Bệnh lý rễ thần kinh cổ (Cervical radiculopathy) là một trong những nguyên nhân phổ biến nhất gây đau thần kinh. Minh họa lâm sàng của chúng tôi mô tả một bệnh nhân mắc bệnh lý rễ thần kinh cổ thứ phát do lồi đĩa đệm kèm theo đau thần kinh khu trú.
XEM THÊM:
KHÁM THẦN KINH CHI TRÊN Ở MỨC KHOANH TUỶ VÀ RỄ CỔ
CASE STUDY N 05: BỆNH LÝ RỄ CỔ
Trường hợp lâm sàng
Một người đàn ông 38 tuổi, thuận tay phải, khi đi xuống cầu thang, xoay cổ rồi cảm giác nghe một tiếng rắc và ngay sau đó bị đau ở cổ và vai phải. Anh đánh giá mức độ nghiêm trọng của đau là 8/10, mô tả cơn đau không giống bất cứ điều gì anh ấy từng trải qua trước đây. Đau kéo dài được 3 tuần tính đến thời điểm được chuyển đến khoa Thần kinh. Cơn đau lan xuống cánh tay phải vào mặt lưng cẳng tay, ngón cái, ngón trỏ và ngón giữa. Những ngón tay này cũng bị tê và anh mô tả kèm theo cảm giác như bị sưng phù, nóng rát. Anh cũng mô tả cảm giác nhức nhối, trầm trọng hơn khi cử động hoặc duỗi thẳng cánh tay và tăng lên về đêm. Quay đầu về phía bên trái càng làm đau tăng lên. Một liều nhỏ gabapentin (300 mg hai lần mỗi ngày) không có tác dụng. Anh không có các triệu chứng ở tay trái hoặc ở hai chân, và không có rối loạn cơ vòng.
Bệnh nhân đã bị ngã 8 năm trước với chẩn đoán chấn thương đám rối cánh tay trái (bên đối diện với đau hiện tại) nhưng không kèm theo liệt hoặc mất cảm giác. Ngoài ra, anh khỏe mạnh và không có tiền sử bệnh thần kinh, phẫu thuật hoặc chấn thương vùng cổ. Gia đình không có tiền sử mắc bệnh lý thần kinh.
Khi khám thần kinh, bệnh nhân cảm thấy khó chịu ở cổ, giảm gập và duỗi cổ. không có dấu hiệu Horner. Các dây thần kinh sọ bình thường. Cơ lực duỗi khuỷu tay, cổ tay và duỗi ngón tay phải bậc 4+/5. Các nhóm cơ khác có khối cơ, sức mạnh, trương lực và khả năng phối hợp bình thường. Phản xạ cơ tam đầu bên phải giảm/mất nhưng các phản xạ gân sâu cơ khác vẫn có và đối xứng.
Có sự thay đổi về cảm giác khi chạm nhẹ và châm chích ảnh hưởng đến ngón trỏ, ngón giữa và ngón cái, và một phần ở cẳng tay bên phải, và sự thay đổi từng mảng ở mặt ngoài cánh tay bên trên khuỷu tay. Phản xạ da lòng bàn chân bình thường.
