Bàn chân và cổ chân tạo nên một cấu trúc giải phẫu phức tạp bao gồm 26 xương hình dạng không đều, 30 khớp hoạt dịch, hơn 100 dây chằng và 30 cơ tác động lên các phân đoạn.
Tất cả các khớp phải tương tác hài hòa và kết hợp để đạt được một vận động trơn tru.
Bàn chân góp phần đáng kể vào chức năng của toàn bộ chi dưới. Bàn chân nâng đỡ trọng lượng của cơ thể cả khi đứng và đi lại chạy nhảy. Bàn chân phải là một phần tiếp xúc lỏng lẻo với các bề mặt không bằng phẳng khi nó tiếp xúc. Ngoài ra, khi tiếp xúc với mặt nền, nó đóng vai trò giảm sốc với các lực phản ứng nền. Vào cuối thì tựa, nó phải là một đòn bẩy cứng để đẩy tới hiệu quả. Cuối cùng, khi bàn chân bị giữ cố định trong thì tựa, nó phải hấp thụ lực xoay của chi dưới. Tất cả những chức năng này của bàn chân xảy ra trong một chuỗi động đóng khi nó đang chịu các lực ma sát và phản ứng từ mặt đất hoặc bề mặt khác.
CÁC XƯƠNG CỔ BÀN CHÂN
Các xương của bàn chân đem lại nâng đỡ cơ học cho các mô mềm, giúp bàn chân chịu được trọng lượng của cơ thể khi đứng và vận động.
Các xương cổ bàn chân có thể được chia làm ba nhóm:
- Các xương cổ chân (Tarsals) gồm 7 xương hình dạng không đều
- Các xương bàn chân (Metatarsals) kết nối các xương ngón chân với các xương cổ chân, gồm 5 xương tương ứng 5 ngón.
- Các xương ngón chân (Phalanges): mỗi ngón có 3 xương ngón chân (gần, giữa, xa), riêng ngón cái chỉ có 2 xương ngón chân.
Bàn chân có thể được chia thành ba vùng:
- Bàn chân sau (rearfoot), bao gồm xương sên (talus) và xương gót (calcaneus);
- Bàn chân giữa (midfoot), bao gồm xương ghe (navicular), 3 xương chêm (cuneiform), và xương hộp (cuboid); và
- Bàn chân trước (forefoot), gồm các xương bàn (metatarsals) và các xương ngón chân (phalanges).




Hình: Các xương của bàn chân, nhìn từ trên, bên ngoài và bên trong
CÁC KHỚP CỔ BÀN CHÂN
Hầu hết các vận động ở chân xảy ra tại ba khớp hoạt dịch: khớp cổ chân (talocrural), khớp dưới sên (subtalar), và khớp giữa cổ chân (midtarsal). Bàn chân di chuyển trong ba mặt phẳng, hầu hết các vận động xảy ra trong chân sau.
Khớp cổ chân
Khớp cổ chân (talocrural) là một khớp bản lề môt trục được tạo bởi xương chày và xương mác (khớp chày mác) và xương chày và xương sên (khớp chày sên). Khớp này là một khớp vững, với xương chày và xương mác tạo thành một ổ sâu cho ròng rọc xương sên, như một lỗ mộng. Phần trong của lỗ mộng là mặt trong của mắt cá trong, phần ngoài của lỗ mộng là mặt trong của mắt cá ngoài. Mắt cá ngoài xuống thấp hơn mắt cá trong và bảo vệ các dây chằng bên ngoài của cổ chân và chống lại di lệch ra ngoài.
Xương chày và xương mác vừa khít trên ròng rọc xương sên, một xương có phần trước rộng hơn phần sau. Sự khác nhau về độ rộng của xương sên cho phép một ít chuyển động dạng khép của bàn chân. Tư thế khớp khóa của cổ chân là gập mu.

Cổ chân được làm vững bởi rất nhiều dây chằng bên trong và ngoài, làm hạn chế gập mu và gập lòng, vận động ra trước và ra sau của bàn chân, nghiêng của xương sên, và vẹo trong và vẹo ngoài.


