Cột sống hoạt động như một thanh đàn hồi được sửa đổi, vừa đảm bảo sự nâng đỡ vững chắc vừa có tính linh hoạt. Cột sống là một cấu trúc phức tạp, kết nối với đầu, chi trên và chi dưới và cho phép các bộ phận này vận động và phối hợp.
Có 33 đốt sống trong đó 24 đốt có thể di chuyển được và góp phần vào các vận động của thân mình. Nhìn từ trước ra sau, cột sống là một đường thẳng. Nhìn từ hướng bên, các đốt sống tạo thành bốn đường cong sinh lý, làm gia tăng sự nâng đỡ cột sống giống như lò xo khi chịu tải (gấp 10 lần so với thanh thẳng).
Bảy đốt sống cổ tạo thành một đường cong lồi về phía trước của cơ thể. Đường cong này phát triển khi trẻ nhỏ sau sinh bắt đầu nhấc đầu lên, giúp nâng đỡ đầu. 12 đốt sống ngực tạo thành một đường cong lồi về phía sau của cơ thể. Độ cong ở cột sống ngực có từ khi trẻ mới sinh. Năm đốt sống thắt lưng tạo thành một đường cong lồi/ưỡn về phía trước, hình thành để đáp ứng với chịu trọng lượng và chịu ảnh hưởng của tư thế xương chậu và chi dưới. Đường cong cuối cùng là đường cong xương cùng, được tạo thành bởi sự dính lại của năm đốt sống cùng và bốn hoặc năm đốt sống cụt.

Chỗ giao nhau giữa hai đường cong thường là nơi có tính di động cao và cũng dễ bị chấn thương. Các “vùng bản lề” này là vùng cổ- ngực, vùng ngực- thắt lưng và vùng thắt lưng – cùng. Ngoài ra, nếu các đường cong của cột sống cong nhiều hơn thì cột sống sẽ di động hơn, và nếu các đường cong này phẳng, cột sống sẽ cứng hơn. Các vùng cổ và thắt lưng của cột sống là vùng di động nhất, và các vùng ngực và vùng chậu ít di động hơn.
Bên cạnh đem lại sự nâng đỡ và tính linh hoạt cho thân mình, cột sống có nhiệm vụ chính là bảo vệ tủy sống. Tủy sống chạy dọc qua các đốt sống trong một đường ống gọi là ống sống được tạo thành bởi thân, cung sống, đĩa đệm và dây chằng (như dây chằng vàng). Các dây thần kinh ngoại biên đi ra qua các lỗ gian sống ở mặt bên của đốt sống và phân bố theo các khoanh khắp thân thể.
Xem thêm: Giải phẫu chức năng thần kinh: Tuỷ sống
XƯƠNG
Đốt sống
Các đốt sống tuy khác với nhau về kích thước và hình dạng nhưng đều có những phần chung (trừ C1 và C2 sẽ được trình bày riêng)
Các phần của một đốt sống điển hình như sau:
Thân (Body)
Tạo thành chủ yếu là một khối xương xốp hình trụ, là phần trước của đốt sống và là cấu trúc chịu trọng lượng chính (ngoại trừ C1). Từ C3 đến S1, thân có kích thước tăng dần.
Cung sống (vertebral arch)
Còn được gọi là cung thần kinh (neural arch), là phần sau của đốt sống với nhiều phần.
- 2 Cuống sống (Pedicle): Phần của cung sống ngay sau thân đốt sống và trước bản cung.
- 2 Bản cung (Lamina): Phần sau của cung sống, hình cong dẹt, nối với cuống cung ở trước và nối hai bên với nhau ở đường giữa
- 2 Mỏm ngang (Transverse process): Tạo thành ở chỗ nối giữa cuống cung và bản cung, hướng ra ngoài để cơ và dây chằng bám vào.
- 1 Mỏm gai (Spinous process): Phần lồi ra sau của cung sống; nằm ở chỗ nối hai bản cung. Là điểm bám của nhiều cơ và dây chằng và có thể sờ thấy dọc phía sau cột sống.
- 4 Mỏm khớp (Articular process): Phần nhô lên trên (mỏm khớp trên) và xuống dưới của mặt sau mỗi bản cung, tạo thành mỏm khớp trên và mỏm khớp dưới. Mỏm khớp trên hướng ra sau hoặc vào trong, trong khi mỏm khớp dưới hướng ra trước hoặc ra ngoài.