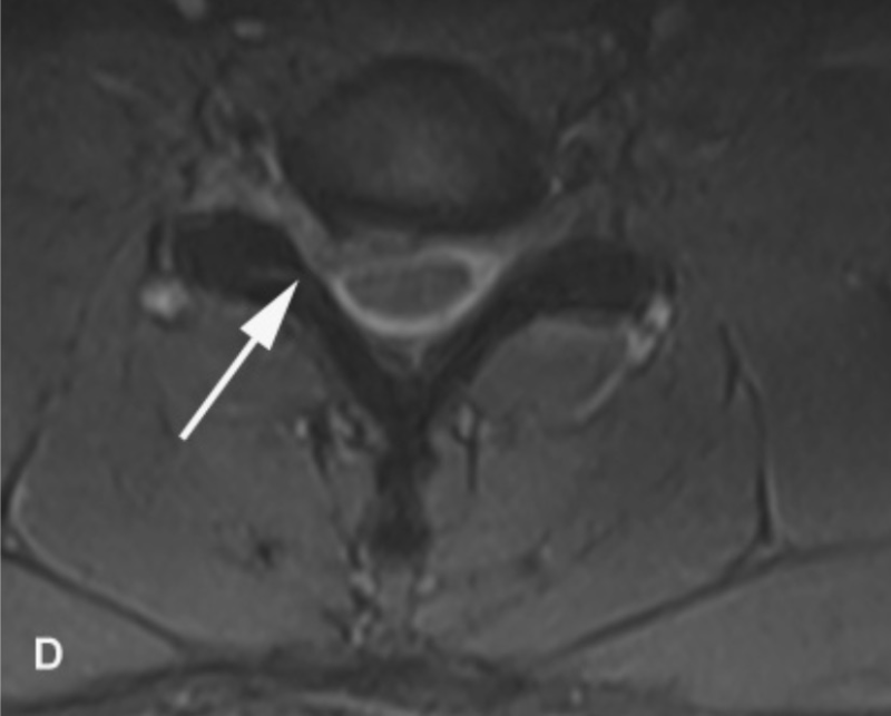
Nhìn chung, các kết quả lâm sàng gợi ý nhiều đến bệnh lý rễ thần kinh C7 bên phải và có thể ảnh hưởng nhẹ ở C6. Các nghiên cứu điện sinh lý đã xác định dẫn truyền vận động và cảm giác thần kinh trụ và thần kinh giữa bình thường ở bên phải và bên trái. Độ trễ sóng F dây thần kinh giữa và trụ bên phải và bên trái nằm trong phạm vi bình thường. Điện cơ kim của cơ tam đầu, nhị đầu, và cơ duỗi các ngón chung bên phải đều bình thường. Đánh giá cơ cạnh cột sống đã bị trì hoãn vì bệnh nhân bị đau. Chụp cộng hưởng từ cột sống cổ [Hình 1] xác định thoát vị đĩa đệm bên phải ở mức C6–7 gây ra hẹp nặng lỗ liên hợp thần kinh bên phải, không có chèn ép tủy sống đáng kể. Bệnh nhân được giới thiệu để cân nhắc phẫu thuật thần kinh lấy bỏ đĩa đệm C6-7.
Hình 1. Hình ảnh MRI cột sống cổ của bệnh nhân được mô tả trong bài này. Hình A là hình T2 đứng dọc cho thấy lồi đĩa đệm C6-C7 lấn vào khoang dưới nhện cổ. Hình ảnh B và C cho thấy đĩa lồi ra trên hình ảnh T1(B) và T2 (C). Có vết ấn nhẹ ở tủy sống nhưng không bị chèn ép đáng kể. Hình D là mặt cắt ngang của đĩa đệm thoát vị cho thấy giảm khoang dưới nhện lỗ liên hợp ở bên phải (mũi tên).
Mô tả cơn đau
Bệnh nhân mô tả một cảm giác đau khó chịu, nóng rát và sưng nề ở cổ và vai phải, kèm theo cảm giác đau nhức ở cẳng tay, ngón cái, ngón giữa và ngón trỏ. Những vận động như xoay sang trái hoặc ngửa đầu sẽ làm cơn đau tăng lên. Đau nổi bật vào ban đêm. Cơn đau ban đầu được đánh giá là 8/10 về mức độ trầm trọng nhưng sau đó giảm xuống còn 5–6/10. Sự khu trú theo vùng của đau, liên hệ với cảm giác khó chịu ở cổ và vận động cổ, và sự liên quan rõ rệt đến ranh giới rễ thần kinh chứng tỏ đây là bệnh lý rễ thần kinh có tổn thương rễ thần kinh.
XEM THÊM: ĐAU CỔ: CHẨN ĐOÁN VÀ XỬ TRÍ
KIỂM TRA TƯ DUY LÂM SÀNG: CASE N3
Thảo luận
Bệnh lý rễ thần kinh ảnh hưởng đến rễ thần kinh C7 là bệnh lý phổ biến nhất trong các bệnh lý rễ thần kinh cổ (1). Bệnh lý rễ thần kinh cũng có thể phát triển ở những bệnh nhân thoái hóa cột sống cổ nhiều mức (và không may là ít có khả năng điều trị được bằng phẫu thuật hơn). Một trong những phân tích đầu tiên và toàn diện nhất về các triệu chứng thần kinh do bệnh rễ thần kinh là bởi Yoss và các đồng nghiệp đã khám 100 bệnh nhân tại Phòng khám Mayo vào năm 1957 (2). Bệnh rễ thần kinh C7 có liên quan đến đau cổ ở 55% bệnh nhân, đau bả vai hoặc gian bả vai ở 37%, đau vai ở 83%, đau mặt ngoài cánh tay 53% và đau mặt sau cánh tayở 34% bệnh nhân.
