|
Hãy nghe bài viết
Getting your Trinity Audio player ready...
|
PHI LỘ: Mặc dù không thường gặp, nhưng cốt hoá lạc chỗ gây ảnh hưởng trầm trọng đến chức năng và chất lượng cuộc sống của những người bệnh mắc biến chứng này. Trong thực hành, điều quan trọng là dự phòng ở các đối tượng nguy cơ cao và nhận ra các dấu hiệu và triệu chứng của cốt hoá lạc chỗ, nhất là trong giai đoạn đầu khi có nhiều phương pháp điều trị hơn.
Mã ICD10: M61: Vôi hoá và cốt hoá cơ
- M61.0: Viêm cơ cốt hoá do chấn thương
- M61.1 Viêm cơ cốt hoá tiến triển (dạng di truyền)
- M61.2: Vôi hoá và cốt hoá cơ do liệt
- M61.3: Vôi hoá và cốt hoá cơ liên quan đến bỏng
- M61.9: Vôi hoá và cốt hoá cơ không đặc hiệu
XEM THÊM: CO RÚT: PHÒNG NGỪA VÀ ĐIỀU TRỊ
ĐẠI CƯƠNG
Định nghĩa
Cốt hoá lạc chỗ (Heterotopic Ossification, HO) đề cập đến sự tạo xương bất thường trong mô mềm quanh khớp, ngoài khung xương. Tình trạng này khác với các rối loạn khoáng hóa xương khác ở chỗ cốt hoá lạc chỗ xảy ra bên ngoài bao khớp, không liên kết với màng xương.
Cốt hoá thường xuất hiện trong cơ (nên còn được gọi là viêm cơ cốt hoá (myositis ossificans), tuy nhiên cũng có thể xuất hiện ở các cấu trúc mô mềm khác như cân mạc (fasciitis ossificans), gân cơ …
Từ “heterotopic”: xuất phát từ gốc Hy lạp, “hetero”: khác và “topos,” nơi chốn, chỗ
Dịch tễ học bao gồm các yếu tố nguy cơ
Biểu hiện cổ điển của cốt hoá lạc chỗ là ở những người trẻ tuổi có tiền sử chấn thương hoặc phẫu thuật tại chỗ rõ ràng. Khoảng 50% bệnh nhân ở độ tuổi 20- 40, tuy nhiên có thể gặp cả ở trẻ nhỏ cho đến người cao tuổi. Nam giới thường bị ảnh hưởng nhiều hơn (tỷ lệ nam: nữ là 3: 2).
Tiền sử chấn thương như sự kiện khởi phát có trong hầu hết các trường hợp (lên đến 75%), và những trường hợp còn lại được cho là do chấn thương không được nhận ra, hoặc “vi chấn thương hoặc áp lực cơ học lặp lại.
Cốt hoá lạc chỗ thường xảy ra thứ phát ở những bệnh nhân mắc một số bệnh lý nền nhất định, bao gồm:
- Các bệnh lý chấn thương, chỉnh hình, cắt cụt, bỏng:
- Sau phẫu thuật chỉnh hình, thường gặp nhất là thay khớp háng,
- Gãy xương hoặc trật khớp (nhất là chấn thương hoặc trật khớp khuỷu)
- Chấn thương nặng (năng lượng lớn, high- energy),
- Bỏng nặng (xảy ra tới ∼20% trường hợp với bỏng độ ba).
