Phần 2 bàn đến chẩn đoán hình ảnh cơ bản các bệnh lý ác tính, gãy xương, viêm nhiễm ở cột sống.
XEM LẠI: TỰ HỌC CHẨN ĐOÁN HÌNH ẢNH: CHẨN ĐOÁN ĐAU CỔ VÀ ĐAU THẮT LƯNG. PHẦN 1
BỆNH LÝ ÁC TÍNH ẢNH HƯỞNG ĐẾN CỘT SỐNG
- Di căn đến xương nhiều hơn 25 lần so với các khối u xương nguyên phát. Di căn thường xảy ra ở nơi có tủy đỏ (red marrow), với 80% tổn thương xương di căn xảy ra ở xương trục (axial bone) (tức là cột sống, xương chậu, xương sọ và xương sườn) vì đây là nơi, với sự lão hóa bình thường, có chứa tủy đỏ.
- Do nguồn cung cấp máu dồi dào ở phần sau của thân đốt sống, nên thường gặp di căn theo đường máu đến phần đó của cột sống, đặc biệt là từ ung thư biểu mô phổi và vú.
- Ở cột sống, di căn có thể dẫn đến gãy xương do nén. Di căn có xu hướng phá hủy thân đốt sống, bao gồm cả mặt sau và các cuống, khác với gãy xương do nén trong loãng xương trong đó phần sau thân đốt sống và cuống cung vẫn còn nguyên vẹn.
- Như đã trình bày ở bài Các Bất thường Mật độ Xương, di căn xương có thể chủ yếu là tạo xương, hoặc chủ yếu là hủy xương (tức là tiêu xương). Các di căn gồm cả quá trình tiêu xương và tạo xương xảy ra đồng thời được gọi là tổn thương di căn hỗn hợp.
- Ung thư tuyến tiền liệt và ung thư vú là các ví dụ điển hình của một bệnh ác tính nguyên phát di căn tạo xương ở nam và ở nữ. Các nguyên nhân phổ biến nhất của các khối u ác tính nguyên phát tạo ra các tổn thương di căn tiêu xương là ung thư phổi và ung thư vú. Ung thư biểu mô tuyến giáp và thận có thể tạo ra các tổn thương tiêu xương, cũng có thể lan rộng ra.
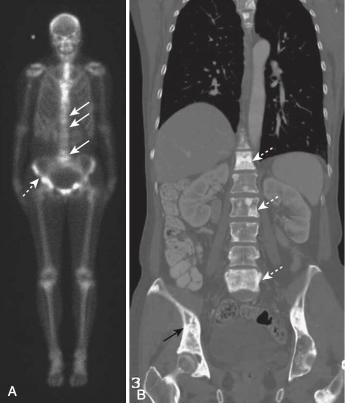
- Cột sống cũng là vị trí thường gặp của bệnh đa u tủy, một bệnh lý ác tính nguyên phát phổ biến nhất của xương. Đa u tủy được biết đến với xu hướng tạo ra các tổn thương hầu hết là tiêu xương. Một trong những dấu hiệu đặc trưng của đa u tủy là loãng xương, do đó đa u tủy có thể kết hợp với loãng xương cột sống lan tỏa và gãy xương do nén ở nhiều đốt (Hình 12).
- Thăm dò hình ảnh sàng lọc được lựa chọn hiện nay để phát hiện di căn cột sống là xạ hình xương technetium-99m (99mTc) (quét xương với phóng xạ hạt nhân). Technetium thường được liên kết với methylene diphosphonate (MDP) để vận chuyển 99mTc vào xương. Phương pháp xạ hình xương tương đối rẻ tiền, phổ biến rộng rãi và có thể sàng lọc toàn bộ cơ thể. Mặc dù xạ hình xương có độ nhạy cao để phát hiện sự hiện diện của di căn, nhưng chúng không đặc hiệu lắm. Trong nhiều trường hợp, một thăm dò khẳng định, thường là chụp X quang thường quy, là cần thiết để loại trừ các nguyên nhân khác gây ra sự hấp thu bất thường của chất phóng xạ như gãy xương, nhiễm trùng và viêm khớp (Hình 13).
XEM LẠI: TỰ HỌC CHẨN ĐOÁN HÌNH ẢNH: CÁC BẤT THƯỜNG VỀ ĐẬM ĐỘ XƯƠNG. PHẦN 1


