (Bảng 1).
Bảng 1. Các yếu tố nguy cơ Huyết khối Tĩnh mạch sâu
| Các yếu tố bệnh nhân | Các bệnh lý | Các thủ thuật, thuốc |
| Tuổi >40 Bất động kéo dài Tiền sử huyết khối tĩnh mạch sâu | Bệnh lý ác tính Các bệnh nội khoa nặng Chấn thương Tổn thương tuỷ sống, các tình trạng liệt Béo phì Giãn tĩnh mạch Bệnh ưa đông máu Thiếu protein C, S, Antithrombin III Kháng thể kháng đông lupus, kháng thể kháng phospholipid | Phẫu thuật chậu hông Phẫu thuật chấn thương chi dưới Phẫu thuật thần kinh Thuốc: Điều trị estrogen liều cao Tamoxifen Bevacizumab |
Các tình trạng có thể làm tăng nguy cơ phát triển DVT là tuổi cao, bệnh lý béo phì, giãn tĩnh mạch, bất động kéo dài, mang thai, bệnh ác tính, đột quỵ, bệnh viêm ruột, suy tim sung huyết và DVT trước đó. Một số tình trạng di truyền nhất định cũng có thể dẫn đến sự phát triển của DVT, chẳng hạn như thiếu hụt protein C và protein S và bệnh tăng đông gia đình (familial thrombophilia). Những khiếm khuyết mắc phải của hệ thống chống đông máu tự nhiên bao gồm các kháng thể chống lại kháng phospholipid và các đột biến dị hợp tử yếu tố V Leiden.
Về ngoại khoa, bệnh nhân có thể được phân loại theo nguy cơ phát triển DVT dựa trên loại phẫu thuật, và bệnh nhân được phẫu thuật chấn thương chi dưới, phẫu thuật thần kinh có nguy cơ cao nhất. Các phẫu thuật chỉnh hình có nguy cơ DVT cao được cho là do phá hủy tủy xương trong phẫu thuật gây ra sự xâm nhập vào mạch máu của các tế bào tủy và các mảnh tế bào và sự gia tăng của yếu tố mô huyết tương. Yếu tố mô huyết tương là yếu tố kích hoạt đông máu mạnh, được tìm thấy với nồng độ cao trong tuỷ xương và các màng bao xung quanh các mạch máu lớn và não. Chấn thương những cấu trúc này do phẫu thuật khiến bệnh nhân phẫu thuật thần kinh có nguy cơ phát triển DVT cao, với tỷ lệ được báo cáo tới 50% .
Các yếu tố nguy cơ làm tăng tỷ lệ DVT ở bệnh nhân phẫu thuật thần kinh bao gồm phẫu thuật nội sọ, khối u ác tính, thời gian phẫu thuật và sự hiện diện của liệt hoặc yếu chân. Bệnh nhân có thể vẫn ở trong tình trạng tăng đông máu lên đến 5 tuần sau phẫu thuật.
Ngoài những bệnh nhân phẫu thuật, các bệnh nhân bị chấn thương xương khớp và thần kinh có nhiều nguy cơ phát triển DVT, đặc biệt nếu gãy xương dài hoặc liệt kéo dài.
Những bệnh nhân bị tổn thương tủy sống có nguy cơ cao bị DVT vì tình trạng ứ trệ máu và tăng đông máu.
Chẩn đoán
Triệu chứng
Huyết khối tĩnh mạch thường xảy ra không có triệu chứng. Các triệu chứng của DVT có thể bao gồm sốt, sưng, nóng và đau ở chi dưới cùng bên. Các triệu chứng không loại trừ hoặc đảm bảo bị DVT, nhưng có thể giúp các nhà lâm sàng nghi ngờ và thăm dò chẩn đoán thêm.
Khám lâm sàng
Các dấu hiệu cổ điển của DVT là sưng và nóng, đau khi ấn cùng bên. Đôi khi có thể sờ thấy một dải sợi chứng tỏ một tĩnh mạch bị huyết khối. Trước đây, người ta chú trọng đến sự hiện diện của dấu hiệu Homan và đau ở bắp chân trong việc chẩn đoán lâm sàng DVT. Tuy nhiên, những dấu hiệu khám lâm sàng này không đặc hiệu và có giá trị tiên lượng chẩn đoán dương tính kém.
