TRƯỜNG HỢP LÂM SÀNG
Lượng giá chủ quan
Than phiền hiện tại
- Bệnh nhân nữ 74 tuổi
- Ngày thứ 3 sau phẫu thuật nội soi ổ bụng và giải dính
Bệnh sử
- Hiện tại đã cắt hồi tràng – không thải phân trong 48 giờ, nôn mửa và không uống nước đáng kể
Tiền sử
- Cắt ruột non và tạo nối thông hồi tràng 2 năm trước do thoát vị nghẹt
- COPD
- Bóc tách hạch nách phải
- Bệnh lao phổi trước đây
Bệnh sử xã hội
- Sống một mình, ở nhà, cần giúp việc nhà 3 lần/ngày, hút 10 điếu/ngày
Bệnh sử dùng thuốc
- Thuốc hít ventolin
- Thuốc hít seretide
Ghi chú bàn giao
- Ban đầu vào chăm sóc đặc biệt, đặt nội khí quản và thở máy.
- Đã rút nội khí quản ngày hôm qua và chuyển về đơn vị phụ thuộc cao (HDU, high dependency unit). Ổn định qua đêm, khó làm sạch chất tiết (đường thở).
Lượng giá khách quan
Sinh hiệu, tổng trạng
Mạch: 85 l/ph, Nhịp thở 16 lần/phút; Huyết áp BP 110/50, Nhiệt độ 36,5C, SpO2 89%
Tổng quát: bệnh nhân ngồi thẳng trên giường, trông ổn, nói chuyện thoải mái, khô miệng
Thần kinh trung ương (CNS)
- Thang điểm hôn mê Glasgow: 15 (GCS E4 V5 M6)
- Điểm đau VAS 3/10 khi nghỉ ngơi, 8/10 khi cử động/ho
- Sử dụng giảm đau tự kiểm soát (PCA) bằng morphin
- Noradrenalin 8 mL/giờ
Hô hấp
- Thông khí: Tự thở oxy qua mặt nạ, FiO2 0,28 qua mặt nạ tạo ẩm lạnh RR16
- Nhìn: lồng ngực căng phồng,
- Sờ: Lồng ngực giãn nở cân xứng, cảm giác dịch tiết hai bên ở các vùng trên
- Nghe: Âm thở khắp phế trường, ran nổ khô thì thở ra
Thận
- Bài tiết nước tiểu 50 mL/giờ
- Số dư tích lũy tính đến thời điểm hiện tại + 3,2L
Cơ xương khớp
- Không có gì đáng lưu ý
Cận lâm sàng
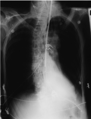
X quang ngực:
chụp trước khi rút nội khí quản (hình): Vẹo cột sống, xoay, căng phồng quá mức, không có tổn thương khu trú (hình)

Đo khí máu
H+ 36,35nmol/L; pCO2 5,91 kPa; pO2 7,42 kPa; HCO3– 28,2 mmol/L; BE+ 4,7.
Vi trùng học:
- Không có gì đáng lưu ý
CÂU HỎI VÀ GỢI Ý TRẢ LỜI
Câu hỏi
1. Mô tả ưu điểm và nhược điểm của phương pháp giảm đau do bệnh nhân kiểm soát (patient-controlled analgesia, PCA).
2. Xem xét X quang của bệnh nhân này (Hình trên), bạn có thể nhìn thấy được thiết bị/dụng cụ theo dõi nào?
3. Liệt kê (các) vấn đề vật lý trị liệu của bệnh nhân này.
4. Thông tin nào từ lượng giá đã dẫn bạn đến danh sách vấn đề này?
5. Từ thông tin lượng giá, nhà vật lý trị liệu nên đưa ra những gợi ý gì trước khi bắt đầu can thiệp vật lý trị liệu?
6. Kế hoạch điều trị ban đầu của bạn là gì?
7. Với tình trạng hiện tại và tiền sử của bệnh nhân này, bạn có thể cần thay đổi các phương pháp điều trị được thực hiện như thế nào?
8. Làm thế nào bạn biết liệu việc điều trị của bạn có hiệu quả hay không (các thước đo kết quả)?
9. Nếu kế hoạch điều trị ban đầu không thành công trong việc loại bỏ dịch tiết, bạn sẽ thay đổi điều trị của mình như thế nào?
Gợi ý trả lời:
1. Mô tả ưu điểm và nhược điểm của phương pháp giảm đau do bệnh nhân kiểm soát (patient-controlled analgesia, PCA).
- Thuận lợi:
- Bệnh nhân thực hiện giảm đau khi họ nhận thấy họ cần, thay vì phải yêu cầu và chờ nhân viên điều dưỡng thực hiện.
