GIẢI PHẪU XƯƠNG BÌNH THƯỜNG
X quang thường quy
- Trên X quang thông thường, xương bao gồm một vỏ xương đặc bao quanh một khoang tủy ít đặc hơn chứa xương xốp được sắp xếp theo các bè xương (trabeculae), được phân tách chủ yếu bởi các mạch máu, tế bào tạo máu và mỡ.
- Khi nhìn theo kiểu tiếp tuyến trên phim X quang thông thường, vỏ xương tạo ra một lớp vỏ trắng đậm mịn, có độ dày khác nhau, dọc theo các bờ ngoài của xương.
- Khoang tủy trên phim chụp X quang thông thường xuất hiện như một lõi có mật độ xám nhạt hơn bên trong vỏ, xen kẽ với một mạng lưới nhỏ các bè xương. Đường nối vỏ -tuỷ là cạnh giữa bờ trong của vỏ xương và khoang tủy (Hình-1).
- Tuy nhiên, các hình ảnh chụp X quang thông thường không thể hình dung được toàn bộ chu vi của ống xương, và chúng không nhạy để thể hiện các bất thường mô mềm ngoài phù nề mô mềm.

Chụp cắt lớp vi tính và chụp cộng hưởng từ
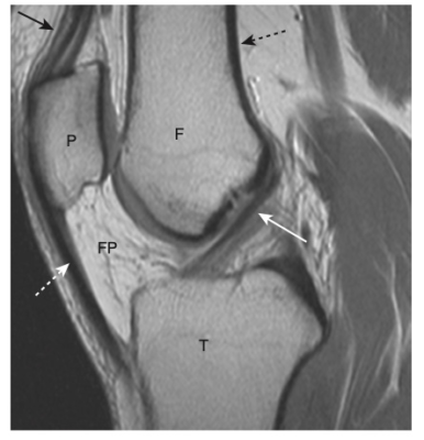
- Chụp cắt lớp vi tính (CT) và chụp cộng hưởng từ (MRI) có thể thấy toàn bộ bao ngoài và chất nền bên trong của xương, bao gồm (đặc biệt là với MRI) các mô mềm xung quanh không thể nhìn thấy trên phim chụp X quang thông thường. (Hình-2).
- Ngoài các bè xương, khoang tủy còn chứa tủy đỏ và tuỷ vàng. Tủy đỏ sản xuất tiền chất của các tế bào máu. Tủy vàng chứa chất béo. Thành phần của tủy là khác nhau đối với các xương khác nhau của cơ thể và thay đổi theo tuổi. Tuổi càng cao tuỷ xương càng ít hoạt động tạo máu, do đó, vào khoảng 30 tuổi, hầu hết bộ xương chi chỉ chứa tủy vàng, trong khi hầu hết tủy đỏ nằm ở xương trục. MRI là một phương tiện tuyệt vời để nghiên cứu các thành phần của tủy, nó rất hữu ích trong việc nghiên cứu bệnh lý tủy xương.
- Trong khi vỏ xương là phần xương dễ nhìn rõ nhất trên phim X quang thông thường, thì vỏ xương lại có cường độ tín hiệu rất thấp trên các lát cắt MRI thông thường.