- Cắt cụt chi do chấn thương nặng
- Các bệnh lý thần kinh (do chấn thương hoặc bệnh lý):
- Bệnh nhân tổn thương tuỷ sống: Thường ở vùng háng và gối, và khoảng 20-30% bệnh nhân bị cốt hoá lạc chỗ
- Bệnh nhân chấn thương sọ não: Thường ở vùng háng, khuỷu tay, vai và gối, và khoảng 10-20% bị cốt hoá lạc chỗ
- Tai biến mạch máu não (CVA): Ít gặp hơn, thường ở khuỷu tay
Sinh lý bệnh
Cơ chế bệnh sinh của cốt hoá lạc chỗ phần lớn vẫn chưa được biết đầy đủ. Theo giả định, cốt hoá lạc chỗ được kích hoạt bởi phù, thiếu máu cục bộ / thiếu oxy mô, chấn thương và các quá trình viêm cục bộ khác. Có một sự phá vỡ sự cân bằng bình thường của sự tạo xương và ức chế tạo xương, có lẽ thông qua việc tạo ra một loạt các yếu tố gây viêm thúc đẩy sự biệt hóa tế bào trung mô thành nguyên bào xương, từ đó lắng đọng chất nền xương mới trong mô mềm ngoài khung xương.
Một số nghiên cứu đã tập trung vào cơ chế bệnh sinh thông qua các chất cảm ứng (inducers) gây cốt hóa lạc chỗ cục bộ và toàn thân như các protein tạo hình thái xương (bone morphogenic proteins, BMPs) và prostaglandin-E2. Sự gián đoạn của cả hai chất trung gian này cho thấy làm giảm tỷ lệ mắc cốt hoá lạc chỗ. C
Giải phẫu bệnh
Về mặt vi thể, cốt hoá lạc chỗ được phân chia thành ba giai đoạn: sớm, trung gian và muộn (trưởng thành), tương ứng với biểu hiện trên lâm sàng và X quang.
- Ở giai đoạn sớm có thể thấy lõi trung tâm lớn không cốt hoá (gồm các nguyên bào sợi và nguyên bào sợi cơ đang tăng sinh), kèm theo một thành phần nhỏ của chất dạng xương và xương phiến trưởng thành ở ngoại vi.
- Trong giai đoạn trung gian, gần như bộ phần chất dạng xương được bao bọc bởi các tạo cốt bào hoạt động, và khối u được bao bọc bởi một lớp vỏ của xương phiến trưởng thành.
- Giai đoạn muộn được đặc trưng bởi mẫu phân vùng điển hình (hiện tượng phân vùng, zonal phenomenon). Nó bao gồm vùng trong cùng được tạo bởi các nguyên bào sợi và nguyên bào sợi cơ đang tăng sinh với các vùng xuất huyết và hoại tử, vùng trung gian chứa các tạo cốt bào với chất dạng xương chưa trưởng thành và vùng ngoại vi là xương trưởng thành.rong giai đoạn muộn này, tổn thương có thể thoái triển về kích thước và sự thoái triển tự phát của tổn thương xảy ra ở khoảng 30% bệnh nhân, nhất là ở trẻ em.

LƯỢNG GIÁ
Bệnh sử
Mối liên hệ thời gian của khởi phát cốt hoá lạc chỗ thay đổi tùy theo bệnh lý nền. Các triệu chứng thường xuất hiện từ hai tuần đến 12 tháng kể sau khi bị tổn thương ban đầu. Bệnh nhân có thể khai bị hạn chế tầm vận động kèm đau quanh khớp, sưng, nóng, đỏ (thường không có chấn thương trước đó trong trường hợp cốt hoá lạc chỗ nguyên nhân bệnh lý thần kinh).
Lâm sàng, tiến triển
Cốt hoá lạc chỗ có thể xảy ra ở bất cứ đâu, nhưng những vị trí thường gặp nhất là những vùng dễ bị chấn thương, như khuỷu tay, đùi, vùng chậu hông, và vai. Cốt hoá lạc chỗ cũng có thể gặp ở đầu và cổ trong trường hợp chấn thương.
Biểu hiện lâm sàng phụ thuộc vào giai đoạn tiến triển của cốt hoá lạc chỗ. Giai đoạn sớm/viêm biểu hiện với sưng, nóng, đỏ, đau tại chỗ. Bệnh nhân có thể có sốt nhẹ. Giai đoạn đầu này đôi khi có biểu hiện giống với gãy xương ẩn, huyết khối tĩnh mạch sâu (DVT), viêm mô tế bào và viêm tắc tĩnh mạch nông.