MRI TRONG BỆNH DI CĂN CỘT SỐNG
- MRI có thể phát hiện những thay đổi của di căn cột sống thậm chí sớm hơn so với quét phóng xạ hạt nhân, và kỹ thuật hiện nay có thể cho phép sàng lọc nhanh toàn bộ cơ thể tương tự như quét xương bằng phóng xạ hạt nhân.
- Với thâm nhiễm tân sinh của tủy xương, có sự giảm tín hiệu bình thường cao của đốt sống trên các hình ảnh T1W, và thường có tín hiệu cao trên các hình ảnh T2W (Hình 14).
- Không giống như gãy xương do nén do loãng xương (có xu hướng không ảnh hưởng phần sau của thân đốt sống trong khi làm xẹp phần trước và giữa), di căn cột sống thường ảnh hưởng đến toàn bộ thân đốt sống, bao gồm cả phần sau.

CHẤN THƯƠNG CỘT SỐNG
- Gãy cột sống ít gặp hơn gãy các phần khác của khung xương. Gãy cột sống khi xảy ra có tầm quan trọng đặc biệt vì có liên quan đến tổn thương tủy sống. Các đốt sống thường bị gãy nhất là L1, L2 và T12, chiếm hơn một nửa số trường hợp gãy cột sống ngực-thắt lưng. Ở cột sống ngực, gãy xẹp do nén là loại gãy cột sống phổ biến nhất.
- Ba đường cong ở cột sống cổ (xem Hình 2, Phần 1).
- Nhiều quy trình chụp X quang chấn thương bao gồm chụp phim nghiêng cột sống cổ cắt ngang bàn khám (cross-table) (cổ bệnh nhân được cố định, bệnh nhân vẫn nằm trên cáng hoặc bàn khám, và chiếu tia X hướng ngang để đầu bệnh nhân không bị xê dịch).
- Góc chụp này cho phép đánh giá nhanh tình trạng gãy / lệch cột sống trước khi thực hiện các đánh giá sâu hơn, có thể liên quan đến vận động của cổ bệnh nhân.
- Ở phần 1, chúng ta đã nói về ba đường cong song song ở cổ. Sự di lệch ra khỏi đường cong song song bình thường này gợi ý thân đốt sống bj bán trật và/hoặc gãy xương.
- Một số loại gãy cột sống thường gặp:
- Gãy xương do nén (gãy xẹp đốt sống), là loại gãy xương cột sống phổ biến nhất, đã được bàn luận ở phần 1
- Gãy Jefferson
- Gãy Hangman (Gãy xương người treo cổ)
- Gãy vỡ nhiều mảnh (burst fracture)
- Gãy Chance
Gãy Jefferson
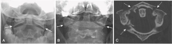
- Gãy Jefferson là gãy C1 thường liên quan đến cả cung trước và cung sau. Trong gãy kiểu cổ điển của nó, có gãy xương hai bên của cả cung trước và cung sau của C1, tạo ra cả thảy bốn vị trí gãy xương.
- Nguyên nhân là do chấn thương do lực tải dọc trục (ví dụ như nhảy xuống bể bơi và đập đầu xuống đáy).
- Trên phim chụp X quang thường quy, dấu hiệu của gãy Jefferson là lệch bù ra ngoài hai bên của các khối bên của C1 so với C2 quan sát được trên phim X quang cột sống cổ tư thế thẳng và há/mở miệng (open-mouth view) (góc nhìn đội trục). Gãy xương được khẳng định bằng chụp CT (Hình 15).
- Gãy xương Jefferson là gãy xương “tự giảm áp” (self-decompressing), trong đó ống sống ở ngang mức gãy xương đủ rộng để dung chứa bất kỳ sự sưng phù nào của tuỷ sống. Thường không có khiếm khuyết thần kinh liên quan đến loại gãy xương này.