Một số thuật ngữ giải phẫu khác của đốt sống:
- Các khía đốt sống (Vertebral notches): Các khía lõm ở mặt trên và mặt dưới của cuống cung. Khi kết hợp hai đốt sống sẽ tạo thành lỗ gian sống (lỗ ghép, lỗ liên hợp) để rễ thần kinh đi ra.
- Lỗ sống (Vertebral foramen): được tạo thành bởi thân phía trước và cung sống phía sau, qua đó tuỷ sống đi qua. (Nhiều lỗ sống của các đốt sống tạo thành ống sống).
- Lỗ ngang (Transverse foramen): Các lỗ ở mỏm ngang của đốt sống cổ có động mạch đốt sống đi qua.
- Diện nhỏ (facet): còn gọi là diện nhỏ xương sườn, nằm ở phía trên và dưới hai bên của thân và ở mỏm ngang của các đốt sống ngực, là nơi tiếp khớp của xương sườn với đốt sống (đôi khi là nửa diện nhỏ/demifacet).

(Phân biệt với facet joint, khớp giữa mỏm khớp trên của đốt sống dưới với mỏm khớp dưới của đốt sống trên)
Phức hợp chẩm – đội- trụ
Hai đốt C1 và c2 có cấu trúc khác với các đốt sống còn lại và liên kết với xương chẩm của hộp sọ tạo nên phức hợp chẩm- đội – trụ (hoặc bản lề cổ-chẩm, cổ cao) sẽ được mô tả riêng dưới đây:
Xương chẩm (Occipital bone)
Tạo thành phần sau dưới của hộp sọ. Phía sau có ụ chẩm (Occipital protuberance), đường gáy (nằm ngang sau đầu là nơi bám của các cơ gáy). Phần đáy chẩm có lỗ lớn qua đó tuỷ sống thông lên hộp sọ, các lồi củ chẩm nằm hai bên lỗ lớn là mặt khớp với C1.

Đốt đội (Atlas/ C1)
Đốt sống cổ đầu tiên hình nhẫn, không có thân và mỏm gai. Hộp sọ tựa vào xương này (qua xương chẩm) vì thế xương có tên gọi là atlas theo tên thần Titan trong thần thoại Hy Lạp đã đội quả đất lên đầu.

Đốt trục (Axis/C2)
Đốt sống cổ thứ hai có hình như con ngỗng, được gọi là đốt trục vì nó tạo một trục xoay cho đốt đội qua một cấu trúc gọi là mỏm nha (dens). Mỏm nha xuất phát ở giữa mặt trên của thân nhô lên, cao khoảng 15mm. Trên cùng mỏm nha gọi là đỉnh nha, mặt trước của đỉnh nha có diện khớp tiếp khớp với hõm khớp của mặt sau cung trước đốt đội và mặt sau đỉnh nha có diện khớp tiếp khớp với dây chằng ngang.

Xương cùng và Xương cụt

XEM VDIEO:
CÁC KHỚP VÀ DÂY CHẰNG
Các khớp của phức hợp chẩm- đội- trục (C0-C1-C2)
Khớp chẩm – đội (atlanto occipital joint/ C0-C1)
Là khớp hoạt dịch, cấu thành bởi lồi cầu xương chẩm và diện khớp trên của đốt đội, các diện khớp lõm của đốt đội vừa khít với các lồi cầu. Khớp này cho phép vận động cúi ngửa khoảng 13 độ, nghiêng hai bên khoảng 8 độ. Không có cử động xoay ở khớp này.