- Chức năng ‘Khóa’ trên bộ điều khiển ống tiêm đảm bảo rằng có một khoảng thời gian tối thiểu giữa các lần bơm thuốc. Mỗi lần bệnh nhân nhấn nút, một liều thuốc sẽ được cung cấp, trừ khi nó đang trong khoảng thời gian ‘khóa’.
- Cần hạn chế tình trạng buồn ngủ do sử dụng quá mức, hoặc nhạy với PCA vì bệnh nhân sẽ buồn ngủ, và do đó không bấm thiết bị.
- Nhược điểm:
- Nếu bệnh nhân không hiểu nguyên tắc tự dùng thuốc, việc giảm đau có thể không hiệu quả.
- Thiết bị cầm tay có thể khó sử dụng, ít phù hợp với những bệnh nhân bị yếu tay, ví dụ: viêm khớp.
- Ức chế hô hấp có thể xảy ra khi dùng thuốc giảm đau dạng thuốc phiện, đặc biệt nếu việc sử dụng thuốc được hỗ trợ bởi người thân.
- Ảo giác có thể xảy ra với thuốc giảm đau dạng thuốc phiện, điều này có thể dẫn đến việc bệnh nhân hạn chế sử dụng PCA, dẫn đến giảm đau không hiệu quả (nên xem xét thay thế thuốc giảm đau, ví dụ Tramadol).
- Bệnh nhân cũng có thể bị buồn nôn và nôn khi dùng thuốc giảm đau dạng thuốc phiện. Có thể dùng thuốc chống nôn.
2. Xem xét X quang của bệnh nhân này (Hình), bạn có thể nhìn thấy được thiết bị/dụng cụ theo dõi nào?
- Các đầu đo ECG
- Ống nội khí quản và lò xo của van bơm hơi vòng bít
- Đường truyền trung tâm (tĩnh mạch cảnh trong bên phải)
- Đầu dò Doppler thực quản
- Ống thông mũi dạ dày
- Clip giải phóng hạch nách.
3. Liệt kê (các) vấn đề vật lý trị liệu của bệnh nhân này.
- Ứ đọng chất tiết
- Giảm khả năng vận động sau phẫu thuật
- Vấn đề phối hợp – đau.
4. Thông tin nào từ lượng giá đã dẫn bạn đến danh sách vấn đề này?
- Ứ đọng chất tiết – ho ẩm, không hiệu quả (theo ghi chú bàn giao), nghe có tiếng ran thở ra thô, sờ thấy dịch tiết, khô miệng. Ngoài ra, bệnh nhân sau phẫu thuật, có tiền sử COPD, và tăng VAS do đau, tất cả đều là những yếu tố góp phần.
- Giảm khả năng vận động – không rời khỏi giường hoặc di chuyển kể từ khi phẫu thuật.
- Đau – VAS đáng kể khi nghỉ ngơi và vận động mặc dù có dùng thuốc giảm đau tự kiểm soát (PCA).
5. Từ thông tin lượng giá, nhà vật lý trị liệu nên đưa ra những gợi ý gì trước khi bắt đầu can thiệp vật lý trị liệu?
- Kiểm soát cơn đau – đây có thể là vấn đề bao trùm các vấn đề cụ thể của vật lý trị liệu hiện tại. Mức độ đau mà bệnh nhân đang gặp phải đang hạn chế khả năng ho/thở sâu hiệu quả, làm tăng nguy cơ xẹp phổi và ứ đọng dịch tiết. Tăng tiến di chuyển cũng sẽ bị cản trở, làm tăng nguy cơ huyết khối tĩnh mạch sâu (DVT) hoặc thuyên tắc phổi (PE). Nên tiến hành thảo luận với nhóm đa ngành/đau để thiết lập biện pháp giảm đau hiệu quả.
- Hạ oxy máu – vì bệnh nhân có pCO2 bình thường, có khả năng làm tăng FiO2. Cần lưu ý rằng bệnh nhân bị COPD, nếu tăng liệu pháp oxy, phải theo dõi các dấu hiệu ứ CO2, ví dụ: buồn ngủ, run rẩy (flapping tremor).
- Tạo ẩm – bệnh nhân hiện đang được điều trị bằng liệu pháp oxy ẩm lạnh. Khả năng mang độ ẩm của khí bị ảnh hưởng bởi nhiệt độ của nó. Khí càng ấm thì càng mang được nhiều hơi ẩm. Việc thay đổi bệnh nhân này từ hệ thống tạo ẩm lạnh sang hệ thống có sưởi ấm có thể giúp làm sạch dịch tiết, vì nhiều độ ẩm sẽ được khí ấm đưa vào đường thở.
