|
Hãy nghe bài viết
Getting your Trinity Audio player ready...
|
- Tên bệnh: Viêm dính bao khớp vai (Adhesive Capsulitis)
- Từ đồng nghĩa: Vai đông cứng (frozen shoulder), Viêm quanh khớp vai, Viêm bao hoạt dịch co thắt khớp vai.
- Mã ICD-10: M75.0: Viêm bao hoạt dịch co thắt khớp vai
ĐẠI CƯƠNG
Định nghĩa
Viêm dính bao khớp vai (Adhesive Capsulitis, AC) là một tình trạng viêm ngấm ngầm, đặc trưng bởi đau và giảm dần tầm vận động (ROM) thụ động hoặc chủ động của khớp ổ chảo- cánh tay do quá trình xơ hóa tiến triển và cuối cùng là co rút bao khớp vai.
Bệnh được bác sĩ Simon-Emmanuel Duplay mô tả lần đầu tiên vào năm 1872, và đã đặt tên là “viêm quanh khớp bả vai-cánh tay”. Thuật ngữ “vai đông cứng” sau đó được Earnest và Codman đặt ra vào năm 1934 để mô tả tình trạng mất vận động khớp vai ở những bệnh nhân mắc bệnh này. Năm 1945, Julius Neviaser đưa ra tên mới là “Viêm dính bao khớp vai” do sự hình thành các thay đổi viêm và xơ được quan sát thấy trong bao khớp và túi thanh dịch lân cận.
Nguyên nhân
Viêm dính bao khớp vai có thể là nguyên phát hoặc thứ phát. Bệnh nguyên phát (vô căn) có thể xảy ra một cách tự phát mà không có bất kỳ sự kiện kích thích cụ thể nào. Viêm dính bao khớp vai nguyên phát thường kết hợp với các bệnh lý khác như đái tháo đường, rối loạn chức năng tuyến giáp, rối loạn lipid máu, co rút Dupuytren, bệnh tự miễn và các can thiệp phẫu thuật (chẳng hạn như mổ bóc tách vùng nách do bệnh ác tính) .
Dạng thứ phát của bệnh thường sau chấn thương hoặc tổn thương trực tiếp đến vai, chẳng hạn như phẫu thuật, gãy xương, rách chóp xoay hoặc chấn thương khớp nặng khác.
Bảng. Các bệnh và tình trạng liên quan đến Viêm dính bao khớp thứ phát
- Bất động
- Lao phổi
- Xơ cứng bì
- Bệnh đái tháo đường
- Bệnh phổi mãn tính
- Sau phẫu thuật cắt bỏ vú
- Bệnh tuyến giáp
- Nhồi máu cơ tim
- Bệnh lý rễ cổ
- Viêm khớp dạng thấp
- Đột quỵ
- Tổn thương thần kinh ngoại biên
- Chấn thương
- Bệnh lý chóp xoay
- Ung thư phổi
- Ung thư vú
Tỷ lệ mắc Viêm dính bao khớp vai trong dân số chung được báo cáo là 3-5% và lên đến 20% ở những người mắc bệnh tiểu đường. Viêm dính bao khớp vai có tỷ lệ mắc cao nhất từ 40 đến 60 tuổi. Nữ giới bị nhiều hơn nam giới gấp 4 lần. Vai không thuận thường bị ảnh hưởng nhiều hơn, và 40-50% trường hợp đau cả hai vai.
Dịch tễ học
20 đến 30% bệnh nhân có tiền sử chấn thương ở vai, và một nghiên cứu báo cáo rằng hơn 60% bệnh nhân Viêm dính bao khớp vai có bệnh lý cơ trên gai.
Giải phẫu bệnh / Sinh lý bệnh
Viêm dính bao khớp vai liên quan đến quá trình viêm và sau đó là sự tăng sinh của nguyên bào sợi phản ứng tại bao khớp dẫn đến sự dày lên và co rút lại của bao khớp, một đặc trưng của bệnh. Sự giải phóng ban đầu của các cytokine gây viêm (Interleukins, TNF-a, COX-1 & 2) và các tế bào (tế bào T, tế bào B, tế bào Mast) đóng một vai trò quan trọng trong quá trình xơ hóa về sau của bệnh. Các đặc điểm mô học cho thấy sự pha trộn của collagen loại I và loại II và sự mất cân bằng giữa sự thoái giáng, tu sửa và tái tạo mô cơ chất (matrix) ngoại bào.