Các khớp đội-trục (atlantoaxial joints, C1-C2)
Có 3 khớp hoạt dịch giữa đốt đội và đốt trục gồm: khớp đội trục giữa và hai khớp đội trục bên đảm bảo 50 % chức năng vận động xoay của cột sống cổ.
- Khớp đội-trục giữa: khớp hoạt dịch giữa mỏm nha của đốt trục và cung trước của đốt đội ở phía trước và dây chằng ngang ở phía sau.
- Hai khớp đội-trục bên: Là khớp hoạt dịch phẳng giữa diện khớp trên đốt trục với diện khớp dưới đốt đội.

Khớp giữa các đốt sống (từ C2-S1)
Đơn vị chức năng của cột sống, gọi là đoạn vận động (motion segment) là giống nhau về cấu trúc suốt cột sống (trừ C1 và C2 được trình bày ở trên). Đoạn vận động gồm hai đốt sống kề nhau và một đĩa đệm ở giữa. Đoạn vận động có thể chia thành phần trước với khớp bán động giữa hai thân đốt sống và phần sau với hai khớp hoạt dịch ở hai bên, gọi là khớp diện nhỏ (facet joint), khớp gian mỏm (apophyseal hoặc zygapophyseal joint), hoặc khớp gian đốt sống (intervertebral joint).
(Ghi chú: zygapophyses (từ Hy lạp ζυγον = “yoke”/”cái đòn ách” (vì nó liên kết hai đốt sống) + απο = “away”/”xa” + φυσις = “process”/”mỏm, mấu”)

Khớp giữa thân các đốt sống: đĩa đệm
Giữa hai thân đốt sống kế nhau là một cấu trúc sụn xơ gọi là đĩa đệm. Có 23 đĩa đệm. Chức năng chính của chúng là hấp thụ và truyền sốc và duy trì sự linh hoạt của cột sống. Các đĩa đệm này chiếm khoảng 25% tổng chiều dài của cột sống. Mỗi đĩa đệm gồm vòng xơ và nhân nhầy .
- Vòng xơ (Annulus fibrosus): Phần ngoài của đĩa đệm gồm những vòng sụn xơ được xếp đồng tâm, nhằm mục đích giữ nhân nhầy.
- Nhân nhầy (Nucleus pulposus): là một khối cầu dạng gel ở trung tâm của đĩa đệm. Lúc sinh nhân nhầy gồm 80% đến 90% là nước, giảm đến ít hơn 70% vào tuổi 60.

Đĩa đệm vừa không có mạch máu và không có thần kinh chi phối, trừ một ít phân bố cảm giác ở lớp ngoài của vòng xơ. Vì thế, khi tổn thương đĩa đệm rất khó lành.
Các khớp facet (diện nhỏ)
Được tạo thành bởi sự khớp nối giữa các mỏm khớp trên của đốt sống dưới với mỏm khớp dưới của đốt sống trên. Mỗi khớp diện nhỏ là một khớp hoạt dịch có màng hoạt dịch và được bao bọc trong một dây chằng bao khớp. Mỗi đốt sống có hai mỏm khớp trên và hai mỏm khớp dưới. Do đó, mỗi đốt sống có liên quan đến hai khớp diện nhỏ. Các khớp diện nhỏ này, tuỳ theo hướng đối diện của chúng, xác định loại và mức độ vận động có thể có ở phần đó của cột sống.

Ở vùng thắt lưng, các mỏm nằm trong mặt phẳng đứng dọc (sagittal), trong khi ở vùng ngực, chúng nằm trong mặt phẳng trán. Do đó, hầu hết các động tác gập và duỗi của cột sống xảy ra ở cột sống thắt lưng, và hầu hết các vận động xoay và nghiêng bên xảy ra ở cột sống ngực. Xương sườn gắn vào đốt sống cũng góp phần làm giảm gập và duỗi của cột sống ngực. Bởi vì các mỏm khớp nằm theo đường chéo giữa mặt phẳng đứng dọc và mặt phẳng trán, cột sống cổ có thể vận động ở ba hướng.


