XEM LẠI: TỰ HỌC CHẨN ĐOÁN HÌNH ẢNH: CHẨN ĐOÁN MỘT SỐ BỆNH LÝ NỘI SỌ THƯỜNG GẶP. PHẦN 1
ĐỘT QUỴ (STROKE)
Một số lưu ý chung
- Đột quỵ là một thuật ngữ không đặc hiệu thường ám chỉ suy giảm chức năng thần kinh cấp tính xảy ra khi nguồn cung cấp máu cho một vùng não bị mất hoặc bị tổn hại.
- Chẩn đoán đột quỵ thường được thực hiện trên lâm sàng. Bệnh nhân nghi ngờ đột quỵ được xét nghiệm hình ảnh học để xác định xem có nguyên nhân nào khác gây suy giảm thần kinh ngoài đột quỵ hay không (như khối u não) và xác định sự hiện diện của máu để phân biệt đột quỵ thiếu máu cục bộ với đột quỵ xuất huyết. Việc có xuất huyết hay không nhằm cân nhắc có tiến hành liệu pháp làm tan huyết khối hay không, và nó có thể xác định được nhồi máu và đặc điểm của nó.
- Hầu hết các cơn đột quỵ cấp tính ban đầu đều được ghi hình bằng chụp CT não không cản quang (trong vòng 24 giờ sau khi bắt đầu xuất hiện các triệu chứng), chủ yếu là do tính sẵn có của phương pháp này. Các dấu hiệu trên CT có thể xuất hiện ngay sau đột quỵ xuất huyết và trong vòng vài giờ sau khi bắt đầu có các triệu chứng đối với đột quỵ do thiếu máu cục bộ.
- Hình ảnh Cộng hưởng từ MRI hiện càng được sử dụng rộng rãi hơn để chẩn đoán sớm. Hình ảnh MR khuếch tán nhạy hơn và tương đối đặc hiệu để phát hiện nhồi máu sớm, với khả năng phát hiện những thay đổi trong vòng 20 đến 30 phút sau khi khởi phát đột quỵ. Trên MRI, có thể xác định giai đoạn xuất huyết theo thời gian dựa trên những thay đổi hóa học xảy ra trong phân tử hemoglobin khi xuất huyết tiến triển (Hình 16).

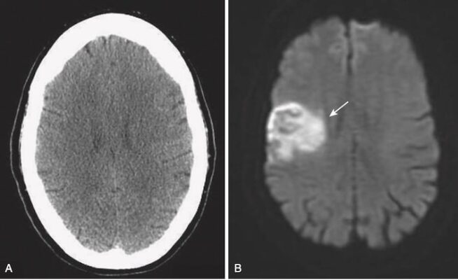
A, Chụp CT ở bệnh nhân này với các triệu chứng trong 2 giờ trước khi nghiên cứu là bình thường.
B, Chụp MRI khuếch tán trên cùng một bệnh nhân vài phút sau cho thấy một vùng có cường độ tín hiệu sáng bất thường ở vùng chẩm trán bên phải (mũi tên trắng). Hình ảnh khuếch tán (Diffusion-weighted imaging, DWI) là một chuỗi xung MRI có thể được thu nhận nhanh chóng và cực kỳ nhạy để phát hiện các bất thường trong chuyển động bình thường của nước trong não do đó có thể xác định đột quỵ trong vòng 20 đến 30 phút sau khi sự kiện xảy ra.
Đột quỵ do thiếu máu cục bộ (Ischemic Stroke)
- Bệnh huyết khối tắc mạch do hậu quả của xơ vữa động mạch là nguyên nhân phổ biến nhất của đột quỵ do thiếu máu cục bộ. Nguồn gốc của thuyên tắc có thể là từ các mảnh vỡ của mảng xơ vữa, hẹp hoặc tắc động mạch hoặc từ các thuyên tắc phát sinh từ phía bên trái của tim (ví dụ như rung nhĩ).