Các phát hiện giải phẫu bao gồm mất lớp hoạt dịch của bao khớp và giảm tổng thể tích bao khớp. Các cấu trúc chính bị ảnh hưởng bao gồm dây chằng quạ-cánh tay (CHL) và khoảng trống chóp xoay (rotator cuff interval). Khoảng trống chóp xoay là một vùng hình tam giác giữa bờ trước của cơ trên gai và bờ trên của cơ dưới vai và chứa dây chằng ổ chảo-cánh tay trên và CHL. Cấu trúc thường bị ảnh hưởng đầu tiên là CHL ở trần của khoảng trống chóp xoay. Sự co lại của CHL có thể hạn chế chuyển động xoay ngoài của cánh tay và có thể phát hiện ở giai đoạn sớm trong Viêm dính bao khớp vai. Trong các giai đoạn sau, sự dày lên và co rút lại của bao khớp ổ chảo- cánh tay có thể hạn chế tầm vận động trong các mặt phẳng khác. Bao khớp ổ chảo- cánh tay bị căng, dày với các kết dính có thể dẫn đến xóa nếp gấp ở nách. Bao khớp xơ dính làm giảm lượng chất hoạt dịch trong khớp và giảm tổng thể tích khớp.

Xem thêm: GIẢI PHẪU CHỨC NĂNG PHỨC HỢP VAI. XƯƠNG VÀ KHỚP
và GIẢI PHẪU CHỨC NĂNG PHỨC HỢP VAI. CƠ VÀ HOẠT ĐỘNG CƠ
Tiến triển của bệnh
Dựa trên các đặc điểm qua nội soi khớp khi bệnh tiến triển từ viêm bao khớp đến xơ hoá, có thể chia thành 4 giai đoạn như sau :
GIAI ĐOẠN 1 | GIAI ĐOẠN 2 | GIAI ĐOẠN 3 | GIAI ĐOẠN 4 | |
GIAI ĐOẠN | Tiền dính | Dính | Trưởng thành | Mạn tính |
QUÁ TRÌNH BỆNH | Phản ứng viêm xơ không có dính | Tăng sinh màng hoạt dịch, dính giai đoạn đầu | Dính trưởng thành | Bao khớp bị sẹo hoá |
TẦM VẬN ĐỘNG | ROM bình thường | Mất ROM nhẹ | Hạn chế ROM nhiều | Giới hạn ROM |
TRIỆU CHỨNG | Đau về đêm, các triệu chứng không đặc hiệu có thể dễ bị chẩn đoán nhầm | Đau rõ rệt với vận động thụ động và chủ động | Ít đau hơn giai đoạn 1 và 2 | Có thể có tầm vận động không đau, nhưng đau khi vận động mạnh quá bao khớp bị sẹo hoá |
Một số tài liệu chỉ chia làm 3 giai đoạn: Đau, Đông cứng và Hồi phục
| Giai đoạn Đau |
| Đau khi vận động |
| Đau vùng khó chỉ ra điểm đau |
| Co thắt cơ |
| Đau tăng về đêm và khi nghỉ |
| Giai đoạn dính |
| Ít đau |
| Gia tăng cứng và giới hạn vận động |
| Giảm đau về đêm và khi nghỉ ngơi |
| Cảm giác đau ở cuối tầm vận động |
| Giai đoạn hồi phục (Resolution Stage) |
| Giảm đau |
| Giới hạn vận động rõ với cải thiện tầm vận động dần, nhưng chậm |
| Sự hồi phục tự phát nhưng thường không hoàn toàn |

LƯỢNG GIÁ VÀ CHẨN ĐOÁN
Bệnh sử
Các triệu chứng trên bệnh nhân sẽ phụ thuộc vào giai đoạn của Viêm dính bao khớp vai. Ở giai đoạn đầu, bệnh nhân bắt đầu đau âm ỉ, nặng hơn vào ban đêm và tăng lên với các hoạt động đưa tay trên cao. Dần dần bệnh nhân nhận thấy đau tăng lên và kèm theo giảm tầm vận động khớp vai. Ở Giai đoạn tiếp theo, vai đông cứng, giảm tầm vận động rõ rệt ở mọi hướng và đau có chiều hướng giảm. Giai đoạn này có thể kéo dài từ 9 đến 15 tháng. Giai đoạn cuối cùng, “giai đoạn tan băng”, đặc trưng bởi giảm đau dần và tăng dần tầm vận động không đau. Một số bệnh nhân sẽ trở lại bình thường, nhưng một số bệnh nhân vẫn còn di chứng hạn chế vận động.
