CASE STUDY PT 2.03: ĐAU CỔ – TRƯỜNG HỢP THỨ NHẤT

LƯỢNG GIÁ CHỦ QUAN

Hành chính 

  • Nam, 32 tuổi 
  • Làm nghề kế toán

Bệnh sử (HPC)

  • Ngồi lâu (suốt cả ngày) tại một hội nghị 3 tuần trước
  • Đến cuối ngày cảm thấy bắt đầu đau vùng cổ dưới và gian bả vai 
  • Khi thức dậy sáng hôm sau đau đã lan ra mặt sau của cánh tay và cẳng tay đến tận ba ngón giữa (Hình vẽ)
  • Khám bác sĩ 1 tuần trước. Bác sĩ đã chỉ định chụp X-quang thường quy nhưng không phát hiện bất thường
  • Triệu chứng không cải thiện chút nào từ khi bắt đầu

Tiền sử

  • Tăng Cholesterol, thừa cân, lối sống ít vận động
  • Có những đợt đau cổ nhẹ thường khỏi trong vòng 2 đến 3 ngày
Hình. Sơ đồ cơ thể của bệnh nhân

Các đặc tính của đau:

Các yếu tố làm nặng thêm

  • Ngồi hơn 10 phút làm tăng cơn đau cổ. Trên 30 phút làm tăng đau cánh tay
  • Nhìn lên hoặc sang trái làm tăng đau cổ và tay 
  • Nâng cặp xách bằng tay trái làm đau vùng cổ và gian bả vai nhiều hơn

Các yếu tố làm giảm nhẹ

  • Đau cổ giảm khi nằm ngửa
  • Đau cánh tay giảm khi nằm ngửa với tay trái gác trên đầu

Ban đêm

  • Có thể ngủ 2–3 giờ một lần trước khi bị đánh thức vì đau cổ và gian bả vai
  • Thay đổi tư thế giúp giảm đau 

Kiểu đau ban ngày 

  • Các triệu chứng tăng khi ngồi nhiều, đặc biệt khi sử dụng máy tính

Thuốc

  • Bệnh nhân được kê đơn thuốc chống viêm không steroid (Meloxicam) giúp giảm đau cổ

Thái độ / mong đợi

  • Muốn biết vấn đề là gì, đặc biệt là khi chụp X-quang không cho thấy bất thường
  • Có cảm giác hình như có thứ gì đó “lồi ra” ở cổ. Nếu có thể ‘đưa trở lại’ thì các triệu chứng này sẽ giảm

KHÁM LÂM SÀNG

Quan sát

Ngồi với tư thế đầu cúi về phía trước

Vận động cột sống cổ khi ngồi

  • Duỗi cổ tái tạo đau ở cổ và tay trái khi được 30 độ. Tầm vận động xảy ra chủ yếu ở các vùng cổ trên và giữa. Rất ít vận động ở vùng cổ dưới hoặc ngực trên
  • Xoay phải gây kéo căng ở vùng cổ bên trái ở tầm 75 độ
  • Xoay trái làm tái tạo đau cổ trái và gian bả vai ở tầm 40 độ

Sờ

  • Cơ cạnh sống bên trái (ở vùng cổ và ngực trên) và các cơ bậc thang trái căng và đau.
  • Đau khu trú và đau tay trái khi ấn sau ra trước (PA, postero-anterior pressure) trên các mỏm gai C6 và C7 và trên các trụ khớp C6 và C7 ở bên trái (articular pillar).
  • Cảm giác căng cứng chung với ấn sau ra trước ở các vùng ngực trên và giữa
sờ cơ bậc thang
Hình: Sờ cơ ức đòn chũm và cơ bậc thang (scaleni), (Hình người dịch bổ sung)

Hình: Đánh giá di động bằng ấn sau ra trước lên trụ khớp (hình người dịch bổ sung).

Khám phân đoạn thần kinh

  • Mất phản xạ gân cơ tam đầu trái
  • Yếu ở cơ tam đầu trái (25% so với bên phải)
  • Giảm cảm giác sờ nhẹ ở đầu ngón tay giữa bên trái       

CÂU HỎI

1. Nguồn có khả năng nhiều nhất gây đau tay ở bệnh nhân này là gì?

2. Nguồn có khả năng nhiều nhất gây đau cổ và gian bả vai ở bệnh nhân này là gì?

3. Các nguồn gây triệu chứng khác có thể là gì?

4. Có những lý do nào để thận trọng khi áp dụng vật lý trị liệu hay không?

5. Điều trị vật lý trị liệu ban đầu thích hợp sẽ bao gồm những gì?

