Tên tiếng Anh: Thoracic Compression Fracture
Từ đồng nghĩa:
- Gãy đốt sống ngực hình chêm,
- Gãy nén đốt sống ngực,
- Vỡ lún cột sống ngực,
Mã ICD-10:
- M84.40: gãy xương bệnh lý , không xác định vị trí
- S22.009: Gãy không xác định loại ở đốt sống ngực không xác định
Lưu ý: Bài viết chỉ trình bày loại gãy xẹp cột sống ngực thường gặp, vững và không kèm theo tổn thương tuỷ sống. Các loại gãy xương mất vững do chấn thương (như gãy nhiều mảnh, gãy xương- trật khớp …) liên quan đến tổn thương tuỷ sống sẽ được trình bày riêng.
Xem thêm: GIẢI PHẪU CHỨC NĂNG THÂN MÌNH. PHẦN 1: XƯƠNG VÀ KHỚP
ĐẠI CƯƠNG
Định nghĩa
Gãy xẹp (hình chêm) cột sống ngực (đúng hơn là gãy do nén, compression fracture) là loại gãy gãy gây ra do lực nén ép thẳng trục hoặc lực gập. Đây là một gãy xương vững và hiếm khi bệnh nhân bị các tổn thương thần kinh.

Nguyên nhân và dịch tễ
- Gãy do nén ở đốt sống ngực thường thấy trong bệnh loãng xương với mật độ chất khoáng của xương giảm. Chúng có thể không có triệu chứng và được chẩn đoán tình cờ trên chụp X quang. Gãy xương như vậy có thể xảy ra với chấn thương rất nhẹ (ví dụ, ngã nhẹ, đột ngột gập người, nâng đồ vật, ho) và thường vững. Vị trí thường gặp ở vùng ngực giữa – thấp (dưới T6) và cột sống thắt lưng, đặc biệt là vùng bản lề T12-L1. Ước tính có khoảng 1,5 triệu ca gãy xẹp cột sống xảy ra hàng năm ở Mỹ. Bệnh thường gặp ở phụ nữ sau mãn kinh (25% bị gãy xẹp đốt sống.
- Gãy đốt sống bệnh lý cũng có thể xảy ra với ung thư di căn (thường là do phổi, vú hoặc tuyến tiền liệt), cũng như với các bệnh lý khác ảnh hưởng đến đốt sống (ở Việt Nam cần lưu ý lao cột sống, bệnh Pott).
- Chấn thương, chẳng hạn như ngã cao hoặc tai nạn giao thông cũng có thể dẫn đến gãy xẹp cột sống ngực. Trong những trường hợp như vậy, có thể có tổn thương tủy sống, và cột sống thường bị gãy ở nhiều vị trí. Nếu nguyên nhân là do ngã hoặc nhảy từ trên cao xuống, có thể gãy kèm theo xương gót và/hoặc xương chi dưới khác.
- Gãy xẹp đốt sống trước đó làm tăng nguy cơ gãy xẹp mới, với nguy cơ gấp 5 lần nếu đã bị một lần gãy, và gấp 12 lần với gãy hai hoặc nhiều lần hơn.
XEM THÊM: BỆNH LOÃNG XƯƠNG
LƯỢNG GIÁ
Hỏi bệnh
Cần hỏi kỹ bệnh sử, cơ chế chấn thương nếu có và các xử trí ban đầu.
Biểu hiện lâm sàng thường gặp là đau ở đốt sống ngực bị gãy. Đau có thể rất nhiều, đau chói, tăng lên khi vận động và giảm khi nghỉ ngơi. Đau thường kéo dài 2 đến 3 tuần và sau đó giảm dần trong 6 đến 8 tuần, nhưng có thể đau nhẹ kéo dài trong nhiều tháng. Tuy nhiên, trong gãy xương cấp tính liên quan đến loãng xương, nhiều bệnh nhân chỉ đau rất nhẹ hoặc khó xác định vị trí.
Khám lâm sàng
Phát hiện lâm sàng chính khi thăm khám là đau khi sờ hoặc gõ lên vùng đốt sống ngực bị ảnh hưởng.
Đau cũng xuất hiện hoặc tăng lên khi vận động cột sống.
Những bệnh nhân đã bị nhiều lần gãy xẹp trước đó có thể bị biến dạng gù – vẹo cột sống, giảm chiều cao và đụng chạm của các xương sườn dưới lên mào chậu (hội chứng chậu sườn, iliocostal syndrome).
Cần đánh giá thần kinh nhằm xác định đau kiểu rễ, các bất thường về vận động, cảm giác và phản xạ dưới mức tổn thương (bao gồm cả chức năng bàng quang và trực tràng).
Một điều quan trọng nữa là đánh giá độ vững của dáng đi. Các khiếm khuyết do gãy xương và/hoặc tổn thương thần kinh kèm theo có thể góp phần gây rối loạn chức năng dáng đi và gây nguy cơ té ngã.