Tiếp theo, cốt hoá lạc chỗ tiến triển và có thể tăng nhanh về kích thước (đôi khi làm thầy thuốc nghĩ đến sarcoma mô mềm).
Ở giai đoạn muộn hơn và với sự trưởng thành dần của mô xương, sưng trở nên khu trú hơn, cứng chắc, và khi ở gần một khớp có thể gây hạn chế vận động.
Các biến chứng thứ phát và ảnh hưởng chức năng
Xương lạc chỗ làm giảm tầm vận động của khớp (ROM), dẫn đến cứng khớp, cũng như co rút mô mềm (da, cơ, dây chằng, và các bó mạch thần kinh) xung quanh.
Ngoài ảnh hưởng đến tầm vận động, cốt hoá lạc chỗ có thể gây bệnh lý thần kinh ngoại biên bằng cách chèn ép các cấu trúc thần kinh lân cận, gây thiếu máu cục bộ mạn tính dây thần kinh và chèn ép có thể dẫn đến sẹo và xơ hóa dây thần kinh.
Hạn chế tầm vận động, đau, tổn thương da và chèn ép dây thần kinh nếu có ảnh hưởng xấu đến tư thế và dịch chuyển, di chuyển, chăm sóc vệ sinh và các sinh hoạt hàng ngày của bệnh nhân. Những hậu quả thứ cấp này cộng với những khiếm khuyết sẵn có trên bệnh nhân (tổn thương tuỷ sống, chấn thương sọ não, và bỏng) càng góp phần làm giảm chức năng, tăng gánh nặng cho người chăm sóc và giảm chất lượng cuộc sống.
Cận lâm sàng
Các xét nghiệm
Chất chỉ điểm trong huyết thanh:
- Phosphatase kiềm (Alkaline phosphatase), một loại men ức chế các chất ức chế sự tạo xương xương, thường tăng cao sớm trong diễn tiến lâm sàng của cốt hoá lạc chỗ và có thể hữu ích để phân biệt trường hợp nghi ngờ cốt hoá lạc chỗ với các tình trạng khác có biểu hiện sưng, nóng, đỏ tương tự chẳng hạn như DVT, máu tụ, hoặc viêm mô tế bào. Có thể mất đến 2 tuần để men này tăng lên sau khi xuất hiện các dấu hiệu và triệu chứng lâm sàng cốt hoá lạc chỗ và có thể tăng cao đến 3,5 lần giá trị bình thường vào tuần thứ 10 sau chấn thương. Phosphatase kiềm tăng cao không đặc hiệu với cốt hoá lạc chỗ, vì men này có thể tăng trong các tình trạng khác như chấn thương xương dài. Đây cũng không phải là một xét nghiệm nhạy, vì một số nghiên cứu cho thấy nó chỉ tăng ở 58% bệnh nhân bị cốt hoá lạc chỗ. Mức phosphatase kiềm trở lại bình thường khi cốt hoá lạc chỗ ổn định.
- Tốc độ lắng máu (ESR, VS) và protein phản ứng C là những chất đánh dấu viêm có thể tăng ở giai đoạn sớm nhưng không đặc hiệu.
- Osteocalcin, một loại hormone protein được sản xuất bởi các nguyên bào tạo xương, thường được sử dụng như một chất đánh dấu sinh học (biomarker) để xác định hiệu quả của thuốc điều trị loãng xương lên sự tạo xương. Tuy nhiên chất này không có giá trị trong khẳng định cốt hoá lạc chỗ ổn định, vì như trị số nằm trong giới hạn bình thường trong đa số bệnh nhân.
- Creatinine kinase có thể được sử dụng để dự đoán mức độ trầm trọng của cốt hoá lạc chỗ nhưng nó không phải là đặc hiệu và cần phải nghiên cứu thêm để xác định xem nó có thể được sử dụng như một chất đánh dấu cho cốt hoá lạc chỗ giai đoạn sớm hay không.
