|
Hãy nghe bài viết
Getting your Trinity Audio player ready...
|
- Tên tiếng Anh: Hip Labral Tears
- Mã ICD-10: M24.85: Các rối loạn khớp háng cụ thể khác, chưa được phân loại ở nơi khác
BỆNH LÝ
Rách sụn viền ổ cối là một vết rách của sụn viền bám ở ngoại vi của ổ cối.
Nhắc lại Giải phẫu
Sụn viền ổ cối là một cấu trúc sụn sợi hình móng ngựa gắn vào vành ngoại vi của ổ cối, tiếp xúc với bề mặt khớp của chỏm xương đùi và hòa vào phía dưới với dây chằng ngang ổ cối. Sụn viền đóng vai trò cơ sinh học chính trong làm vững và chức năng của khớp háng. Nó làm tăng độ sâu hiệu quả của ổ cối lên tới 20%, tăng độ vững tĩnh; góp phần tạo áp suất thủy tĩnh cho khoang trong khớp, bôi trơn khớp và phân bổ tải trọng; và nó có chức năng thần kinh cảm thụ bản thể và cảm thụ đau. Phân bố thần kinh của sụn viền ổ cối là phong phú nhất ở các vùng trước-trên và sau trên.
Sụn viền có thể được chia thành hai vùng riêng biệt: phía ngoài khớp được tưới máu tốt, có mô liên kết dày đặc và phía trong khớp, phần lớn là vô mạch. Chỗ nối sụn viền – sụn khớp không đồng nhất và có độ bền cơ sinh học thấp hơn phần gắn vào ổ cối trước trên, góp phần làm tăng tỷ lệ rách sụn viền ở khu vực này.
Dịch tễ, nguyên nhân
Chấn thương vùng hông chiếm 3,1% đến 8,4% các chấn thương trong thể thao và rách sụn viền xuất hiện ở 22% đến 55% vận động viên có đau vùng hông, cũng như 38,6% những người không có triệu chứng. Rách sụn viền có thể là do khớp háng không ổn định, đụng chạm với cơ thắt lưng chậu (iliopsoas), chấn thương và thoái hoá khớp.
Nhiều trường hợp rách sụn viền có liên quan đến một tình trạng gọi là đụng chạm xương đùi – ổ cối (femoroacetabular impingement, FAI). FAI được đặc trưng bởi sự tiếp xúc bất thường giữa điểm nối cổ – chỏm xương đùi và viền ổ cối do hình thái xương bất thường.
Có ba loại FAI: gọng kìm (pincer), chỏm (cam) và hỗn hợp (mixed). FAI loại gọng kìm là do ổ cối che phủ chỏm xương đùi quá mức, trong khi FAI loại chỏm là do giảm khoảng cách rìa xiên giữa cổ – chỏm xương đùi. FAI loại gọng kìm thường xảy ra ở phụ nữ trung niên, trong khi FAI loại chỏm phổ biến hơn ở nam giới ở độ tuổi tứ tuần. Phần lớn các trường hợp FAI có các đặc điểm của cả loại gọng kìm và chỏm.

Trong khi rách sụn viền liên quan đến cả hai loại FAI có xu hướng xảy ra ở vùng trước trên, thì những bất thường về xương ở FAI loại chỏm (cam) và gọng kìm gây ra các kiểu rách sụn viền khác nhau.
- Trong kiểu chạm gọng kìm, sự tiếp xúc lặp lại giữa cổ xương đùi và mặt trước nhô ra của vành ổ cối dẫn đến thoái hóa, rách sụn viền, hình thành các hạch ở bên trong sụn, và đôi khi là cốt hoá sụn viền.
- Trong va chạm kiểu chỏm, sự tiếp xúc bất thường giữa điểm nối cổ – chỏm xương đùi và ổ cối tạo ra sự mài mòn từ trong ra ngoài của sụn ổ cối và sự tách lớp giữa sụn ổ cối với sụn viền và xương dưới sụn liền kề. Rách sụn viền có xu hướng xảy ra trên bề mặt khớp hơn là bề mặt bao khớp.
- Ở những người không có bất thường về xương, rách sụn viền có thể là kết quả của các lực căng lặp lại ở cuối tầm vận động cuối cùng (ví dụ như ở các vũ công).