- Những vùng giáp ranh mạch máu (vascular watershed areas) là các vùng biên của phân bố động mạch đại diện cho các điểm nối giữa các vùng được nuôi dưỡng bởi các động mạch não chính, chẳng hạn như vùng giữa phân bố động mạch não trước và phân bố động mạch não giữa. Việc giảm lưu lượng máu, vì bất cứ lý do gì, đều ảnh hưởng nhiều nhất đến những vùng giáp ranh nhạy cảm và dễ bị tổn thương này.
- Phát hiện thường gặp nhất của đột quỵ cấp tính, không xuất huyết là chụp CT (dưới 24 giờ) bình thường. Nếu liên quan đến phân bố nhiều mạch máu, cần nghĩ đến nguyên nhân do thuyên tắc mạch (emboli) hoặc viêm mạch (vasculitis). Nếu đột quỵ đi qua hoặc nằm giữa các vùng phân bố mạch máu, thì cần xem nguyên nhân là giảm tưới máu do hạ huyết áp (nhồi máu vùng giáp ranh).
- Bảng 6 tóm tắt ngắn gọn bốn dạng phân bố mạch máu chính của đột quỵ và một số triệu chứng liên quan đến từng dạng.
- Nhận biết đột quỵ do thiếu máu cục bộ (Hình 17):
- Trên CT, các phát hiện sẽ phụ thuộc vào khoảng thời gian đã trôi qua kể từ sự kiện ban đầu.
- 12 đến 24 giờ: Vùng suy giảm không phân biệt rõ trong một vùng phân bố mạch máu.
- > 24 giờ: Tổn thương có giới hạn biên rõ hơn với hiệu ứng choán chỗ đạt đỉnh điểm sau 3 đến 5 ngày và thường biến mất sau 2 đến 4 tuần (xem Hình 17, A).
- 72 giờ: Mặc dù thuốc cản quang hiếm khi được sử dụng trong trường hợp đột quỵ cấp, việc tăng cường độ tương phản thường xảy ra khi hiệu ứng choán chỗ giảm dần hoặc đã mất.
- > 4 tuần: Hiệu ứng choán chỗ biến mất; có một tổn thương giảm tín hiệu được giới hạn rõ khi chụp không cản quang (xem Hình 17, B).
BẢNG 6 CÁC VÙNG PHÂN BỐ MẠCH MÁU CỦA ĐỘT QUỴ
| Tuần hoàn | Giải phẫu bị ảnh hưởng | Các dấu hiệu và triệu chứng |
|---|---|---|
| Động mạch não trước (ít gặp) | Cung cấp cho tất cả các thùy trán và thùy đỉnh (mặt trong), bốn phần năm trước của thể chai, vỏ não trán – đáy, và phần trước gian não. | Có thể dẫn đến sự mất ức chế với lặp lại lời nói (perseveration of speech, dù không còn kích thích); có các phản xạ nguyên thủy (ví dụ: phản xạ nắm hoặc mút tay), thay trạng thái tinh thần, suy giảm khả năng phán đoán, yếu nửa người đối bên (chân nhiều hơn tay). |
| Động mạch não giữa (thường gặp) | Cung cấp hầu như toàn bộ bề mặt ngoài của não, bao gồm thùy trán, thùy đỉnh và thùy thái dương (bên ngoài), cũng như thùy đảo, nhân trước tường (claustrum) và bao cực (extreme capsule). Các nhánh đậu vân (lenticulostriae) cung cấp máu cho các hạch nền, bao gồm phần đầu của nhân đuôi, và các bèo sẫm, bao gồm các phần ngoài của bao trong và bao ngoài. | Gây liệt nửa người hoặc giảm cảm giác đối bên, bán manh cùng bên, và nhìn về phía tổn thương; mất nhận dạng người/ đồ vật (agnosia) là phổ biến; có thể xảy ra thất ngôn tiếp nhận hoặc diễn đạt nếu tổn thương xảy ra ở bán cầu ưu thế; yếu tay và mặt thường nặng hơn yếu chi dưới. |