Phù bắp chân đáng kể không đối xứng là một dấu hiệu quan trọng và có thể được xác định bằng cách đo chu vi của bắp chân 10 cm dưới lồi củ chày. Chênh lệch chu vi bắp chân 3 cm được xem là một chênh lệch đáng kể về mặt lâm sàng. Trong trường hợp tắc nghẽn tĩnh mạch nặng có thể dẫn đến chân sưng đau nhiều, có màu trắnng hoặc thậm chí tím và có thể dẫn đến hoại tử (Phlegmasia alba dolens (PAD) và phlegmasia cerulea dolens (PCD)).

Cũng như các triệu chứng, các dấu hiệu khi khám lâm sàng không nhạy và cũng không đặc hiệu. Trong hơn 50% các trường hợp DVT, khám lâm sàng không phát hiệu dấu hiệu bất thường.
Hạn chế chức năng
DVT hiếm khi gây ảnh hưởng nhiều chức năng, ngoại trừ đau bắp chân khi đi. Thường không có chỉ định nghỉ ngơi tuyệt đối trên giường, và đi bộ sớm là an toàn ở bệnh nhân DVT cấp tính và có thể giúp giảm các triệu chứng cấp tính. Tuy nhiên, bệnh nhân nên tạm ngưng chương trình tập luyện ở chi dưới cho đến khi đã được dùng kháng đông đầy đủ.
Cận lâm sàng
Có nhiều thăm dò chẩn đoán xâm lấn và không xâm lấn để sàng lọc và xác định DVT, bao gồm:
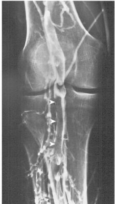
Chụp tĩnh mạch cản quang (Contrast venography):
Là một thăm dò xâm lấn được xem là “tiêu chuẩn vàng” để chẩn đoán DVT. Đây là thăm dò duy nhất có thể phát hiện vị trí DVT một cách đáng tin cậy ở tĩnh mạch bắp chân, tĩnh mạch chậu và tĩnh mạch chủ dưới (Hình). Hạn chế của phương pháp chụp tĩnh mạch là phức tạp về kỹ thuật, cần sử dụng chất cản quang, nguy cơ phản ứng dị ứng và gây khó chịu cho bệnh nhân. Do đó, thăm dò này không được khuyến khích làm thăm dò sàng lọc ban đầu.

Siêu âm đè ép tĩnh mạch:
Là thăm dò được lựa chọn để khảo sát bệnh nhân nghi ngờ DVT. Siêu âm đè ép tĩnh mạch có độ nhạy từ 89 – 96% và độ đặc hiệu từ 94 – 99% ở bệnh nhân nghi bị DVT chi dưới đoạn gần. Siêu âm tĩnh mạch cho phép hình dung trực tiếp lòng mạch. Tiêu chuẩn chính cho kết quả dương tính là không thể đè ép lòng tĩnh mạch. Các phát hiện bổ sung khác bao gồm giãn tĩnh mạch, không có dòng chảy, tín hiệu hồi âm trong lòng mạch và phát hiện các khiếm khuyết lấp đầy bằng Doppler màu. Các tổng quan hệ thống đã chứng minh độ nhạy và độ đặc hiệu cao để chẩn đoán DVT ở đầu gần chi dưới bằng siêu âm. Tuy nhiên, độ nhạy với huyết khối tĩnh mạch bắp chân kém hơn (giảm còn dưới 50%) do khó hình dung hơn.