Gãy Hangman (Gãy qua eo C2)
- Gãy hangman (hangman’s fracture, gãy xương của người treo cổ) là gãy các thành phần sau của C2. Gãy xương của người treo cổ là do chấn thương quá duỗi- nén ép thường xảy ra trong tai nạn xe mô tô khi người lái đập trán vào kính chắn gió.
- Gãy qua eo C2 được quan sát rõ nhất ở phim chụp nghiêng cột sống cổ trên X quang thường quy và các lát cắt đứng dọc trên CT.
- Gãy loại này thường làm tách phần sau của thân đốt sống C2 khỏi phần trước của C2, làm cho phần trước của C2 bán trật ra phía trước trên thân của C3 (Hình 16).
- Một số trường hợp gãy qua eo C2 ít bị di lệch hơn và có thể cần chụp CT để phát hiện.
- Bởi vì gãy qua eo C2 dẫn đến làm rộng ống sống, chúng thường không gây tổn thương thần kinh. Điều này trái ngược với chấn thương mà loại gãy xương này được đặt tên, gãy xương khi bị treo cổ. Khi bị treo cổ, hiện tượng quá duỗi cổ gây gãy C2 và sự kéo tách C2 khỏi C3 do bị treo làm kéo cả tuỷ sống.

Gãy vỡ nhiều mảnh (burst)
- Gãy vỡ nhiều mảnh có thể xảy ra ở bất kỳ đoạn nào nhưng thường gặp nhất là ở cột sống cổ, cột sống ngực và cột sống thắt lưng trên.
- Đó là những chấn thương do lực tải dọc trục nặng nề (năng lượng cao), thường thứ phát sau tai nạn xe cơ giới hoặc ngã, trong đó đĩa đệm ở trên bị dồn vào thân đốt sống bên dưới, và thân đốt sống bị vỡ ra. Điều này làm cho các mảnh xương bị đẩy ra phía sau vào ống sống (các mảnh xương lồi ra sau), và mặt trước của thân đốt sống bị di lệch ra phía trước.
- Bởi vì những gãy xương này liên quan đến sự xâm nhập vào ống sống, phần lớn gãy vỡ nhiều mảnh này kèm theo khiếm khuyết thần kinh.
- Các dấu hiệu của gãy vỡ nhiều mảnh bao gồm gãy nén ép nhiều mảnh (comminuted compression fracture) của thân đốt sống, trong đó phần sau của thân đốt bị đẩy ra phía sau về phía ống sống. CT là thăm dò hình ảnh tốt nhất để xác định các mảnh xương trong ống sống (Hình 17).

Gãy Chance
- Gãy Chance (được đặt theo tên của George Q. Chance, bác sĩ X quang người Anh, người đầu tiên mô tả chúng) là gãy ngang qua toàn bộ thân đốt sống, cuống cung và mỏm gai thường xảy ra do ngã hoặc tai nạn xe ô tô mà người ngồi trên xe chỉ đeo dây an toàn ở hông (không quàng qua vai – nên còn gọi là seat belt). Gãy này điển hình xảy ra ở cột sống thắt lưng trên- ngực dưới và có một tỷ lệ tương đối cao các chấn thương nội tạng trong ổ bụng, đặc biệt là tá tràng, tuyến tụy và mạc treo tràng.
- Các dấu hiệu chụp X quang bao gồm một gãy ngang cắt qua thân đốt sống, cuống cung và mỏm gai.
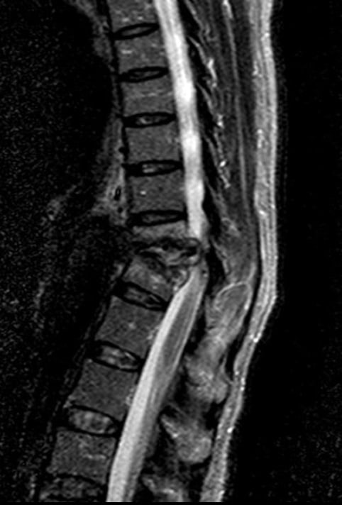
Locked facets (trật cài khớp diện nhỏ/liên mỏm)
- Trật cài khớp diện nhỏ hai bên ở cột sống cổ có thể xảy ra do một chấn thương gập quá mức (hyperflexion) trong đó các diện nhỏ dưới của một thân đốt sống trượt qua và ra trước các diện nhỏ trên của đốt sống bên dưới. Ở vị trí này, các mặt khớp bị trượt không thể trở lại vị trí bình thường nếu không can thiệp; vì thế được gọi là bị cài khoá (locked).
- Trật cài khớp diện nhỏ xảy ra khi có sự trượt ra phía trước của thân đốt sống phía trên lên phần thân đốt bên dưới ít nhất 50% đường kính trước sau (AP).
- Trên phim nghiêng cột sống cổ, mỏm khớp/diện nhỏ dưới (của đốt trên) nằm trước mỏm khớp trên (của đốt dưới), ngược với quan hệ giải phẫu bình thường giữa các mỏm khớp (Hình 18).
- Vì các mỏm khớp trên không còn được “che phủ” bởi các mỏm khớp dưới ở phía trên chúng, nên hình ảnh này trên CT được gọi là dấu hiệu mỏm khớp ở trần (naked facet sign).
- Tổn thương này hầu như luôn luôn dẫn đến khiếm khuyết thần kinh.

