Khám chủ quan
Đối tượng Bệnh nhân
- Nam 60 tuổi, làm nghề luật sư
- Biểu hiện đau vùng ngực thấp hai bên với các triệu chứng lan ra phía trước vùng dưới xương ức (xem Hình 1)
- Có biểu hiện tương tự cách đây 5 năm, đã được điều trị bằng vật lý trị liệu và đã khỏi sau ba buổi di động khớp thụ động ở cột sống ngực.
Bệnh sử
- Nhận thấy khởi phát triệu chứng 4 tuần trước đó sau khi nâng chậu cây khi làm vườn. Ban đầu cảm thấy đau ở vùng xương ức, sau đó bắt đầu đau ngực trong suốt cả ngày.
- Lúc đầu đau không liên tục, hiện đau liên tục ở mức ít nhất là VAS 2/10 và nhiều nhất là VAS 7/10
Tiền sử bệnh
- Giảm 5 kg trong 4 tuần trước đó mà không thể giải thích được bằng các yếu tố khác.
- Cảm nhận đau nhức không liên tục, lan tỏa, nhẹ (VAS 1–2/10) ở tay, chân và thân mình trong 3 tháng trước đó, nặng lên một chút từ 4 tuần trước.
Các yếu tố làm tăng đau
- Ngồi lâu hơn 20 phút tại nơi làm việc sẽ làm tăng đau vùng ngực phía sau và phía trước lên VAS 6/10
Các yếu tố làm giảm
- Đứng và đi bộ trong 10 phút làm giảm các triệu chứng về VAS 2/10
Ban Đêm
- Thức dậy 3–4 lần mỗi đêm với các triệu chứng gia tăng ở vùng ngực và xương ức. Phải ra khỏi giường và đi lại để giảm đau. Nhận thấy rằng những cơn đau nhức toàn thân này có vẻ liên quan đến tăng tiết mồ hôi vào ban đêm.
Ban ngày
- Phụ thuộc vào số lần ngồi trong ngày. Càng về cuối ngày càng đau ngực và ức khi ngồi nhiều
Thái độ/ Kỳ vọng:
- Nghĩ rằng vật lý trị liệu sẽ làm dịu các triệu chứng như đợt đau tương tự trước đây.

Khám khách quan
Nhìn
- Gù ở ngực tăng lên khi ngồi. Có thể chủ động điều chỉnh tư thế ngồi, mặc dù điều này làm tăng đau ngực một chút
Vận động chủ động lồng ngực khi ngồi
- Duỗi bị hạn chế khoảng 50% và tái tạo cơn đau ở ngực sau với lực ép lên đoạn cột sống ngực giữa/thấp.
- Xoay cột sống vùng ngực cảm thấy cứng nhưng không tái tạo đau
- Gấp có tầm vận động bình thường và tái tạo cảm giác căng ở vùng ngực giữa
Sờ
- Sờ thấy cảm giác cứng lan toả khi ấn đốt sống ra trước (ấn từ sau ra trước, PA) ở đường giữa và phía bên cạnh sống, từ T2–T10.
- Tái tạo triệu chứng đau trước và sau ngực khi ấn vào đường giữa đốt sống ở đoạn T7–T8. Những cơn đau này nhanh chóng giảm đi khi hết ấn.
- Sờ các xương sườn, phần dưới xương ức và phần trên cơ thẳng bụng không thấy đau tăng lên
Câu hỏi và gợi ý trả lời
Câu hỏi
1. Giả thuyết của bạn về nguồn gốc có thể gây ra các cơn đau ở ngực và ức là gì?
2. Điều trị vật lý trị liệu ban đầu phù hợp sẽ bao gồm những gì?
3. Các dấu hiệu thăm khám nào khiến bạn nghi ngờ nguồn gốc không liên quan đến cơ xương khớp của các triệu chứng ở bệnh nhân hay không?
4. Các dấu hiệu cờ đỏ là gì?
5. Có cần giới thiệu đến các chuyên gia y tế khác hay không?
Gợi ý trả lời
1. Giả thuyết của bạn về nguồn gốc có thể gây ra các cơn đau ở ngực và ức là gì?
Các triệu chứng ở ngực và xương ức phù hợp với một rối loạn cơ học chủ yếu ảnh hưởng đến cột sống ngực:
- Bệnh nhân báo cáo rằng đau sau khi nâng chậu cây.