Khám lâm sàng
- Nhìn đánh giá tình trạng teo cơ và sẹo chứng tỏ phẫu thuật trước đó có thể là một yếu tố nguy cơ gây VIêm dính bao khớp vai.
- Sờ: Đau điểm không đặc hiệu cho Viêm dính bao khớp vai, sờ không thấy điểm đau cụ thể.
- Hạn chế cả ROM khớp vai thụ động và chủ động, đặc biệt là dạng và xoay ngoài. Mất ROM thụ động là dấu hiệu quan trọng khi thăm khám và giúp chẩn đoán phân biệt với bệnh lý cơ chóp xoay, vì bệnh lý chóp xoay không gây mất ROM thụ động.
- Cơ lực chóp xoay thường bình thường trong tầm vận động khám được.
- Các test cơ chóp xoay có thể bị hạn chế bởi vì mất tầm vận động. Dấu hiệu đụng chạm, test cơ nhị đầu và sụn viền có thể dương tính (giả).
- Giảm độ trượt ổ chảo- cánh tay, đặc biệt là dịch chuyển xuống dưới.
- Đánh giá nhịp bả vai – lồng ngực: Dấu hiệu nhún vai (shrug sign), không thể nâng dạng cánh tay đến 90 độ mà không nâng toàn bộ bả vai hoặc đai vai (cũng là một dấu hiệu của tổn thương cơ trên gai).
- Khám thần kinh thường là bình thường trong Viêm dính bao khớp vai, mặc dù thử cơ bằng tay có thể phát hiện yếu cơ thứ phát sau đau hoặc không sử dụng. Tuy nhiên, sự phối hợp với bệnh lý chóp xoay cũng thường gặp và có thể giải thích tình trạng yếu thực sự nếu có khi thăm khám. Sự kết hợp của yếu cơ theo khoanh cơ, thay đổi cảm giác theo khoanh da, phản xạ không đối xứng, và các test khám cổ dương tính gợi ý nguyên nhân thần kinh gây đau vai nhiều hơn.
- Khi các triệu chứng bắt đầu cải thiện và bệnh nhân bước vào giải dính, tầm vận động cải thiện dần, và xoay trong là vận động cuối cùng được cải thiện.
Xem thêm: KHÁM KHỚP VAI. PHẦN 1: CÁC BƯỚC CƠ BẢN
và KHÁM KHỚP VAI. PHẦN 2: CÁC NGHIỆM PHÁP ĐẶC BIỆT
Lượng giá chức năng
Bệnh nhân thường bị mất ngủ do đau hoặc không ngủ được về phía bên đau. Hạn chế thực hiện các hoạt động sinh hoạt hàng ngày (ví dụ như cài áo ngực, thắt dây lưng, lấy ví trong túi quần sau, chải tóc …). Các hoạt động nghề nghiệp có thể bị hạn chế, đặc biệt là những hoạt động liên quan đến đưa tay lên cao (ví dụ: nâng hàng hoá lên cao). Các hoạt động giải trí cũng bị ảnh hưởng (như khó giao bóng hoặc ném bóng, sải tay khi bơi).
Các thang đo lượng giá chức năng vùng vai-tay:
- DASH
- ASES
- SPADI
- Constant-Murley
Cận lâm sàng
Xét nghiệm
Thông thường không cần xét nghiệm bổ sung trừ khi cần đánh giá tình trạng được xác định là yếu tố nguy cơ cao như đái tháo đường (Hemoglobin A1C), rối loạn chức năng tuyến giáp (Hormone kích thích tuyến giáp), bệnh khớp.
Hình ảnh học
Mặc dù chụp X quang thường bình thường, nhưng chúng rất quan trọng để loại trừ các nguyên nhân khác và đánh giá tình trạng thoái hóa khớp và trật khớp. Phát hiện phổ biến nhất trên hình ảnh X quang là giảm mật độ xương do không sử dụng.