Hạn chế chức năng
Những bệnh nhân đau nhiều do gãy xẹp cấp tính có thể bị hạn chế chức năng đáng kể. Bệnh nhân có thể bị mất khả năng vận động, giảm độc lập trong các hoạt động sinh hoạt hàng ngày, mất ngủ, lo lắng và cần phải nhập viện điều trị. Khi tình trạng đau giảm, các hoạt động chức năng và sự tham gia dần dần được cải thiện.
Xem thêm: KHÁM CỘT SỐNG NGỰC
Cận lâm sàng
Chẩn đoán hình ảnh
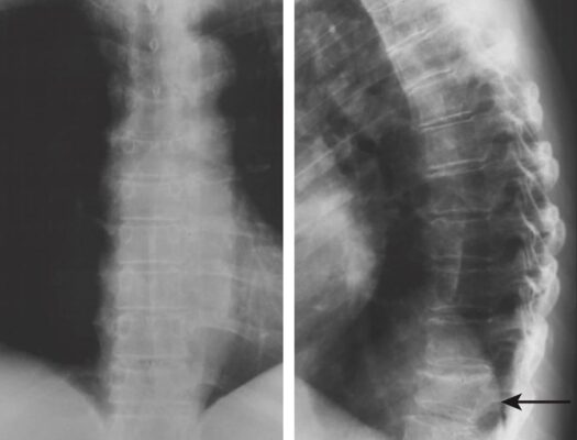
- X quang ngực thẳng và nghiêng là xét nghiệm có giá trị chẩn đoán, phát hiện đốt sống bị giảm chiều cao, thường có dạng hình nêm, với chiều cao phía trước nhỏ hơn chiều cao đốt sống sau. Trong bệnh loãng xương, X quang cũng có thể phát hiện đốt sống bị biến dạng lõm hai mặt.
- Scan xương có thể giúp xác định vị trí (nhưng có thể không xác định nguyên nhân) của các tình trạng như ung thư di căn, gãy xương ẩn và nhiễm trùng.
- Chụp CT scan hoặc cộng hưởng từ (MRI) được chỉ định khi cần làm rõ thêm chi tiết, nhất là khi nguyên nhân do chấn thương nặng, đau ở vị trí bất thường (ví dụ ở đốt sống ngực cao), có dấu hiệu tổn thương thần kinh hoặc nghi ngờ bệnh lý khác.
- Nếu nguyên nhân là do ngã cao, nên kiểm tra thêm gãy xương gót và gãy đốt sống khác.


Xét nghiệm
Các xét nghiệm được chỉ định khi thích hợp nhằm xác định nguyên nhân.
- Xét nghiệm yếu tố viêm: công thức máu toàn phần và tốc độ máu lắng hoặc protein phản ứng C.
- Phosphatase kiềm huyết thanh, điện di protein trong huyết thanh và nước tiểu, và các xét nghiệm cận lâm sàng khác khi nghi ngờ có ung thư ác tính.
- Đo mật độ xương có thể được thực hiện khi tình trạng đau cải thiện.
Chẩn đoán phân biệt
- Chấn thương phần mềm vùng ngực hoặc xương sườn …
- Bệnh lý cơ xương khớp: Thoát vị đĩa đệm vùng ngực, bệnh lý rễ ngực, đau xương sườn …
- Khối u:
- Di căn ung thư ác tính
- Ung thư cột sống nguyên phát (ít gặp, thường gặp nhất là đa u tủy)
- U cột sống lành tính
- Nhiễm trùng, viêm tủy xương, lao
- Đau lan từ ngực- bụng (ung thư tuyến tụy, phình động mạch chủ bụng …)
ĐIỀU TRỊ
Điều trị ban đầu
Chế độ vận động – sinh hoạt
Xử trí ban đầu gồm nghỉ ngơi tương đối tại giường và điều chỉnh hoạt động. Có thể bổ sung thêm lớp phủ nệm như nệm trứng (egg crate) để tạo sự thoải mái. Chỉ nên nghỉ ngơi tại giường trong vài ngày để ngăn ngừa các biến chứng do bất động (như tắc mạch chi, loét ép, giảm cơ lực và sức bền tim phổi).
Tránh vận động cột sống, đặc biệt là gấp (cúi người) bằng mang nẹp ngực- thắt lưng cùng và hướng dẫn người bệnh dịch chuyển đúng cách (như khi lăn trên giường cần phải lăn đồng bộ thân mình như khúc gỗ).
Dụng cụ chỉnh hình
Dụng cụ chỉnh hình cột sống có thể là loại được làm sẵn ở thị trường hoặc đúc riêng nếu cần mức độ làm vững lớn hơn. Thời gian mang nẹp thường từ 8-12 tuần.