- Những cơn đau trầm trọng hơn và giảm bớt bởi các yếu tố cơ học (tương ứng là ngồi lâu và đứng/đi lại). Kellgren (1939) đã chứng minh rằng các cấu trúc sâu như dây chằng và cơ ở cột sống ngực có thể gây đau lan đến thành ngực bên và trước. Các đĩa đệm cột sống ngực cũng có thể là nguồn gây đau cục bộ và đau lan.
2. Điều trị vật lý trị liệu ban đầu phù hợp sẽ bao gồm những gì?
Điều trị vật lý trị liệu ban đầu thích hợp có thể bao gồm di động khớp thụ động và tư vấn về tư thế:
- Bệnh nhân báo cáo rằng ông đã có một kết quả tốt với di động khớp thụ động cho một vấn đề tương tự 5 năm trước đó. Bởi vì sự liên quan giữa giảm vận động của cột sống ngực và việc tạo ra các triệu chứng khi khám vận động chủ động và thụ động, di động khớp thụ động nhẹ nhàng sẽ là điểm khởi đầu thích hợp để điều trị. Trên lý thuyết, kỹ thuật di động trượt sau ra trước (PA) ở mức T7–8 sẽ có thể làm giảm đau và tăng tầm vận động.
- Có thể đưa ra giả thuyết rằng ngồi với tư thế cột sống ngực bị gập trong thời gian dài và hạn chế duỗi cột sống ngực chung là những yếu tố góp phần gây triệu chứng. Có thể giải quyết các yếu tố này bằng cách cải thiện nhận thức về tư thế, điều chỉnh tư thế thường xuyên khi ngồi và bằng các bài tập và/hoặc trị liệu bằng tay để cải thiện tầm vận động duỗi của cột sống ngực.
XEM THÊM: DI ĐỘNG TRƯỢT ĐỐT SỐNG SAU RA TRƯỚC: PA GLIDE
3. Các dấu hiệu thăm khám nào khiến bạn nghi ngờ nguồn gốc không liên quan đến cơ xương khớp của các triệu chứng ở bệnh nhân hay không?
Mặc dù biểu hiện của cơn đau ở ngực và xương ức chứng tỏ một rối loạn cơ học, kỹ thuật viên vật lý trị liệu phải luôn cảnh giác với khả năng một bệnh lý nghiêm trọng là nguyên nhân gây đau cột sống. Bệnh lý trầm trọng này có thể bao gồm các khối u nguyên phát hoặc di căn, các bệnh lý viêm, bệnh lý nhiễm trùng hoặc đau lan từ các bệnh lý nội tạng. Cơn đau tăng lên vào ban đêm có thể liên quan đến các bệnh lý không phải cơ học, mặc dù nó cũng có thể liên quan đến tư thế ngủ không phù hợp hoặc bề mặt ngủ (đệm và/hoặc gối) không nâng đỡ tốt. Đối với trường hợp này, sự hiện diện của các cơn đau nhức lan rộng, mặc dù nhẹ, nặng hơn vào ban đêm, kèm theo đổ mồ hôi ban đêm và giảm cân không giải thích được nên cảnh báo cho kỹ thuật viên vật lý trị liệu về sự hiện diện có thể có của một bệnh lý không phải cơ học. Bệnh lý không phải cơ học này có thể có các dấu hiệu và triệu chứng giống bệnh cơ xương khớp, có thể gây ra các dấu hiệu và triệu chứng cơ xương khớp.
4. Các dấu hiệu cờ đỏ là gì?
Thuật ngữ ‘cờ đỏ’ đã được sử dụng để mô tả các phát hiện khi thăm khám có thể gợi ý bệnh lý nghiêm trọng:
- Các đặc điểm của hội chứng chùm đuôi ngựa (đặc biệt là bí tiểu, các triệu chứng và dấu hiệu thần kinh hai bên, tê vùng yên ngựa)
- Chấn thương nặng
- Giảm cân
- Tiền sử ung thư
- Sốt
- Sử dụng thuốc (phiện) tiêm tĩnh mạch hoặc sử dụng steroid
- Bệnh nhân trên 50 tuổi
- Đau dữ dội, không ngừng vào ban đêm
- Cơn đau trở nên nặng hơn khi bệnh nhân nằm xuống.