Xét nghiệm D-dimer:
Là một phương pháp giúp chẩn đoán sự hiện diện của DVT. D-dimer là sản phẩm thoái hóa của cục máu đông fibrin liên kết chéo và thường tăng cao ở bệnh nhân DVT. Tuy nhiên, nồng độ D-dimer cũng có thể tăng cao trong nhiều loại rối loạn không do huyết khối, bao gồm phẫu thuật lớn, xuất huyết, chấn thương, bệnh ác tính và nhiễm trùng huyết gần đây. Do độ nhạy cao và độ đặc hiệu thấp của xét nghiệm D-dimer, đây là một công cụ tốt để loại trừ DVT nếu kết quả xét nghiệm là âm tính. Tuy nhiên, mức độ cao không có nhiều giá trị lâm sàng.
Chụp cộng hưởng từ:
MRI cũng chính xác để chẩn đoán DVT như chụp tĩnh mạch cản quang, tuy nhiên dữ liệu kết quả vẫn còn chưa đầy đủ. Ngoài ra, chi phí chụp cộng hưởng từ cao làm cho nó không có khả năng trở nên nổi bật như một xét nghiệm không xâm lấn cho DVT. Tuy nhiên, chụp cộng hưởng từ hữu ích khi cần chụp tĩnh mạch cản quang nhưng bị loại trừ vì bệnh nhân dị ứng với chất cản quang.
Một số thăm dò khác để tìm nguyên nhân
Ví dụ: đánh giá tình trạng tăng đông, tầm soát ung thư…
Các bước chẩn đoán
Quy tắc dự đoán lâm sàng của Wells là thang điểm dựa trên một nhóm các đặc điểm lâm sàng hữu ích trong việc ước tính xác suất bị DVT trước thăm dò.
Bước đầu tiên trong phương pháp chẩn đoán là xác định nguy cơ. Bệnh nhân có thể được phân chia theo các tiêu chuẩn lâm sàng thành nhóm nguy cơ cao, trung bình và thấp.
Nếu kết quả xét nghiệm D-dimer là dương tính, một thăm dò siêu âm tiếp theo trong 1 tuần sẽ được chỉ định.
- Với bệnh nhân nguy cơ trung bình hoặc cao, nên thực hiện siêu âm tĩnh mạch gốc chi trong vòng 4 giờ, và nếu kết quả siêu âm là âm tính, cần thực hiện xét nghiệm D-dimer.
- Nếu không thể thực hiện siêu âm trong vòng 4 giờ, nên thực hiện xét nghiệm D-dimer, và cho dùng một liều tạm thời của thuốc chống đông máu đường tiêm trong 24, trong khi chờ đợi thực hiện siêu âm tĩnh mạch.
- Trong trường hợp xét nghiệm D-dimer dương tính và siêu âm tĩnh mạch gốc chi âm tính, cần lặp lại siêu âm tĩnh mạch gốc chi sau 6 đến 8 ngày cho tất cả bệnh nhân.
- Nếu bệnh nhân có nguy cơ thấp theo thang điểm DVT Wells, xét nghiệm D-dimer giúp hạn chế số lần siêu âm tĩnh mạch không cần thiết. Xét nghiệm âm tính cho phép loại trừ khả năng bị DVT, nhưng nếu xét nghiệm D-dimer dương tính, cần siêu âm tĩnh mạch để loại trừ DVT.
- Ở tất cả các bệnh nhân được đã được chẩn đoán là DVT, điều trị như thể là siêu âm tĩnh mạch gốc chi dương tính (nghĩa là dùng thuốc kháng đông).

Phân loại DVT:
- Gần (gốc chi): Trên gối, ảnh hưởng các tĩnh mạch đùi hoặc chậu đùi; nhiều khả năng dẫn đến các biến chứng như thuyên tắc mạch phổi.
- Xa (ngọn chi): Dưới gối
Chẩn đoán phân biệt
- Đau cách hồi
- Nang khoeo chân (Baker) bị vỡ
- Viêm mô tế bào
- Tụ máu
- Phù bạch huyết
- Viêm tắc tĩnh mạch nông
- Phù do thuốc
- Căng rách cơ bắp chân
Điều trị
Dự phòng huyết khối tĩnh mạch sâu
Sự lựa chọn biện pháp dự phòng thích hợp nhất phụ thuộc vào các phát hiện lâm sàng và phân tích lợi ích – nguy cơ đối với một bệnh nhân cụ thể. Các lựa chọn dự phòng hiện tại bao gồm dùng thuốc chống đông, chống ngưng tập tiểu cầu, và các biện pháp không dùng thuốc.