6. Một chương trình xử lý dài hạn sẽ bao gồm những gì?

7. Tiên lượng có thể sẽ như thế nào?

8. Có cần giới thiệu đến các chuyên gia y tế khác hay không?

TRẢ LỜI:

1. Nguồn có khả năng nhất gây đau tay ở bệnh nhân này là do kích thích rễ thần kinh C7. Lý do nghĩ đến rễ thần kinh C7 bị kích thích là vì:

  • Tính chất của cơn đau (rát bỏng, giật, khu trú rõ ràng) phù hợp với kích thích rễ thần kinh (còn được gọi là đau rễ/radicular pain hoặc bệnh lý rễ/radiculopathy) và
  • Triệu chứng đau kết hợp với các dấu hiệu khi khám lâm sàng (giảm sức mạnh cơ tam đầu và mất phản xạ gân cơ tam đầu), gợi ý suy giảm dẫn truyền ở rễ thần kinh C7.

2. Nguyên nhân có khả năng gây ra đau cổ và gian bả vai là bệnh lý ảnh hưởng đến đĩa đệm cổ dưới, có thể là giữa C6 và C7:

  • Đau lan (referred pain) do các cấu trúc cơ thể ở sâu như đĩa đệm thường được mô tả là đau sâu, âm ỉ và nhức nhối. Cloward (1959) cho thấy rằng sự kích thích của đĩa đệm cột sống cổ có thể gây đau ở vùng gian bả vai, mặc dù một nghiên cứu gần đây hơn của Tanaka và cộng sự (2006) cho rằng bản thân các rễ thần kinh cổ cũng có thể gây đau lan đến vùng này.
  • Khả năng là có một yếu tố viêm ở mức độ cao vì cơn đau liên tục và có xu hướng nặng hơn vào buổi sáng. Đau tay được tái tạo khi duỗi cổ và xoay đầu sang trái phù hợp với tổn thương rễ thần kinh vì những vận động này đã được chứng minh là làm giảm đường kính của lỗ gian sống (lỗ ghép) vùng cổ (Ordway và cộng sự 1999). Tương tự, ấn đốt sống từ sau-trước cũng có khả năng tạo ra kiểu chuyển động duỗi của cột sống cổ, cũng dẫn đến hẹp lỗ gian sống và gây đụng chạm dây thần kinh.

3. Các nguồn khác có thể gây đau bao gồm các khớp diện nhỏ (zygapophysial) cột sống cổ dưới (Dwyer và cộng sự 1990). Các cơ cạnh cột sống cổ và cơ bậc thang (scalenes) bên trái cũng có thể góp phần gây ra các triệu chứng.

4. Trong trường hợp này, KTV vật lý trị liệu cần lưu ý không thực hiện bất kỳ thủ thuật nào có thể dẫn đến tình trạng trầm trọng hơn, đặc biệt là đối với đau cánh tay khả năng  có nguồn gốc là do thần kinh. Cần theo dõi cẩn thận các triệu chứng trong buổi điều trị đầu tiên và trong các buổi tiếp theo. Việc đánh giá lại các dấu hiệu thần kinh trong các buổi tiếp theo giúp cảnh báo cho KTV về những thay đổi của bệnh lý có thể và ảnh hưởng của lên chức năng dây thần kinh.

