Xem lại: TỰ HỌC CHẨN ĐOÁN HÌNH ẢNH. BÀI 1: CÁC BẤT THƯỜNG VỀ ĐẬM ĐỘ XƯƠNG (PHẦN 1)
GIẢM MẬT ĐỘ XƯƠNG LAN TỎA (TOÀN THỂ)
Sau đây là những dấu hiệu liên quan đến giảm mật độ xương toàn thể:
- Có thể có sự giảm lan tỏa của mạng lưới bè xương bình thường trong khoang tuỷ do giảm và mỏng đi nhiều cấu trúc bè xương nhỏ hơn.
- Đường nối vỏ- tuỷ bình thường có thể nổi rõ, trong đó vỏ xương, mặc dù mỏng hơn bình thường, nổi bật hơn vì mật độ khoang tủy giảm (Hình -1).
- Đè xẹp thân đốt sống
- Gãy xương bệnh lý ở háng, xương chậu hoặc thân đốt sống
Ví dụ về các bệnh gây ra giảm mật độ xương lan toả là Loãng xương và Cường tuyến cận giáp.

Bệnh loãng xương
- Loãng xương được định nghĩa là một chứng rối loạn xương hệ thống đặc trưng bởi mật độ khoáng xương thấp (BMD) và thường được chia thành mất xương sau mãn kinh và tuổi già.
- Loãng xương sau mãn kinh được đặc trưng bởi sự gia tăng tiêu xương do hoạt động của tế bào hủy xương. Mất xương liên quan đến tuổi tác bắt đầu ở độ tuổi từ 45 đến 55 và được đặc trưng bởi sự mất toàn bộ khối lượng xương.
- Các yếu tố bổ sung làm tăng nguy cơ loãng xương bao gồm sử dụng steroid ngoại sinh, bệnh Cushing, giảm estrogen, hoạt động thể chất không đầy đủ và nghiện rượu.
- Loãng xương làm dễ bị gãy xương bệnh lý như gãy cổ xương đùi, gãy xẹp của thân đốt sống và gãy đầu dưới xương quay (gãy Pouteau – Colles).
- X quang thông thường tương đối không nhạy để dấu hiệu loãng xương. Phải mất gần 50% khối lượng xương trước khi có thể nhận biết được trên phim chụp X quang thông thường. Các dấu hiệu trên phim X quang thông thường bao gồm giảm chung mật độ xương, mỏng vỏ xương và giảm số lượng bè xương có thể nhìn thấy được trong khoang tủy.
- Hiện tại, phương pháp đo hấp thụ tia X năng lượng kép (DEXA) là phương pháp chính xác nhất và được khuyến nghị rộng rãi để đo BMD.
- Các ảnh quét DEXA thu được bằng cách sử dụng tia X đã lọc nguồn tạo ra hai năng lượng riêng biệt được hấp thụ khác biệt bởi xương và mô mềm, cho phép tính toán chính xác hơn mật độ xương bằng cách trừ đi sai số do mô mềm bên ngoài.
- Liều tia X rất thấp, thường đo ở cột sống hoặc chỏm xương đùi.
Cường cận giáp
- Cường cận giáp là tình trạng do tuyến cận giáp tiết quá nhiều parathormone (PTH). PTH có tác dụng đối với xương, thận và đường tiêu hóa. Tác dụng của nó đối với xương là tăng khả năng tái hấp thu bằng cách kích thích hoạt động của tế bào hủy xương. Canxi được loại bỏ khỏi xương và lắng đọng trong máu.
- Có ba dạng cường cận giáp: nguyên phát, thứ phát và thứ ba (Bảng 1).
- Chẩn đoán cường cận giáp dựa trên kết quả khám lâm sàng và xét nghiệm; tuy nhiên, có rất nhiều dấu hiệu về căn bệnh này trên phim chụp X quang thông thường, và các thăm dò hình ảnh khác (như siêu âm, quét tuyến cận giáp bằng y học hạt nhân và MRI), cũng được đánh giá để hướng dẫn phẫu thuật tuyến cận giáp nếu có chỉ định.
| Bảng 1. Các Dạng Của Cường Cận giáp |
|---|
| Loại nguyên phát: Thường do một u tuyến đơn độc gây ra ở hầu hết bệnh nhân (80% đến 90%) và hầu như luôn dẫn đến tăng calci huyết |
| Thứ phát (hai): Kết quả do tăng sản các tuyến thứ phát do mất cân bằng nồng độ canxi và phốt pho. được thấy chủ yếu ở bệnh thận mãn tính |
| Thứ ba: Xảy ra ở những bệnh nhân bị cường cận giáp thứ phát lâu năm, trong đó tăng tiết hormon cận giáp tự động phát triển, dẫn đến tăng calci huyết |
- Một số dấu hiệu của cường cận giáp trên phim X quang thông thường:
- Giảm mật độ xương tổng thể
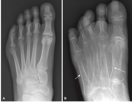
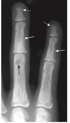
- Tiêu xương dưới màng xương, đặc biệt là ở mặt quay của đốt giữa của ngón trỏ và ngón giữa (Hình -2)
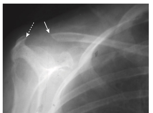
- Ăn mòn đầu xa xương đòn (Hình -3)
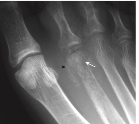
- Các tổn thương huỷ xương có biên rõ trong các xương dài, được gọi là các khối u Brown và hình ảnh dạng muối tiêu (salt-and-pepper) của xương sọ (Hình -4).
- (Các khối u Brown là những tổn thương lành tính biểu hiện sự tái hấp thu xương của một vùng khu trú của vỏ xương và thay thế bằng mô sợi và máu. Hàm lượng hemosiderin cao của chúng tạo một màu nâu đặc trưng vì thế có tên gọi là u Brown là màu nâu)



