- Tên tiếng Anh: Meniscus tear/injury
- Mã ICD 10: S83.2
ĐẠI CƯƠNG
Định nghĩa
Tổn thương sụn chêm xảy ra khi tính toàn vẹn cấu trúc của nó bị tổn hại và các sụn tạo nên sụn chêm bị rách, vỡ, nứt, vỡ hoặc tách ra.
Dịch tễ và Nguyên nhân
Tổn thương sụn chêm đầu gối thường gặp với tỷ lệ mới mắc (incidence) 61 trường hợp trên 100.000 người và tỷ lệ hiện mắc (prevalence) từ 12% đến 14% .
Tỷ lệ rách sụn chêm kèm với tổn thương dây chằng chéo trước (ACL) ngày càng tăng, từ 22% đến 86% . Ở Mỹ, ước tính trong số 850.000 ca phẫu thuật chỉnh hình mỗi năm, 10% đến 20% ca liên quan đến phẫu thuật sửa chữa sụn chêm.
Rách cấp tính
Thường thứ phát sau chấn thương ở những người trẻ tuổi hoạt động.
Tỷ lệ cao nhất của rách sụn chêm cấp tính xảy ra ở nam giới từ 21 đến 30 tuổi và ở nữ giới từ 11 đến 19 tuổi.
Vết rách sụn chêm là do sự kết hợp của lực tải dọc trục và lực xoay tạo ra lực cắt trên sụn chêm. Trong thể thao, chấn thương thường không liên quan đến việc tiếp xúc với người chơi khác, có thể liên quan đến việc dừng hoặc giảm tốc độ và có thể được mô tả là chạy sai bước.
Rách do thoái hóa
Thứ phát do các lực ép tích lũy liên quan đến tuổi tác và khô /thoái hoá.
Chiếm 30% của tất cả các trường hợp rách sụn chêm với tỷ lệ mắc cao nhất là 41-50 tuổi ở nam và 61-70 ở nữ. Có thể liên quan đến chấn thương hoặc không.

Giải phẫu / sinh lý học sụn chêm
Xem thêm: Giải phẫu chức năng khớp gối. Phần 1 và Phần 2
Là miếng đệm sụn sợi hình lưỡi liềm giữa các lồi cầu xương đùi và mâm chày giúp phân bố tải trọng, làm vững đầu gối khi xoay và bôi trơn khớp gối. Các sụn chêm trong và sụn chêm ngoài gắn vào các dây chằng bên tương ứng của chúng với sụn chêm trong gắn chặt hơn so với sụn chêm ngoài.
Sụn chêm bao gồm chủ yếu là nước (72%) và collagen (22%), với glycosaminoglycans (17%), DNA (2%), glycoprotein kết dính ((<15) và elastin (<1%), giúp hấp thụ sốc và đặc tính bôi trơn khớp. Thành phần này sẽ thay đổi theo tuổi và tiền sử chấn thương. Đầu gối bị sụn chêm bị cắt bỏ giảm khả năng hấp thụ sốc khoảng 20% do mất các đặc tính nhầy – đàn hồi.

Cung cấp mạch máu: Cấu trúc chủ yếu là vô mạch, nhưng sụn chêm nhận nguồn cung cấp chính từ các nhánh ngoại vi của động mạch khoeo. Sự tuần hoàn mạch máu được giới hạn ở 10-25% vùng ngoại vi với sụn chêm ngoài và 10-30% của sụn chêm trong.
Khả năng lành cao hơn ở vùng có mạch máu (1/3 ngoài hoặc vùng “đỏ-đỏ”/ “red-red”), có tiên lượng tốt nếu vết rách xảy ra ở đây. Vùng trung gian (vùng “đỏ-trắng”/”red-white”) ở ranh giới của nguồn cung cấp mạch máu trên có tiên lượng tốt, trong khi vùng 2/3 trung tâm bên trong (vùng “trắng-trắng”/white-white) là vô mạch và có tiên lượng phục hồi và lành kém.

Phân loại:
Nói chung, không có một hệ thống thống nhất chung nào để phân loại rách sụn chêm. Rách thường được phân loại theo các mẫu vết rách nhìn thấy trong quá trình phẫu thuật nội soi khớp và / hoặc nguyên nhân của chấn thương, có thể được mô tả thêm là rách toàn bộ hoặc một phần.
Phân loại theo vị trí/ vùng (Cooper, 1990):
Phân loại này chia sụn chêm thành ba vùng hướng tâm theo hướng từ trước đến sau và bốn vùng chu vi đi từ bên ngoài đến bên trong sụn chêm.