Nếu không được điều trị, rách sụn viền có thể gây đau, các triệu chứng cơ học (ví dụ: kêu lục cục, kẹt khớp), hạn chế chức năng và cuối cùng là thoái hoá khớp.
LƯỢNG GIÁ, CHẨN ĐOÁN
Triệu chứng
- Bệnh nhân bị rách sụn viền than phiền về tình trạng đau vùng trước bẹn, tăng lên khi đứng, ngồi hoặc đi lại trong thời gian dài. Đau cũng có thể lan đến vùng mông hoặc vùng mấu chuyển. Khởi phát đau thường âm ỉ, bệnh nhân thường không thể nhớ lại một sự kiện kích hoạt cụ thể nào.
- Đôi khi, rách sụn viền là do chấn thương, đặc biệt là ở nam giới.
- Các triệu chứng cơ học như tiếng lục cục, kẹt khớp và mất vững rất thay đổi và không phải lúc nào cũng là dấu hiệu chỉ điểm của bệnh lý nội khớp.
- Cần hỏi kỹ bệnh sử, kể cả các bệnh lý khớp háng lúc nhỏ như loạn sản khớp háng, bệnh Legg-Calve Perthes và trượt chỏm xương đùi.
Khám lâm sàng
Nên bắt đầu khám lâm sàng bằng quan sát dáng đi của bệnh nhân xem có bị đau không. Sờ nắn vùng hông có thể thấy đau khi ấn ở vùng bẹn, nhưng đây không phải là dấu hiệu đặc hiệu. Cần đánh giá tầm vận động của cột sống thắt lưng, khớp háng và khớp gối. Thông thường, khi đánh giá tầm vận động của khớp háng, bệnh nhân sẽ bị đau khi xoay trong.
Một số nghiệm pháp kích thích đau:
- Nghiệm pháp chạm (khớp háng) phía trước (còn được gọi là FADDIR test), được thực hiện bằng cách gấp háng quá 90 độ, sau đó khép và xoay trong khớp háng (Hình 2). Nghiệm pháp dương tính nếu gây đau vùng trước bẹn. Độ nhạy 94% đến 99% đối với FAI và rách sụn viền.
- Nghiệm pháp gấp – xoay trong, gấp háng đến 90 độ và xoay vào trong, cũng có độ nhạy tốt.
- Nghiệm pháp ép/nghiền xoay trong (còn gọi là nghiệm pháp súc rửa khớp háng, Hip Scouring Test): bệnh nhân nằm ngửa, người khám gấp háng bệnh nhân thụ động đến 100 độ, sau đó xoay khớp háng từ xoay trong sang xoay ngoài trong khi tạo lực đẩy dọc trục xương đùi qua khớp từ gối.
- Nghiệm pháp chạm phía sau: Đau khi duỗi và xoay ngoài khớp háng thụ động, nếu có vết rách ở sụn viền sau.
- Nghiệm pháp Patrick (còn gọi là FABER, đặt khớp háng ở tư thế gấp, dang và xoay ngoài): đánh giá sụn viền sau.
- Nghiệm pháp nâng thẳng chân có kháng: Gây đau khi có bệnh lý bên trong khớp háng.
Cần thực hiện cả khám thần kinh chi dưới, bao gồm đánh giá sức mạnh, cảm giác và phản xạ. Kết quả khám thần kinh thường bình thường.

XEM THÊM: KHÁM KHỚP HÁNG. PHẦN 2: ĐO LƯỜNG VÀ CÁC TEST ĐẶC BIỆT
Hạn chế về chức năng
Mặc dù không phổ biến, một bệnh nhân bị rách sụn viền có thể bị khập khiễng, hoặc xệ hông ở bên cùng bên trong thì chống của dáng đi (tương tự như dáng đi Trendelenburg không bù) và hiếm khi cần một dụng cụ trợ giúp để đi lại. Rách sụn viền cũng có thể gây đau làm hạn chế các hoạt động, chẳng hạn như làm việc chân tay, tập thể dục, liên quan đến lực tải lên khớp háng lặp lại, xoay người và gập quá mức.