Chụp cộng hưởng từ (MRI) và chụp khớp cộng hưởng từ (MRA) có thể cho thấy bao khớp dày lên (>4mm), giảm khoang khớp ổ chảo- cánh tay và giảm đổ đầy khoang túi nách.
Siêu âm động cũng có thể phát hiện sự dày lên của bao khớp và hạn chế vận động trượt gân cơ trên gai.

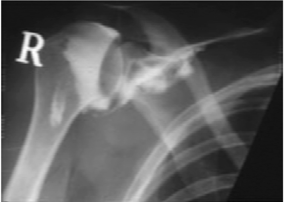
X quang khớp vai cản quang trong viêm dính khớp vai với hình ảnh co rút khoảng khớp. Ghi chú mất khoang túi nách (axillary recess) và giảm lượng chất cản quang được tiêm.
Tiên lượng
Tiên lượng bệnh thường xấu hơn với trường hợp có các yếu tố nguy cơ kèm theo như là bệnh đái tháo đường và bệnh tuyến giáp.
Y văn ban đầu cho rằng viêm dính bao khớp vai là một bệnh tự giới hạn. Năm 1934, Codman tư vấn cho bệnh nhân của mình rằng các triệu chứng của họ sẽ giảm dần theo thời gian mà không cần điều trị trung bình trong 2 năm. Tuy nhiên, nhiều bác sĩ lâm sàng đã báo cáo các trường hợp bệnh nhân vẫn còn di chứng đau và rối loạn chức năng kéo dài sau 2 năm.
Chẩn đoán phân biệt
- Bệnh sụn viền
- Bệnh cơ chóp xoay
- Viêm túi thanh dịch dưới mỏm cùng vai
- Thoái hoá khớp
- Bệnh lý khớp cùng vai- đòn
- VIêm gân canxi hóa
- Viêm bao hoạt dịch
- Gãy xương
- Bệnh lý gân cơ nhị đầu
- Bệnh lý rễ cổ (C5, C6)
- Bệnh lý kẹt dây thần kinh (trên vai)
- Hội chứng đau vùng phức tạp
- Bệnh lý đám rối cánh tay,
- Hội chứng lối ra ngực
- Ung thư
- Bệnh khớp
ĐIỀU TRỊ
Mục tiêu điều trị phụ thuộc vào giai đoạn viêm dính bao khớp vai, nhưng mục tiêu chung là giảm đau và viêm đồng thời tăng tầm vận động của vai ở mọi mặt phẳng. Tư vấn, giáo dục bệnh nhân chiếm một vai trò quan trọng trong xử lý viêm dính bao khớp vai.
Giảm đau:
- Thuốc: thuốc giảm đau chống viêm không steroid là thuốc thường được sử dụng, mặc dù hiệu quả giảm đau hạn chế. Một thử nghiệm steroid đường uống ngắn hạn đã được chứng minh là giảm đau nhanh hơn so với giả dược, nhưng lợi ích không duy trì trong thời gian theo dõi lâu dài. Tương tự, tiêm corticosteroid nội khớp (có hoặc không có lidocain) đã được chứng minh là hữu ích trong giai đoạn đầu của Viêm dính bao khớp vai so với giả dược, nhưng không thay đổi kết quả lâu dài.
- Vật lý trị liệu: Chườm lạnh, siêu âm, điện xung
- Điều chỉnh hoạt động: tránh các hoạt động gây đau hoặc nằm đè lên vai đau.
Phục hồi chức năng
Khi kết hợp với các phương pháp điều trị khác, tập luyện phục hồi chức năng có thể mang lại kết quả tốt hơn. Các bài tập kéo dãn nhằm mục đích giảm thiểu kết dính bao khớp và cải thiện tầm vận động. Các bài tập có thể được thực hiện ở đơn vị vật lý trị liệu và/hoặc chương trình tập tại nhà tuỳ theo giai đoạn.