GIẢM MẬT ĐỘ XƯƠNG KHU TRÚ
Những tổn thương này thường được tạo ra bởi sự xâm nhập khu trú vào xương của các tế bào không phải tế bào xương.
Ví dụ về các bệnh gây giảm mật độ xương là bệnh di căn đến xương, đa u tuỷ, viêm tuỷ xương.
Bệnh di căn tiêu xương
- Bệnh di căn tiêu xương có thể tạo ra sự hủy hoại khu trú của xương.
- Khoang tủy hầu như luôn bị ảnh hưởng, từ đó bệnh có thể ăn mòn và phá hủy cả vỏ xương. Khi chỉ ảnh hưởng đến khoang tủy, khối lượng xương phải giảm gần như 50% để có thể nhận biết được tổn thương khi nhìn trực diện trên phim X quang thông thường. Ngược lại, MRI rất hiệu quả trong đánh giá tình trạng của khoang tủy và do đó nhạy hơn nhiều so với chụp X quang thông thường về sự hiện diện của bệnh di căn (Hình 5).
- Trong một số trường hợp, chỉ có vỏ xương bị ảnh hưởng. Di căn vỏ xương có thể dễ dàng nhận thấy hơn trên phim X quang thông thường vì vỏ xương chỉ cần bị phá hủy tương đối là có thể quan sát thấy.
- Những dấu hiệu cổ điển về di căn tiêu xương trên phim X quang thông thường:
- Các tổn thương huỷ xương có hình dạng bất thường, có thể đơn độc hoặc nhiều
- Những tổn thương huỷ xương này thường có đặc điểm là thuộc một (hoặc đôi khi nhiều hơn) trong ba dạng: lấm tấm (permeative, thấm), dạng gặm nhấm (lốm đốm, mottled) hoặc có hình dạng bản đồ (geographic) theo thứ tự tăng kích thước của tổn thương từ nhỏ nhất và rời rạc nhất có thể nhìn thấy được (Hình 6).
- Di căn tiêu xương thường gây ra ít hoặc không có phản ứng tạo xương xung quanh chúng. Chúng có thể mở rộng và như bóng xà phòng (tức là chứa các vách xương), đặc biệt là trong ung thư biểu mô tuyến giáp và thận (Hình 7).
- Ở cột sống, chúng có thể ưu tiên phá hủy các cuống cung, vì nguồn cung cấp máu của cấu trúc này (dấu hiệu ở cuống cung), có thể giúp phân biệt di căn với đa u tủy (bệnh lý này có khuynh hướng không ảnh hưởng đến cuống trong giai đoạn sớm của bệnh (Hình 8).
- Các tổn thương huỷ xương có hình dạng bất thường, có thể đơn độc hoặc nhiều
- Các nguyên nhân phổ biến nhất của di căn xương tạo xương và huỷ xương được liệt kê trong Bảng 2.