| Động mạch não sau | Cấp máu cho các phần của não giữa, nhân dưới đồi, nhân nền, đồi thị, thùy thái dương dưới, và các vỏ não chẩm và chẩm đỉnh. | Tắc nghẽn gây ảnh hưởng đến thị lực, gây ra bán manh đồng danh đối bên, mù vỏ não, chứng mất nhận dạng thị giác, thay đổi trạng thái tâm thần và suy giảm trí nhớ. |
| Hệ thống sống – nền ( Vertebrobasilar system) | Tưới máu cho hành tủy, tiểu não, cầu não, não giữa, đồi thị và vỏ não chẩm. | Sự tắc nghẽn của các mạch lớn trong hệ thống này thường dẫn đến khuyết tật nặng hoặc tử vong; các tổn thương nhỏ thường có tiên lượng lành tính; có thể gây ra nhiều loại khiếm khuyết dây thần kinh sọ, tiểu não và thân não; Dấu hiệu đặc trưng của đột quỵ ở tuần hoàn sau là các dấu hiệu chéo (crossed signs): khiếm khuyết dây thần kinh sọ cùng bên và khiếm khuyết vận động đối bên (trái ngược với đột quỵ ở tuần hoàn trước). |

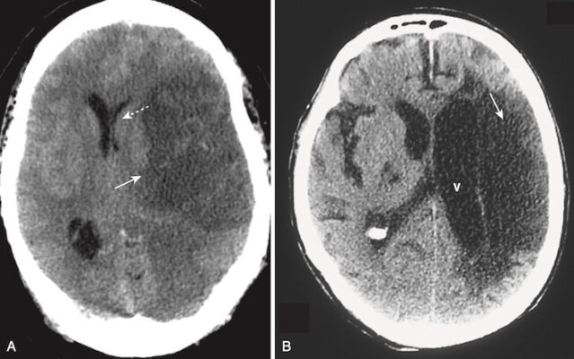
A, Vào khoảng 24 giờ, tổn thương có viền bao quanh tương đối rõ (mũi tên màu trắng đặc) với hiệu ứng choán chỗ biểu hiện bằng sự đẩy lệch của não thất (mũi tên màu trắng chấm), đạt đỉnh điểm từ 3 đến 5 ngày và biến mất sau khoảng 2 đến 4 tuần.
B, Khi đột quỵ trưởng thành, nó mất hiệu ứng choán chỗ, có xu hướng trở thành một tổn thương giảm tín hiệu bờ thậm chí còn rõ nét hơn (mũi tên màu trắng đặc), và có thể kết hợp với giãn não thất kế cận (V) do mất chất não trong vùng bị nhồi máu.
Đột quỵ do xuất huyết (Hemorrhagic Stroke)
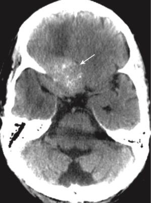
- Xuất huyết xảy ra trong khoảng 15% các trường hợp đột quỵ. Xuất huyết có liên quan đến tỷ lệ bệnh tật và tử vong cao hơn đột quỵ thiếu máu cục bộ. Xuất huyết do đột quỵ có thể xảy ra vào nhu mô não hoặc khoang dưới nhện.
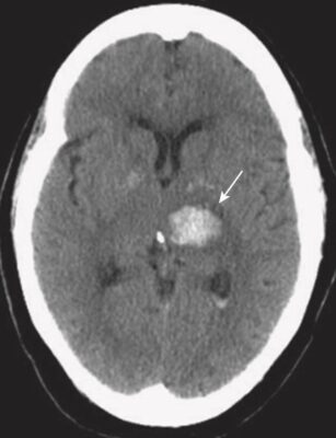
- Trong phần lớn các trường hợp, có tăng huyết áp kèm theo. Khoảng 60% trường hợp xuất huyết do tăng huyết áp xảy ra ở hạch nền. Các vùng khác thường liên quan là đồi thị, cầu não và tiểu não (Hình 18).
- Quyết định sử dụng thuốc tiêu sợi huyết hoặc một liệu pháp tái thông động mạch khác dựa trên các thuật toán được xây dựng bởi các dấu hiệu trên chụp CT không cản quang ban đầu. Bắt đầu điều trị càng nhanh (thường ít hơn 4 đến 5 giờ sau khi xuất hiện các triệu chứng), lợi ích có thể đạt được càng lớn.
