Các thăm dò chẩn đoán hình ảnh đóng một vai trò quan trọng trong chẩn đoán và điều trị bệnh khớp. Một số bệnh khớp được chẩn đoán ban đầu qua khám lâm sàng, một số khác qua xét nghiệm, và một số bệnh khớp được chẩn đoán đầu tiên nhờ chẩn đoán hình ảnh (bảng 1).
| Thường được chẩn đoán dựa vào lâm sàng | Thường chẩn đoán bằng X quang |
|---|---|
| Viêm khớp nhiễm trùng (sinh mủ) | Thoái hoá khớp |
| Viêm khớp vẩy nến | Viêm khớp dạng thấp giai đoạn sớm |
| Gout | Bệnh lắng đọng Canxi pyrophosphate |
| Bệnh ưa chảy máu (Hemophilia) | Viêm cột sống dính khớp |
| Viêm khớp nhiễm trùng (lao) | |
| Bệnh khớp Charcot (do bệnh lý thần kinh) – giai đoạn muộn |
Bài viết sẽ trình bày phương pháp tiếp cận cơ bản để chẩn đoán bệnh khớp với hình ảnh học. Để dễ theo dõi, nội dung bài Chẩn đoán bệnh khớp này sẽ được chia làm hai post.
CẤU TẠO GIẢI PHẪU CỦA MỘT KHỚP
- Hình 1 minh hoạ sơ đồ của một khớp hoạt dịch điển hình và so sánh các cấu trúc quan sát được trên phim X quang thường quy và MRI.
- Vỏ khớp là một đường mỏng, màu trắng như trên phim chụp X quang thường quy nằm trong bao khớp và thường được phủ bởi sụn hyalin, gọi là sụn khớp. Xương ngay bên dưới vỏ khớp được gọi là xương dưới sụn.
- Lót trong bao khớp là màng hoạt dịch chứa dịch khớp. Màng hoạt dịch thường là cấu trúc bị ảnh hưởng sớm nhất trong viêm khớp.
- X quang thường quy sẽ cho thấy những bất thường của vỏ khớp và xương dưới sụn và sẽ cung cấp bằng chứng gián tiếp, muộn về tính toàn vẹn của sụn khớp. Trên phim chụp X quang thường quy, thường không nhìn thấy trực tiếp màng hoạt dịch, bao hoạt dịch và sụn khớp. Tuy nhiên, tất cả những cấu trúc này đều có thể nhìn thấy trên MRI.
- Trong khi MRI nhạy hơn để đánh giá trực tiếp các mô mềm trong và xung quanh khớp, chụp X quang thường quy vẫn là xét nghiệm hình ảnh được lựa chọn đầu tiên để đánh giá sự hiện diện của viêm khớp.



PHÂN LOẠI BỆNH KHỚP
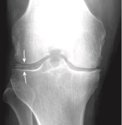
- Bệnh khớp có thể được định nghĩa là một bệnh ảnh hưởng đến khớp và thường ảnh hưởng đến đầu xương ở hai mặt của khớp, hầu như luôn đi kèm với hẹp khe khớp (Hình 2).
- Có thể chia viêm khớp thành ba nhóm bệnh chính (Hình 3; Bảng 25-2):
- Bệnh khớp phì đại (Hypertrophic arthritis) nói chung được đặc trưng bởi sự tạo xương tại (các) khớp ảnh hưởng. Sự tạo xương có thể xảy ra trong giới hạn của xương gốc (đặc xương dưới sụn/subchondral sclerosis) hoặc trồi ra khỏi xương gốc (gai xương/osteophyte) (xem Hình 3, A).
- Viêm khớp ăn mòn (Erosive arthritis) chứng tỏ tình trạng viêm gây nên và được đặc trưng bởi các tổn thương hủy xương nhỏ ở rìa xương, hình dạng không đều ở trong hoặc xung quanh bề mặt khớp được gọi là các ăn mòn (erosions) (xem Hình 3, B).
- Viêm khớp nhiễm trùng (Infectious arthritis) đặc trưng bởi sưng khớp, giảm mật độ xương, và phá hủy các đoạn vỏ khớp dài kế cận (xem Hình 3, C).
- Chúng ta sẽ xem xét một số loại viêm khớp phổ biến với những dấu hiệu đặc trưng về hình ảnh học trong ba nhóm bệnh khớp chính này.