Lược dịch có chỉnh sửa từ: Learning Radiology: RECOGNIZING THE BASICS. William Herring, MD, FACR.3rd EDITION. Elsevier Inc 2016.
MỘT SỐ BỔ SUNG PHẦN CHẤN THƯƠNG CỘT SỐNG
Đánh giá độ vững của chấn thương cột sống
Denis chia cột sống thành 3 cột (column): cột trước, cột giữa và cột sau. Cột trước là nửa trước của thân đốt sống và dây chằng dọc trước, cột giữa là nửa sau của thân đốt sống và dây chằng dọc sau, và cột thứ ba là những thành phần sau bao gồm các cuống đốt sống (pedicles) và các diện khớp nhỏ (facets).

Sự hiện diện của thương tổn đối với hai trong ba cột này xác lập sự không vững (instability) của cột sống.
| Loại gãy | Cột liên quan |
|---|---|
| Gãy xẹp do nén | Cột trước |
| Vỡ nhiều mảnh thân sống (burst) | Cột trước và cột giữa |
| Gãy Seat belt (dây đai)/Chance | Cột giữa và cột sau |
| Gãy trật | Tất cả các cột |

Một số gãy cột sống vững
- Gãy giọt lệ (Teardrop avulsion fractures) của các thân đốt sống cổ.
- Gãy mỏm gai (spinous process).
- Gãy xẹp thân đốt sống chưa đến 50% chiều cao
- Gãy một bên bản sống, diện khớp, hay cuống đốt sống
- Các mặt khớp của các đốt sống bị gài hai bên, trong đó những mặt khớp dưới chồng lên những mặt khớp trên của thân đốt sống bên dưới, cũng được xem là vững, nếu không được nắn.

