Chức năng của phức hợp khuỷu bao gồm:
- Trợ giúp tính vận động của bàn tay trong không gian bằng cách :
- (i) làm ngắn và/hoặc kéo dài tay ;
- (ii) xoay cẳng tay;
- (iii) kết hợp cả hai vận động trên
- Cung cấp kiểm soát và sự vững cho các vận động kỹ năng của bàn tay và cho các vận động cần sức mạnh của chi trên
XƯƠNG
- Gồm 3 xương: xương cánh tay (đầu dưới), xương quay và xương trụ



- Đầu gần của Xương trụ lớn hơn nhiều đầu gần Xương quay
- Đầu xa Xương quay lớn hơn nhiều đầu xa Xương trụ
- Xương bả vai & xương cánh tay là các điểm bám (nguyên ủy) của các cơ gấp và duỗi khuỷu
- Xương trụ và Xương quay là các điểm bám tận của những cơ này
- Xương bả vai, xương cánh tay, & Xương trụ là nơi bám nguyên ủy cho các cơ sấp & ngữa của các khớp quay-trụ
- Điểm bám tận của các cơ vận động khớp quay-trụ nằm trên Xương quay
Một số hình ảnh khác:



XEM VIDEO:
CÁC KHỚP VÙNG KHUỶU- CẲNG TAY
- Hầu hết các vận động chi trên liên quan đến khớp khuỷu và các khớp quay-trụ
- Thường được nhóm với nhau vì có quan hệ giải phẫu gần gũi
- Các vận động khớp khuỷu khác với vận động ở các khớp quay-trụ
- Các vận động ở các khớp quay-trụ khác với vận động của cổ tay
Khớp khuỷu
Là Khớp bản lề: Chỉ cho phép gấp và duỗi
2 khớp liên hệ nhau: Khớp cánh tay –trụ: chính, Khớp cánh tay-quay(phụ)

Sự vững khớp:
- Khi khuỷu duỗi tối đa, mỏm khuỷu nằm trong hố khuỷu, làm gia tăng sự vững khớp khi duỗi tối đa.
- Khi khuỷu gấp >200, độ vững của khớp giảm, cho phép dịch chuyển sang hai bên.
- Độ vững ở tư thế gập phụ thuộc nhiều hơn vào dây chằng bên quay và bên trụ.
- Dây chằng bên trong , hay dây chằng bên trụ, bao gồm ba phần: đoạn trước, sau và ngang. Bó trước là thành phần mạnh nhất và nổi rõ nhất, trong khi bó sau là sự dày lên của phần sau của bao khớp và cung cấp sự ổn định ở góc gập 90 độ.
- Phức hợp dây chằng bên ngoài bao gồm dây chằng bên quay, dây chằng vòng quay (annular ligament), và dây chằng bên trụ ngoài (lateral ulnar collateral ligament). Dây chằng bên trụ ngoài đóng góp nhiều nhất vào sự ổn định ở mặt ngoài của khớp khuỷu. Tổn thương cấu trúc này có thể dẫn đến mất vững xoay sau ngoài.
- Các thành phần làm vững chính của khớp khuỷu bao gồm khớp cánh tay trụ, dải trước của dây chằng bên trong, và dây chằng bên trụ ngoài.



- Dây chằng bên trụ rất quan trọng bảo vệ bên trong, phòng ngừa dạng khuỷu khi bị lực tác động trong các hoạt động. Nhiều môn thể thao tiếp xúc và hoạt động gây sức ép lên mặt trong khớp, gây chấn thương.
- Dây chằng bên quay làm vững bên ngoài và ít khi bị chấn thương.
- Dây chằng vòng quay ôm quanh chỏm xương quay để giữ vững.
XEM VIDEO:
Khớp cẳng tay: quay -trụ (gần –xa)
Là khớp xoay (pivot)
- Đầu gần xương quay xoay quanh đầu gần xương trụ
- Đầu xa xương quay xoay quanh đầu xa xương trụ
- Dây chằng vòng giữ đầu xương quay trong khớp của nó
- Màng gian cốt tạo khớp nối giữa xương quay và xương trụ giữ hai khớp quay trụ gần và xa



VẬN ĐỘNG KHỚP
Các vận động khuỷu tay:
Chủ yếu là vận động giữa các mặt khớp xương cánh tay và xương trụ
- Ròng rọc xương cánh tay khớp (trochlea) với hõm ròng rọc (sigma lớn) xương trụ
- Chỏm quay tiếp xúc rất ít với capitulum xương cánh tay
Tầm vận động khuỷu: Duỗi 00 (hoặc quá duỗi 100) độ đến gấp 145 -1500