Sự ổn định của cổ chân phụ thuộc vào hướng của các dây chằng, loại lực tải, và tư thế của cổ chân vào lúc chịu tải. Mặt ngoài của khớp cổ chân dễ bị tổn thương hơn, chiếm 85% bong gân cổ chân.
Vận động ở khớp cổ chân (gấp- duỗi):
Trục xoay của khớp cổ chân là một đường thẳng giữa hai mắt cá, chạy chéo so với xương chày. Gập mu bàn chân xảy ra ở khớp cổ chân khi bàn chân di chuyển về phía cẳng chân (ví dụ, khi nâng các ngón chân và bàn chân khỏi sàn) hoặc là cẳng chân di chuyển về phía bàn chân (ví dụ, khi hạ thấp người xuống với bàn chân cố định trên sàn nhà). Tầm vận động ở khớp cổ chân thay đổi với lực tải lên khớp.
- Tầm vận động gấp mu bàn chân bị hạn chế bởi tiếp xúc xương giữa cổ xương sên và xương chày, bao khớp và các dây chằng, và các cơ gấp lòng bàn chân. Tầm vận động gấp mu trung bình là 20°, dù dáng đi bình thường chỉ cần khoảng 10°. Khi ngồi xổm gấp mu có thể đạt hơn 40°.
- Gấp lòng bàn bị giới hạn bởi xương sên và xương chày, các dây chằng và bao khớp, và các cơ gấp mu. Tầm vận động trung bình của gấp lòng bàn chân là 50°, trong dáng đi bình thường tầm gấp lòng từ 20° đến 25°.

XEM VIDEO:
Khớp dưới sên (Subtalar Joint)
Khớp dưới sên, hoặc sên-gót, là khớp giữa xương sên và xương gót. Xương sên và xương gót là các xương chịu trọng lượng lớn của bàn chân và tạo thành bàn chân sau. Xương sên nối hai xương cẳng chân với bàn chân và được xem là viên đá đỉnh vòm của bàn chân. Xương gót mang lại một cánh tay đòn cho gân Achilles và phải đáp ứng được lực tải tác động lớn vào lúc đánh gót và các lực lượng cường độ lớn từ cơ bụng chân và cơ dép.
Xương sên khớp với xương gót ở ba mặt, trước, sau và trong, với mặt lồi của xương sên khớp với mặt lõm xương gót. Có 5 dây chằng mạnh và ngắn nâng đỡ khớp dưới sên, hạn chế vận động của khớp này.

Trục xoay của khớp dưới sên chạy xéo từ phía sau bên mặt lòng đến phía trước trong mặt mu xương sên. Trục xấp xỉ 42° ở mặt phẳng trán và 16° ở mặt phẳng ngang

Hình: Trục xoay của khớp dưới sên chạy chéo từ sau bên dưới ra trước trong trên.
Vận động của khớp dưới sên (Vặn trong- vặn ngoài):
Vặn trong và vặn ngoài của khớp dưới sên có thể đo được bằng góc tạo thành giữa cẳng chân và xương gót. Vặn trong khớp dưới sên có thể từ 20°đến 30°. Vặn trong sẽ giảm đáng kể ở những người bị thoái hóa khớp cổ chân. Vặn ngoài trung bình khoảng 4-5°. Hầu hết bệnh nhân viêm khớp, vặn ngoài quá mức xương gót tạo nên biến dạng bàn chân sau vẹo ngoài.
Hình: Quay sấp và ngửa ở tư thế không chịu trọng lượng (trên) và chịu trọng lượng (dưới).
Vận động xảy ra theo ba mặt phẳng và được gọi là quay sấp và quay ngữa.
Quay sấp: xảy ra trong một hệ thống chuỗi mở với bàn chân hở mặt đất, bao gồm vặn ngoài (mặt phẳng trán) xương gót, dạng (mặt phẳng ngang), và gập mu bàn chân (mặt phẳng trước sau).
Quay ngửa: ngược với quay sấp, với gót vặn trong (mặt phẳng trán), khép (mặt phẳng ngang) và gập lòng (mặt phẳng trước sau) ở tư thế không chịu trọng lượng.