Phân loại theo hình thái:
- Rách đứng – dọc (Vertical, longitudinal)- Những vết rách này xảy ra song song với trục dài của sụn chêm giữa các sợi collagen chu vi. Chúng có xu hướng ở phía trong ở các vết rách sụn chêm đơn độc và bên ngoài ở các vết rách kèm rách ACL. Có thể không có triệu chứng và có thể được sửa chữa bằng khâu cố định.
- Rách nan hoa/hướng tâm (Radial, có tài liệu dịch là tia)- Là những vết rách thẳng đứng ở một phần ba sau và ⅓ giữa của sụn chêm và chạy từ bờ trong ra ngoại vi. Thường do chấn thương với tỷ lệ lớn xảy ra ở sừng sau của sụn chêm.
- Rách ngang (Horizontal)- Những vết rách này song song với mâm chày và phân chia sụn chêm thành các phần trên và phần dưới. Thường xảy ra ở mặt sau của sụn chêm trong.
- Rách xéo / quai xách (Oblique/Bucket handle): Đây là một vết rách đứng dọc hoặc xéo với phần kéo dài của vết rách hướng về phía sừng trước của sụn chêm. Mảnh bên trong thường bị dịch chuyển về phía rãnh gian lồi cầu. Những vết rách này thường ảnh hưởng đến toàn bộ sụn chêm và là loại rách có mảnh di lệch phổ biến nhất.
- Rách do Thoái hóa/Phức tạp- Biểu hiện hai hoặc hơn kiểu vết rách. Là tổn thương sụn chêm thường gặp nhất và được thấy cùng với những thay đổi thoái hóa khớp khác. Loại rách này không thể khâu nối để sửa chữa sụn chêm được. Cần nghi ngờ rách có mảnh dính bị dịch chuyển và rách quai xách khi có các triệu chứng cơ học (kẹt, khoá khớp) cùng với hạn chế tầm vận động.

Lưu ý:
- Sụn chêm trong: Ít di động hơn, bám chắc vào các dây chằng bên trong, thường liên quan đến các vết rách đứng, dọc.
- Sụn chêm ngoài: thường liên quan đến các vết rách nan hoa/hướng tâm
Các tình trạng liên quan và biến chứng thứ phát
- Tổn thương dây chằng kèm theo: Tổn thương ACL. Rách sụn chêm ngoài thường liên quan đến rách ACL cấp tính, trong khi gối vững và yếu ACL mạn tính có liên quan đến rách sụn chêm trong.
- Tam chứng bất hạnh: rách ACL, dây chằng bên trong và sụn chêm trong.
- Gãy xương kèm theo: gãy mâm chày hoặc thân xương đùi.
LƯỢNG GIÁ CHẨN ĐOÁN
Bệnh sử
Rách sụn chêm cấp tính gây ra do một chấn thương xoắn vặn với cảm giác nghiền và kết hợp sưng cấp tính. Rách sừng sau thường có biểu hiện đau ở mặt sau của gối. Đau tái phát xảy ra khi vận động viên cố gắng xoay và vặn trong các hoạt động thể thao. Mức độ đau khi bắt đầu bị chấn thương có thể thay đổi và những bệnh nhân có rách nhỏ vẫn có thể đi lại được. Với những vết rách lớn hơn, gối thường không vững và có các triệu chứng cơ học, bao gồm kẹt khớp. Các triệu chứng cơ học này kết hợp với sưng nề tái phát là chỉ định để được tư vấn phẫu thuật sớm hơn.
Rách do thoái hóa thường xảy ra mà không rõ sự kiện ban đầu, nhưng trở nên có triệu chứng sau chấn thương trượt / xoắn vặn hoặc ngã nhẹ. Những vết rách này cũng liên quan đến sưng sau sự cố chấn thương vài ngày.
Khám lâm sàng
Phát hiện dáng đi giảm đau, teo cơ tứ đầu, tràn dịch khớp gối.
Không có nghiệm pháp đơn lẻ nào đủ đặc hiệu để xác định chẩn đoán. Các test gây đau ít tin cậy hơn khi vết rách do thoái hóa hoặc có tổn thương dây chằng. Các test thường được sử dụng đánh giá là:
Đau khi sờ đường khớp (trong và ngoài)
- Độ nhạy: 55% -83%
- Độ đặc hiệu: 58% -98%
- Giá trị dự đoán dương tính (PPV, Positive predictive value): 45%
Test McMurray
- Độ nhạy 16% -63%
- Độ đặc hiệu: 57% -78%
- PPV: 57%
- Kết quả âm tính không nên được nhấn mạnh quá mức vì độ nhạy tương đối thấp.
Test Apley
- Độ nhạy: 13% -43%
- Độ đặc hiệu: 72% -90%
- PPV: 57%
Test Thessaly
- Độ nhạy: 62% -64%
- Độ đặc hiệu: 53% -55%
- PPV: 97%
Xin xem bài: KHÁM KHỚP GỐI. PHẦN 2: ĐO LƯỜNG VÀ CÁC NGHIỆM PHÁP ĐẶC BIỆT
Hình ảnh học
X quang
Được khuyến cáo sau chấn thương cấp tính và nếu bệnh nhân đáp ứng một trong năm quy tắc Gối Ottawa (Ottawa Knee rules): tuổi lớn hơn 55, đau xương bánh chè hoặc đầu xương mác, không thể gấp gối quá 90 độ, không có khả năng chịu trọng lượng được bốn bước chân.
X quang không thể thấy được sụn chêm nhưng giúp loại trừ gãy đầu dưới xương đùi và đầu trên xương chày, các vật tự do trong khớp, thoái hoá khớp
Siêu âm
Là phương pháp an toàn, rẻ và và phụ thuộc vào người thực hiện nhưng khó đánh giá đúng cấu trúc sâu của gối.
Trong một nghiên cứu của Park và cộng sự so sánh siêu âm và MRI để phát hiện vết rách sụn chêm cho thấy độ nhạy và độ đặc hiệu lần lượt là 86,2% và 84,9%.
Dựa trên phân tích tổng hợp của Dai. et al có độ nhạy 88% và độ đặc hiệu 90% khi phát hiện tổn thương sụn chêm.
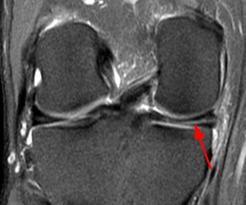
Chụp cộng hưởng từ (MRI)
Rách sụn chêm trong: độ nhạy 91,4% -93% độ đặc hiệu 81,1% -88%
Rách sụn chêm ngoài: độ nhạy 76% -79% độ đặc hiệu 93,3% -86%.