5. Một buổi điều trị đầu tiên phù hợp sẽ bao gồm:

  • giáo dục về các nguyên nhân và cơ chế có thể xảy ra của các triệu chứng và trấn an bệnh nhân rằng cho dù đau rễ cùng thường giảm bớt. Bệnh nhân nên được khuyên  tiếp tục với các hoạt động bình thường của cuộc sống hàng ngày trong khi tránh các vận động và tư thế làm đau tay nặng hơn.
  • các kỹ thuật bằng tay (manual techniques) có thể thích hợp để giảm tải trên các phân đoạn bị ảnh hưởng bằng cách cải thiện vận động của các vùng lân cận (ví dụ như di động hoặc kéo nắn để cải thiện vận động vùng ngực). Các kỹ thuật bằng tay có thể làm giảm đau bằng cách kích thích các đường dẫn thần kinh hướng tâm không nhận đau (non-nociceptive) (ví dụ: di động thụ động biên độ lớn). Có thể giảm tổn thương thần kinh bằng các kỹ thuật làm tăng đường kính lỗ gian sống (ví dụ như kéo cột sống bằng tay hoặc di động xoay đối bên). 
  • có thể áp dụng xoa bóp mô mềm nhẹ nhàng hoặc nhiệt trị liệu để giảm độ căng và đau ở các cơ cạnh sống và cơ bậc thang.

6. Xử trí dài hạn nên nhằm giải quyết các yếu tố có thể góp phần gây nên tình trạng này. Có thể cần phải cải thiện bố trí nơi làm việc, tư thế ngồi, khả năng vận động của lồng ngực, sức khỏe chung và mức độ thể chất để đạt được kết quả tối ưu.

7. Tiên lượng có khả năng tốt vì những bệnh nhân bị đau rễ thường có tỷ lệ hồi phục tốt, thường trong vòng vài tháng (Heckmann et al 1999).

8. Việc giới thiệu trở lại bác sĩ sẽ hữu ích để xét nghiệm thăm dò xác định bệnh lý hoặc loại trừ các tổn thương mô mềm khác. Prednisolone bằng đường uống đôi khi được khuyến cáo cho các trường hợp lồi đĩa đệm cổ. Mặc dù điều này có vẻ hữu ích trên lâm sàng đối với một số bệnh nhân riêng lẻ, các nghiên cứu đã không cho thấy hiệu quả ở cấp độ nhóm bệnh nhân. Khiếm khuyết thần kinh tiến triển hoặc các dấu hiệu của chèn ép tủy sống (ví dụ như rối loạn dáng đi hoặc rối loạn cảm giác chi trên hoặc chi dưới hai bên ) là cơ sở để chuyển gấp đến bác sĩ/bệnh viện.

ĐIỀU GÌ THỰC SỰ ĐÃ XẢY RA VỚI BỆNH NHÂN NÀY?

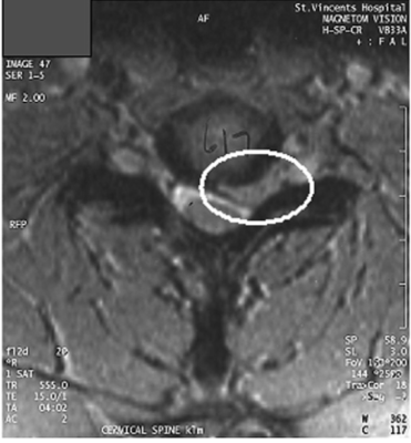
Bệnh nhân này đã được giới thiệu trở lại bác sĩ vì các triệu chứng không thuyên giảm sau ba buổi điều trị, kéo dài 2 tuần. Sau đó, bệnh nhân được giới thiệu đến một bác sĩ ngoại thần kinh, được chỉ định chụp MRI cho thấy thoát vị đĩa đệm lớn ở C6–7 (xem Hình ). Bác sĩ ngoại thần kinh đã kê thuốc prednisolone uống với liều 50 mg mỗi ngày trong 7 ngày, trong thời gian đó cánh tay được để yên. Kết quả ghi nhận có sự gia tăng sức mạnh ở cơ tam đầu trái và có phản xạ gân cơ tam đầu, mặc dù giảm đáng kể so với bên phải. Trong trường hợp này không cần can thiệp phẫu thuật. Phẫu thuật có thể được chỉ định nếu có khiếm khuyết vận động tiến triển, ảnh hưởng đến chức năng hoặc nếu đau kéo dài hơn 6-12 tuần (Carette & Fehlings 2005).

Hình ảnh MRI cột sống cổ C6-7 cho thấy thoát vị lệch trái.

MinhdatRehab, Lược theo:

Clinical case studies in physiotherapy. Lauren Jean Guthrie. 2009, Elsevier Limited. 

Xin lỗi. Bạn không thể sao chép nội dung ở trang này