- Nhận biết xuất huyết trong não (nói chung):
- Máu tươi mới thoát mạch hematocrit bình thường có thể nhìn thấy như là tăng tín hiệu trên phim chụp CT não không cản quang ngay sau biến cố (xem Hình 18). Điều này được cho là do protein trong máu (chủ yếu là hemoglobin).
- Phân tán máu vào hệ thống não thất có thể xảy ra trong chảy máu não do tăng huyết áp (xem Hình 11).
- Khi cục máu đông bắt đầu hình thành, máu trở nên đậm hơn trong khoảng 3 ngày do cục máu đông bị mất nước.
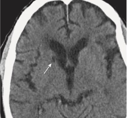
- Sau ngày thứ 3, cục máu đông giảm đậm độ và không nhìn thấy được trong vài tuần tiếp theo. Cục máu đông giảm đậm độ từ bên ngoài vào trong do đó nó có vẻ như co rút lại.
- Sau khoảng 2 tháng, có thể chỉ còn lại một vùng nhỏ giảm đậm độ (Hình 19; Box 1).
- Trên MRI, những thay đổi về hình ảnh của xuất huyết theo thời gian rõ ràng hơn. MRI nhạy với các thay đổi với cả phần sắt và protein của phân tử hemoglobin trong những ngày và tuần sau khi bị chảy máu cấp tính. Bảng 7 tóm tắt những thay đổi đó.


BẢNG 7 NHỮNG THAY ĐỔI VỀ HÌNH ẢNH CỦA MÁU THEO THỜI GIAN TRÊN MRI
| Giai đoạn | Thời gian | T1 | T2 |
|---|---|---|---|
| Tối cấp | <24 giờ | Đồng tín hiệu | Sáng |
| Cấp | 1–3 ngày | Đồng tín hiệu | Tối |
| Bán cấp sớm | 3–7 ngày | Sáng | Tối |
| Bán cấp muộn | 7–14 ngày | Sáng | Sáng |
| Mạn tính | > 14 ngày | Tối | Tối |
VỠ PHÌNH MẠCH (RUPTURED ANEURYSMS)
- Phình mạch hệ thần kinh trung ương thường gặp nhất là phình động mạch hình túi (berry aneurysm), phát triển từ sự suy yếu bẩm sinh ở thành động mạch, thường là ở các vị trí phân nhánh mạch máu trong vòng Willis ở đáy não. Nó có thể mang tính chất gia đình (khoảng 10% trường hợp) hoặc liên quan đến các bệnh mô liên kết.
- Tăng huyết áp và lão hóa đóng một vai trò trong sự phát triển của phình động mạch. Những túi phình lớn hơn thường chảy máu hơn những túi phình nhỏ hơn.
- Mục đích là phát hiện và điều trị chứng phình động mạch trước khi nó bị chảy máu lớn. Trong một số nghiên cứu, kích thước được xem là quan trọng với vỡ phình mạch là 10 mm.
- Khi phình mạch bị vỡ, máu thường đi vào khoang dưới nhện.
- Vỡ túi phình là nguyên nhân không do chấn thương phổ biến nhất của xuất huyết dưới nhện (80%) nhưng không phải là nguyên nhân duy nhất, bởi vì chấn thương, dị dạng động tĩnh mạch (AVM), hoặc chảy máu trong nhu mô cũng có thể gây xuất huyết dưới nhện.
- Ngày nay, hầu hết các phình động mạch được phát hiện bằng chụp mạch CT hoặc chụp mạch MR.
- Chụp mạch CT được thực hiện bằng cách sử dụng một kim phun điện để truyền nhanh (bolus) thuốc cản quang i-ốt vào tĩnh mạch, một máy quét CT có khả năng thu thập dữ liệu nhanh chóng và các thuật toán máy tính đặc biệt và kỹ thuật xử lý hậu kỳ có thể làm nổi bật các mạch máu và nếu muốn, hiển thị chúng theo ba chiều (Hình 20).
- Chụp mạch MR thường được thực hiện không có thuốc cản quang bằng kỹ thuật time-of-fly (TOF). Kỹ thuật này mô tả máu chảy trong động mạch có màu trắng. Quá trình xử lý hậu kỳ bằng máy tính của hình ảnh tạo ra các bản tái tạo ba chiều.