Dương tính giả có thể gặp ở vết rách ở sừng sau của sụn chêm trong và âm tính giả với vết rách hướng tâm (radial tear).
Các nang dịch có mối tương quan cao với rách do thoái hóa.
Chụp khớp (chụp cản quang, chụp cắt lớp vi tính [CT] hoặc cộng hưởng từ [MR])
Chụp cản quang hoặc CT được sử dụng ở những bệnh nhân được cấy ghép kim loại và béo phì.
Chụp khớp đồ MRI được ưu tiên lựa chọn hơn MRI để đánh giá các vết rách tái phát trong tình trạng bệnh nhân sau phẫu thuật sửa chữa sụn chêm hoặc khi cắt bỏ sụn chêm> 25 %.
CAN THIỆP VÀ PHỤC HỒI CHỨC NĂNG
Quyết định phục hồi, phẫu thuật sửa chữa hoặc tập luyện ban đầu dựa trên tuổi của bệnh nhân và loại vết rách (thoái hóa hoặc cấp tính) và các triệu chứng cơ học kẹt khớp gây hạn chế vận động. Trừ khi bị kẹt khớp cơ học, việc điều trị chủ yếu luôn bao gồm các biện pháp bảo tồn. Các vết rách bên trong sụn nhỏ và vết rách dọc ít triệu chứng có thể chỉ cần điều trị bảo tồn. Những vết rách phức tạp lớn, những vết rách lớn tiếp xúc với sụn khớp và khớp gối bị kẹt nên được xem xét chuyển tuyến phẫu thuật. Vị trí vết rách dựa trên hình ảnh / nội soi khớp là một yếu tố quyết định quan trọng vì khả năng chữa lành phụ thuộc vào mạch máu. Các vết rách ngoại vi có khả năng lành cao nên được sửa chữa và các vết rách vô mạch không thể lành nên được cắt bỏ.
Can thiệp bảo tồn Phục hồi chức năng
Hiện vẫn chưa có sự đồng thuận về chương trình PHCN.
Các mục tiêu chung bao gồm:
- Giảm đau và sưng.
- Khôi phục tầm vận động, sức mạnh và sức bền cơ.
- Tối ưu hóa điều hợp thần kinh cơ.
Biện pháp
- Xử trí ban đầu bao gồm nghỉ ngơi và tránh các động tác gây lực ép lớn lên gối bao gồm ngồi xổm, quỳ gối và vặn chân.
- Chườm lạnh trong 15 phút mỗi 4-6 giờ và nâng cao chi để giảm sưng.
- Bệnh nhân nên bắt đầu các bài tập nâng thẳng chân đẳng trường không có trọng lượng nhằm mục đích làm mạnh cơ tứ đầu để hỗ trợ làm vững khớp.
- Tránh các bài tập đòi hỏi gập gối tối đa như bước lên bậc cấp và máy tập chèo thuyền.
- Tránh chịu trọng lượng lên gối tổn thương với nạng/nẹp và tăng tiến chịu trọng lượng dần.
- Điều chỉnh cá nhân hóa phục hồi chức năng dựa trên các mục tiêu của bệnh nhân, tổn thương kèm theo và bản chất của vết rách.