Mô tả của bệnh nhân của chúng tôi về cơn đau nổi bật ở vai và mặt ngoài/mặt sau cánh tay phản ánh những triệu chứng này. Trong nghiên cứu loạt bệnh của Mayo, 65% bệnh nhân có mất phản xạ cơ tam đầu và 65% bị yếu cơ tam đầu, kết quả giống hệt với bệnh nhân của chúng tôi. Cuối cùng, Yoss báo cáo rằng chỉ có 24% trong tổng số bệnh nhân của họ có dấu hiệu khách quan về giảm cảm giác ở các ngón tay, bàn tay hoặc cánh tay liên quan đến bệnh rễ thần kinh C7. Ở bệnh nhân của chúng tôi, kiểu thay đổi tương tự, bao gồm cả ảnh hưởng đến ngón tay cái.
Ở tất cả các bệnh nhân bị bệnh lý rễ thần kinh, điều quan trọng cần lưu ý là có triệu chứng hoặc dấu hiệu chèn ép tủy sống hay không. Điều này có thể xảy ra do đĩa đệm thoát vị trung tâm vào ống sống, do thoái hóa mạn tính hoặc do các nguyên nhân khác. Chèn ép tủy sống có thể liên quan đến các triệu chứng cảm giác và vận động ở chi dưới, rối loạn kiểm soát và cảm giác đường ruột hoặc bàng quang, và thăng bằng kém. Co cứng chi dưới (hoặc chi trên), yếu, tăng phản xạ, phản xạ da lòng bàn chân dương tính và mức cảm giác có thể được xác định khi khám.
Nghiên cứu điện sinh lý rất hữu ích trong việc xác định mức bệnh lý rễ thần kinh cũng như mô tả sự hiện diện và mức độ thoái hóa sợi trục ở vùng liên quan. Nó cũng có thể giúp loại trừ các tình trạng gây nhiễu như hội chứng ống cổ tay hoặc bệnh lý thần kinh trụ ở khuỷu tay. Tùy thuộc vào thời gian và mức độ liên quan của sợi trục và rễ bị ảnh hưởng, có thể có giảm biên độ của điện thế hoạt động cơ tổng hợp CMAP (ví dụ: cơ dạng ngón cái ngắn và cơ dạng ngón út trong bệnh lý rễ thần kinh C8 và T1), điện thế hoạt động thần kinh cảm giác được bảo tồn, và bằng chứng về sự mất phân bố thần kinh ở các cơ liên quan, bao gồm cả các cơ cạnh cột sống. Những nghiên cứu này là bình thường ở bệnh nhân của chúng tôi, cho thấy tổn thương sợi trục chưa xảy ra hoặc còn quá sớm để phát hiện. Với thời gian yếu cơ kéo dài 3 tuần, việc không bị mất phân bố thần kinh ở cơ tam đầu bị yếu có thể chứng tỏ rằng có sự chẹn dẫn truyền do mất myelin ở rễ thần kinh C7 bị bị chèn ép ở đầu gần. Điều này là do tổn thương sợi trục và thoái hóa của rễ thần kinh C7 trong khung thời gian này “bình thường” sẽ kết hợp với các dấu hiệu mất phân bố thần kinh bao gồm máy rung cơ và các sóng nhọn dương. Sự vắng mặt của chúng, mặc dù có yếu có, cho thấy sự mất myelin của C7 mà không làm gián đoạn đáng kể các sợi trục thần kinh. Trong các trường hợp khác, việc mất phân bố thần kinh rõ ràng có thể không xảy ra do khoảng thời gian giữa tổn thương và đánh giá quá ngắn (ví dụ: dưới 10–14 ngày) hoặc quá dài vì quá trình tái phân bố dây thần kinh đã bắt đầu.
Rối loạn chức năng thần kinh tiến triển và cơn đau không đáp ứng là những chỉ định thông thường cho khả năng giảm áp bằng phẫu thuật (3), mặc dù bằng chứng chất lượng cao về lợi ích lâu dài còn hạn chế, theo một tổng quan Cochrane (4).