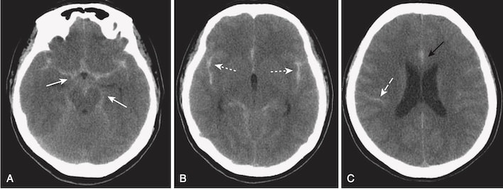
- Nhận biết xuất huyết dưới nhện (do vỡ phình động mạch) (Hình 21)
- Trên CT, chảy máu cấp tính tăng đậm độ và có thể được nhìn thấy trong các rãnh não và bể đáy (xem Hình 21, A và 21, B).
- Vùng liềm có thể trở nên tăng đậm, rộng ra và có bờ bất thường (xem Hình 21, C).
- Nói chung, nơi có tập trung máu nhiều nhất có thể là nơi có khả năng vỡ phình động mạch cao nhất.
- Các nguyên nhân khác gây xuất huyết trong não ngoài phình động mạch bao gồm dị dạng động tĩnh mạch, các khối u, phình động mạch hình nấm (mycotic, do nhiễm trùng) và bệnh mạch amyloid (Hộp 2).


NÃO ÚNG THỦY (HYDROCEPHALUS)
- Não úng thủy được định nghĩa là sự giãn nở của hệ thống não thất trên cơ sở tăng thể tích dịch não tủy chứa trong nó (Hộp 3).
- Não úng thủy có thể do một số yếu tố nguyên nhân:
- Hấp thụ không đủ dịch não tủy (não úng thủy thông)
- Hạn chế dòng chảy của dịch não tủy ra khỏi các não thất (não úng thủy không thông)
- Sản xuất quá mức dịch não tủy (hiếm gặp)
- Trong não úng thủy, các não thất thường bị giãn rộng một cách không cân đối so với với rãnh não, trong khi trong teo não thì cả não thất và rãnh não đều giãn rộng.
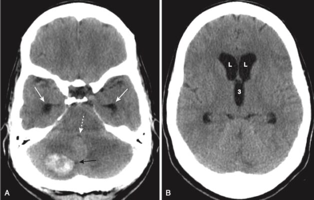
- Sừng thái dương đặc biệt nhạy với tăng áp lực dịch não tủy. Trong trường hợp không có não úng thủy, sừng thái dương hầu như không nhìn thấy được. Với não úng thủy, sừng thái dương có thể có kích thước lớn hơn 2 mm (Hình 22).

Não úng thủy do tắc nghẽn
- Não úng thuỷ tắc nghẽn được chia thành hai loại chính: thông (tắc nghẽn ngoài não thất) và không thông (tắc nghẽn trong não thất).
- Não úng thủy thông (communicating hydrocephalus) là do các bất thường ức chế tái hấp thu dịch não tủy, thường xảy ra ở nhung mao màng nhện (Hình 23).
- Bình thường dòng chảy dịch não tủy qua các não thất và nền sọ không bị cản trở. Sự tái hấp thu qua nhung mao có thể bị hạn chế bởi những nguyên nhân như xuất huyết dưới nhện hoặc viêm
- màng não.
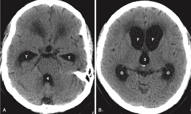
- Điển hình, não thất 4 bị giãn ra trong não úng thủy thông và có kích thước bình thường trong não úng thủy thông.
- Não úng thủy thông thường được điều trị bằng đặt shunt não thất.
- Não úng thủy không thông xảy ra do các khối u, nang hoặc các tổn thương gây tắc nghẽn khác không cho dịch não tủy thoát ra khỏi các não thất (Hình 24).
- Não úng thủy bẩm sinh thường được tạo ra do tắc nghẽn giữa não thất 3 và não thất 4 ở cống Sylvius (tắc nghẽn cống).
- Khi tắc nghẽn do khối u hoặc nang gây ra, não úng thủy không thông thường được điều trị bằng phẫu thuật cắt bỏ tổn thương tắc nghẽn.
- Não úng thủy không tắc nghẽn do sản xuất quá mức dịch não tủy rất hiếm gặp và có thể xảy ra với u nhú đám rối màng mạch.