Chức năng chính của khớp dưới sên là hấp thụ sự xoay của chi dưới trong thì tựa của dáng đi. Với bàn chân cố định trên bề mặt và xương đùi và xương chày xoay trong vào lúc bắt đầu của thì tựa và xoay ngoài vào cuối thì tựa, khớp dưới sên hấp thụ sự xoay qua các hoạt động đối nghịch quay sấp và quay ngữa. Khớp dưới sên hấp thụ sự xoay bằng cách hoạt động như một bản lề sửa đổi, cho phép xương chày xoay trên một bàn chân chịu trọng lượng.
Chức năng thứ hai của khớp dưới sên là hấp thụ sốc. Điều này cũng có thể được thực hiện bằng cách quay sấp. Các vận động khớp dưới sên cũng cho phép xương chày xoay trong nhanh hơn so với xương đùi, tạo điều kiện mở khóa ở khớp gối.
Khớp giữa bàn chân (Midtarsal Joint)

Trong các khớp còn lại ở bàn chân, khớp giữa bàn chân (hoặc ngang bàn chân) có ý nghĩa chức năng lớn nhất. Nó thực sự bao gồm hai khớp, khớp gót-hộp ở mặt ngoài và khớp sên-ghe ở mặt trong bàn chân. Kết hợp lại, chúng tạo thành một khớp hình chữ S với hai trục, chéo và dọc. Có năm dây chằng nâng đỡ vùng này của bàn chân. Chuyển động tại hai khớp này góp phần vào vặn trong (inversion) và vặn ngoài (eversion), dạng và khép, gập mu và gập lòng ở các khớp cổ chân và dưới sên.
Vận động ở khớp giữa bàn chân phụ thuộc vào vị trí khớp dưới sên. Khi khớp dưới sên ở tư thế quay sấp, hai trục của khớp giữa cổ chân song song, mở khóa khớp, tạo nên tăng vận động ở bàn chân (như trong giai đoạn chạm gót và bàn chân bằng của dáng đi). Điều này cho phép bàn chân rất di động để hấp thụ lực sốc khi tiếp xúc với mặt đất và cũng thích ứng với các bề mặt không bằng phẳng.
Khi khớp dưới sên quay ngửa, hai trục chạy qua khớp giữa cổ chân hội tụ, khóa khớp lại và tạo nên độ cứng của bàn chân cần thiết cho tạo lực hiệu quả trong giai đoạn sau của thì tựa (tạo một đòn bẩy cứng).