ẢNH HƯỞNG CỦA SINH LÝ XƯƠNG ĐỐI VỚI GIẢI PHẪU XƯƠNG
- Xương phản ánh tình trạng trao đổi chất chung của cơ thể. Thành phần của chúng đòi hỏi một chất nền keo collagen, chứa protein (chất dạng xương) mà trên đó các khoáng chất của xương, chủ yếu là canxi photphat, được chuyển hóa thành sụn và xương.
- Xương liên tục trải qua quá trình tu sửa bao gồm quá trình tái hấp thu xương cũ hoặc xương bị bệnh bởi huỷ cốt bào và hình thành xương mới bởi tạo cốt bào. Trong khi tạo cốt bào chịu trách nhiệm sản xuất chất nền xương, các tế bào hủy xương lại hấp thụ cả chất nền và chất khoáng.
- Cả hoạt động tạo xương và huỷ xương đều phụ thuộc vào nguồn cung cấp máu khả thi để đưa các tế bào đó đến xương.
- Xương cũng phản ứng với các lực cơ học — ví dụ, sự co của cơ và gân, quá trình chịu trọng lượng và sử dụng liên tục hoặc không sử dụng trong thời gian dài — giúp hình thành và / hoặc duy trì hình dạng cũng như cấu trúc của xương.
- Dựa trên phim X quang thông thường, có thể chia các bất thường về mật độ xương thành hai loại chính: tăng hoặc giảm mật độ xương. Hai loại đó được chia nhỏ hơn nữa theo mức độ của bệnh — khu trú hoặc lan tỏa (hoặc tổng quát) (Bảng -1).
- Nếu MRI được sử dụng làm cơ sở để phân loại các rối loạn về (tủy) xương, thì có thể chia thành bốn loại:
- Chuyển đổi lại (Reconversion) liên quan đến sự đảo ngược quá trình chuyển đổi bình thường của các tế bào tủy xương để tủy đỏ tái tạo xương mà trước đó nó đã bị thay bằng tủy vàng. Các chứng thiếu máu mãn tính như bệnh hồng cầu hình liềm là những ví dụ thuộc loại này.
- Thay thế tủy (Marrow replacement) bao gồm việc thay thế, ví dụ như, các tế bào di căn, đa u tủy hoặc bệnh bạch cầu.
- Kiệt tủy (Myeloid depletion) liên quan đến việc mất tuỷ đỏ bởi các tác nhân như xạ trị, hóa trị hoặc chứng thiếu máu bất sản.
- Xơ hóa tủy (Myeloid depletion) bao gồm việc thay thế tủy bằng mô xơ, chẳng hạn như kết quả của phương pháp điều trị hóa trị hoặc xạ trị.
- Gãy xương và trật khớp, viêm khớp và các bệnh về cột sống sẽ được thảo luận trong các bài sau.
Đậm độ | Mức độ (lan) | Ví dụ |
Tăng | Lan toả | Di căn tạo xương lan toả |
Khu trú | Di căn tạo xương khu trú Hoại tử vô mạch xương Bệnh Paget | |
Giảm | Lan toả | Loãng xương Cường phó giáp |
Khu trú | Di căn huỷ xương khu trú Đa u tuỷ Viêm tuỷ xương |
TĂNG ĐẬM ĐỘ XƯƠNG LAN TỎA (TOÀN THỂ)
- Trên phim chụp X quang và chụp CT thông thường, toàn bộ hoặc hầu hết các xương đều có màu trắng (xơ cứng).
- Điều này dẫn đến mất hình ảnh lan tỏa của mạng lưới bè xương bình thường trong khoang tủy vì sự thay thế tủy mỡ giữa các tế bào bình thường bằng các yếu tố tạo xương.
- Cũng có thể mất hình ảnh của đường nối vỏ- tuỷ bình thường do mật độ khoang tủy tăng lên bất thường so với vỏ xương (Hình-3).

Bệnh di căn tạo nguyên bào xương
- Bệnh di căn lan qua đường máu, lan tỏa do ung thư biểu mô của tuyến tiền liệt là nguyên mẫu cho sự gia tăng mật độ xương lan tỏa. Hoạt động tạo xương xảy ra ngoài tầm kiểm soát sinh lý bình thường.
- Bệnh di căn đến xương xảy ra trên 80% bệnh nhân ung thư biểu mô tuyến tiền liệt được mổ tử thi. Di căn nhiều xương xảy ra thường xuyên hơn so với các tổn thương xương đơn độc trong ung thư biểu mô tuyến tiền liệt .
- Với Di căn xương lan tỏa, scan xương bằng hạt nhân phóng xạ cho thấy sự hấp thu chất phóng xạ cao trong toàn bộ khung xương, với sự bài tiết của chất phóng xạ qua thận kém hoặc không có.
TĂNG ĐẬM ĐỘ XƯƠNG KHU TRÚ
- Tổn thương xơ cứng khu trú có thể ảnh hưởng đến vỏ xương và / hoặc khoang tủy. Những tổn thương ảnh hưởng đến vỏ xương thường sẽ tạo ra sự hình thành xương mới ở màng xương (phản ứng màng xương), làm vỏ xương dày lên. Những tổn thương ảnh hưởng đến khoang tủy sẽ dẫn đến các tổn thương xơ cứng vô định hình, được bao quanh bởi khoang tủy bình thường (Hình-4).
- Sau đây trình bày các ví dụ về các bệnh gây tăng mật độ xương khu trú.