Cận lâm sàng
X quang:
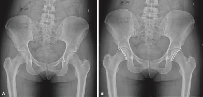
Chụp X quang thường quy (thẳng, nghiêng) vẫn là thăm dò cơ bản trong đánh giá đau khớp háng. Ở những người bị đau vùng bẹn hoặc rách ổ cối, ít nhất một bất thường về xương phù hợp với FAI xuất hiện ở 94,3% và 87% trong các nhóm này. Ở nam, góc alpha tăng và ở nữ giới, độ Tonnis hoặc góc thân – cổ xương đùi giảm có liên quan đến rách sụn viền lớn hơn.

FAI loại gọng kìm có thể là do sự bao phủ quá mức chỏm xương đùi tổng thể do ổ cối quá sâu hoặc do sự che phủ quá mức khu trú liên quan đến ổ cối vặn hướng ra sau (acetabular retroversion). Trên phim X quang khung chậu trước-sau, ổ cối bình thường bao phủ ít nhất 75% chỏm xương đùi (ilioischial line). Ổ cối sâu là khi hố ổ cối hoặc chỏm xương đùi nhô ra phía trong đường chậu ngồi. Vặn ổ cối ra sau khu trú được gợi ý bởi dấu hiệu chéo (cross over sign), trong đó phần đầu của thành ổ cối phía trước nằm ở phía bên ngoài của thành ổ cối sau. Chụp X quang nghiêng có thể cho thấy hẹp khe khớp sau dưới.

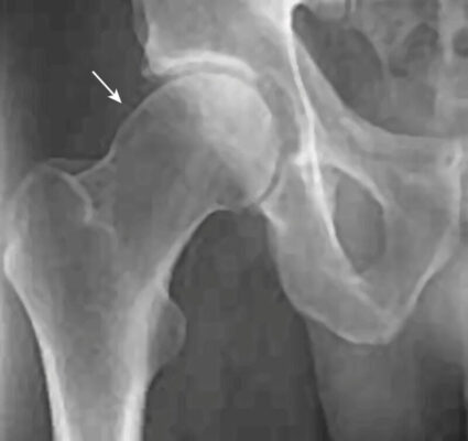
Dấu hiệu X quang cơ bản của FAI loại chỏm là giảm khoảng cách rìa xiên cổ – chỏm xương đùi ở phía trước hoặc trên, làm cho điểm nối cổ – chỏm xương đùi có vẻ phẳng hoặc lồi thay vì lõm. Đặc điểm này thường được gọi là biến dạng tay cầm súng lục.

“pistol grip”)
Chụp cộng hưởng từ:
- Chụp cộng hưởng từ là thăm dò hình ảnh học ưa thích cho bệnh lý bên trong khớp háng, vì nó cung cấp các hình ảnh có độ phân giải cao của sụn viền ổ cối, sụn khớp háng và khe khớp.
- Chụp khớp cộng hưởng từ (kết hợp giữa chụp cộng hưởng từ với tiêm chất tương phản gadolinium vào trong khớp) là thăm dò được lựa chọn để đánh giá sụn viền ổ cối.
Chẩn đoán phân biệt
- Bệnh Legg-Calve-Perthes, Trượt chỏm xương đùi, Loạn sản khớp háng
- Nhiễm trùng, viêm hoặc thoái hoá khớp háng
- Bệnh lý ác tính ở hông
- Hội chứng khớp háng kêu lục cục (Snapping hip syndrome)
- Hoại tử vô mạch chỏm xương đùi
- Gãy cổ xương đùi do mỏi
- Viêm bao hoạt dịch mấu chuyển
- Viêm gân cơ thắt lưng chậu
- Viêm bao hoạt dịch cơ psoas
- Rách dây chằng tròn
- Bệnh lý rễ thần kinh thắt lưng
- Chèn dây thần kinh ngoại biên (ví dụ, dây thần kinh sinh dục đùi)
- Thoát vị bẹn hoặc đùi
- Huyết khối hoặc bóc tách động mạch đùi
- Huyết khối tĩnh mạch đùi
ĐIỀU TRỊ
Điều trị ban đầu cho rách sụn viền thường là bảo tồn và có thể bao gồm thuốc giảm đau đường uống nhẹ như paracetamol hoặc thuốc chống viêm không steroid, các phương pháp vật lý tại chỗ, và tập phục hồi chức năng. Nếu các triệu chứng của bệnh nhân vẫn tồn tại dù đã áp dụng các biện pháp này thì có thể xem xét tiêm corticosteroid nội khớp. Bệnh nhân nên được hướng dẫn tránh các hoạt động làm nặng thêm.