Các yếu tố chứng tỏ can thiệp bảo tồn thành công:
Sưng ít với các triệu chứng giảm dần, có khả năng chịu trọng lượng ở chân, tầm vận động đầy đủ và chỉ bị đau ở khoảng cuối của động tác gập.
Phẫu thuật và Phục hồi chức năng sau phẫu thuật
Lựa chọn phẫu thuật
Các lựa chọn phẫu thuật bao gồm cắt một phần / toàn bộ và sửa chữa sụn chêm. Phẫu thuật sửa chữa ít thành công hơn ở những bệnh nhân lớn tuổi bị thoái hóa khớp nặng và rách sụn chêm do thoái hóa. Các tài liệu hiện tại cho thấy rằng điều trị không phẫu thuật bao gồm vật lý trị liệu là phương pháp đầu tiên đối với những vết rách do thoái hóa ở người lớn tuổi. Bệnh nhân bị rách sụn chêm mạn tính có thể cần thời gian phục hồi và phục hồi chức năng sau phẫu thuật kéo dài hơn. Đối với bệnh nhân bị rách sụn chêm thoái hóa mạn tính, nhiều nghiên cứu cho thấy không cải thiện được tình trạng đau hoặc chức năng của phẫu thuật nội soi so với vật lý trị liệu. Theo các hướng dẫn của Viện Phẫu thuật chỉnh hình Hoa Kỳ ( AAOS), phẫu thuật nội soi khớp gối cho bệnh thoái hóa khớp không được khuyến khích. Tuy nhiên, các hướng dẫn này không thể khuyến nghị hoặc chống lại việc cắt sụn chêm một phần bằng nội soi ở bệnh nhân bị thoái hoá khớp.

Chương trình tập luyện sau phẫu thuật
Tuỳ tuổi, tình trạng vết rách, loại phẫu thuật (cắt bỏ hay khâu nối), mong muốn của bệnh nhân và tình trạng chức năng trước phẫu thuật mà chương trình tập luyện tăng tiến thay đổi khác nhau. Phục hồi chức năng sau phẫu thuật được chia làm nhiều giai đoạn nhằm tăng tiến tầm vận động thụ động, chủ động, các bài tập làm mạnh cơ chuỗi mở và chuỗi đóng. Các bệnh nhân được cắt bỏ sụn chêm có thể trở lại hoạt động sớm, trong khi những bệnh nhân được khâu nối cần phải thận trọng hơn.
Những thành công của chương trình tăng tốc (accelerated protocol) đặt dấu hỏi về quan niệm đặt việc bảo vệ sửa chữa lên trên tất cả (Theo truyền thống, giảm vận động và chịu trọng lượng được khuyến nghị trong 4 đến 6 tuần đầu và trở lại thi đấu thể thao sau 6 tháng).

Xem thêm: Protocol tập luyện phục hồi chức năng sau phẫu thuật rách sụn chêm.
Các can thiệp mới
Tương lai của can thiệp các chấn thương ở sụn chêm là tập trung vào việc tăng khả năng tự chữa lành của cơ thể thông qua các tác nhân sinh học.
- Huyết tương giàu tiểu cầu (PRP, Platelet rich plasma), có nguồn gốc từ máu toàn phần tự thân, bao gồm nhiều yếu tố tăng trưởng và cytokine, mà các nghiên cứu cơ bản và lâm sàng cho thấy có khả năng thúc đẩy quá trình chữa lành bằng cách kích thích di chuyển tế bào, tăng sinh tế bào, hình thành mạch máu và tổng hợp cơ chất nền. Cần có các nghiên cứu được kiểm chứng hơn nữa việc sử dụng PRP vào tổn thương sụn chêm ở người.
- Tế bào gốc có nguồn gốc từ mô mỡ cũng đang được sử dụng trong nhiều phẫu thuật chỉnh hình vì đặc tính tái tạo của nó trên sụn, xương và gân.
- Tế bào gốc trung mô có nguồn gốc từ tủy xương cũng có thể được sử dụng với các nghiên cứu cho thấy tiêm nội khớp sau phẫu thuật nội soi (làm sạch khớp) làm giảm đau và thúc đẩy tái tạo sụn.
Lược dịch và chỉnh sửa từ:
Author(s): Brian Pekkerman, MD; Puneet Ralhan, MD; and Richard G. Chang, MD, MPH
PM&R KnowledgeNow.