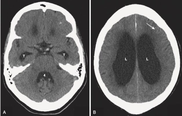
Não úng thủy áp lực bình thường (Normal-Pressure Hydrocephalus)
- Não úng thuỷ áp lực bình thường (NPH) là một dạng não úng thủy thông được đặc trưng bởi tam chứng lâm sàng cổ điển: bất thường về dáng đi, sa sút trí tuệ và tiểu không tự chủ. Tuổi khởi phát thường từ 60 đến 70 tuổi.
- Việc nhận biết loại não úng thuỷ này rất quan trọng vì thường có thể điều trị được bằng sử dụng shunt não thất – phúc mạc một chiều, cho phép dịch não tủy thoát ra khỏi não thất và dẫn lưu vào khoang màng bụng, nơi dịch não tủy được tái hấp thu.
- Các dấu hiệu về hình ảnh học cũng tương tự như các dạng não úng thủy thông khác và gồm giãn não thất, đặc biệt là sừng thái dương, với các rãnh não bình thường hoặc dẹt (Hình 25).

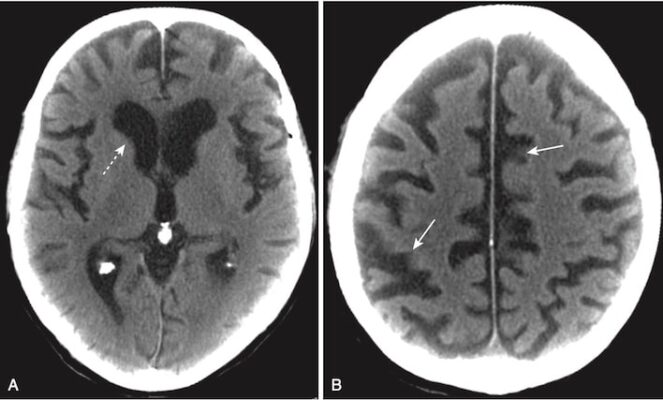
TEO NÃO (CEREBRAL ATROPHY)
- Các rối loạn liên quan đến teo não đại thể cũng liên quan đến chứng sa sút trí tuệ (dementia), mà bệnh Alzheimer là một trong những bệnh phổ biến nhất. Teo có nghĩa là mất cả chất xám và chất trắng.
- Phát hiện chính ở bệnh nhân mắc bệnh Alzheimer (mặc dù không đặc hiệu) là teo vỏ não lan tỏa, đặc biệt là ở thùy thái dương.
- Giống như trong não úng thủy, các não thất giãn ra trong bệnh teo não, nhưng là do mất mô não bình thường tạo ra một khoảng trống được lấp đầy thụ động bởi các não thất chứa đầy dịch não tủy. Không giống như não úng thủy, sản xuất và hấp thụ dịch não tủy là bình thường trong teo não.
- Nói chung, teo não dẫn đến sự to ra tương xứng của cả não thất và các rãnh não (Hình 26).

CÁC KHỐI U NÃO (BRAIN TUMORS)
U Glioma (tế bào thần kinh đệm) ở não
- U tế bào thần kinh đệm là khối u của mô não nguyên phát, trên lều phổ biến nhất ở người lớn. Chúng chiếm 30% các khối u não các loại và 80% các khối u não ác tính nguyên phát. U nguyên bào thần kinh đệm đa dạng (Glioblastoma multiforme, GBM)) chiếm hơn một nửa tổng số u thần kinh đệm, khoảng 20% là u tế bào hình sao (astrocytoma), phần còn lại bao gồm u màng não thất (ependymoma), u thần kinh đệm ít nhánh (oligodendroglioma) và u thần kinh đệm hỗn hợp (ví dụ u oligoastrocytoma).