LAO CỘT SỐNG
- Viêm cột sống – đĩa đệm do lao, còn được gọi là bệnh Pott, là bệnh viêm tủy xương của thân đốt sống và viêm đĩa đệm do vi khuẩn lao (TB), chiếm khoảng 50% tổng số lao cơ xương khớp và thường ảnh hưởng đến các đốt sống ngực dưới và thắt lưng trên của cột sống.
- Về lâm sàng, bệnh nhân thường có biểu hiện đau lưng, yếu/liệt chi dưới và biến dạng gù cột sống. Các triệu chứng về thể tạng (sốt và sụt cân) cũng thường gặp nhưng không rõ rệt như đối với viêm đĩa đệm / viêm tủy xương do vi khuẩn. Trong bệnh lao cột sống giai đoạn cuối, các ổ áp xe cạnh sống lớn có thể phát triển mà không gây đau nhiều và không có dấu hiệu viêm nổi bật; do đó được gọi là áp xe lạnh (cold abscess).
Sự lan truyền của vi khuẩn lao đến cột sống
Vi khuẩn lao lan đến cột sống qua cả đường máu động mạch và tĩnh mạch, dẫn đến các kiểu nhiễm khác nhau.
Lan đến phía trước
- Lan qua cung động mạch trước dẫn đến nhiễm trùng trước trên và trước dưới, tiếp giáp với đĩa đệm. Ở người lớn và đặc biệt là những người cao tuổi, đĩa đệm có thể ít bị ảnh hưởng do mạch máu nghèo nàn. Ngược lại, ở những người trẻ hơn, đặc biệt là trẻ em, đĩa đệm có thể bị ảnh hưởng sớm vì nó có nguồn cung cấp máu dồi dào hơn nhiều.
- Nhiễm trùng sau đó lan xuống bên dưới các dây chằng dọc trước và có thể dẫn đến nhiễm trùng các thân đốt sống lân cận.
- Sự xẹp dần phần trước đốt sống thường dẫn đến biến dạng gù góc. Sự gập góc này, cùng với mô hạt ngoài màng cứng và các mảnh xương, có thể gây chèn ép tuỷ sống.
Lan đến giữa thân đốt
- Lan qua đám rối tĩnh mạch của Batson thường dẫn đến nhiễm trùng ở giữa thân đốt sống, thường gặp hơn ở những người lớn tuổi.
- Sự xẹp dần dần có thể dẫn đến đốt sống phẳng (vertebra plana) và biến dạng gù gập góc. Sự gập góc này, cùng với mô hạt ngoài màng cứng và các mảnh xương, có thể dẫn đến chèn ép tuỷ sống.
Lan đến phía sau
- Lan đến phía sau (hình thái phụ) là do sự lan truyền theo đường máu tĩnh mạch qua đám rối tĩnh mạch phía sau.
Ảnh hưởng đến khớp hoạt dịch
- Lao cột sống ít ảnh hưởng đến khớp hoạt dịch, nhưng cũng có thể gặp trường hợp ảnh hưởng đến các khớp diện nhỏ và khớp đội- trụ và chẩm- đội.
Đặc điểm hình ảnh học
X quang thường quy
- Sự lan của nhiễm trùng thường được mô tả là ‘dưới dây chằng’: bên dưới dây chằng dọc trước, thường không ảnh hưởng các thành phần ở phía sau và thường ảnh hưởng đến nhiều mức đốt sống.
- Viêm cột sống do lao có thể khó phát hiện ở giai đoạn đầu vì chiều cao đĩa đệm tương đối được bảo tồn.
- Giảm chiều cao đốt sống thường thấy với sự không đều của mặt khớp (bản tận) là dấu hiệu tương đối sớm và khó phát hiện. Do kiểu lan dưới dây chằng, bờ trước thân đốt sống có thể không đều (một dấu hiệu cổ điển của lao cột sống). Dần dần, khe khớp hẹp nhiều hơn, đốt sống bắt đầu xẹp hình chêm, bề mặt khớp bị phá huỷ nham nhở, không đều, có ổ khuyết xương dưới sụn. Áp xe lạnh là vùng mờ hình thoi bao quanh ổ tổn thương ở vùng ngực, có thể lan xuống dọc cơ psoas.
- Các dấu hiệu khác có thể gặp: đốt sống ngà voi (ivory vertebra), đốt sống phẳng (vertebrae plana, xẹp đều)
- Ở giai đoạn nặng, đốt sống có thể bị phá huỷ hoàn toàn, cột sống bị gập góc ra trước, tương ứng với điểm gù trên lâm sàng, đốt sống có thể bị di lệch chèn ép tuỷ sống.
- Cũng như các bệnh lao ngoài phổi khác, phim x quang ngực có thể không phát hiện tổn thương phổi trong khoảng 50% trường hợp.
CT và MRI
- Hình ảnh cắt ngang cho phép đánh giá tốt hơn mức độ ảnh hưởng và đặc biệt là tổn thương lan vào ống tuỷ, gây chèn ép tuỷ. MRI là thăm dò hình ảnh được lựa chọn cho mục đích này. CT ít nhạy hơn so với MRI.
- Chụp cộng hưởng từ với gadolinium cho phép bác sĩ kiểm tra những bất thường ở các mô, đĩa đệm và đốt sống. Từ đó giúp phát hiện tình trạng hủy xương, hoại tử xương, hẹp khe khớp. Đồng thời kiểm tra chèn ép tủy sống, dây thần kinh và áp xe (nếu có).
- Các đặc điểm bao gồm sự không đều của bản tận và cả mặt trước của thân đốt sống, với sự phù nề của tủy xương trên MRI.
- T1: giảm tín hiệu tủy xương ở các đốt sống liền kề
- T2: tăng tín hiệu tủy xương, đĩa đệm, mô mềm nhiễm trùng
- T1 C+ (Gd): tăng cường nhìn rõ hơn tuỷ xương, dưới dây chằng, đĩa đệm, màng cứng
Các hình ảnh sau trích từ CT và MRI của một bệnh nhân lao cột sống.



Chẩn đoán phân biệt
- Cần phân biệt với các bệnh lý nhiễm trùng cột sống do vi khuẩn sinh mủ), brucellosis, nhiễm nấm (ví dụ như bệnh nấm cryptococcus), bệnh sarcoidosis, bệnh thoái hóa đốt sống amyloid / lọc máu, di căn.
(Theo https://radiopaedia.org/articles/tuberculous-spondylitis-2)
XEM THÊM: CA LÂM SÀNG LAO CỘT SỐNG CỦA MEDIC CẦN THƠ