Thời gian điều trị dự phòng bằng thuốc tối ưu thay đổi tùy theo nguy cơ và tình trạng lâm sàng của từng cá nhân. Tiêu chuẩn chăm sóc hiện tại là ngừng điều trị dự phòng từ 7 đến 10 ngày sau phẫu thuật hoặc khi bệnh nhân nội khoa có thể tự do đi lại. Sau phẫu thuật chỉnh hình lớn, điều trị dự phòng tốt nhất kéo dài từ 4 đến 6 tuần. Ở những bệnh nhân bị chấn thương tủy sống, việc điều trị dự phòng nên được duy trì tốt nhất từ 6 đến 10 tuần
Heparin
- Heparin không phân đoạn (unfractionated heparin, UFH) và heparin trọng lượng phân tử thấp (low-molecular weight heparin, LMWH) với liều thấp đã được chứng minh là làm giảm nguy cơ huyết khối tĩnh mạch ở bệnh nhân nội khoa nhập viện, nhưng không thuốc nào làm thay đổi tỷ lệ tử vong. Khi so sánh trực tiếp, LMWH an toàn hơn và hiệu quả hơn UFH.
- FDA đã phê duyệt hai LMWH, dalteparin và enoxaparin, để dự phòng DVT chu phẫu. Enoxaparin có thể được sử dụng cho bệnh nhân nội trú lẫn ngoại trú. Liều dự phòng với Enoxaparin (Lovenox): tiêm dưới da 30 mg mỗi 12 giờ hoặc 40 mg hàng ngày.

Fondaparinux (Arixtra, 2,5 mg)
- Là một thuốc chống đông có liên quan về mặt hoá học với heparin trọng lượng phân tử thấp, đã được Cục Quản lý Thực phẩm và Dược phẩm Hoa kỳ (FDA) phê duyệt để điều trị dự phòng DVT ở những bệnh nhân trải qua phẫu thuật gãy xương hông, thay khớp háng hoặc thay khớp gối, để dự phòng DVT kéo dài sau phẫu thuật gãy xương hông và cho những bệnh nhân có nguy cơ bị biến chứng huyết khối tắc mạch sau phẫu thuật bụng.
- Liều dùng để phòng ngừa DVT sau phẫu thuật là 2.5 mg dưới da hàng ngày với bệnh nhân trên 50kg, bắt đầu sau mổ 6-8 giờ.
Aspirin
Thuốc chống kết tập tiểu cầu như aspirin làm giảm nguy cơ DVT và thuyên tắc phổi ở một số bệnh nhân; tuy nhiên, có rất ít bằng chứng cho thấy thuốc chống kết tập tiểu cầu có tác dụng đáng kể trong việc phòng ngừa các biến cố huyết khối tĩnh mạch ở bệnh nhân nội khoa. Ngoài ra, aspirin liều thấp không làm giảm đáng kể tỷ lệ tái phát huyết khối tĩnh mạch nhưng làm giảm đáng kể tỷ lệ biến cố mạch máu lớn. Do vậy, sử dụng aspirin để dự phòng DVT không được khuyến cáo.
Warfarin
Warfarin liều thấp tốt hơn aspirin hoặc giả dược ở bệnh nhân gãy xương hông nhưng có thể không đủ phòng ngừa DVT sau phẫu thuật thay khớp gối và khớp háng. Sử dụng warfarin có thể dẫn đến tình trạng tăng đông thoáng qua trong 36 giờ đầu sau khi dùng thuốc vì nó gây giảm nhanh nồng độ protein C trước khi có tác dụng chống đông máu (có tác dụng từ 36 đến 72 giờ sau khi dùng thuốc).