Thuốc
Sử dụng các thuốc kháng viêm, giảm đau, giãn cơ để điều trị triệu chứng:
- Thuốc giảm đau: tramadol 50mg (mỗi 4 đến 6 giờ), acetaminophen 300 mg / codeine 30 mg (mỗi 4 đến 6 giờ) và oxycodone CR phóng thích có kiểm soát (10 hoặc 20 mg mỗi 12 giờ). Có thể cân nhắc sử dụng kháng viêm không steroid như voltaren, meloxicam.
- Thuốc giãn cơ như mydocalm, tizanidine, cyclobenzaprine có thể hữu ích ban đầu khi bị co thắt cơ nhiều.

- Với bệnh nhân gãy xương do loãng xương, có thể sử dụng Calcitonin dạng xịt mũi (một lần xịt mỗi ngày, cung cấp 200 IU mỗi lần xịt) để giảm đau. Điều trị loãng xương tích cực bằng thuốc (như bisphosphonate, calci, vitamin D)
- Có thể sử dụng các thuốc làm mềm phân và thuốc nhuận tràng để giảm đau đi tiêu và phòng táo bón, đặc biệt là khi dùng thuốc giảm đau họ thuốc phiện.
Hầu hết các trường hợp gãy xẹp cột sống ngực sẽ lành và cải thiện triệu chứng sau 4 đến 6 tuần.
Phục hồi chức năng
Mục đích làm giảm đau, cải thiện tư thế, phòng ngừa biến dạng (gù) cột sống và gãy xương tái phát, hỗ trợ và cải thiện chức năng dịch chuyển, di chuyển, sinh hoạt.
Vật lý trị liệu
Các phương thức giảm đau, chẳng hạn như nhiệt nóng trị liệu hoặc nhiệt lạnh, điện xung giảm đau (dòng TENS …)
Vận động trị liệu
Giai đoạn đầu cần hướng bệnh nhân tư thế đúng khi nằm, ngồi, đúng; cách dịch chuyển và di chuyển; sử dụng các dụng cụ trợ giúp di chuyển (như khung đi) để giảm tải lên cột sống và đảm bảo an toàn khi đi lại.
Khi tình trạng cột sống ổn định, cần hướng dẫn các bài tập/tư thế duỗi (ưỡn) cột sống, tránh các tư thế gập cột sống; tập mạnh các cơ duỗi thân, các cơ cơ hai chân; các bài tập thở sâu.
Các bài tập chịu trọng lượng để tăng cường sức khỏe xương, giữ thăng bằng và phòng ngã cũng rất quan trọng. Khuyến cáo người bệnh chọn giày dép phù hợp, êm chân và chống trơn trượt.


XEM THÊM: CÁC BÀI TẬP LÀM VỮNG THÂN
Hoạt động trị liệu
Có thể giúp bệnh nhân thực hiện các hoạt động sống hàng ngày, cung cấp các dụng cụ thích ứng và thay đổi môi trường phù hợp, phòng ngã.
Có thể sử dụng nẹp chống gù ở giai đoạn sau.

Thủ thuật
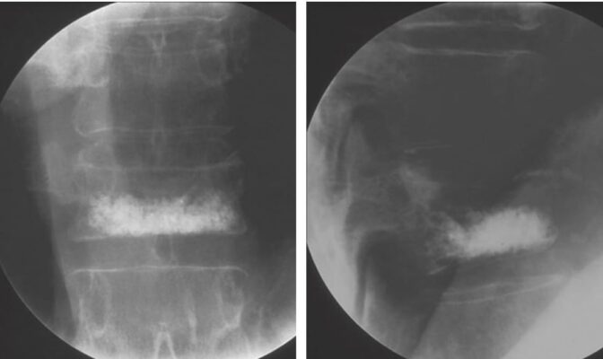
Các thủ thuật xâm lấn nói chung là không cần thiết. Một số bệnh nhân gãy xương cấp hoặc bán cấp không đáp ứng với điều trị bảo tồn có thể được điều trị bằng tạo hình đốt sống qua da (vertebroplasty hay là kyphoplasty) bằng cách tiêm “xi măng” xương (polymethyl methacrylate) để giảm đau, làm vững đốt sống và cải thiện chức năng.
Các kỹ thuật này có thể làm giảm biến dạng ở các thân đốt sống được bơm, nhưng không làm giảm và thậm chí có thể làm tăng nguy cơ gãy xương ở các đốt sống lân cận. Các nguy cơ khác bao gồm gãy xương sườn, rò xi măng, phù phổi cấp hoặc nhồi máu cơ tim.

Phẫu thuật
Phẫu thuật hiếm khi cần thiết. Phẫu thuật cố định cột sống có thể được cân nhắc ở những bệnh nhân vẫn tiếp tục đau dữ dội sau khi gãy xẹp do xương không lành, ở những bệnh nhân mất vững cột sống, hoặc có các biến chứng thần kinh.
Tài liệu tham khảo:
ESSENTIALS OF PHYSICAL MEDICINE AND REHABILITATION: MUSCULOSKELETAL DISORDERS, PAIN, AND REHABILITATION, FOURTH EDITION. Elsevier, Inc. 2019