Phục hồi chức năng
Phục hồi chức năng là phương pháp ban đầu để kiểm soát những tổn thương rách sụn viền do tỷ lệ mắc bệnh và tử vong tiềm ẩn liên quan đến phẫu thuật. Chương trình phục hồi chức năng cho rách sụn viền ổ cối sẽ tiến triển qua ba giai đoạn.
- Giai đoạn đầu tiên nên tập trung vào việc giảm đau thông qua các phương thức vật lý, điều chỉnh hoạt động và thuốc giảm đau nhẹ. Bệnh nhân cần tập luyện để đạt được tầm vận động khớp háng đủ tầm và không đau và thực hiện các bài tập làm mạnh cơ tĩnh cho các cơ đai hông. Ngoài ra, cần tập các bài tập tăng cường sức mạnh cốt lõi và duy trì sức bền tim phổi với các bài tập nhịp điệu không gây tác động và không gây đau lên khớp háng. Các bài tập cảm thụ bản thể nhận bản thân như tư thế một chân trên bề mặt vững hoặc tư thế hai chân trên bề mặt không ổn định nên được đưa vào chương trình.
- Giai đoạn phục hồi chức năng thứ hai dần dần áp dụng các bài tập tăng cường cơ hông động, không gây đau. Sức mạnh cơ gấp háng thường giảm so với chân bên kia. Tập các bài tập nhịp điệu có tác động từ thấp đến trung bình. Các bài tập ổn định cốt lõi và cảm thụ bản thể nên được nâng cao tùy theo khả năng chịu đựng của bệnh nhân trong giai đoạn phục hồi chức năng này.
- Giai đoạn phục hồi chức năng cuối cùng sẽ chuyển bệnh nhân sang các bài tập dành riêng cho thể thao (hoặc các bài tập dành riêng cho công việc nếu bệnh nhân không phải là vận động viên) và chương trình tập thể dục tại nhà để duy trì sức mạnh và tính linh hoạt của đai hông, sự ổn định cốt lõi, sức bền tim phổi và phối hợp thần kinh cơ.
XEM THÊM: CÁC BÀI TẬP PHỤC HỒI CHỨC NĂNG CHO PHỨC HỢP HÁNG – ĐÙI
Thủ thuật
Một số bệnh nhân bị rách sụn viền ổ cối có thể cải thiện triệu chứng khi tiêm corticosteroid vào khớp, tốt nhất với hướng dẫn bằng hình ảnh học. Tiêm khớp háng thường được thực hiện sau khi bệnh nhân không đáp ứng với các biện pháp không phẫu thuật khác như phương thức vật lý trị liệu tại chỗ, thuốc và tập phục hồi chức năng. Tuy nhiên, thời gian tác dụng của tiêm corticosteroid vào nội khớp để điều trị rách sụn viền có triệu chứng chỉ giới hạn trong khoảng 2 tuần.
Phẫu thuật
- Điều trị bằng phẫu thuật nên được xem xét ở những bệnh nhân thất bại với các biện pháp không phẫu thuật hoặc có các triệu chứng cơ học đáng kể.
- Phẫu thuật nội soi khớp háng có thể được thực hiện khâu sụn viền, cắt bỏ, hoặc tái tạo.
- Tốt nhất là khâu sụn viền, cho kết quả tối ưu hơn cắt bỏ để phục hồi chức năng sụn viền bình thường.
- Trường hợp không thể khâu nối được, các chọn lựa có thể là cắt bỏ hoặc tái tạo (thay thế sụn viền với một mảnh ghép). Tái tạo sụn viền đã được chứng minh là mang lại kết quả tốt hơn so với cắt bỏ, cải thiện độ vững, và phục hồi áp lực âm của khớp háng.
