ĐẠI CƯƠNG
Định nghĩa đột quỵ
Một hội chứng thần kinh Trung ương được đặc trưng bởi:
- Khởi phát một cách đột ngột (cấp) các thiếu hụt thần kinh
- Kéo dài quá 24 giờ
- Triệu chứng thần kinh cục bộ hay lan tỏa (chủ yếu cục bộ)
- Do rối loạn tuần hoàn não
–> ghi chú các dấu hiệu âm tính để phân biệt
Vài số liệu dịch tễ
- Ở Mỹ: hàng năm có > 700,000 trường hợp đột quỵ
- Chiếm > 50% các trường hợp nhập viện vì bệnh thần kinh cấp
- Là nguyên nhân đứng đầu của giảm chức năng trầm trọng, lâu dài
- Nguy cơ và tỉ lệ tử vong gia tăng cùng tuổi tác
- Là nguyên nhân gây tử vong đứng hàng thứ ba ở Mỹ, đứng thứ hai ở thế giới.
Ý nghĩa lâm sàng
- Trầm trọng, Cấp tính: xu hướng sử dụng từ acute brain attack.
- Cần nghi ngờ và chẩn đoán sớm bằng giáo dục cộng đồng.
- Trước nhập viện: FAST:
- Facial droop: xệ mặt
- Arm drift: rũ tay
- Speech: rối loạn lời nói, nói không rõ
- Time: thời gian gần nhất bệnh nhân được biết là bình thường

TÌNH HUỐNG LÂM SÀNG VÀ THÁI ĐỘ XỬ TRÍ
Tình huống
- Một người đàn ông 65 tuổi
- Người vợ phát hiện ngã quỵ ở nhà
- Tay phải không vận động bình thường
- Không nói được
- Các ngón tay vàng vì khói thuốc
- HA 190/110
–> chẩn đoán là đột quỵ
- CT bình thường
Xử lý lâm sàng lập tức
- ABC
- Kiểm tra đường máu
- Glasgow Coma Scale
- <12 cân nhắc thở oxy qua đường mũi
- <8 cân nhắc đặt nội khí quản
- Đánh giá sốt, cứng cổ
- Cung cấp oxy, đường truyền tĩnh mạch
- Khám lâm sàng nhanh:
- Vận động
- Lời nói
- Thị giác
- Cảm giác
Phương pháp khám cấp cứu nhanh
- Tình trạng tâm thần:
- Sự tỉnh táo (mức độ hôn mê)
- Lời nói: thất ngôn (vỏ não), khó nói (thân não)
- Nhận thức: tên, tuổi, thời gian, địa điểm
- Mở mắt theo y lệnh
- Liệt mặt
- Thị trường (bán manh)
- Thần kinh sọ não: Vận nhãn (III,IV,VI), giật nhãn cầu, các dây thần kinh sọ khác
- Cổ: cứng cổ
- Chi: so sánh hai bên
- Tay rũ: nâng hai tay,
- Nâng từng chân, mắt nhắm hoặc mở
- Cảm giác (mắt nhắm)
- Điều hợp: ngón tay chỉ mũi, gót chân đầu gối: rối loạn: thất điều, tiểu não
CHẨN ĐOÁN
- Cần tiến hành nhanh:
- Chẩn đoán xác định và phân biệt
- Chẩn đoán loại tai biến: nhồi máu hay xuất huyết
- Chẩn đoán vị trí: dựa vào các dấu hiệu khu trú
- Chẩn đoán cơ chế: xơ vữa, cục máu từ tim, vỡ phình mạch, tăng huyết áp…?
Chẩn đoán loại tai biến
- Nhồi máu: 80% – 85%
- Xuất huyết: 15-20%
Hình: Phân loại Đột quỵ theo thể và nguyên nhân tương ứng
Lâm sàng chỉ có giá trị gợi ý:
- Giảm GCS
- Nhức đầu
- Tăng áp lực nội sọ
- Đang sử dụng thuốc chống đông…
Chắc chắn nhờ xét nghiệm hình ảnh: CT

