TRƯỜNG HỢP
Bệnh sử
Một bệnh nhân nam 64 tuổi đến khám ở phòng cấp cứu 12 giờ sau khi đột ngột bị nói ngọng và tay phải vận động điều hợp kém. Bệnh nhân khai rằng ông không thể viết hoặc bấm số điện thoại vì các ngón tay bị lóng ngóng, vụng về. Tám tuần trước, ông đã nhận thấy một rối loạn cảm giác nửa người thoáng qua, kéo dài 30 phút, liên quan đến và chân trái của mình.
Lịch sử chung
Bệnh nhân được bác sĩ gia đình điều trị tăng huyết áp bằng thuốc lợi tiểu và tiểu đường loại II với thuốc uống chống đái tháo đường.
Khám lâm sàng
Khi khám thần kinh, ông bị nói khó (loạn vận ngôn), rãnh mũi má bên phải mờ nhẹ và anh ta bị rối loạn nhịp tim, giảm nhẹ nếp gấp vòm mũi bên phải và có rối loạn rõ rệt khi vận động nhanh luân phiên (diadochokinetic movements) (như sấp/ngửa, vỗ ngón tay, nắm mở bàn tay, vỗ bàn chân, ND) bên cạnh yếu nhẹ tay phải. Phản xạ gân cơ tăng nhẹ bên phải. Không có rối loạn cảm giác, dáng đi của ông có một chút không vững.
Các Điểm đo lường thần kinh khi nhập viện
NIH 4; Chỉ số Barthel 80; Điểm số Hôn mê Glasgow (GCS) 15.
Các kết quả thăm dò cận lâm sàng quan trọng
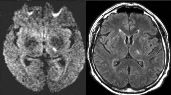
MRI sọ não cho thấy một tổn thương ổ khuyết nhỏ cấp tính ở bao trong bên trái, bên cạnh một số tổn thương chất trắng mạn tính ở cả hai bán cầu. Ngoài ra, có nhiều tổn thương dạng chấm, giảm tín hiệu ở các lát cắt T1w, tăng tín hiệu ở các lát cắt T2w ở chất trắng sâu hai bên được cho là các khoang Virchow-Robin (các khoang quanh thành mạch máu khi các mạch máu đi từ khoang dưới nhện qua nhu mô não) bị giãn rộng. Kích thích từ xuyên sọ và các điện thế kích thích cảm giác vẫn bình thường. Không xác định được nguồn gây thuyên tắc mạch trong siêu âm tim qua lồng ngực, điện tâm đồ bình thường với nhịp xoang bình thường.

Kết quả phân tích huyết thanh cho thấy Hemoglobin A1c tăng cao 6,9% và tăng homocysteine huyết thanh (23,4fmol / l).
Theo dõi
Bệnh nhân được chuyển đến bệnh viện phục hồi chức năng 1 tuần sau khi xuất hiện các triệu chứng. Thuốc của ông khi xuất viện bao gồm aspirin 100 mg / ngày, triamterene và hydrochlorothiazide viên phối hợp, và metformin.
Chẩn đoán
Hội chứng nói khó và bàn tay vụng về (Dysarthria clumsy hand syndrome) do đột quỵ ổ khuyết ở chi sau của bao trong trái.
XEM THÊM: MỘT SỐ ĐẶC ĐIỂM CỦA NHỒI MÁU Ổ KHUYẾT
Nhận xét chung
Ổ khuyết (Lacune) là một thuật ngữ giải phẫu cũ luôn được thảo luận và gây tranh cãi. Trong lịch sử, cuộc tranh cãi đầu tiên đã diễn ra liên quan đến các ổ khuyết và các hang hốc khác trong não. Sau đó, người ta tranh luận về nguyên nhân của các ổ khuyết trong đó một số tác giả ủng hộ là do nhồi máu so với xuất huyết hoặc với những thay đổi do viêm.
Vào những năm 1960, C. Miller Fisher đã báo cáo một loạt nghiên cứu trường hợp về bệnh học thần kinh ở những bệnh nhân có các ổ khuyết và đưa ra một số hội chứng lâm sàng trên cơ sở các phát hiện bệnh lý này. Ngay cả ngày nay, mặc dù đã được nâng tầm thông qua những phát triển gần đây về hình ảnh học thần kinh, khái niệm ổ khuyết, tức là tắc nghẽn một động mạch xuyên đơn lẻ dẫn đến nhồi máu ở vùng phụ thuộc vẫn còn đang tranh cãi vì các cơ chế bệnh sinh khác có thể có những dạng lâm sàng và hình ảnh học thần kinh tương tự.