| Tạo xương | Tiêu xương |
|---|---|
| Ung thư biểu mô tuyến tiền liệt (phổ biến nhất ở nam giới lớn tuổi) | Ung thư phổi (tổn thương huỷ xương phổ biến nhất ở nam giới) |
| Ung thư biểu mô vú thường là tiêu xương, nhưng có thể là tạo xương, đặc biệt nếu được điều trị | Ung thư vú (tổn thương huỷ xương thường gặp nhất ở phụ nữ) |
| Lymphoma | Ung thư biểu mô thận |
| Các khối u carcinoid (hiếm gặp) | Ung thư biểu mô tuyến giáp |
Đa u tuỷ
- Đa u tuỷ (Multiple myeloma), bệnh ác tính nguyên phát phổ biến nhất của xương ở người lớn, có thể xảy ra ở dạng đơn độc, thường thấy như một tổn thương lan rộng, như bong bóng xà phòng ở cột sống hoặc xương chậu (được gọi là u tương bào đơn độc) hoặc ở dạng lan tỏa với nhiều tổn thương tiêu xương, kiểu ấn lỗ (punched-out) trong các xương trục và đầu gần xương chi.
- Các dấu hiệu của đa u tủy trên phim X quang thông thường:
- Biểu hiện ban đầu thường gặp nhất là loãng xương lan tỏa và thường nặng.
- Các u tương bào (Plasmacytomas)xuất hiện dưới dạng tổn thương lan rộng, có vách ngăn, thường có kết hợp với các khối mô mềm (Hình 9).
- Sau đó, ở dạng lan rải, có nhiều tổn thương huỷ xương có kích thước gần như nhau, nhỏ, khoanh tròn rõ ràng (được mô tả như ấn lỗ) hiện diện, thường không có phản ứng xơ cứng đi kèm quanh chúng (Hình 10).
- Về mặt cổ điển, để dấu hiệu các tổn thương của bệnh đa u tủy, chụp X quang thông thường nhạy hơn xạ hình xương bằng radio-nuclide, có xu hướng đánh giá thấp số lượng và mức độ tổn thương vì không có phản ứng tạo xương.


Viêm tủy xương
- Viêm tủy xương (Osteomyelitis) đề cập đến sự phá hủy khu trú của xương, thường là do tác nhân lây nhiễm qua đường máu, trong đó phổ biến nhất là tụ cầu vàng Staphylococcus aureus.
- Ở trẻ em, tổn thương tiêu xương có xu hướng xảy ra ở hành xương (metaphysis) vì nguồn cung cấp máu ở đây dồi dào.
- Các dấu hiệu của viêm tủy xương cấp tính trên phim X quang thông thường:
- Phá hủy xương khu trú
- Tạo xương mới ở màng xương (Hình 11)
- Các thay đổi viêm kèm theo nhiễm trùng có thể tạo ra sưng mô mềm và loãng xương khu trú.
- Ở người lớn, nhiễm trùng có xu hướng liên quan đến khoang khớp thường gặp hơn ở trẻ em, không chỉ gây ra viêm xương mà còn gây viêm khớp nhiễm trùng.
- Chụp X quang thông thường có thể mất đến 10 ngày để hiển thị những dấu hiệu đầu tiên của bệnh viêm tủy xương, vì vậy các thăm dò hình ảnh học khác, chẳng hạn như MRI và y học hạt nhân, thường được sử dụng để chẩn đoán sớm hơn.

Lược dịch từ: Learning Radiology: RECOGNIZING THE BASICS. William Herring, MD, FACR.3rd EDITION. Elsevier Inc 2016.