Các dây chằng
Có nhiều dây chằng giữ các đốt sống lại với nhau.
- Dây chằng dọc trước (anterior longitudinal ligament) chạy dọc xuống cột sống trên mặt trước của thân đốt sống và ngăn ngừa quá duỗi.
- Dây chằng dọc sau (posterior longitudinal ligament) chạy dọc theo thân đốt sống ở phía sau bên trong các thân đốt sống. Mục đích của dây chằng dọc sau là để ngăn ngừa gập quá mức. Dây chằng dày hơn ở vùng cổ gáy giúp nâng đỡ hộp sọ, mỏng hơn ở phần thắt lưng làm vùng này ít vững và tăng chấn thương đĩa đệm ở vùng thắt lưng.
- Dây chằng trên gai (supraspinal ligament)kéo dài từ đốt sống cổ thứ bảy đến tận xương cùng phía sau dọc theo các đầu của mỏm gai.
- Dây chằng gian gai (interspinal ligament) chạy giữa các mỏm gai kế nhau. Dây chằng gáy rất dày (dây chằng nuchal) thay thế cho dây chằng trên gai và gian gai ở vùng cổ.
- Dây chằng vàng (ligamentum flavum) liên kết các bản cung liền kề ở phía trước.
- Ở vùng cổ, dây chằng gáy (nuchal ligament) dày hơn thay thế cho dây chằng trên gai và gian gai giúp làm vững đầu-cổ.


CÁC VẬN ĐỘNG KHỚP
Vận động chung
Toàn bộ cột sống được xem là có ba trục và do đó có vận động trong cả ba mặt phẳng.
- Gập, duỗi và quá duỗi xảy ra ở mặt phẳng đứng dọc với tầm 110° đến 140°, chủ yếu ở cổ và thắt lưng. Gấp của toàn bộ thân xảy ra chủ yếu ở thắt lưng qua 50-60° đầu tiên, và sau đó gấp nhiều hơn do nghiêng trước của xương chậu. Duỗi xảy ra theo trình tự ngược lại, nghiêng sau của xương chậu và sau đó là duỗi của thắt lưng.
- Nghiêng bên hoặc gấp bên xảy ra ở mặt phẳng trán với ROM khoảng 75 đến 85°, chủ yếu ở cổ và thắt lưng .
- Xoay xảy ra ở mặt phẳng cắt ngang với ROM 90°. Xoay tự do ở vùng cổ, và xoay ở vùng ngực và thắt lưng có sự kết hợp của nghiêng bên (như xoay phải kèm với một ít nghiêng bên trái). Thường xoay bị hạn chế ở vùng thắt lưng.
Các khớp diện nhỏ ở tư thế khớp khoá (close-packed position) khi duỗi, trừ C1-C2 ở tư thế khớp khoá khi gập.


Vận động từng vùng
Vùng cổ
Cột sống cổ có thể di chuyển tự do, nâng đỡ và đặt tư thế cho đầu, cho phép đầu tự do chuyển động trên cổ.
- Khớp chẩm- đội: chuyển động chính là gập và duỗi như động tác gật đầu đồng ý (gập khoảng 10° duỗi 15°).
- Khớp đội- trục: chuyển động xoay đầu trên cổ, như lắc đầu không đồng ý và là khớp di động nhất trong số các khớp cổ. Khớp này chiếm 50% chuyển động xoay ở đốt sống cổ.
Do mỏm gai ngắn, hình dạng của các đĩa đệm và hướng ra sau và hướng xuống của các mặt khớp, vận động ở vùng cổ lớn hơn các vùng khác của cột sống. Các đốt sống cổ có thể xoay khoảng 90°, nghiêng bên 20° đến 45°, gập 80° đến 90° và duỗi 70°. Xoay tối đa ở đốt sống cổ xảy ra ở C1-C2, nghiêng bên tối đa ở C2-C4, và gập và duỗi tối đa ở C1-C3 và C7-T1.
Một số vận động phối hợp đầu- cổ:
- Rút cằm (chin tuck): gập đầu trên C1 và duỗi cổ (C2-C7). Vận động kết hợp này đôi khi được gọi là duỗi trục (axial extension) hoặc kéo cổ ra sau (cervical retraction).
- Ngược lại, duỗi đầu trên C1 và gấp cổ (C2-C7) có thể được gọi là chìa cằm hoặc đưa cổ ra trước (cervical protraction).