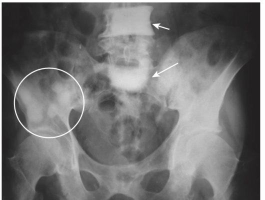
Ung thư biểu mô của tuyến tiền liệt
- Bệnh di căn tạo xương, giống như từ tuyến tiền liệt, có thể làm tăng khu trú về mật độ xương, cũng như tăng toàn thể.
- Một chất được tiết từ các tế bào u của ung thư biểu mô tuyến tiền liệt có thể kích thích hoạt động của tạo cốt bào và tạo ra các vùng tăng đậm độ xương khu trú. Những tổn thương này thường thấy nhất ở đốt sống, xương sườn, xương chậu, xương đùi và xương đùi (Hình-5).
- Xạ hình xương bằng hạt nhân phóng xạ hiện là thăm dò hình ảnh học được lựa chọn để phát hiện di căn xương, bất kể nguyên phát nghi ngờ là gì.

Hoại tử vô mạch của xương
- Hoại tử vô mạch (Avascular necrosis, AVN) của xương (còn gọi là hoại tử do thiếu máu cục bộ, hoại tử vô khuẩn, hoặc hoại tử xương) là kết quả của cái chết tế bào và dẫn đến sự sụp đổ của xương bị ảnh hưởng. Bệnh thường liên quan đến những xương có nguồn cung cấp máu bàng hệ tương đối kém (ví dụ, xương thuyền ở cổ tay, chỏm xương đùi) và có xu hướng ảnh hưởng đến các yếu tố tạo máu của tủy sớm nhất, vì vậy MRI là thăm dò hình ảnh học nhạy nhất để phát hiện AVN.
- Có rất nhiều nguyên nhân gây ra hoại tử vô mạch. Các nguyên nhân phổ biến hơn được liệt kê trong Bảng 2.
Vị trí | Ví dụ |
Trong mạch máu | Bệnh tế bào hình liềm Đa hồng cầu |
Mạch máu | Viêm mạch máu (do lupus và phóng xạ) |
Ngoài mạch máu | Chấn thương (gãy xương) |
Vô căn | Bệnh Cushing và dùng corticoid Bệnh Legg- Calve- Perthes |
- Trên phim X quang thông thường, vùng hoại tử vô mạch xuất hiện đậm đặc hơn vùng xương xung quanh. Trên MRI, thường có sự giảm tín hiệu so với bình thường (cao) do tủy mỡ (Hình-6).
- Phần xương bị mất mạch máu trở nên đặc hơn và do đó có vẻ xơ cứng hơn phần xương còn lại. Điều này thấy rõ ở chỏm xương đùi (Hình-7) và chỏm xương cánh tay.
- Trên phim X quang thông thường, các ổ nhồi máu tủy xương cũ được nhìn thấy là các lắng đọng xương vô định hình, đậm đặc trong khoang tủy của các xương dài và thường được bao quanh bởi một lớp màng xơ cứng mỏng (Hình-8).



Bệnh Paget
- Bệnh Paget là một bệnh mãn tính về xương thường xảy ra ở nam giới lớn tuổi. Nguyên nhân hiện được cho là do nhiễm vi rút paramyxovirus mãn tính. Bệnh được đặc trưng bởi các mức độ khác nhau của tăng hấp thu xương và tăng hình thành xương, với tăng tạo xương chiếm ưu thế trong những trường hợp này được thấy ở các dạng tiến triển hơn của bệnh.
- Kết quả cuối cùng hầu như luôn luôn là xương đặc hơn. Mặc dù vậy, về mặt cơ học vẫn kém hơn xương bình thường và do đó dễ bị gãy xương bệnh lý hoặc biến dạng mềm xương như cong vòng kiềng. Các xương thường bị ảnh hưởng là xương chậu, tiếp theo là cột sống thắt lưng, cột sống ngực, đầu trên xương đùi và xương vòm sọ.
- Bệnh Paget thường được chẩn đoán bằng chụp X quang thông thường. Sau đây là các dấu hiệu hình ảnh của bệnh Paget:
- Dày vỏ xương
- So sánh độ dày của vỏ xương ở vùng nghi ngờ với một phần khác của cùng một xương hoặc, nếu được, cùng một xương bên đối diện của cơ thể.
- Tăng rõ bè xương
- Bè xương thô và dày (Hình- 9).
- Tăng kích thước của xương bị ảnh hưởng
- Bệnh sử “cổ điển” đối với bệnh Paget, hiện ít còn giá trị, là kích thước mũ đội tăng dần khi xương vòm sọ to ra do bệnh này.
- Dày vỏ xương

Xem tiếp: TỰ HỌC CHẨN ĐOÁN HÌNH ẢNH: CÁC BẤT THƯỜNG VỀ ĐẬM ĐỘ XƯƠNG. PHẦN 2
Lược dịch từ: Learning Radiology: RECOGNIZING THE BASICS. William Herring, MD, FACR.3rd EDITION. Elsevier Inc 2016. Chương 23.