Các chất đánh dấu ở nước tiểu (ít được chỉ định hơn):
- Tăng Hydroxyproline trong nước tiểu khá nhạy cảm ở cốt hoá lạc chỗ ổn định nhưng chưa được chứng minh là hữu ích tại thời điểm chẩn đoán hoặc trong các đo lường liên tiếp. Điều này có thể một phần do chất này thường tăng khi bắt đầu liệt hai chân ở bệnh nhân tổn thương tuỷ sống trước khi cốt hoá lạc chỗ bắt đầu hình thành.
- Prostaglandin E2 trong nước tiểu 24 giờ có thể tăng ở giai đoạn sớm của cốt hoá lạc chỗ. Một nghiên cứu về bệnh nhân chấn thương tủy sống đã khuyến nghị đo giá trị này mỗi tuần một lần từ khi bị chấn thương ban đầu đến 3 đến 4 tháng sau chấn thương để tầm soát. Sự gia tăng đột ngột gợi ý cần tiến hành chụp cắt lớp xương. Chất này có thể tăng giả nếu có tinh trùng trong nước tiểu hoặc nếu có nhiễm trùng đường tiết niệu dưới.
Chẩn đoán hình ảnh
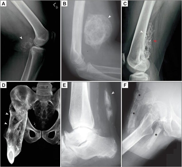
- X quang đặc hiệu nhưng không nhạy trong cốt hoá lạc chỗ giai đoạn sớm. Có thể mất 3-8 tuần để xương lạc chỗ hiển thị trên phim chụp X-quang. Xương lạc chỗ được mô tả là trông như “mịn như lông” (fluffy) hoặc “giống như bắp rang bơ” (popcorn-like). Giai đoạn ổn định đặc trưng bởi hiện tượng phân vùng mô học với lớp vỏ ngoài xương trưởng thành điển hình.
- Một số phân loại mức độ cốt hoá lạc chỗ trên X quang: Phân loại của Brooker cho khớp háng (phân độ I-IV), Phân loại Hastings và Graham cho khớp khuỷu (phân độ I-II))
- Chụp cắt lớp vi tính (CT): hình ảnh cho hình ảnh rõ hơn X quang thường, và có ích để lập kế hoạch phẫu thuật cắt bỏ.
- Xạ hình xương 3 pha có thể phát hiện xương lạc chỗ trong vòng sớm nhất 2,5 tuần sau chấn thương và do đó là tiêu chuẩn vàng để chẩn đoán sớm cốt hoá lạc chỗ.
- Siêu âm có thể được sử dụng như một công cụ sàng lọc, đặc biệt ở những bệnh nhân có các triệu chứng không thể loại trừ DVT và siêu âm được thực hiện để loại trừ cục máu đông.


Sự kết hợp giữa nồng độ phosphatase kiềm trở lại bình thường và sự xuất hiện của tổ chức xương trưởng thành trên X quang cho thấy sự ổn định (trưởng thành, mature) của xương lạc chỗ.
Chẩn đoán phân biệt
- Tắc nghẽn tĩnh mạch sâu (DVT)
- Viêm tắc tĩnh mạch nông
- Viêm mô tế bào
- Áp xe
- Nhiễm trùng khớp
- Tụ máu
- Khối u
XEM THÊM: CASE STUDY 53: CỐT HOÁ LẠC CHỔ
PHÒNG VÀ ĐIỀU TRỊ CỐT HOÁ LẠC CHỖ
Dự phòng
Mặc dù chưa được xác định rõ ràng, những can thiệp sau có thể có vai trò phòng ngừa sơ cấp (primary prevention):
Tập tầm vận động thụ động và chủ động
Y văn hiện chưa thống nhất về vai trò của bài tập tầm vận động và di động khớp trong phòng ngừa và điều trị cốt hoá lạc chỗ, dù vậy các biện pháp này được xem là một liệu pháp hỗ trợ để phòng ngừa cốt hoá lạc chỗ đồng thời duy trì tầm vận động khớp liên quan.