Các biện pháp cơ học
- Ép hơi ngắt quãng (Intermittent pneumatic leg compression)
- Là một hệ thống tạo áp lực bằng cách hơi ngắt quãng lên chân nhằm cải thiện tuần hoàn tĩnh mạch ở chân.
- Vớ (tất) đàn hồi từng mức
- Mục đích tăng vận tốc dòng máu tĩnh mạch. Vớ dài đến đầu gối hoặc cao hơn có kích thước vừa vặn và chúng tạo ra áp lực tăng dần từ cổ chân lên trên cẳng chân và đùi.
- Các biện pháp khác:
- Nâng cao chân
- “Bơm” cổ chân: vận động gấp duỗi cổ chân thụ động hoặc chủ động
- Xoa bóp hướng lên


Điều trị huyết khối tĩnh mạch sâu ở đầu gần (gốc chi)
Ở những bệnh nhân bị DVT, mục tiêu điều trị chính là ngăn ngừa sự lan rộng của cục máu đông, thuyên tắc phổi cấp tính và sự phát triển các biến chứng muộn của DVT (như hội chứng sau huyết khối, tăng huyết áp phổi huyết khối mạn tính, và suy tĩnh mạch mạn tính).
Liệu pháp chống đông
Nền tảng của điều trị nội khoa DVT là liệu pháp chống đông máu. Liệu pháp chống đông được chỉ định ở những bệnh nhân bị DVT ở gốc chi có triệu chứng vì thuyên tắc phổi có thể xảy ra ở 50% số người không được điều trị và gây tử vong.
Thuốc chống đông máu đường uống trực tiếp (Direct oral anticoagulant, DOAC)
DOAC là một loại thuốc chống đông đường uống mới nhắm mục tiêu trực tiếp đến hoạt động enzym của thrombin và yếu tố Xa. Chúng bao gồm dabigatran, rivaroxaban, apixaban và edoxaban. Thuốc chống đông máu đường uống trực tiếp đã được nghiên cứu rộng rãi trong các thử nghiệm lâm sàng và chúng được chứng minh là an toàn và hiệu quả ít nhất là như điều trị thông thường ở phần lớn bệnh nhân bị thuyên tắc tĩnh mạch.
- Hướng dẫn hiện tại khuyến cáo sử dụng DOAC tốt hơn thuốc kháng vitamin K như warfarin vì hiệu quả tương đương nhưng ít tác dụng phụ hơn (như xuất huyết nội sọ).
- DOAC thường được sử dụng không cần theo dõi nồng độ thuốc hoặc thời gian đông máu.
- Nhược điểm: Đắt tiền, ít phổ biến ở Việt Nam
Heparin trọng lượng phân tử thấp:
- Ở những bệnh nhân bị DVT ở chân và ung thư (huyết khối liên quan đến ung thư), Heparin trọng lượng phân tử thấp (LMWH) vẫn là liệu pháp chống đông được đề xuất ưu tiên hơn warfarin hoặc DOACs (một phần do thiếu các nghiên cứu so sánh DOAC với LMWH dài hạn).
- Liều điều trị DVT cấp tính với Enoxaparin (Lovenox)(nội trú hoặc ngoại trú): tiêm dưới da 1 mg/kg mỗi 12 giờ hoặc 1,5 mg/kg hàng ngày.
- Những bệnh nhân được điều trị bằng LMWH nên bắt đầu dùng warfarin trong vòng 24 đến 48 giờ. Có thể ngừng dùng LMWH sau ít nhất 5 ngày, với điều kiện là chỉ số INR ở mức điều trị (2-3) trong 2 ngày liên tiếp.
Điều trị duy trì
- Sau khi điều trị ban đầu bằng LMWH, cần điều trị kháng đông lâu dài để ngăn ngừa DVT tái phát. Sử dụng thuốc kháng đông đường uống warfarin mới mục tiêu kéo dài INR đến 2,5 (khoảng từ 2 đến 3) để vừa hiệu quả trong việc ngăn ngừa DVT tái phát, vừa giảm nguy cơ chảy máu. Nếu thuốc chống đông máu đường uống bị chống chỉ định hoặc không thuận tiện, có thể tiến hành điều trị lâu dài với LMWH, hoặc fondaparinux.