Bên cạnh tuổi cao, các yếu tố nguy cơ liên quan quan trọng nhất là tăng huyết áp động mạch, đặc biệt là vào ban đêm, sau đó là bệnh tiểu đường và tăng homocystein máu.
Tiên lượng lâu dài sau một nhồi máu ổ khuyết đầu tiên thường được cho là khả quan; tuy nhiên, nhiều nghiên cứu tiền cứu gần đây đã chỉ ra rằng về lâu dài, nguy cơ tử vong tăng lên, chủ yếu do bệnh tim mạch. Hơn nữa, vì những thay đổi chất trắng tiến triển lan toả thường phối hợp với đột quỵ ổ khuyết (tái phát), có thể dẫn đến bệnh não mạch máu dưới vỏ (subcortical vascular encephalopathy, SVE) (đồng nghĩa với bệnh mạch não dưới vỏ thiếu máu cục bộ), làm giảm nhận thức và chức năng dần với đặc điểm chính của bệnh là rối loạn chức năng điều hành và dáng đi không vững tiến triển.
Miller-Fisher đã mô tả một loạt hơn 20 hội chứng ổ khuyết riêng biệt. Ít nhất bốn hội chứng đầu tiên của loạt hội chứng này đã trở thành kiến thức chung về thần kinh: (1) đột quỵ cảm giác đơn thuần, (2) yếu nửa người vận động đơn thuần, (3) yếu nửa người thất điều, (4) hội chứng khó nói – bàn tay vụng về. Hội chứng cuối cùng trong mô tả đầu tiên của Fisher có liên quan đến đáy của cầu não. Các nghiên cứu giải phẫu lâm sàng sau đó đã phát hiện ra rằng ”bao trong và cầu não là những vị trí ở não thường gặp nhất” gây hội chứng này.
FIRST DESCRIPTION
- Durand-Fardel, M. Traite ́ du ramolissement du cerveau. Paris: Baille`re, 1843.
- Marie, P. Des foyers lacunaires de desintegration et de diffe ́rents autres e ́tats cavitaires du cerveau. Rev. Me ́d. (Paris) 1901; 21:281.
CURRENT REVIEW
- Norrving, B. Long-term prognosis after lacunar infarction. Lancet Neurol. 2003; 2:238–245.
SUGGESTED READING
- Arboix, A., Bell, Y., Garcia-Eroles, L. et al. Clinical study of 35 patients with dysarthria- clumsy hand syndrome. J. Neurol. Neurosurg. Psychiatry 2004; 75:231–234.
- Besson, G., Hommel, M., & Perret, J. Risk factors for lacunar infarcts. Cerebrovasc. Dis. 2000; 10:387–390.
- Fisher, C. M. Lacunes: small, deep cerebral infarcts. Neurology 1965; 15:774–784.
- Fisher, C. M. Pure sensory stroke involving face, arm, and leg. Neurology 1965; 15:76–80. Fisher, C. M. A lacunar stroke. The dysarthria-clumsy hand syndrome. Neurology 1967; 17:614–617.
- Fisher, C. M. The arterial lesions underlying lacunes. Acta Neuropathol. (Berl.) 1968; 12:1–15. Fisher, C. M. Ataxic hemiparesis. A pathologic study. Arch. Neurol. 1978; 35:126–128. Fisher, C. M. Lacunar strokes and infarcts: a review. Neurology 1982; 32:871–876.
- Fisher, C. M. & Cole, M. Homolateral ataxia and crural paresis: a vascular syndrome. J. Neurol. Neurosurg. Psychiatry 1965; 28:48–55.
- Glass, J. D., Levey, A. I., & Rothstein, J. D. The dysarthria-clumsy hand syndrome: a distinct clinical entity related to pontine infarction. Ann. Neurol. 1990; 27:487–494. Schonewille, W. J., Tuhrim, S., Singer, M. B., & Atlas, S. W. Diffusion-weighted MRI in acute lacunar syndromes. A clinical–radiological correlation study. Stroke 1999; 30:2066–2069.
Dịch từ: Case Studies in Stroke: Common and Uncommon Presentations. Cambridge University Press 2007