Một lưu ý là tập tầm vận động quá mức có thể gây chấn thương (nhất là ở những bệnh nhân liệt, bất động lâu …) và do đó có thể làm tăng tỷ lệ cốt hoá lạc chỗ. Do vậy, tập luyện cần phải thực hiện nhẹ nhàng, cẩn trọng, đúng phương pháp, không gây đau và/hoặc tăng tình trạng viêm.
Kiểm soát co cứng và đau
Cần điều trị triệu chứng nếu có ở tất cả các giai đoạn, kết hợp với các phương thức điều trị khác, chẳng hạn như thuốc uống (baclofen), tiêm botulinum …
Các thuốc kháng viêm không steroid
Các thuốc kháng viêm không steroid (NSAID) có thể ngăn chặn sự tạo xương sớm ở bệnh nhân sau phẫu thuật và là can thiệp dự phòng cốt hoá lạc chỗ thường được sử dụng nhất. Tuy nhiên, liều tối ưu của các thuốc NSAID vẫn chưa được rõ.
Mặc dù không có NSAID nào cho thấy hiệu quả vượt trội so với thuốc khác, Indomethacin trước đây là tiêu chuẩn vàng và đã được chứng minh trong các thử nghiệm có đối chứng làm giảm tỷ lệ cốt hoá lạc chỗ ở bệnh nhân bị tổn thương tuỷ sống với liều 75 mg mỗi ngày trong 3 tuần.
Các chất ức chế chọn lọc Cyclooxygenase 2 (COX-2) cũng hiệu quả trong việc phòng ngừa cốt hoá lạc chỗ sau tổn thương tuỷ sống với tỷ lệ cốt hoá lạc chỗ thấp hơn 2,5 lần.
Với phòng ngừa sau phẫu thuật, indomethacin (thời gian sử dụng có thể đến 6 tuần) đã được chứng minh là có hiệu quả tương đương với xạ trị liều đơn quanh phẫu thuật.
Chiếu bức xạ tại chỗ
Được cho là phòng ngừa và điều trị cốt hoá lạc chỗ bằng cách thay đổi sự biệt hóa của các tế bào gốc trung mô thành các tạo cốt bào (nguyên bào xương).
Chiếu xạ quanh phẫu thuật trong vòng 24 giờ trước phẫu thuật đến 72 giờ sau phẫu thuật có thể phòng ngừa cốt hoá lạc chỗ sau phẫu thuật thay khớp háng toàn phần. Chiếu xạ quanh phẫu thuật ngoài thời gian này có thể làm tăng nguy cơ hình thành cốt hoá lạc chỗ.
Chiếu xạ sau phẫu thuật có thể phòng ngừa tái phát cốt hoá lạc chỗ sau khi phẫu thuật cắt bỏ. Ở bệnh nhân tổn thương tuỷ sống, một liều bức xạ duy nhất ở 700 cGy có thể ngăn ngừa sự tiến triển của cốt hoá lạc chỗ sớm.
Một mối quan ngại của việc sử dụng tia xạ để dự phòng là gây cứng khớp (dù tỉ lệ thấp) và khả năng gây ung thư.
Các biện pháp dự phòng khác
Mặc dù ban đầu biphosphonate được cho là có vai trò tiềm năng trong phòng ngừa cốt hoá lạc chỗ do nguyên nhân thần kinh, các phân tích sâu hơn đã không chứng minh được lợi ích rõ ràng của các loại thuốc này trong phòng ngừa cốt hoá lạc chỗ. Trên thực tế, liệu pháp chống hấp thụ (xương) có thể làm tăng nguy cơ phát triển cốt hoá lạc chỗ, hoặc đơn giản là có thể làm chậm lại chứ không phòng ngừa sự tạo. Điều trị kết hợp biphosphonate với indomethacin có thể gây rối loạn dạ dày-ruột, tiêu chảy, đau cơ và hoại tử xương (hiếm gặp).