- Thời gian điều trị được khuyến cáo ít nhất là 3 tháng. Sau 3 tháng, bệnh nhân nên được đánh giá lại định kỳ về tỷ lệ nguy cơ – lợi ích của liệu pháp kháng đông kéo dài. Điều trị kéo dài được ưu tiên ở những bệnh nhân bị DVT gốc chi không có yếu tố khởi phát và nguy cơ chảy máu tương đối thấp.
Các Phương pháp điều trị khác
Liệu pháp làm tan huyết khối
- Liệu pháp này có một vai trò hạn chế trong điều trị DVT vì đắt tiền, có nguy cơ cao gây biến chứng chảy máu và không có bằng chứng thuyết phục về lợi ích bổ sung. Thuốc làm tan huyết khối nên được dành cho những bệnh nhân bị huyết khối tĩnh mạch chậu đùi kích thước lớn hoặc bệnh tim phổi không ổn định mà không có chống chỉ định với liệu pháp làm tan huyết khối.
Lọc tĩnh mạch chủ dưới (Inferior vena caval filter):
- Có thể được chỉ định ở những bệnh nhân DVT có chống chỉ định tuyệt đối với kháng đông, có nguy cơ chảy máu cao hoặc DVT tái phát mặc dù đã có đủ thuốc kháng đông.
- Kỹ thuật này có hiệu quả phòng ngừa thuyên tắc mạch phổi, tuy nhiên, điều này được cân bằng bởi tỷ lệ DVT tái phát tăng lên. Những bệnh nhân có chống chỉ định tạm thời đối với việc sử dụng thuốc chống đông máu mà được đặt lọc tĩnh mạch nên bắt đầu dùng thuốc chống đông càng sớm càng tốt sau khi đặt. Ở những bệnh nhân DVT hoặc PE cấp tính đã được điều trị bằng thuốc chống đông máu, các hướng dẫn hiện hành không khuyến cáo đặt bộ lọc tĩnh mạch chủ.
Phẫu thuật
- Phẫu thuật lấy bỏ DVT cấp tính hiếm khi được sử dụng. Nó chỉ nên được xem xét ở những bệnh nhân có huyết khối lớn và tuần hoàn động mạch bị tổn thương, những người không đáp ứng với hoặc những người có chống chỉ định tuyệt đối với liệu pháp tiêu huyết khối.
Điều trị huyết khối tĩnh mạch sâu ở đầu xa (ngọn chi)
Huyết khối tĩnh mạch ở bắp chân không được điều trị thường không dẫn đến thuyên tắc phổi đáng kể về mặt lâm sàng trừ khi huyết khối lan rộng đến các đoạn tĩnh mạch đầu gần.
- Không phải tất cả bệnh nhân được chẩn đoán mắc DVT ở đoạn xa đơn độc đều cần điều trị chống đông máu.
- Nếu bệnh nhân cấp tính và không có các triệu chứng nghiêm trọng hoặc các yếu tố nguy cơ kéo dài, nên theo dõi huyết khối ở bắp chân bằng siêu âm tĩnh mạch liên tiếp trong 2 tuần. Nếu huyết khối lan rộng (đặc biệt là đến các tĩnh mạch đoạn gần) thì nên dùng kháng đông.
- Ở những bệnh nhân bị DVT đoạn xa cấp tính có các triệu chứng nghiêm trọng hoặc các yếu tố nguy cơ kéo dài, nên bắt đầu dùng kháng đông.
Điều trị huyết khối tĩnh mạch nông
- Huyết khối tĩnh mạch nông là một bệnh phổ biến và có tỷ lệ mắc bệnh cao hơn so với DVT, ước tính khoảng 1 trên 1000. Các vị trí thường bị ảnh hưởng là ở chi dưới, đặc biệt là các tĩnh mạch hiển, hầu hết liên quan đến giãn tĩnh mạch nông. Từ lâu, nó được xem là một tình trạng lành tính và tự giới hạn, chỉ cần giảm triệu chứng. Giãn tĩnh mạch thường được xử lý bằng các chế phẩm bôi tại chỗ, vớ ép, thuốc chống viêm không steroid (NSAID), và phẫu thuật thắt hoặc cắt bỏ các tĩnh mạch nông.