Chẩn đoán vị trí tổn thương
Dựa vào các dấu hiệu thần kinh khu trú
Phân làm 2 nhóm:
- Tuần hoàn trước: từ động mạch cảnh
- Tuần hoàn sau: từ động mạch sống nền

Hình: Hai hệ động mạch nuôi dưỡng não
Tuần hoàn trước:
Từ động mạch cảnh trong
- Động mạch não giữa (MCA): liệt nửa người, mất cảm giác, dấu hiệu vỏ não…
- Động mạch não trước (ACA): Chân> tay, cảm giác bình thường, các dấu hiệu thùy trán
- Mắt
Tuần hoàn sau:
Từ các động mạch đốt sống tạo thành hệ sống-nền, có nhiều nhánh (các động mạch tiểu não, nhánh cầu não, động mạch não sau (PCA), động mạch thông sau. Tổn thương hệ động mạch này biểu hiện với:
- Các dấu hiệu thần kinh sọ não: III,IV,VI,VII, VIII…
- Các dấu hiệu tiểu não: thất điều
- Các dấu hiệu đường dài (long tract signs): liệt (nửa người đối bên hoặc liệt tứ chi), rối loạn cảm giác… đối bên tổn thương (dấu hiệu chéo)


Hình: Ranh giới phân bố các động mạch não chính (trước, giữa, sau)
Chẩn đoán phân biệt
Cần phân biệt với các trường hợp biểu hiện thần kinh cấp tính (ban đầu có thể chẩn đoán không chính xác 20% nếu chưa đánh giá kỹ và làm các xét nghiệm) như:
- động kinh
- nhiễm trùng hệ thống và thần kinh
- u não
- rối loạn chuyển hóa, ngộ độc
CÁC HỘI CHỨNG ĐỘT QUỴ THƯỜNG GẶP (STROKE SYNDROMES)
Nhồi máu các mạch máu lớn
Đột quỵ động mạch não trước
- Liệt đối bên chân nhiều hơn tay đối
- Mất ức chế, thờ ơ
- Các dấu hiệu rối loạn chức năng điều hành
- Rối loạn kiểm soát tiểu
Đột quỵ Động mạch não giữa
- Liệt nửa người
- Mất cảm giác nửa người
- Mất thị trường
- Các dấu hiệu vỏ: Thất ngôn (bán cầu não trội), rối loạn nhận biết không gian (neglect, không chú ý nửa bên trái)

Đột quỵ Hệ thống Động mạch não
- Nôn mửa
- Song thị (vận nhãn)
- Chóng mặt
- Thất điều (tiểu não)
- Các dấu hiệu chéo (liệt nửa người, rối loạn cảm giác nửa người đối bên, tổn thương dây thần kinh sọ cùng bên)
- Giảm thị trường (động mạch não sau)
- Hôn mê …


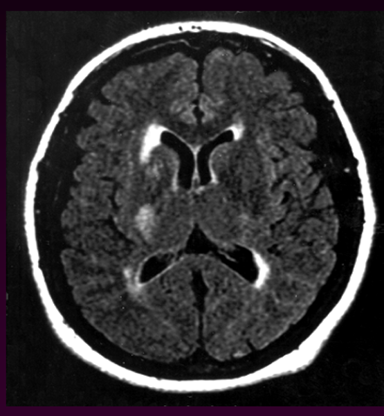
Nhồi máu các mạch máu xuyên: Nhồi máu ổ khuyết
Các hội chứng thường gặp của nhồi máu ổ khuyết (lacunar infarction) là:
- Liệt ½ người thuần tuý
- Mất cảm giác thuần túy
- Liệt nửa người thất điều
- Hội chứng nói khó-bàn tay vụng về
- Không có các dấu hiệu vỏ não (thất ngôn, động kinh…)