- Mất nước – bệnh nhân bị khô miệng sẽ cản trở việc bài tiết dịch tiết. Lượng dịch đưa vào có thể bị hạn chế do phẫu thuật nhưng sẽ được cân bằng bằng dịch truyền tĩnh mạch. Chăm sóc miệng tốt (làm ướt bằng bọt biển, uống từng ngụm nước cho thoải mái) và có thể dùng máy phun sương nước muối sẽ phù hợp để giữ ẩm cho miệng.
XEM THÊM: HUYẾT KHỐI TĨNH MẠCH SÂU
6. Kế hoạch điều trị ban đầu của bạn là gì?
- Đảm bảo giảm đau đầy đủ.
- Đảm bảo đủ nước.
- Hỗ trợ ra khỏi giường để ngồi vào ghế.
- Hướng dẫn kỹ thuật thở chu kỳ chủ động (ACBT).
7. Với tình trạng hiện tại và tiền sử của bệnh nhân này, bạn có thể cần thay đổi các phương pháp điều trị được thực hiện như thế nào?
- Đau – đảm bảo thời gian can thiệp sao cho việc giảm đau đã được thực hiện, và có thời gian để điều trị trước hiệu quả. Bệnh nhân sử dụng PCA nên được khuyến khích sử dụng PCA này khi cần thiết.
- Bổ sung dịch – nên khuyến khích uống nước nhưng lưu ý rằng việc hạn chế chất dịch có thể được áp dụng như một phần của chế độ hậu phẫu.
- Vận động – chú ý các dây đính kèm (đường truyền nhỏ giọt, ống dẫn lưu, ống thông, dây cáp theo dõi), đảm bảo theo dõi bệnh nhân thích hợp để có thể nhanh chóng xác định những thay đổi đáng kể, ví dụ: hạ huyết áp tư thế. Lưu ý là bệnh nhân đang dùng noradrenaline để hỗ trợ huyết áp, điều này cũng có thể hạn chế mức độ vận động có thể được thực hiện.
- Hướng dẫn thở ra mạnh (FET) trong Kỹ thuật Thở CHu kỳ Chủ động (ACBT) có hỗ trợ vết thương ở bụng.
8. Làm thế nào bạn biết liệu việc điều trị của bạn có hiệu quả hay không (các thước đo kết quả)?
- Khạc ra dịch tiết
- Giảm/loại bỏ các âm thanh bất thường khi nghe phổi
- Giảm/loại bỏ các chất tiết sờ thấy được
- Cải thiện SpO2.
9. Nếu kế hoạch điều trị ban đầu không thành công trong việc loại bỏ dịch tiết, bạn sẽ thay đổi điều trị của mình như thế nào?
- Tăng tiến vận động – vận động thực sự, thay vì chỉ ngồi trên ghế, có thể có lợi trong việc hỗ trợ làm sạch dịch tiết do sự phân phối lại dịch tiết phế quản, cải thiện thể tích khí lưu thông và thường gây ho tự phát (với điều kiện tim mạch ổn định).
- Kết hợp các kỹ thuật bằng tay – rung thì thở ra trong thành phần giãn nở lồng ngực của ACBT có thể hữu ích để hỗ trợ lưu lượng thở ra và thanh thải bài tiết nếu giảm đau đủ. Tuy nhiên, phải xem xét rằng bệnh nhân có nguy cơ bị loãng xương (vì sử dụng steroid để điều trị COPD) cũng như bệnh di căn xương sườn và phổi do (vì cắt bỏ hạch nách trước đó).
- Giới thiệu IPPB – thở áp lực dương ngắt quãng, mang lại áp lực dương cho thì hít vào, tăng thể tích khí lưu thông. Do đó, nó có thể được chỉ định cho những bệnh nhân không thể thực hiện thành phần giãn nở ngực của ACBT một cách hiệu quả. Tuy nhiên, áp lực dương có thể làm giảm huyết áp do khả năng giảm hồi lưu tĩnh mạch nên phải luôn theo dõi tim mạch.
- Hút – nếu ho/thở ra mạnh (FET) của bệnh nhân không hiệu quả, và tình trạng ứ đọng dịch tiết làm ảnh hưởng đến quá trình trao đổi khí, có thể chỉ định hút đường thở. Có thể sử dụng đường mũi họng hoặc đường hầu họng.
MinhdatRehab, Lược theo:
Clinical case studies in physiotherapy. Lauren Jean Guthrie. 2009, Elsevier Limited.