Đau trong bệnh rễ thần kinh
Đau do tổn thương rễ cổ xảy ra ở 83/100.000 người lớn hàng năm (5). Như ở bệnh nhân của chúng tôi, đau thường có tính chất lan hoặc như bắn, thường kèm theo cảm giác như điện. Có hai kiểu chèn ép chính thường chồng chéo lên nhau. Rễ thần kinh và các hạch rễ lưng liên quan của nó có thể bị chèn ép bởi một gai xương do thoái hóa khớp ở lỗ liên hợp. Thoái hóa đốt sống cổ có thể chiếm tới 70% các bệnh lý rễ thần kinh cổ, đặc biệt ở những bệnh nhân lớn tuổi. Ở những bệnh nhân trẻ tuổi hơn, thoát vị đĩa đệm liên đốt sống có thể là nguyên nhân gây chèn ép rễ thần kinh và hạch (3). Các nguyên nhân ít phổ biến hơn của bệnh rễ thần kinh cổ có thể xảy ra và bao gồm các khối u, nang hoặc nhiễm trùng.
Đau rễ thần kinh có thể do một trong một số cơ chế như: kéo căng bao dây thần kinh hoặc màng tuỷ khi rễ đi vào ống sống, thiếu máu cục bộ, mất myelin ở rễ cục bộ, viêm cục bộ gây kích thích sợi trục bất thường hoặc do thay đổi đặc tính nội tại của các tế bào thần kinh cảm giác gần đó ở hạch rễ lưng (DRG, dorsal root ganglia) do bị chèn ép.
Có bằng chứng cho thấy các tế bào thần kinh cảm giác DRG có thể dễ bị kích thích bất thường và tạo ra sự phóng điện ngoại vị tự phát phối hợp với đau thần kinh (6). Một mô hình thử nghiệm chèn ép DRG mạn tính do hẹp lỗ liên hợp đã được tạo ra bằng cách đưa các thanh thép không gỉ vào lỗ liên đốt sống L4 và L5 của chuột (7). Vào 5–10 ngày sau, các bản ghi điện sinh lý từ các tế bào thần kinh này đã xác định được hoạt động tự phát ngoại vị bất thường ở 10% tế bào thần kinh bị chèn ép so với chỉ 1% tế bào thần kinh không bị tổn thương của nhóm chứng. Hoạt động tự phát được xác định ở các tế bào thần kinh kích thước lớn, trung bình và nhỏ và có thể được phân loại là hoạt động loại I, liên quan đến dao động điện thế màng dưới ngưỡng và phát sinh từ thân tế bào thần kinh, hoặc hoạt động loại II ít kích thích hơn mà không có các dao động dưới ngưỡng và phát sinh từ phần gần của sợi trục bên trong hạch. Hoạt động tự phát bất thường phát sinh từ các tế bào thần kinh bị chèn ép được cho là tạo ra thông tin cảm giác “giả” (ví dụ: dị cảm).
Các phóng điện bất thường cũng có thể được kích hoạt bởi các kích thích “sinh lý” ở đầu xa (nghĩa là kích thích cảm giác bình thường) và những sự phóng điện này cũng có thể ngăn chặn sự dẫn truyền bình thường. Điều này có thể tương tự với những mô tả trong các trường hợp lâm sàng khi bệnh nhân bị dị cảm đôi khi phàn nàn rằng độ nhạy bình thường bị thay đổi do có cảm giác tê rần đồng thời. Trong mô hình nghiên cứu, các phóng điện ngoại vị có dạng trương lực, bộc phát hoặc không đều. Hoạt động loại I thường liên quan đến phóng điện bộc phát và loại II với phóng điện không đều. Tất cả những thông tin này chỉ ra rằng ít nhất hai vị trí (thân, phần gần sợi trục) trong hạch rễ lưng có thể tạo ra hoạt động ngoại vị bất thường liên quan đến chứng đau thần kinh.