- Tuy nhiên, ngày càng có nhiều sự công nhận rằng nó có thể cùng tồn tại và / hoặc tiến triển thành thuyên tắc tĩnh mạch hệ thống . Những bệnh nhân có tiền sử lâm sàng về SVT trước đó có nguy cơ phát triển PE hoặc DVT tương ứng tăng gấp 4 đến 6 lần. Do đó, mục tiêu điều trị hiện tại không chỉ là làm giảm các triệu chứng tại chỗ mà còn để ngăn ngừa các biến chứng trở thành DVT hoặc PE. Việc điều trị huyết khối tĩnh mạch nông phụ thuộc vào căn nguyên, mức độ và triệu chứng của tình trạng bệnh. Tuy nhiên, có những lo ngại liên quan đến chi phí thuốc và hiệu quả chi phí và do đó các nghiên cứu trong tương lai sẽ cần xác định những bệnh nhân nào sẽ được hưởng lợi nhiều nhất từ việc điều trị.
Xử trí huyết khối tĩnh mạch sâu tái phát
- Nguy cơ tái phát DVT tăng lên khi ngừng điều trị chống đông máu. Việc theo dõi nồng độ D-dimer liên tục đã được chứng minh là hữu ích trong việc xác định khả năng tái phát DVT.
- Điều trị được chỉ định trong ít nhất 12 tháng ở bệnh nhân với DVT tái phát hoặc đối với những người có các yếu tố nguy cơ liên tục với bệnh huyết khối tắc mạch, chẳng hạn như bệnh ác tính. Ở những bệnh nhân bị DVT tái phát khi điều trị kháng đông đường uống, chuyển đổi tạm thời sang LMWH trong ít nhất 1 tháng. Những bệnh nhân bị DVT tái phát trong khi điều trị LMWH dài hạn, liều LMWH nên được tăng từ một phần tư đến một phần ba.
Phục hồi chức năng
- Không có chống chỉ định nghiêm ngặt đối với các bài tập trị liệu và các hoạt động đi lại sau DVT, nhưng các hoạt động này được khuyến cáo nên tạm dừng cho đến khi bệnh nhân ở trong phạm vi trị liệu của heparin hoặc đã được điều trị bằng LMWH trong 24 giờ.
- Mặt khác, vật lý trị liệu và hoạt động trị liệu được chỉ định ngay sau các phẫu thuật có nguy cơ cao có thể cải thiện đáng kể khả năng vận động của bệnh nhân sau phẫu thuật và giảm thiểu cơ hội hình thành DVT.
Tiên lượng
- Nhiều DVT sẽ giải quyết mà không có biến chứng.
- Hội chứng sau huyết khối xảy ra ở 43% bệnh nhân hai năm sau DVT (30% nhẹ, 10% vừa và 3% nặng). Hội chứng này dùng để gọi các dấu hiệu và triệu chứng của suy tĩnh mạch mạn tính sau DVT, biểu hiện với đau chân, nặng chân, dãn tĩnh mạch, phù, thay đổi màu sắc da và loét do tĩnh mạch.
- Nguy cơ tái phát DVT cao (lên đến 25%).
- Tử vong xảy ra trong khoảng 6% trường hợp DVT và 12% trường hợp thuyên tắc phổi trong vòng một tháng sau khi chẩn đoán.
- Tử vong sớm sau khi thuyên tắc huyết khối tĩnh mạch có liên quan với thuyên tắc phổi, tuổi cao, ung thư và bệnh tim mạch tiềm ẩn.
XEM THÊM: THĂM KHÁM HỆ TIM MẠCH: XÁC ĐỊNH SUY MẠCH MÁU VÀ LOÉT DO MẠCH MÁU