5. Có cần giới thiệu đến các chuyên gia y tế khác hay không?
- Sự hiện diện của một số ‘dấu hiệu cờ đỏ’ (đau ban đêm, giảm cân không rõ nguyên nhân, đổ mồ hôi ban đêm và đau nhức toàn thân) khiến việc giới thiệu đến bác sĩ là ưu tiên để điều tra khả năng mắc bệnh lý nghiêm trọng:
Điều gì đã xảy ra trong trường hợp này?
Kỹ thuật viên vật lý trị liệu điều trị trong trường hợp này đã điều trị cho bệnh nhân bằng di động khớp thụ động nhẹ nhàng ở vùng T7-8 giúp cải thiện độ duỗi cột sống ngực khi đánh giá lại. Kỹ thuật viên cũng cung cấp lời khuyên về tư thế và các bài tập, cùng với một giấy giới thiệu đến bác sĩ đa khoa nêu rõ những lo ngại về khả năng mắc bệnh lý nghiêm trọng. Bệnh nhân được giới thiệu để thăm dò thêm bao gồm scan xương và chụp cộng hưởng từ (MRI). Kết quả cho thấy một khối u trung thất lớn, sau đó được chẩn đoán là ung thư hạch không Hodgkin (xem Hình 2 và hình 3).
Sau đó, bệnh nhân báo cáo rằng điều trị vật lý đã giúp giảm đau ngực và vùng ức (ngay cả vào ban đêm), nhưng tình trạng đau nhức lan toả chung không thay đổi. Điều này chỉ ra rằng rối loạn chức năng cơ xương có thể gây ra các triệu chứng, hầu như độc lập với những triệu chứng liên quan đến ung thư hạch. Bệnh nhân đã hồi phục hoàn toàn với điều trị thích hợp chủ yếu dựa trên hóa trị.


MinhdatRehab, Lược theo:
Clinical case studies in physiotherapy. Lauren Jean Guthrie. 2009, Elsevier Limited.
Bàn luận của MinhDat Rehab
Một trường hợp đau vùng cột sống ngực, kèm cảm giác đau lan toả tay, chân và thân mình, với kết quả cuối cùng là ung thư hạch không Hodgkin.
Một số nhận xét:
- Trường hợp này, người khám (kỹ thuật viên vật lý trị liệu) khai thác bệnh sử khá kỹ càng, phân biệt giữa một bên là đau có khả năng cơ học do cột sống đoạn T 7 – T8, và một loại đau mơ hồ, chung khác có cường độ nhẹ hơn. Điều đầu tiên cần thực hiện là tìm xem có các dấu hiệu nguy hiểm, bệnh nặng nào khác hay không, và thường được gọi là các dấu hiệu “cờ đỏ”. Ở đây, bệnh nhân có cảm giác đau tăng về đêm, kèm theo các dấu hiệu hệ thống như sụt cân không rõ nguyên nhân, đổ mồ hôi về đêm … là những dấu hiệu báo động người khám cần tìm hiểu thêm.
Xem thêm: CÁC DẤU HIỆU CỜ ĐỎ, CỜ VÀNG … LÀ GÌ?
- Mặt dù theo case study này, người kỹ thuật viên đã thực hiện can thiệp của mình trong lúc giới thiệu đến bác sĩ đánh giá thêm, nhưng đứng trên phương diện thái độ xử trí, tốt nhất là cần chuyển ngay đến chuyên gia phù hợp khi có các dấu hiệu cờ đỏ này. Can thiệp vật lý trị liệu trong trường hợp này không phải là một biện pháp cấp bách và có thể làm lỡ thời gian chẩn đoán, gây tác động xấu đến các cấu trúc giải phẫu bị tổn thương. Đau ở vùng cột sống ngực là một vị trí khá bất thường, và do đó cần chẩn đoán loại trừ với các nguyên nhân khác. Bản thân người dịch cũng gặp một số trường hợp, có thể đơn cử ở đây một hai trường hợp để bạn đọc tham khảo.