- Khi phẫu thuật điều trị rách sụn viền, nhiều bác sĩ phẫu thuật ủng hộ việc giải quyết các biến dạng xương gây ra FAI (ví dụ, tạo hình ổ cối cho FAI dạng gọng kìm hoặc tạo hình xương đùi cho FAI dạng chỏm). Mặc dù vậy, hiện chưa có bằng chứng chắc chắn nào cho thấy kết quả lâm sàng đạt được khi điều trị kết hợp các bất thường về xương và rách sụn viền sẽ có kết quả tốt hơn so với chỉ điều trị rách sụn viền.
Phục hồi chức năng sau phẫu thuật khâu sụn viền
Ở những bệnh nhân được phẫu thuật sửa chữa sụn viền khớp háng, cần có một chương trình phục hồi chức năng sau phẫu thuật thích hợp để tối đa hóa khả năng phục hồi của bệnh nhân.
- Ngay sau phẫu thuật, cần thực hiện các biện pháp để giảm bớt đau cho bệnh nhân, bao gồm cả thuốc uống và các phương pháp vật lý trị liệu tại chỗ. Nên băng ép để giảm phù nề sau phẫu thuật.
- Thông thường, nẹp sau phẫu thuật được sử dụng trong 1 đến 2 tuần đầu trong thời gian thức để ngăn háng bị gập quá 80 độ. Vào ban đêm, bệnh nhân có thể cần đeo nẹp cố định để ngăn khớp háng xoay ra ngoài quá 20 độ, gây căng quá mức lên các cấu trúc bao khớp phía trước.
- Nên bắt đầu các bài tập tầm vận động thụ động nhẹ nhàng với khớp háng, và tầm vận động chủ động với khớp gối và cổ chân. Tránh gập, xoay trong và dạng quá mức trong 2 tuần đầu sau phẫu thuật. Khi mức độ đau của bệnh nhân thuyên giảm (thường 2 – 4 tuần sau phẫu thuật), có thể bắt đầu tập tích cực hơn để đạt được tầm vận động đầy đủ không đau. Đến tuần thứ 4, có thể bắt đầu các bài tập kéo giãn các cơ đai hông và cơ vùng đùi.
- Tập mạnh cơ hông và cơ đùi đẳng trường có thể bắt đầu ngay sau khi phẫu thuật, với cường độ không gây đau. Tăng tiến đến tập mạnh cơ hông đẳng trương sau 2 đến 4 tuần, tập trung vào các cơ dạng háng. Các bài tập làm mạnh cơ có chịu trọng lượng thường có thể bắt đầu khoảng 4 đến 6 tuần sau phẫu thuật.
- Tiếp tục chịu một phần trọng lượng bằng đi nạng/khung tập đi trong 2 đến 6 tuần đầu sau phẫu thuật, tùy thuộc vào loại phẫu thuật được thực hiện. Giảm dần đi nạng sau thời gian này. Điều quan trọng là đạt được một dáng đi đối xứng sau khi ngừng sử dụng nạng để phòng ngừa sự mất cân bằng cơ (chẳng hạn như căng cơ gấp háng và cơ dựng cột sống, yếu các cơ mông và cơ bụng).
- Các bài tập chức năng thường bắt đầu khoảng 6 đến 8 tuần sau phẫu thuật. Tập sức bền có thể tăng tiến từ môi trường chịu trọng lượng hạn chế (ví dụ: hồ bơi), sang chịu toàn bộ trọng lượng không gây tác động (ví dụ: máy tập hình elip), đến đi bộ và chạy bộ. Hầu hết bệnh nhân không thể tăng tiến tới các hoạt động tập sức bền loại có tác động (như chạy) và các hoạt động cắt ngang hoặc xoay người cho đến 12 đến 24 tuần sau phẫu thuật. Nhìn chung, những người lao động chân tay có thể trở lại làm việc không hạn chế khoảng 12 đến 24 tuần sau phẫu thuật, trong khi các vận động viên có thể trở lại chơi các môn thể thao sau 12 đến 32 tuần, tùy thuộc vào loại phẫu thuật được thực hiện và tiến triển của họ qua chương trình phục hồi chức năng.
Minh Dat Rehab, lược dịch và bổ sung từ:
ESSENTIALS OF PHYSICAL MEDICINE AND REHABILITATION: MUSCULOSKELETAL DISORDERS, PAIN, AND REHABILITATION, FOURTH EDITION. Elsevier, Inc. 2019