Hình: Khớp ngang bàn chân cho phép quay sấp và ngữa khi đứng ở mặt phẳng gồ ghề

Hình: Hai trục xoay của hai khớp ngang bàn chân. Khi hai trục xoay song song, bàn chân di chuyển tự do. Khi hai trục không song song, bàn chân bị khóa cứng, xảy ra khi quay ngửa.
Các khớp khác của bàn chân
Các khớp khác của bàn chân giữa là các khớp trượt, với vận động trượt và xoay nhỏ.
Bàn chân trước gồm các xương bàn ngón và xương ngón chân cùng với các khớp giữa chúng. Chức năng của bàn chân trước là duy trì vòm ngang giữa bàn chân, vòm dọc trong, và giữ sự linh hoạt của xương bàn ngón thứ nhất.
Mặt phẳng của bàn chân trước ở đầu xương bàn ngón được tạo bởi các xương bàn ngón thứ hai, thứ ba, và thứ tư. Mặt phẳng này vuông góc với trục dọc của gót chân trong sự chỉnh thẳng bàn chân trước bình thường. Đó là vị trí trung gian của bàn chân trước. Nếu mặt phẳng này bị nghiêng vào trong (mặt trong nâng lên) thì gọi là bàn chân trước ngửa hoặc varus, ngược lại nếu mặt phẳng nghiêng ra ngoài gọi là bàn chân trước sấp hoặc valgus. Nếu xương bàn ngón thứ nhất nằm dưới mặt phẳng của các xương bàn đốt kế cận, gọi là hàng đầu gập lòng, thường kết hợp với bàn chân hõm.
Khớp cổ- bàn chân (tarsometatarsal joint, TMT):
Là các khớp trượt, cho phép chuyển động hạn chế giữa các xương chêm, xương hộp với các xương bàn ngón.
Các vận động khớp cổ-bàn chân thay đổi hình dạng của vòm ngang bàn chân. Khi xương bàn ngón chân thứ nhất gập và dạng và xương bàn đốt thứ năm gập và khép, vòm sâu hơn hoặc tăng độ cong. Tương tự như vậy, nếu xương bàn ngón thứ nhất duỗi và khép và xương bàn ngón thứ năm duỗi và dạng, vòm bẹt xuống.
Gấp và duỗi ở các khớp cổ- bàn chân cũng góp phần vào động tác vặn trong và vặn ngoài của bàn chân. Khớp giữa xương chêm đầu và xương bàn ngón thứ nhất vận động nhiều, cho phép xương bàn ngón thứ nhất chịu trọng lượng và tạo lực đẩy tới. Các khớp cổ- bàn chân được làm vững bởi các dây chằng mu chân trong và ngoài.
Các khớp bàn –ngón chân (metatarsophalangeal joint, MTP):
Là khớp hai trục, cho phép gập duỗi và dạng khép. Những khớp này chịu tải trong giai đoạn đẩy tới của dáng đi sau nhấc gót chân và bắt đầu gấp lòng bàn chân, gấp các ngón chân. Duỗi ngón chân nhiều hơn ngón tay do đòi hỏi của giai đoạn đẩy tới của dáng đi.
Các khớp gian đốt ở bàn chân (interphalangeal joints, IP)
Các khớp này tương tự bàn tay, là khớp một trục cho phép gấp duỗi ngón chân. Các ngón chân ít chức năng hơn ngón tay bởi vì chúng thiếu một cấu trúc đối diện như ngón tay cái.
CÁC CUNG (VÒM) CỦA BÀN CHÂN
Các xương cổ chân và bàn ngón tạo nên ba vòm, hai vòm chạy theo chiều dọc và một vòm chạy ngang bàn chân. Cơ cấu này tạo nên một hệ thống hấp thụ sốc đàn hồi. Khi đứng, một nửa trọng lượng được chịu bởi gót chân và một nửa bởi các xương bàn ngón ở trước với một phần ba trọng lượng này là ở xương bàn ngón thứ nhất.

- Vòm dọc bên ngoài (lateral longitudinal arch) được hình thành bởi xương gót, xương hộp, xương bàn ngón thứ tư và thứ năm. Vòm này tương đối bằng phẳng và ít di động. Bởi vì nó thấp hơn so vòm dọc trong, vòm ngoài có thể chạm đất và chịu một phần trọng lượng trong vận động, do đó đóng vai trò nâng đỡ trong bàn chân.
- Vòm dọc trong (medial longitudinal arch)chạy từ xương gót đến xương sên, ghe, chêm và ba xương bàn ngón đầu tiên. Nó linh hoạt và di động hơn so với vòm ngoài và đóng một vai trò quan trọng trong việc hấp thụ lực sốc khi tiếp xúc với mặt đất. Mặc dù vòm dọc trong thay đổi khi vận động, nó thường không chạm đất, trừ khi một người có bàn chân phẳng chức năng. Vòm dọc trong được nâng đỡ bởi xương sên, dây chằng gót- sên, dây chằng dọc gan chân, và mạc gan chân (fascia plantar), một mạc xơ dày cày từ xương gót đến khớp bàn- ngón chân.
- Vòm ngang (transverse arch) được tạo bởi các xương cổ chân nêm vào và nền các xương bàn ngón. Các xương hoạt động như các thanh xà nâng đỡ vòm này, dẹt xuống khi chịu trọng lượng và có thể chịu ba đến bốn lần trọng lượng cơ thể.
- Dựa vào chiều cao của vòm trong có thể chia làm bàn chân bình thường, hõm (vòm cao) và bẹt (bàn chân bằng). Bàn chân hõm có phần giữa bàn chân không chạm đất, có khả năng hấp thu lực kém. Ngược lại, bàn chân bẹt, thường tăng vận động, có mặt lòng bàn chân tiếp đất nhiều nhất và làm yếu mặt trong. Loại bàn chân này thường kết hợp với quay sấp quá mức suốt thì tựa của dáng đi.