- Nhân một ngày trực khám tại khoa (khoa chỉ nhận điều trị ngoại trú), một kỹ thuật viên đến hỏi về thay đổi phương pháp cho một bệnh nhân nhỏ tuổi (16 tuổi), vào điều trị với chẩn đoán đau vùng cột sống ngực khoảng T7- T8. Trẻ này được một bác sĩ đồng nghiệp khám và cho điều trị vật lý khoảng 10 ngày trước đó. Nhận thấy đây là một vị trí đau bất thường, tôi khám nhanh, cảm thấy ấn đau đoạn cột sống khá nhiều một cách bất thường, và điều trị không thấy có cải thiện. Trẻ cũng không biểu hiện các dấu hiệu cờ đỏ như sốt, sụt cân, té ngã. Tôi cho ngưng điều trị, chỉ định chụp X quang phổi thẳng, nghiêng gấp, và kết quả là một hình ảnh áp xe lạnh ở mô mềm, nghĩ đến một chẩn đoán lao cột sống. Trẻ đã được chuyển nhanh đến bệnh viện lao để điều trị, với tư vấn mang nẹp bảo vệ cột sống một thời gian. Kết quả là trẻ đã lành bệnh.
- Một trường hợp khác thì không được may mắn như vậy. Bệnh nhân (chừng 30 tuổi) có cảm giác đau ở đầu gối bên phải. Đau không kèm sưng nóng đỏ, nhưng làm bệnh nhân rất khó chịu phải đến khám ở các bệnh viện lớn. Sau khi được làm các xét nghiệm, không thấy bất thường tại chỗ, anh được chỉ định dùng thuốc giảm đau kháng viêm và cho về nhà. Mặc dù vậy, anh vẫn thấy đau ở gối và phải mua thuốc ở tiệm thuốc để mong giảm đau. Vài tháng sau, anh xuất hiện liệt hai chân, phải nhập bệnh viện, và chẩn đoán lúc này là lao cột sống đoạn L2 -L3. Lúc này thì tổn thương cột sống, thần kinh đã quá rõ ràng và nặng nề, khó hồi phục. Đến khi được mời hội chẩn thì tôi mới nghiệm ra đau ban đầu là đau lan, “refered pain”, từ đoạn đốt sống L3 bị tổn thương, và các bác sĩ đã không chú ý, khám toàn diện ở bệnh nhân này từ lúc đầu.
- Qua đây, cũng thấy rằng với các trường hợp nghi ngờ hoặc không điển hình, giải pháp là xác định hoặc loại trừ chẩn đoán càng sớm càng tốt.
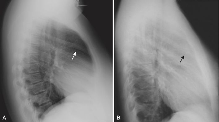
- Về khối u hạch ở trung thất, trên phim X quang thường có thể phát hiện với dấu hiệu lấp đầy khoảng trống sau xương ức. Bình thường, có một hình lưỡi liềm tương đối sáng ngay sau xương ức và phía trước bóng của động mạch chủ lên. Khi có một khối ở trung thất trước, khoảng trống sau xương ức bị lấp đầy . Bệnh lý hạch có lẽ là nguyên nhân thường gặp nhất làm che lấp khoảng sau xương ức (Hình 4). U tuyến ức, u quái (teratoma) và phì đại tuyến giáp dưới xương ức cũng có thể tạo ra các khối ở trung thất trước, nhưng chúng thường không có hình ảnh giống như hình trên.

Hình 4. Bệnh lý hạch (adenopathy) ở trung thất trước. A, Phim nghiêng bình thường thấy rõ khoảng sau xương ức (mũi tên trắng). B, Phim phổi nghiêng bên trái cho thấy mô mềm “lấp đầy” khoảng trống bình thường phía sau xương ức (mũi tên đen). Dấu hiệu này thể hiện bệnh lý hạch lympho ở trung thất trước ở một bệnh nhân bị lymphoma.