Hình 2. Hình ảnh nào là viêm khớp? A, Có hẹp khe của khớp háng, và cả chỏm xương đùi và ổ cối đều bất thường (mũi tên trắng). Đây là bệnh thoái hóa khớp háng. B, Có bất thường chỏm xương đùi (đặc xương), nhưng khe khớp còn nguyên vẹn, cũng như ổ cối (mũi tên đen). Đây là hoại tử vô mạch của chỏm xương đùi.

BỆNH (VIÊM) KHỚP PHÌ ĐẠI
Bệnh khớp phì đại được đặc trưng bởi tạo xương và bao gồm:
- Thoái hóa khớp: nguyên phát và thứ phát
- Thoái hóa khớp ăn mòn
- Bệnh khớp Charcot (khớp do bệnh lý thần kinh)
- Bệnh lắng đọng Canxi pyrophosphate (CPPD, Calcium pyrophosphate deposition disease)
Thoái hóa khớp nguyên phát (còn được gọi là Bệnh khớp do thoái hóa – DJD)
- Đây là dạng bệnh khớp phổ biến nhất, là kết quả của sự thoái hóa nội tại của sụn khớp, chủ yếu là do lực tải cơ học ở các khớp chịu trọng lượng. Liên quan đến tuổi tác.
- Bệnh thường gặp ở khớp háng, gối, và bàn ngón tay (khớp liên ngón xa, gần, cổ-bàn ngón cái).
- Các dấu hiệu hình ảnh học của thoái hoá khớp:
- Tạo gai xương ở rìa khớp (Marginal osteophyte formation). Dấu hiệu đặc trưng của viêm khớp phì đại, sự biến đổi dạng trứng của các tổ chức sụn và sự chuyển sản của các tế bào lót hoạt dịch dẫn đến việc tạo ra các lồi xương này tại hoặc gần khớp.
- Đặc xương dưới sụn (Subchondral sclerosis). Đây là một phản ứng của xương với áp lực cơ học mà nó phải chịu khi lớp sụn bảo vệ của nó đã bị phá hủy.
- Các nang (ổ khuyết) dưới sụn (Subchondral cysts). Kết quả của nén ép kéo dài, hoại tử xương và / hoặc rò chất hoạt dịch vào xương dưới sụn, các nang có kích thước khác nhau hình thành trong xương dưới sụn.
- Hẹp khe khớp (Narrowing of the joint space). Gặp ở tất cả các dạng bệnh khớp.

Hình 4. Thoái hoá khớp. Các dấu hiệu nhận biết của bệnh thoái hóa khớp được minh hoạ ở khớp háng phải của bệnh nhân này. Có sự tạo gai xương ở rìa khớp (mũi tên trắng đặc), đặc xương dưới sụn (mũi tên đen đặc) và hình thành các nang dưới sụn (mũi tên đen chấm).

Hình 5. Thoái hóa khớp háng (A) và gối (B). Trong thoái hóa khớp, sự phá hủy của lớp sụn giữa các đầu xương dẫn đến hẹp khe khớp thường ở mặt chịu trọng lượng của khớp. A, Ở khớp háng, mặt trên và mặt ngoài chịu trọng lượng và do đó bị ảnh hưởng nhiều nhất (mũi tên trắng), trong khi ở gối (B), khoang trong chịu trọng lượng và bị ảnh hưởng nhiều hơn (mũi tên đen).

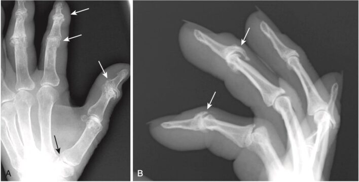
Hình 6. Thoái hóa khớp bàn tay. A và B, Ở bàn tay, thoái hóa khớp chủ yếu ảnh hưởng đến các khớp liên ngón xa (DIP) và sau đó là liên ngón gần (PIP). Có các gai xương ở DIP và PIP (mũi tên trắng), và các khe khớp bị hẹp (cả A và B). Ngoài ra còn có đặc xương dưới sụn hiện diện ở khớp cổ – bàn (CMC) của ngón cái (mũi tên đen). Thoái hóa khớp bàn tay thường xảy ra ở phụ nữ lớn tuổi.
Thoái hóa khớp thứ phát
- Thoái hóa khớp thứ phát là một dạng bệnh lý thoái hóa của khớp hoạt dịch do một yếu tố nguyên nhân làm dễ hoặc tổn thương khớp, dẫn đến tổn thương sụn khớp.
- Thường gặp nhất là chấn thương; một số nguyên nhân khác như là nhiễm trùng, hoại tử vô mạch, CPDD.
- Các dấu hiệu hình ảnh học của thoái hóa khớp thứ phát cũng giống như ở dạng nguyên phát, với một số đặc điểm gợi ý thoái hóa khớp thứ phát:
- Xảy ra ở độ tuổi không điển hình với bệnh thoái hóa khớp nguyên phát (ví dụ, 20 tuổi)
- Nó có biểu hiện không điển hình so với thoái hóa khớp nguyên phát (ví dụ: thoái hóa khớp nguyên phát thường là hai bên và thường đối xứng; những thay đổi về xương khớp nặng một bên (như khớp háng) mà bên đối diện hoàn toàn bình thường sẽ cảnh báo bạn về khả năng bị thoái hóa khớp thứ phát).
- Xuất hiện ở một vị trí bất thường đối với Thoái hóa khớp nguyên phát (ví dụ: khớp khuỷu) (Hình 7).
- Cuối cùng, bất kỳ bệnh khớp nào ảnh hưởng đến sụn khớp, bất kể nguyên nhân là gì, đều có thể dẫn đến những thay đổi của thoái hóa khớp thứ phát.

Hình 7. Thoái hóa khớp thứ phát ở khớp háng phải. Có sự khác biệt rõ rệt giữa hai khớp háng: trong khi háng bên phải bị thoái hóa khớp nặng (mũi tên đen) thì khớp háng bên trái tương đối bình thường (mũi tên trắng). Bệnh nhân này bị trượt chỏm xương đùi (SCFE) bên phải và chưa từng được chăm sóc điều trị.
Thoái hóa khớp ăn mòn
- Thoái hóa khớp ăn mòn (Erosive Osteoarthritis) là một dạng Thoái hóa khớp nguyên phát được đặc trưng bởi tình trạng viêm nặng nề hơn (sưng và đau) và bởi sự hình thành của các thay đổi ăn mòn ở các khớp bị ảnh hưởng. Thường gặp nhất là ở phụ nữ xung quanh thời kỳ mãn kinh.
- Thoái hóa khớp ăn mòn có thể có những thay đổi đối xứng hai bên như các gai xương như thoái hóa khớp nguyên phát, nhưng có biểu hiện bổ sung:
- Các ăn mòn thường nằm ở giữa trong khớp và kết hợp với các gai xương nhỏ, có thể tạo nên dấu hiệu gọi là biến dạng cánh mòng biển (gull-wing deformity) (Hình 8).
- Thoái hóa khớp ăn mòn thường xảy ra nhất ở các khớp liên ngón gần và xa của các ngón tay, khớp cổ -bàn ngón 1, và khớp liên ngón của cái.
- Có thể xảy ra tình trạng dính cứng khớp (bone ankylosis), một dấu hiệu ít gặp trong bệnh thoái hóa khớp nguyên phát.

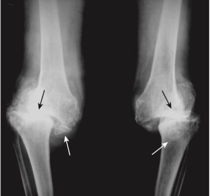
Hình 8. Thoái hóa khớp ăn mòn. Các dấu ăn mòn thường nằm ở trung tâm trong khớp (mũi tên đen) và kết hợp với các gai xương nhỏ (mũi tên trắng), tạo nên biến dạng cánh mòng biển.
Bệnh khớp Charcot (Khớp do bệnh lý thần kinh)
- Bệnh khớp Charcot xuất phát từ một rối loạn cảm giác, dẫn đến nhiều gãy xương nhỏ (microfractures), cũng như sự mất cân bằng hệ thần kinh tự chủ, dẫn đến sung huyết (hyperemia), tái hấp thu xương và phân mảnh (fragmentation) xương.
- Mặc dù khớp giảm phản hồi cảm giác, khoảng ¾ bệnh nhân bị khớp Charcot có dấu hiệu đau, dù không tương xứng với mức độ phá hủy khớp.
- Sưng nề mô mềm là một đặc điểm nổi bật.
- Nguyên nhân thường gặp nhất của khớp Charcot ngày nay là bệnh tiểu đường (trước đây giang mai thần kinh- tabes dorsalis, cũng là một nguyên nhân thường gặp và J.M. Charcot là người đầu tiên mô tả bệnh khớp này), và hầu hết các khớp Charcot đều gặp ở chi dưới, đặc biệt là ở bàn chân và cổ chân.
- Các dấu hiệu X quang ở bệnh khớp Charcot:
- Là một bệnh khớp phì đại, khớp Charcot có dấu hiệu đặc xương dưới sụn lan rộng.
- Tuy nhiên, những dấu hiệu đặc trưng của khớp Charcot là:
- Sự phân mảnh của xương bao quanh khớp, tạo ra nhiều mảnh xương nhỏ bên trong bao khớp. Đôi khi nhiều, nếu không phải toàn bộ, các mảnh xương này có thể được hấp thụ lại và không còn nhìn thấy được nữa (Hình 9).
- Cuối cùng là phá hủy khớp. Charcot là một ví dụ ấn tượng nhất về sự phá hủy toàn bộ khớp trong bệnh khớp (Hình 10).
- Một khớp Charcot có những dấu hiệu gần giống với bệnh viêm tủy xương, và cả hai đều tạo ra phản ứng phá hủy xương và phản ứng màng xương (từ lành xương). Chụp quét tế bào xương gắn đồng vị phóng xạ có thể giúp phân biệt nhiễm trùng với khớp Charcot.

Hình 9. Bệnh khớp Charcot ở khớp gối do bệnh tiểu đường. Dấu hiệu đặc trưng của khớp Charcot là sự phân mảnh của xương xung quanh khớp, tạo ra nhiều mảnh xương nhỏ trong bao khớp (mũi tên trắng) và phá hủy khe khớp (mũi tên đen).

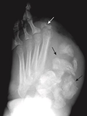
Hình 10. Bệnh khớp Charcot ở bàn chân. Bệnh nhân này trước đó đã được phẫu thuật cắt cụt ngón chân thứ hai (mũi tên trắng) vì hoại thư (gangrene) do tiểu đường, nhưng sự phá hủy và phân mảnh rõ rệt của ngón chân cái và các xương bàn chân là biểu hiện của bệnh thần kinh Charcot (mũi tên đen).
Bệnh Lắng đọng Calci Pyrophosphate (CPPD)
- Bệnh lắng đọng calci pyrophosphate (Calcium pyrophosphate deposition disease, CPPD) là một bệnh khớp do sự lắng đọng của các tinh thể calci pyrophosphat dihydrate trong và xung quanh khớp, chủ yếu ở sụn hyalin và sụn sợi (hoặc sụn xơ, fibrocartilage). Bệnh lý này đặc biệt phổ biến ở sụn sợi tam giác của cổ tay và sụn chêm của đầu gối.
- Một số thuật ngữ liên quan đến mô tả bệnh này có thể gây nhầm lẫn.
- Chondrocalcinosis (vôi hoá sụn) chỉ đề cập đến sự vôi hóa của sụn khớp hoặc sụn sợi và gặp ở khoảng 50% người lớn trên 85 tuổi, hầu hết trong số họ không có triệu chứng. Chondrocalcinosis có thể xảy ra trong các bệnh khác ngoài CPPD, chẳng hạn như cường cận giáp hoặc bệnh huyết sắc tố (hemochromatosis) (Hình 11).
- Giả gout (Pseudogout) là một hội chứng lâm sàng bao gồm một bệnh khớp cấp tính ở một khớp, đặc trưng bởi sưng, nóng, đỏ, đau khớp bị ảnh hưởng (thường gặp nhất là đầu gối) và dịch khớp được chọc hút có chứa các tinh thể canxi pyrophosphate dihydrate.
- Bệnh khớp Pyrophosphate là một chẩn đoán bằng X quang và là dạng thường gặp nhất của CPPD
- Bệnh khớp pyrophosphate có thể không thể phân biệt được với bệnh thoái hóa khớp nguyên phát nhưng có một số điểm khác biệt quan trọng (Hình 12):
- CPPD có thể liên quan đến các khớp thường không bị ảnh hưởng bởi thoái hoá khớp, chẳng hạn như khớp bánh chè- đùi ở gối, khớp cổ tay- quay, khớp bàn – ngón (MCP) của bàn tay và các khớp ở cổ tay.
- Vôi hoá sụn khớp thường gặp trong bệnh khớp Pyrophosphate nhưng không cần thiết để chẩn đoán.
- Các nang (khuyết) dưới sụn thường gặp hơn, lớn hơn, nhiều hơn và lan rộng hơn so với thoái hoá khớp nguyên phát.
- Lồi xương dạng móc câu (hook-shaped bony excrescences) dọc theo đầu xương bàn đốt ngón 2 và 3 là một dấu hiệu thường gặp (xem Hình 12, A).
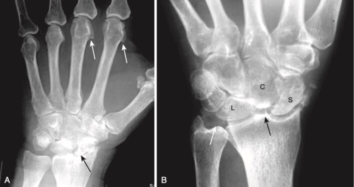
- Ở cổ tay, các dấu hiệu đặc trưng của CPPD bao gồm vôi hóa sụn sợi tam giác, hẹp khe khớp quay -cổ tay, tách xa xương thuyền và nguyệt hơn 3 mm (scapholunate dissociation, phân ly thuyền – nguyệt), và xẹp hàng dưới xương cổ tay về phía bên quay (scapholunate advanced collapse, sụp nặng khớp thuyền nguyệt) (xem Hình 12, B).

Hình 11. Chondrocalcinosis (Vôi hoá sụn). Chondrocalcinosis chỉ đề cập đến sự vôi hóa của sụn khớp (mũi tên trắng) hoặc sụn sợi và hầu hết không có triệu chứng. Nếu bệnh nhân này bị sưng, nóng, đỏ đau cấp tính, và hạn chế vận động khớp gối thì tình trạng này được gọi là giả gout.

Hình 12. Bệnh lắng đọng calci pyrophosphate. A, Lồi xương hình móc câu dọc theo đầu xương bàn ngón thứ 2 và thứ 3 (mũi tên trắng); Hẹp khớp quay – cổ tay (mũi tên đen). B, Ở cổ tay, những phát hiện đặc trưng gồm sự vôi hóa sụn sợi tam giác (mũi tên trắng), sự phân ly của xương thuyền (S, scaphoid) và xương nguyệt (L, lunate), và sự sụp của xương cả (C, capitate) về phía xương quay (mũi tên đen), được gọi là sụp nặng thuyền – nguyệt, SLAC).
Lược dịch có chỉnh sửa từ: Learning Radiology: RECOGNIZING THE BASICS. William Herring, MD, FACR.3rd EDITION. Elsevier Inc 2016.