Các phương thức điều trị mới như chất chủ vận thụ thể axit retinoic (RARγ ) cũng như các chất thu dọn các gốc tự do hiện đang được nghiên cứu.
Các biện pháp điều trị
Bên cạnh điều trị triệu chứng, tập tầm vận động … như các biện pháp dự phòng, có thể thực hiện cắt bỏ khối xương gây cản trở khi tương đối ổn định.
Cắt bỏ bằng phẫu thuật
Mục đích của phẫu thuật cắt bỏ là để đạt được những cải thiện về chức năng, tư thế, khả năng đi lại, sinh hoạt hàng ngày và phòng ngừa loét ép tái phát, nhất là khi không thể đạt được những điều này qua xử trí bảo tồn.
Thời điểm phẫu thuật còn nhiều tranh cãi và chưa có hướng dẫn xác định. Trước đây, phẫu thuật đã được trì hoãn cho đến khi cốt hoá lạc chỗ được xem là hoàn toàn ổn định (sau 12-18 tháng) để giảm thiểu nguy cơ tái phát. Tuy nhiên, có thể phẫu thuật sớm (sau 6 tháng) với cốt hoá lạc chỗ tương đối ổn định để ngăn ngừa đau kéo dài, mất tầm vận động tăng tiến, loét ép và suy giảm chức năng tiếp tục, và qua đó có thể dẫn đến cải thiện phục hồi thần kinh. Phẫu thuật trước 6 tháng có liên quan đến tỷ lệ cốt hoá lạc chỗ tái phát cao hơn.
Phẫu thuật cắt bỏ cốt hoá lạc chỗ có nguy cơ tái phát cao nếu không được điều trị dự phòng. Nên tránh cắt bỏ không hoàn toàn vì nguy cơ tái phát cao.
Sau phẫu thuật, bệnh nhân cần được tham gia một chương trình tập luyện phù hợp để cải thiện tầm vận động và chức năng kết hợp với dự phòng tái phát.
Phối hợp chăm sóc
Một phương pháp tiếp cận theo nhóm để quản lý y tế có thể bao gồm bác sĩ chăm sóc chính, bác sĩ PHCN, bác sĩ phẫu thuật, kỹ thuật viên vật lý trị liệu, kỹ thuật viên hoạt động trị liệu, và chuyên gia tâm lý. Nếu xem xét áp dụng chiếu tia xạ được để phòng ngừa thì nhóm bao gồm cả bác sĩ khoa ung bướu. Điều phối chăm sóc cần thực hiện cùng với người bệnh và người chăm sóc nếu được.
Giáo dục bệnh nhân & gia đình
Cả bệnh nhân và gia đình cần được giáo dục về sự tiến triển của cốt hoá lạc chỗ và các biến chứng tiềm ẩn của nó, bao gồm giảm tầm vận động cùng với các hạn chế về chức năng cũng như bệnh thần kinh ngoại vi. Họ cũng cần biết về các lựa chọn phòng ngừa và điều trị ở từng giai đoạn của bệnh.
XEM THÊM TRƯỜNG HỢP CỐT HOÁ LẠC CHỖ SAU CHẤN THƯƠNG: https://vimeo.com/247025449
TÀI LIỆU THAM KHẢO:
- Heterotopic Ossification: A Comprehensive Review. JBMR Plus. 2019 Apr; 3(4): e10172. Authors: Carolyn Meyers, Jeffrey Lisiecki, Sarah Miller, Adam Levin, Laura Fayad, Catherine Ding, Takashi Sono, Edward McCarthy,Benjamin Levi, and Aaron W James
- Heterotopic Ossification. Author(s): Justin Weppner, DO, Justin Tu, MD, Emily Hillaker, DO, Michael Bova, MD, Taylor Lee Lonjin, OMS-IV. Originally published: November 5, 2012 Last updated: March 11, 2021. https://now.aapmr.org/heterotopic-ossifications/