Các vận động cẳng tay:
Sự kết hợp hai khớp quay trụ cho động tác Sấp và Ngửa (thật ra là xoay trong và xoay ngoài).
Tầm vận động: Ngửa 80 – 90 độ, Sấp 70 – 90 độ

Các đặc điểm của vận động
Ba khớp của phức hợp khuỷu tay không phải tất cả đều đạt đến cùng một tư thế khớp khoá (close-packed) (tức là vị trí tiếp xúc bề mặt khớp và hỗ trợ dây chằng tối đa) tại cùng một điểm trong tầm vận động.
- Tư thế khớp khoá cho khớp cánh tay-quay đạt được khi cẳng tay gập đến 80° và ở tư thế sấp.
- Tư thế duỗi thẳng hoàn toàn là tư thế khớp khoá của khớp cánh tay-trụ. Do đó, khi khớp cánh tay-trụ vững nhất ở tư thế duỗi, khớp cánh tay-quay lại ở tư thế khớp chùng và ít vững nhất.
- Khớp quay-trụ gần ở tư thế khớp khoá ở tư thế nửa sấp, hỗ trợ cho thế khớp khoá của khớp cánh tay-quay.
Tầm vận động của khuỷu tay khi gấp và duỗi là khoảng 145° gấp chủ động, 160° thụ động, và 5° đến 10° quá duỗi. Vận động duỗi bị giới hạn bởi bao khớp và các cơ gấp. Nó cũng bị hạn chế ở đoạn cuối bởi tác động của xương trên xương với mỏm khuỷu (olecranon). Gấp bị giới hạn bởi mô mềm, bao khớp mặt sau, các cơ duỗi và sự tiếp xúc xương trên xương.
Hầu hết các hoạt động sinh hoạt hàng ngày cần gấp và duỗi khuỷu 100° đến 140° (tổng tầm vận động gấp là 30° đến 130°).
Tầm vận động sấp ngửa bị hạn chế bởi dây chằng, bao khớp, các cơ đối vận. Cần có khoảng 50° sấp và 50° ngửa để thực hiện hầu hết các hoạt động hàng ngày.
Góc mang
Hỏm ròng rọc xương trụ khớp với ròng rọc xương xương cánh tay.
Khi khuỷu duỗi, sự không đối xứng của ròng rọc làm cho xương trụ lệch ngoài một góc (valgus) gọi là góc mang, thay đổi từ 10° đến 15° ở nam và 15° đến 25° ở nữ. (Tương ứng với góc Q ở gối)

Khi gấp khuỷu, tư thế vẹo ngoài này giảm và đôi khi chuyển sang tư thế vẹo trong (varus) khi gấp tối đa.
Xem tiếp phần 2: Giải phẫu chức năng phức hợp cánh-cẳng tay: Cơ và hoạt động cơ
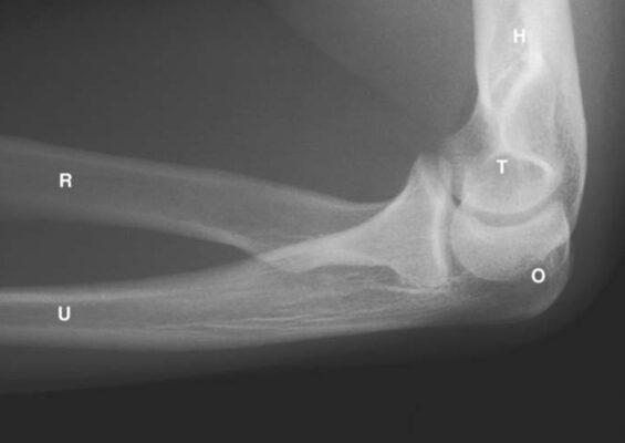
LIÊN HỆ X QUANG KHỚP KHUỶU


Ghi chú:
- H = Humerus; xương cánh tay
- O = Olecranon process of ulna; mỏm khuỷu xương trụ
- R = Radius; xương quay
- U = Ulna; xương trụ
- T = Trochlea of humerus; ròng rọc xương cánh tay
- M = Medial epicondyle of humerus; lồi cầu trong xương cánh tay
- C = Capitellum of humerus; chỏm con xương cánh tay
ÔN LẠI:






