Xem thêm bài viết: TỰ HỌC CHẨN ĐOÁN HÌNH ẢNH: CHẨN ĐOÁN GÃY XƯƠNG
MỘT SỐ GÃY XƯƠNG ĐẶC BIỆT
Gãy Bong Mảnh Bám (Avulsion Fracture)
Avulsion (n): nhổ bật ra, giật mạnh ra.
- Giật mạnh là một cơ chế thường gặp của gãy xương, trong đó mảnh xương gãy (mảnh bong, avulsed fragment) bị nhổ bật ra khỏi xương gốc do sự co lại của gân hoặc dây chằng.
- Mặc dù gãy bong mảnh bám có thể xảy ra ở bất cứ lứa tuổi nào, loại gãy này đặc biệt phổ biến ở những người trẻ tuổi, chơi thể thao. Tên gọi của các gãy bong mảnh bám này cũng liên quan đến những hoạt động thể thao tạo ra chúng; như là, gãy xương của vũ công (dancer’s fracture), gãy xương của vận động viên trượt tuyết (skier’s fracture) và gãy xương của vận động viên chạy nước rút (sprinter’s fracture).
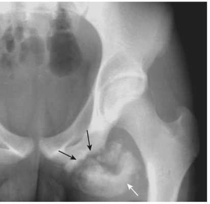
- Chúng xảy ra ở những vị trí có thể đoán trước về mặt giải phẫu, ở chỗ bám của gân cơ (Bảng 1) và các mảnh vỡ bong ra thường nhỏ (Hình 1).
- Đôi khi chúng lành với mô can xương dày đặc đến nỗi có thể bị nhầm với khối u xương (Hình 2).
| Mảnh bong | Cơ bám vào mảnh đó |
|---|---|
| Gai chậu trước trên (ASIS) | Cơ may (Sartorius) |
| Gai chậu trước dưới (AIIS) | Cơ thẳng đùi |
| Ụ ngồi (Ischial tuberosity) | Các cơ hamstring |
| Mấu chuyển bé xương đùi | Cơ Thắt lưng-chậu |


Gãy xương do mỏi (Stress Fractures)
- Gãy xương do mỏi xảy ra do nhiều gãy xương nhỏ (microfractures) do xương phải chịu các lực kéo và nén lặp lại.
- Mặc dù phim chụp X quang tiêu chuẩn thường là xét nghiệm hình ảnh học được thực hiện đầu tiên, nhưng ban đầu chúng có thể như bình thường ở 85% trường hợp gãy xương do mỏi. Vì thế, thông thường bệnh nhân kêu đau nhưng hình ảnh chụp X quang ban đầu xuất hiện bình thường.
- Gãy xương có thể không được chẩn đoán được cho đến khi xảy ra quá trình tạo xương mới ở màng xương hoặc có sự xuất hiện của một vùng xơ cứng mỏng, đậm đặc trong khoang tủy trong trường hợp gãy xương do mỏi đang lành ở xương xốp (Hình 3).
- Xạ hình bằng phóng xạ hạt nhân thường cho kết quả dương tính sớm hơn nhiều so với chụp X quang thông thường: trong vòng 6 đến 72 giờ sau chấn thương.
- Một số vị trí thường gặp đối với gãy xương do mỏi là thân của các xương dài như đầu trên xương đùi hoặc đầu trên xương chày, xương gót (calcaneus), và xương bàn đốt ngón chân thứ 2 và 3 (gãy xương hành quân, march fractures)

Gãy sụn tiếp hợp (bản sụn tăng trưởng) ở trẻ em
Nhắc lại cấu các phần của một xương dài đang phát triển và trưởng thành : đầu xương, bản tiếp hợp (sụn tăng trưởng), hành xương, thân xương (hình 4).

Phân loại Salter-Harris (Salter-Harris Classification of Epiphyseal Plate Fractures)
- Trong xương đang phát triển, tấm sụn tăng trưởng (sụn tiếp hợp) dễ bị tổn thương nhất với các lực xé ngang. Gãy sụn tiếp hợp rất thường gặp và chiếm tới 30% trường hợp gãy xương ở trẻ em.
- Phân loại Salter-Harris thường được sử dụng để mô tả các chấn thương tấm tăng trưởng này như vậy giúp xác định loại điều trị cần thiết và dự đoán trước khả năng xảy ra biến chứng dựa trên loại gãy xương (Hình 5).

- Loại I – gãy bản sụn đơn thuần
- Thường khó phát hiện nếu không có bên đối diện để so sánh.
- Tiên lượng tốt
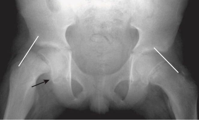
- Ví dụ: Trượt chỏm xương đùi (Slipped capital femoral epiphysis, SCFE):
- thường xảy ra ở trẻ trai cao và nặng, trong giai đoạn phát triển nhanh, do chấn thương, loạn dưỡng xương, và các bệnh nội tiết như là nhược giáp.
- Chỏm xương đùi trượt xuống dưới, vào trong và ra sau so với cổ của xương đùi (Hình 6).
- 25% trường hợp xảy ra hai bên, và có thể dẫn đến hoại tử vô mạch của chỏm xương đùi bị trượt vì sự cung cấp máu bị gián đoạn trong khoảng 15% trường hợp.
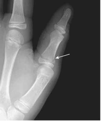
- Loại II – gãy bản sụn và hành xương (fracture of the epiphyseal plate and fracture of the metaphysis)
- Đây là loại gãy Salter-Harris phổ biến nhất (75%), đặc biệt là đầu dưới xương quay.
- Tiên lượng tốt, lành nhanh, hiếm khi ảnh hưởng sự tăng trưởng, ngoại trừ ở đầu dưới xương đùi và đầu trên xương chày có thể để lại một ít biến dạng.
- Mảnh gãy nhỏ ở hành xương tạo nên dấu hiệu góc (corner sign) (Hình 7).
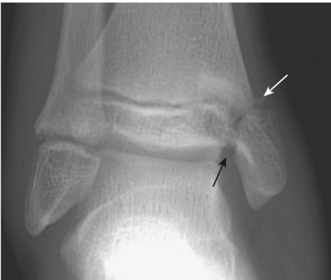
- Loại III – gãy bản sụn và đầu xương (fracture of the epiphyseal plate and the epiphysis)
- Gãy xương dọc xuyên qua đầu xương, nghĩa là đường gãy xâm nhập vào khoang khớp và làm gãy sụn khớp.
- Gặp ở đầu dưới xương chày
- Tiên lượng: ít khả quan
- Loại chấn thương này có thể là nguyên nhân của thoái hóa khớp thứ phát sau này, và có thể dẫn đến sự hợp nhất (dính) không đối xứng và sớm của bản tăng trưởng, dẫn đến biến dạng xương (Hình 8). Cần nhận biết sớm để điều trị kịp thời.
- Loại IV – gãy bản sụn, hành xương và đầu xương (fracture of the epiphyseal plate, metaphysis, and epiphysis)
- Gãy xương loại IV có tiên lượng kém hơn so với các gãy Salter-Harris khác (tức là đóng sớm và có thể không đối xứng của bản sụn tăng trưởng, đặc biệt là ở xương chi dưới có thể dẫn đến sự chênh lệch về chiều dài chi, biến dạng gập góc và thoái hóa khớp thứ phát) (Hình 9).
- Gặp ở đầu dưới xương cánh tay và đầu dưới xương chày
- Nếu gãy di lệch bên, thường cần mổ hở và cố định bên trong (ORIF, open reduction and internal fixation), dù vậy vẫn có thể bị các biến dạng tăng trưởng.
- Loại V – gãy đụng dập bản sụn (crush fracture of epiphyseal plate)
- Hiếm gặp, tiên lượng xấu nhất
- Gặp ở đầu xa xương đùi, đầu gần và đầu xa xương chày.
- Chấn thương kiểu đụng dập bản sụn, kèm với tổn thương mạch máu và hầu như luôn dẫn đến khiếm khuyết tăng trưởng do sự hợp nhất sớm của bản sụn tăng trưởng.
- Khó chẩn đoán trên X quang thông thường cho đến khi các biến chứng xảy ra về sau (Hình 9).
- Trong tiếng Anh, có một cách để dễ ghi nhớ phân loại là dùng từ SALTR:
- Salter I: S = Straight (đường gãy đi thẳng ngang qua tấm tăng trưởng)
- Salter II: A = Above (đường gãy mở rộng lên trên hoặc ra xa tấm tăng trưởng)
- Salter III: L = Lower (đường gãy mở rộng xuống dưới tấm tăng trưởng)
- Salter IV: T = Through (đường gãy kéo dài qua các đầu xương, tấm tăng trưởng, hành xương)
- Salter V: R = Rammed (tấm tăng trưởng đã bị nghiền nát)




Một số gãy xương có tên riêng
- Gãy Pouteau -Colles: gãy đầu dưới xương quay với đầu gãy di lệch gập góc mu tay, do ngã chống bàn tay (fall on the outstretched hand, FOOSH). Thường kèm theo gãy mỏm trâm trụ (ulnar styloid) (Hình 10).
- Gãy Smith: gãy đầu dưới xương quay với đầu gãy di lệch gập góc gan tay (đối ngược với gãy Pouteau-Colles). Nguyên nhân là do ngã lên mu bàn tay gập (Hình 11).
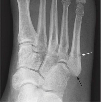
- Gãy Jones là một gãy ngang của xương bàn đốt chân ngón út cách nền xương khoảng 1 đến 2 cm, do gập lòng bàn chân và cổ chân vẹo trong. Gãy xương Jones thường lâu lành hơn so với gãy bong mảnh bám nền xương bàn đốt ngón chân út (là loại gãy thường gặp hơn, dancer’s fracture) (Hình 12).
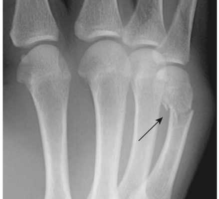
- Gãy xương của võ sĩ quyền anh (Boxer’s fracture): gãy cổ của xương bàn đốt ngón tay thứ 5 (ngón út) với di lệch gập góc về lòng bàn tay của đầu xa. Đôi khi cũng bị thêm xương bàn đốt ngón thứ 4. Gãy xương này thường do đấm tay vào người hoặc vào tường (Hình 13). Dù tên gọi võ sĩ quyền anh, những võ sĩ chuyên nghiệp thường không bị loại gãy này (lực đấm đúng thường tác động lên các xương đốt bàn ngón 2 và ngón 3 và xương quay).




MỘT SỐ GÃY XƯƠNG THƯỜNG GẶP
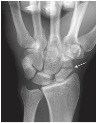
Gãy xương thuyền (Scaphoid fractures)
- Thường gặp
- Nghi ngờ gãy xương thuyền trên lâm sàng nếu đau ở hõm lào giải phẫu (anatomic snuff box) sau khi ngã chống tay.
- Tìm đường thấu quang mỏng trên phim (Tư thế xương thuyền: cổ tay duỗi 30⁰, nghiêng trụ 20⁰) (Hình 14).
- Gãy ngang eo xương thuyền có thể dẫn đến hoại tử vô mạch cực trên xương thuyền.
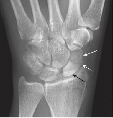
- Do đặc trưng phân bố mạch máu, gãy ngang eo xương thuyền ở cổ tay làm gián đoạn nguồn cung cấp máu đến cực trên, trong khi phần còn lại của xương cổ tay tiếp tục trải qua quá trình luân chuyển xương, mất khoáng. Kết quả là sự gia tăng tương đối rõ ràng về đậm độ xương của phần trên không được phân nuôi dưỡng so với phần còn lại của xương (Hình 15).


Gãy bánh bơ (Buckle fractures) xương quay và/hoặc xương trụ
- Thường gặp ở trẻ em
- Tìm kiếm sự gập góc đột ngột, nhọn của vỏ xương, đặc biệt là gần cổ tay (xem Hình 1, bài Chẩn đoán gãy xương). Đây là những gãy xương do va đập và thường lành nhanh chóng mà không bị biến dạng.
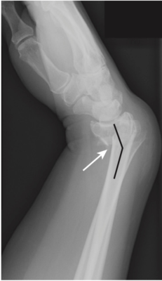
Gãy đài quay (chỏm xương quay, radial head fracture)
- Là gãy xương thường gặp nhất của khuỷu tay ở người lớn.
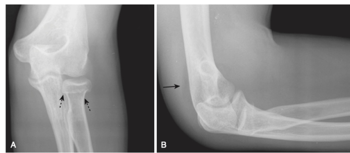
- Tìm kiếm dấu tăng sáng hình liềm của mỡ dọc bờ sau của đầu dưới xương cánh tay do lớp mỡ ngoài bao hoạt dịch, trong bao khớp (bình thường không nhìn thấy được) bị đẩy khỏi xương do máu tụ sau chấn thương – dấu hiệu đệm mỡ phía sau dương tính (Hình 16).
- Một dấu hiệu nữa là đường quay chỏm con, được vẽ qua trung tâm của cổ xương quay sẽ đi qua trung tâm của chỏm con xương cánh tay bất kể tư thế của người bệnh, vì bản lề của xương quay và chỏm con là cố định. Trong trật khớp, gãy chỏm xương quay, đường này sẽ không đi qua trung tâm của chỏm con (hình 17).


Gãy trên lồi cầu xương cánh tay ở trẻ em
- Đây là loại gãy xương ở khuỷu tay phổ biến nhất ở trẻ em. Hầu hết những gãy xương này tạo ra sự dịch chuyển ra sau của đầu dưới xương cánh tay.
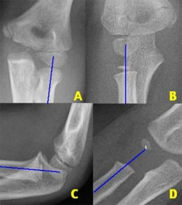
- Trên phim nghiêng, đường trước xương cánh tay (đường tiếp tuyến với vỏ xương cánh tay phía trước) bình thường sẽ chia đôi phần ba giữa của chỏm con (capitellum) xương cánh tay. Trong gãy trên lồi cầu cầu, đường này đi ra trước vị trí bình thường của nó (Hình 18).

Gãy cổ xương đùi ở người già
- Thường gặp và thường liên quan đến loãng xương
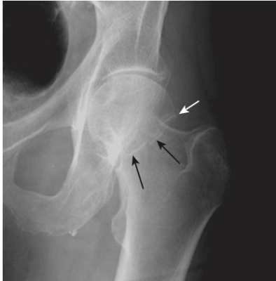
- Chụp X quang cổ xương đùi thường quy nên được thực hiện với chân của bệnh nhân ở tư thế xoay trong để hiển thị cổ ở dạng trực diện. Tìm dấu gập góc của vỏ xương hoặc các vùng có tăng đậm độ chứng tỏ có sự chồng lấn (Hình 19).
- Đôi khi gãy cổ xương đùi có thể rất khó nhận biết và cần phải chụp MRI hoặc scan xương bằng phóng xạ hạt nhân để chẩn đoán.

Ghi chú:
Với những trường hợp khó chẩn đoán, hãy tìm các dấu hiệu gián tiếp cho thấy khả năng bị gãy xương (Bảng 2).
| Dấu hiệu | Ghi chú |
|---|---|
| Sưng mô mềm | Thường đi kèm với gãy xương, nhưng nếu có thì không nhất thiết có nghĩa là đã bị gãy xương |
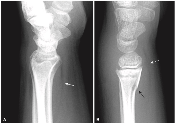
| Sự biến mất của các dải mỡ bình thường | Ví dụ như dải mỡ cơ sấp vuông (pronator quadratus) trên mặt lòng của cổ tay, có thể bị dịch chuyển do gãy đầu dưới xương quay (xem Hình 20). |
| Tràn dịch khớp | Ví dụ dấu hiệu đệm mỡ phía sau dương tính nhìn thấy ở mặt lưng của đầu dưới xương cánh tay do tràn dịch khớp do chấn thương (xem Hình 16, B). |
| Phản ứng màng xương | Đôi khi biểu hiện đầu tiên để biết được có gãy xương là lành xương, đặc biệt là với gãy xương do mỏi của bàn chân |

Lược dịch có chỉnh sửa từ: Learning Radiology: RECOGNIZING THE BASICS. William Herring, MD, FACR.3rd EDITION. Elsevier Inc 2016.