Tình trạng viêm ở vùng DRG cũng có thể thúc đẩy sự phóng điện tự phát bất thường của các tế bào thần kinh cảm giác. Ví dụ, axit arachidonic được giải phóng khỏi màng tế bào nhờ men phospholipase có trong nhân nhầy từ đĩa đệm bị thoát vị. Sau đó, axit arachidonic là tiền chất của các prostaglandin (đặc biệt là PGE2) được tổng hợp bởi men cyclo-oxygenase 2 (COX-2) được trình diện bởi các tế bào viêm. Các chất gây đau khác (có thể tạo ra tính dễ bị kích thích không thích hợp của các tế bào thần kinh cảm giác gần chỗ lồi ra của đĩa đệm) có thể bao gồm NGF, BDNF, interleukin 1 và 6, oxit nitric, TNF và các chất khác (5) .
Trong một mô hình thoát vị đĩa đệm không chèn ép ở chuột, dáng đi bị thay đổi kèm theo loạn cảm đau cơ học, viêm cục bộ và kích hoạt miễn dịch tự phản ứng (8). Ở người bị thoát vị đĩa đệm, Shamji và cộng sự ghi nhận có nhiều interleukin-17, sự hiện diện của đại thực bào và tế bào nhiều hơn (9).
Trong nghiên cứu sử dụng tế bào đĩa đệm của người được nuôi cấy thu được từ các bệnh nhân được điều trị bằng phẫu thuật đĩa đệm, việc bộc lộ IL-17, IFN hoặc TNF cho thấy có sự gia tăng sản xuất các chất trung gian gây viêm, oxit nitric (NOx), prostaglandin E2 (PGE2), interleukin -6 (IL-6) và phân tử bám dính giữa các tế bào (ICAM-1); những phát hiện này đã xác định được một kiểu hình gây miễn dịch (10). Do đó, đĩa đệm được mô tả là có khả năng gây miễn dịch nhưng cả DRG và rễ thần kinh dường như đều cần một tác động cơ học bổ sung để tạo ra cảm giác đau (11). Để đáp ứng với tình trạng viêm cục bộ, có thể có những thay đổi thứ cấp trong biểu hiện tiểu đơn vị kênh natri khiến các tế bào thần kinh dễ bị hoạt hoá ngoại vị, và gây cảm giác đau đớn.
References
- (1) Wilbourn AJ, Aminof MJ. he electrophysiologic examination in patients with radiculopathies. Muscle Nerve 1988;11:1099–1114.
- (2) Yoss RE, Corbin KB, MacCarty CS, Love JG. Significance of symptoms and signs in localization of involved root in cervical disk protrusion. Neurology 1957;7:673–683.
- (3) Polston DW. Cervical radiculopathy. Neurol Clin 2007;25:373–385.
- (4) Fouyas IP, Statham PF, Sandercock PA. Cochrane review on the role of surgery in cervical spondylotic radiculomyelopathy. Spine (Phila Pa 1976) 2002;27: 736–747.
- (5) Van ZJ, Harney D, Joosten EA, et al. he role of the dorsal root ganglion in cervical radicular pain: diagnosis, pathophysiology, and rationale for treatment. Reg Anesth Pain Med 2006;31:152–167.
- (6) Wall PD, Devor M. Sensory afferent impulses originate from dorsal root ganglia as well as from the periphery in normal and nerve injured rats. Pain 1983;17:321–339.
- (7) Ma C, LaMotte RH. Multiple sites for generation of ectopic spontaneous activity in neurons of the chronically compressed dorsal root ganglion.
- J Neurosci 2007;27:14059–14068.
- (8) Shamji MF, Allen KD, So S, et al. Gait abnormalities and inflammatory cytokines in an autologous nucleus pulposus model of radiculopathy. Spine (Phila Pa 1976) 2009;34:648–654.
- (9) Shamji MF, Setton LA, Jarvis W, et al. Proinlammatory cytokine expression profile in degenerated and herniated human intervertebral disc tissues. Arthritis Rheum 2010;62:1974–1982.
- (10) Gabr MA, Jing L, Helbling AR, et al. Interleukin-17 synergizes with TNF gamma or TNF alpha to promote inflammatory mediator release and intercellular adhesion molecule-1 (ICAM-1) expression in human intervertebral disc cells. J Orthop Res 2011;29: 1–7.
- (11) Mullerman D, Mammos, Griffon, Watier H, Goupille P. Pathophysiology of disk-related sciatica. I.–Evidence supporting a chemical component. Joint Bone Spine 2006;73:151–158.
Lược Dịch từ:
Case studies in neurological pain. Claudia Sommer, Douglas Zochodne. CAMBRIDGE UNIVERSITY PRESS,2012.