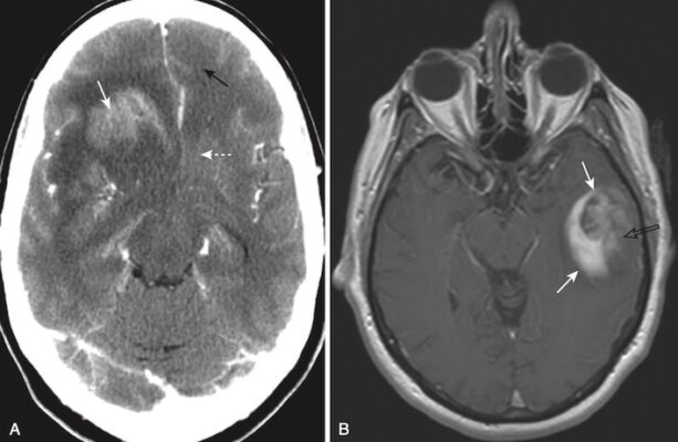
- U nguyên bào thần kinh đệm đa dạng thường gặp ở nam từ 65 đến 75 tuổi, đặc biệt là ở thùy trán và thùy thái dương. Loại u này có tiên lượng xấu nhất trong tất cả các u thần kinh đệm.
- U này xâm nhập vào các vùng não kế cận dọc theo các đường/bó chất trắng, gây khó khăn cho việc cắt bỏ khối u, nhưng giống như hầu hết các khối u não, nó không tạo ra di căn ngoài não.
- Nhận biết u nguyên bào thần kinh đệm đa dạng:
- Là khối u ác tính nhất, u nguyên bào thần kinh đệm đa dạng thường biểu hiện hoại tử bên trong khối u.
- Khối u xâm nhập vào mô não xung quanh, thường bắt ngang các bó chất trắng của thể chai sang bán cầu đại não đối diện, tạo ra một hình dạng gọi là u thần kinh đệm hình bướm (butterfly glioma).
- Nó có xu hướng tạo ra hiệu ứng phù nề do mạch máu và hiệu ứng choán chỗ đáng kể và tăng cường với chất cản quang, ít nhất là một phần (Hình 27).

U di căn
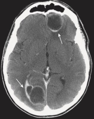
- Các khối trong não đơn độc được chia đều giữa di căn đơn độc và u não nguyên phát. Khoảng 40% của tất cả các khối u nội sọ là di căn. Các ung thư nguyên phát thường gặp di căn đến não là các khối u ác tính ở phổi, vú và u hắc tố (melanoma).
- Nhận biết di căn đến não:
- Di căn đến não thường các khối tròn, bờ xác định rõ gần chỗ nối chất xám – chất trắng.
- Thường là nhiều khối nhưng có thể đơn độc một khối.
- Chúng thường là giảm tín hiệu hoặc đồng tín hiệu trên CT không cản quang.
- Với thuốc cản quang tĩnh mạch, chúng có thể tăng cường tín hiệu, đôi khi có tăng tín hiệu dạng vòng nhẫn (ring enhancement).
- Hầu hết gây phù nề do mạch máu, thường không tương xứng với kích thước của khối u (Hình 28).

U màng não (Meningioma)
- U màng não là khối u ngoài mô não (extraaxxial) phổ biến nhất, thường xảy ra ở phụ nữ trung niên. Các vị trí thường gặp với tỷ lệ giảm dần là đường dọc giữa, trên những nếp lồi, cánh bướm và bể chứa góc tiểu não – cầu não.
- U này có xu hướng phát triển chậm với tiên lượng tốt nếu được phẫu thuật cắt bỏ.
- Khi có nhiều u, chúng có thể có mối liên quan với u xơ thần kinh (neurofibromatosis ) loại 2.
- Nhận biết u màng não trên CT scan não:
- Trên CT không cản quang, hơn một nửa là tăng tín hiệu so với não bình thường và khoảng 20% chứa vôi hóa (Hình 29).
- Khi có chất cản quang, u màng não tăng cường tín hiệu rõ rệt.
- Chúng có thể gây phù nề do mạch máu ở nhu mô não lân cận.

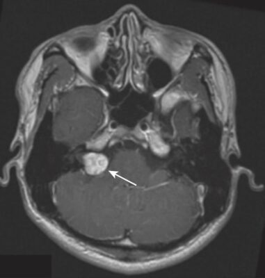
U tế bào Schwann (Schwannoma) tiền đình (U dây thần kinh thính giác, Acoustic Neuroma)
- Schwannoma tiền đình là những u tế bào Schwann thường gặp nhất trong tất cả các dây thần kinh sọ. Triệu chứng phổ biến nhất là giảm thính lực, nhưng cũng có thể có ù tai và rối loạn thăng bằng.