Hình: Ba vòm/cung bàn chân được tạo bởi các xương cổ chân và bàn ngón.

Hình: Mạc gân chân nâng đỡ các vòm gan chân và bảo vệ các cấu trúc trong bàn chân.
LỰC TÁC ĐỘNG LÊN CÁC KHỚP CỔ CHÂN VÀ BÀN CHÂN
Cổ chân và bàn chân phải chịu lực nén và lực xé đáng kể trong cả đi và chạy. Khi đi, lực thẳng đứng 0,8 đến 1,1 lần trọng lượng cơ thể tác động vào gót chân. Độ lớn của lực này giảm xuống còn khoảng 0,8 lần trọng lượng cơ thể ở giữa thì tựa đến 1,3 lần trọng lượng cơ thể lúc nhấc ngón. Lực này cùng với lực co của các cơ gập lòng bàn chân sẽ tạo ra một lực nén ở cổ chân.
Khi đi, lực nén ở khớp cổ chân có thể cao gấp 3 lần trọng lượng cơ thể khi đánh gót chân và 5 lần trọng lượng cơ thể khi nhấc ngón. Lực xé từ 0,45 đến 0,8 lần trọng lượng cơ thể chủ yếu là do lực xé được hấp thụ từ mặt nền và tư thế của bàn chân so với cơ thể. Khi chạy, lực khớp cổ chân cao nhất được dự đoán là từ 9 đến 13,3 lần trọng lượng cơ thể. Lực gân Achilles cao nhất có thể nằm trong khoảng 5,3 đến 10 lần trọng lượng cơ thể. Khớp cổ chân phải chịu những lực tương tự như khớp háng và khớp gối. Điều ngạc nhiên là khớp cổ chân rất ít bị thoái hóa khớp. Điều này có thể một phần là do bề mặt chịu trọng lượng lớn ở cổ chân, giúp giảm áp lực lên khớp.
Khớp dưới sên chịu lực tương đương 2,4 lần trọng lượng cơ thể, do xương sên là nền tảng của bàn chân. Trong khi đi, các lực tác dụng lên bàn chân từ mặt nền thường được tác động lên mặt ngoài của gót chân, di chuyển ở mặt ngoài đến xương hộp, và sau đó truyền đến dãy khớp cổ bàn chân hai và ngón cái khi nhấc ngón. Lực tác động khi chạy lớn hơn hai lần so với lực lượng khi đi bộ. Lực tải cao và tư thế bàn chân quá mức có thể gây nên một số tình trạng bệnh lý như hình vẽ (u thần kinh Morton, viêm cân gan chân, gai xương gót…).

LIÊN HỆ LÂM SÀNG: VIÊM CÂN GAN CHÂN
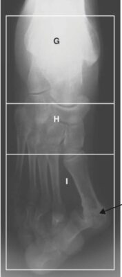
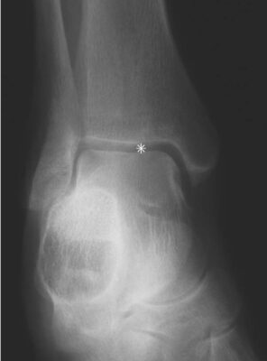
LIÊN HỆ X QUANG




Ghi chú chữ viết tắt:
- G = Hindfoot; Bàn chân sau
- H = Midfoot; Bàn chân giữa
- I = Forefoot; Bàn chân trước
- A = Ankle; Cổ chân
- C = Calcaneus; Xương gót
- Cu = Cuboid; Xương hộp
- T = Talus; Xương sên
- N = Navicular; Xương ghe
- S =Spur; gai xương (gót)
- MT = Metatarsal; xương bàn
Xem tiếp Phần 2: Giải phẫu chức năng cổ chân và bàn chân: Cơ và hoạt động cơ
Xem thêm: Video giải phẫu bàn chân