Các kỹ thuật tập luyện chủ yếu là kéo dãn (bao gồm cả kéo dãn PNF) và kéo nắn (di động khớp). Các bài tập kéo dãn PNF như co- nghỉ, giữ- nghỉ theo mẫu gấp D2 (gấp, dạng, xoay ngoài vai, xoay ngửa cẳng tay, duỗi cổ tay và ngón tay) có thể được sử dụng để cải thiện tầm vận động nhiều hướng. Lưu ý không tập quá mức gây tăng đau vai và tổn thương các cấu trúc quanh vai. Bên cạnh đó, các bài tập làm vững bả vai và làm mạnh các cơ chóp xoay cũng cần được chú trọng, nhất là ở giai đoạn bệnh cải thiện.
Chương trình ở nhà:
- Ban đầu, hướng dẫn bệnh nhân các bài tập quả lắc, kéo dãn qua đầu, bài tập khép chéo cánh tay để giảm đau và phòng mất chức năng thêm. Khi bệnh nhân tiến triển, nên thực hiện một chương trình tập luyện tại nhà chi tiết hơn.
- Nếu bệnh nhân tiếp tục tiến triển với ít đau hơn và cải thiện tầm vận động, các bài tập nên được chuyển sang tăng cường cơ lực cơ chóp xoay và các cơ làm vững bả vai.
- Khi các triệu chứng thuyên giảm, bệnh nhân nên được khuyến khích tiếp tục chương trình tập luyện tại nhà để duy trì tầm vận động và phòng ngừa tái phát.


Xem thêm: CÁC BÀI TẬP PHCN CHO PHỨC HỢP VAI
và KỸ THUẬT DI ĐỘNG KHỚP PHỨC HỢP VAI
Các thủ thuật
Trong điều trị Viêm dính bao khớp vai, các thủ thuật thường được thực hiện phối hợp với các buổi tập vật lý trị liệu và chủ yếu liên quan đến các phương pháp giảm đau. Các thủ thuật này có thể bao gồm tiêm corticoid vào trong khớp, chẹn dây thần kinh trên vai (suprascapular nerve block).


Một thủ thuật khác là bơm nước muối hoặc lidocaine vào bao khớp để giải dính và làm căng bao khớp (Capsular Distension). Tuy nhiên, cần nhiều nghiên cứu hơn để hiểu đầy đủ về hiệu quả của nó.
Phẫu thuật
Chỉ định phẫu thuật khi điều trị bảo tồn 6-12 tháng thất bại hoặc bệnh ảnh hưởng nhiều đến chất lượng cuộc sống. Các chọn lựa phẫu thuật bao gồm kéo nắn dưới thuốc tê hoặc giải phóng bao khớp qua nội soi. Bằng chứng về chỉ định và thời điểm để phẫu thuật hoặc kỹ thuật tối ưu vẫn còn hạn chế. Biến chứng của kéo nắn gồm gãy xương, trật khớp, rách chóp xoay hoặc viền, và tổn thương đám rối cánh tay. Giải phóng bao khớp có thể gây biến chứng tổn thương thần kinh nách.
Một số kỹ thuật khác vẫn còn nghiên cứu
- Liệu pháp Sóng xung kích ngoài cơ thể (ESWT ): Nghiên cứu của Chen, và các cộng sự trên bệnh nhân viêm dính bao khớp vai và đái tháo đường.
- Laser Trị liệu: Laser trị liệu, đặc biệt là Laser cường độ cao (high-intensity laser therapy (HILT)) theo báo cáo của Atan, 2020.
- Lạnh trị liệu toàn thân (Whole-body cryotherapy (WBC): Nghiên cứu của Ma et al. làm lạnh 2-3 phút ở nhiệt độ −110°C to −140°C, kết hợp với kéo nắn trị liệu.
- Làm tổn thương dây thần kinh trên vai bằng sóng xung tần số radio (Pulsed Radiofrequency)
- Kích thích thần kinh ngoại biên (Peripheral Nerve Stimulation- PNS): Như kích thích dây thần kinh nách (nghiên cứu của Mansfield và Desai)
- Huyết tương giàu tiểu cầu (Platelet Rich Plasma)
Tài liệu tham khảo chính:
- Mooyeon Oh-Park, MD, Mohammad Zaidi, MD, Safwan Zar, MD. Adhesive Capsulitis. https://now.aapmr.org/adhesive-capsulitis/
- Essentials Of Physical Medicine And Rehabilitation: Musculoskeletal Disorders, Pain, And Rehabilitation, Fourth Edition. Elsevier, Inc. 2019.