- U này thường ở dọc theo đường đi của dây thần kinh số VIII trong ống tai trong ở góc tiểu não – cầu não (Hình 30).
- Tương tự như u màng não, khi có nhiều khối u (tức là ở hai bên), chúng thường liên quan đến u xơ thần kinh loại 2.
- MRI có tăng cường chất đối quang từ là nghiên cứu hình ảnh nhạy nhất để phát hiện u tế bào Schwann tiền đình, hầu như luôn tăng cường tín hiệu, thường là đồng nhất. Trên hình ảnh T2W lát cắt mỏng, có thể thấy u bên trong ống tai trong.

CÁC BỆNH LÝ KHÁC
Xơ cứng rải rác
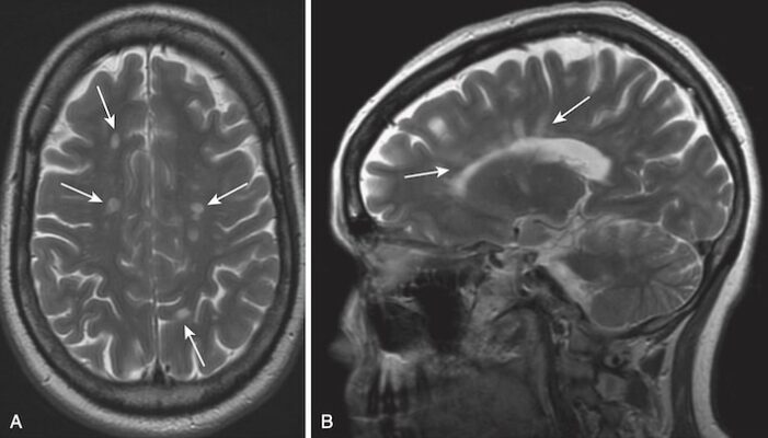
- Xơ cứng rải rác (Multiple sclerosis, MS) được xem là bệnh có nguồn gốc tự miễn dịch và là bệnh mất myelin thường gặp nhất. Bất kỳ chức năng thần kinh nào cũng có thể bị ảnh hưởng bởi bệnh này, với một số bệnh nhân chủ yếu có những thay đổi về nhận thức, trong khi những bệnh nhân khác bị thất điều, yếu liệt hoặc có triệu chứng về thị giác.
- Điển hình đặc trưng bởi tiến triển tái phát và thuyên giảm, chẩn đoán MS cần xác định các tiêu chuẩn lâm sàng cụ thể, nhưng hình ảnh học bằng MRI cùng với các xét nghiệm hỗ trợ giờ đây cho phép chẩn đoán sau một đợt duy nhất.
- Bệnh đặc trưng ảnh hưởng đến các bó (chất trắng) có myelin với các tổn thương được gọi là mảng (plaques). Các tổn thương của bệnh Xơ cứng rải rác có xu hướng ở vùng quanh não thất, thể chai và các dây thần kinh thị giác.
- MRI là nghiên cứu được chọn lựa trong chẩn đoán hình ảnh bệnh Xơ cứng rải rác nhạy hơn CT trong việc chứng minh các mảng ở não và cả tủy sống.
- Tổn thương tạo ra các ổ hình cầu, rời rạc, có cường độ tín hiệu cao (màu trắng) trên T2W.
- Trên hình ảnh T1W không cản quang, các ổ này giảm tín hiệu hoặc đẳng tín hiệu, nhưng trong MS cấp tính, các tổn thương tăng cường tín hiệu với gadolinium trên hình ảnh T1W.
- Các tổn thương có xu hướng định hướng với các trục dài của chúng vuông góc với thành não thất (Hình 31).

XEM THÊM: BỆNH XƠ CỨNG RẢI RÁC (MULTIPLE SCLEROSIS): CHẨN ĐOÁN VÀ XỬ TRÍ
Lược dịch có chỉnh sửa từ: Learning Radiology: RECOGNIZING THE BASICS. William Herring, MD, FACR.3rd EDITION. Elsevier Inc 2016.