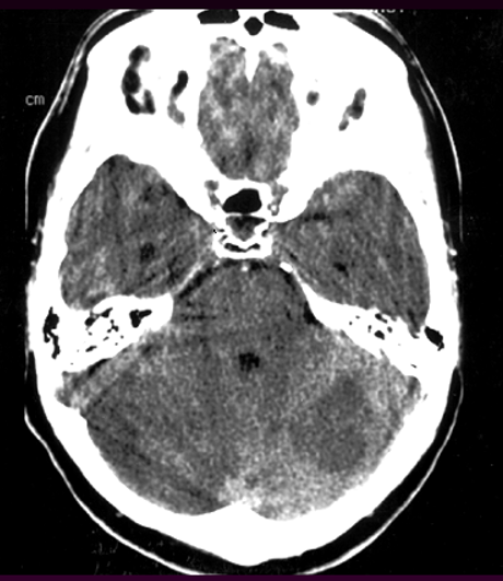
Xuất huyết/ chảy máu
Chẩn đoán dễ dàng bằng CT
Xuất huyết trong não (nhu mô)
- Nguyên nhân: Phình mạch Charcot-Bouchard, Tăng huyết áp, Tự phát
- Xảy ra ở hạch nền, đồi thị, cầu não, tiểu não

Xuất huyết dưới nhện
- Thường do vỡ phình mạch dạng túi
- Chủ yếu ở tuần hoàn não trước
- Có nhiều biến chứng sớm và muộn
- Điều trị nhằm vào phòng ngừa các biến chứng

Xuất huyết dưới màng cứng
- Liên quan đến chảy máu tĩnh mạch
- Có thể do chấn thương
- Vùng não lân cận thường bị chấn thương
- Điều trị phẫu thuật
Xuất huyết ngoài màng cứng
- Chảy máu động mạch
- Có thể có khoảng tỉnh
- Thường do chấn thương sọ não kèm vỡ xương sọ
- Điều trị phẫu thuật
CÁC CÂN NHẮC CẬN LÂM SÀNG
Người nào cần làm xét nghiệm hình ảnh khẩn cấp?
- Những người giảm ý thức cân nhắc can thiệp phẫu thuật
- Những người đang sử dụng thuốc chống đông
- Những người phù hợp với liệu pháp tiêu sợi huyết
- Chụp MRI hay CT?
Xét nghiệm khác
- Công thức máu
- Đường máu
- Cholesterol
- Siêu âm
- XQ phổi
- Ghi hình thần kinh, mạch máu (chụp mạch phổi…)
LƯỢNG GIÁ
Lượng giá yếu tố nguy cơ Nhồi máu não:
Các yếu tố nguy cơ không thay đổi được
- Tuổi cao
- Giới nam
- Tiền sử gia đình đột quỵ hoặc nhồi máu cơ tim
Các yếu tố nguy cơ thay đổi được
- Tăng huyết áp
- Hút thuốc lá
- Tiền sử đột quỵ/TIA
- Bệnh tiểu đường
- Tăng lipid máu
- Các tình trạng tăng đông
- Uống nhiều rượu, thuốc phiện…
- dùng thuốc ngừa thai kéo dài
Lượng giá sàng lọc sử dụng thuốc tiêu sợi huyết
Nếu bệnh nhân nhồi máu, đến sớm (trong vòng 3 giờ), trên 18 tuổi và không có các chống chỉ định:
- Chấn thương sọ não
- Co giật
- Xuất huyết não
- Có thai
- Đang sử dụng thuốc chống đông
- Tiền sử chảy máu, bệnh về máu
- Tiền xử xuất huyết não
- Các phẫu thuật lớn trong vòng 3 tháng…
Các thang điểm trong giai đoạn đầu
Lượng giá đột quỵ trước nhập viện
- Cincinnati Stroke Scale
- Los Angeles Prehospital Stroke Screen (LAPSS)
Các thang điểm lượng giá giai đoạn cấp
- Canadian Neurological Scale (CNS)
- European Stroke Scale
- Glasgow Coma Scale (GCS)
- Hemispheric Stroke Scale
- Hunt & Hess Scale
- Mathew Stroke Scale
- NIH Stroke Scale (NIHSS)
- Orgogozo Stroke Scale
- Oxfordshire Community Stroke Project Classification (Bamford)
- Scandinavian Stroke Scale
- World Federation of Neurological Surgeons Grading System for Subarachnoid Hemorrhage Scale