Vùng ngực
Cột sống ngực ít cử động hơn nhiều so với vùng cổ và thắt lưng do gắn liền với khung xương sườn. Hình dạng của các thân đốt sống và chiều dài của các mỏm gai cũng hạn chế vận động của lồng ngực.
- Tầm vận động ở vùng ngực với gập và duỗi kết hợp là 3° đến 12°, vận động rất hạn chế ở vùng ngực trên (2° đến 4°) tăng lên ở vùng ngực dưới đến 20° tại chỗ nối ngực – thắt lưng
- Nghiêng bên cũng hạn chế ở các đốt sống ngực, dao động từ 2° đến 9°
- Xoay ở các đốt sống ngực trong khoảng từ 2° đến 9°.
Các đĩa đệm ở vùng ngực có tỷ lệ đường kính so với chiều cao lớn hơn bất kỳ vùng nào khác của cột sống. Điều này làm giảm lực ép lên cột sống ngực bằng cách phân tán lực ra bên ngoài của đĩa đệm. Vì vậy, chấn thương đĩa đệm ở vùng ngực không phổ biến như các vùng khác của cột sống.

Vùng thắt lưng
Tầm vận động lớn với gấp và duỗi, từ 8° đến 20° ở các mức đốt sống khác nhau. Nghiêng bên và xoay hạn chế ở mỗi đốt.
Tổng thể vận động vùng thắt lưng:
- gấp từ 52° đến 59°, duỗi 15° đến 37°,
- nghiêng bên từ 14° đến 26° và
- xoay từ 9° đến 18°.
Khớp thắt lưng-cùng là khớp di động nhất vùng thắt lưng, chiếm 75% gấp duỗi của vùng này (20% còn lại là L4-L5).
Vận động kết hợp giữa thân mình và xương chậu được gọi là nhịp thắt lưng- chậu (lumbopelvic rhythm) được bàn luận ở phần giải phẫu chức năng vùng chậu-hông.

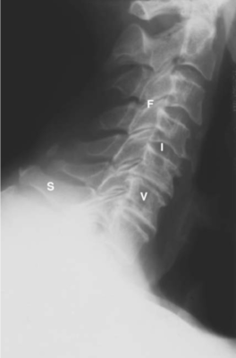
LIÊN HỆ HÌNH ẢNH HỌC
Cột sống cổ




Các chữ viết tắt:
- V = Vertebral body; thân đốt sống
- D = Intervertebral disc; đĩa gian sống
- Sc = Spinal cord; tuỷ sống
- S = Spinous process; mỏm gai
- N = Neural foramen; lỗ thần kinh
- P = Pedicle of vertebral arch; cuống cung
- I = Intervertebral disc space; khoảng đĩa đệm
- F = Facet joints; khớp diện nhỏ/facet
- T = T1 transverse process; mỏm ngang T1
Cột sống thắt lưng






Các chữ viết tắt:
- A = L2 vertebral body; thân đốt sống L2
- B = L3/4 disc space; khoảng đĩa đệm L3/4
- C = Spinous process; mỏm gai
- D = Transverse process; mỏm ngang
- DG = Dorsal root ganglion of L2 in intervertebral foramen
- E = Sacroiliac (S–I) joint; Khớp cùng -chậu
- ES = Erector spinae muscle; cơ dựng gai
- F = Articular facet; Diện khớp nhỏ
- ID = Intervertebral disc; đĩa đệm
- L = Lamina of vertebral arch; bản cung
- L5 = L5 vertebral body; thân đốt L5
- N = Nerve root; Rễ thần kinh
- PI = Pars interarticularis; Phần liên mỏm khớp (eo)
- PL = Pedicle; cuống cung
- S = Spinal canal, cauda equina (C); ống tuỷ, đuôi ngựa
- SI = Sacroiliac joint; Khớp cùng chậu
- V =Vertebral body; Thân đốt sống
Xem tiếp: Giải phẫu chức năng thân mình. Phần 2: Cơ và Hoạt động cơ






