XEM THÊM: GIẢI PHẪU CHỨC NĂNG VÙNG CÁNH -CẲNG TAY. XƯƠNG VÀ KHỚP
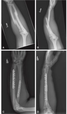
Gãy thân xương quay và xương trụ
Đại cương
Xương quay và xương trụ tạo nên các xương cẳng tay và tạo các khớp nối ở khuỷu tay và cổ tay. Xương trụ hầu như có thể được xem là một xương thẳng trong khi xương quay có độ cong được gọi là cung xương quay. Màng gian cốt chắc chắn giữa hai xương cẳng tay lại với nhau.
Một số trường hợp gãy xương cẳng tay đi kèm với trật khớp ở phía gần hoặc xa chỗ gãy.
- Gãy xương trụ kèm theo trật khớp chỏm quay được gọi là gãy trật khớp Monteggia.
- Gãy xương quay kèm theo sự gián đoạn/trật khớp của khớp quay trụ xa được gọi là gãy trật khớp Galeazzi.
Ở người lớn, gãy xương quay và xương trụ hiếm khi được điều trị không phẫu thuật và không có nghiên cứu hiện tại nào so sánh kết quả của điều trị không phẫu thuật và phẫu thuật đối với gãy xương không di lệch ở cẳng tay (Schutle 2014).
Nói chung, gãy ở xương quay và xương trụ được cố định bằng các phương pháp trực tiếp như mổ hở cố định bên trong (ORIF) bằng nẹp vít hoặc các phương pháp gián tiếp như đinh nội tủy. Trường hợp có tổn thương mô mềm đáng kể, có thể đặt dụng cụ cố định ngoài để cố định xương gãy.

Sau phẫu thuật, cẳng tay có thể được đặt cố định với nẹp cho đến khi cắt chỉ. Lưu ý kiểm soát phù nề sớm. Bệnh nhân được hướng dẫn không mang trọng lượng lên chi đó cho đến khi xương lành, thường là từ sáu đến tám tuần. Khuyến khích các bài tập tầm vận động của các ngón tay, cổ tay và khuỷu tay trong suốt quá trình hậu phẫu. Sau khi xương đã lành hẳn, có thể bắt đầu tập các bài tập tăng cường sức mạnh cơ để lấy lại cơ lực đã mất do hạn chế hoạt động.
Sau đây là chương trình tập luyện cho gãy hai xương cẳng tay.
Chương trình tập PHCN: Gãy Hai Xương Cẳng Tay (Boland 2011)
Giai đoạn I: (Tuần 0–2)
- Khuỷu tay bệnh nhân được đặt trong nẹp và bảo vệ vết mổ
- Cắt chỉ vào tuần thứ hai.
- Khuyến khích nâng cao chi
- Kiểm soát phù nề và tập tầm vận động các ngón tay
Giai đoạn II: (Tuần 2–6)
- Tập tầm vận động chủ động và chủ động trợ giúp khuỷu, cẳng tay và cổ tay
- Không xoắn vặn (sấp ngửa) cẳng tay lặp lại
- Hạn chế mang trọng lượng (<2 kg hoặc không mang trọng lượng).
Giai đoạn III: (Tuần 6 trở đi)
- Cố gắng lấy lại khả năng vận động trước khi phẫu thuật nếu chưa đạt được.
- Khi xương đã liền, cho phép các hoạt động nâng đồ vật và xoắn vặn.
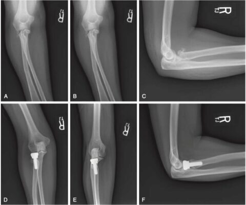
Gãy Cổ Và Chỏm Xương Quay
Đại cương
Khuỷu tay là khớp nối của đầu dưới của xương cánh tay và đầu trên của xương trụ và xương quay. Khớp cánh tay trụ được xem là một khớp kiểu bản lề. Khớp cánh tay quay được xem là khớp xoay. Khớp thứ ba là khớp giữa đài quay và đầu trên xương trụ.
Kết hợp lại, các loại khớp khác nhau của khuỷu tay cho phép gập và duỗi cũng như quay sấp và quay ngửa.
Tầm vận động đầy đủ bình thường của khuỷu tay:
- Ở nữ từ 20 đến 44 tuổi là gấp 150,0 độ gấp và 4,7 độ duỗi.
- Ở nam, tầm vận động bình thường là gấp 144,6 độ và duỗi 0,8 độ
- Độ quay sấp và quay ngửa bình thường ở phụ nữ lần lượt là 82,0 độ và 90,6
- Ở nam giới, tầm độ quay sấp bình thường là 76,9 độ và 85,0 độ quay ngửa (www.cdc.gov/ncbddd/jointrom/).
Tầm vận động này giảm dần theo độ tuổi.
XEM THÊM: ĐO TẦM VẬN ĐỘNG KHỚP: PHỨC HỢP VAI VÀ KHUỶU, CẲNG TAY
Các dây chằng xung quanh và bao khớp khuỷu tay đóng vai trò quan trọng trong sự ổn định vốn có của khuỷu tay. Dây chằng bên trong (MCL) và dây chằng bên ngoài (LCL) rất quan trọng cho sự ổn định của khuỷu tay khi chịu lực ép vẹo ngoài và vẹo trong. Dây chằng vòng quay là một thành phần làm vững quan trọng để giữ cho chỏm quay và bản thân chỏm quay là một thành phần làm vững thứ cấp quan trọng đối với áp lực vẹo ngoài của khuỷu tay (Morrey 1983). Bao khớp phía trước cũng rất quan trọng trong việc ổn định khuỷu tay (Morrey 1983).
Chỏm xương quay khớp với chỏm con ở khuỷu tay và có thể bị tổn thương trong gãy cổ hoặc chỏm xương quay đơn độc hoặc kết hợp trong các gãy xương ở cẳng tay hoặc trật khớp khuỷu. Phần lớn các trường hợp gãy xương đơn độc này có thể được điều trị không phẫu thuật nếu không có cản trở vận động hoặc khoảng cách khớp ít hơn 2 mm. Ban đầu, cho bệnh nhân đeo đai đơn giản để giảm đau và sau đó khuyến khích bắt đầu vận động ngay lập tức để phòng ngừa cứng khớp. Vận động có thể bị cản trở do chảy máu khớp phát triển do gãy xương và có thể cần chọc hút khớp để giảm thể tích máu nhằm tạo thuận cho vận động sớm. Khuyến khích các bài tập tầm vận động thụ động và chủ động sớm, và hạn chế mang trọng lượng trong sáu đến tám tuần đầu tiên cho đến khi đạt được sự liền xương.
Đối với những trường hợp gãy xương cần điều trị bằng phẫu thuật, phương pháp điều trị sẽ phụ thuộc vào mức độ tổn thương. Điều trị phẫu thuật bao gồm cố định bên trong bằng nẹp vít với mổ hở, cắt bỏ chỏm quay hoặc thay thế đầu quay bằng thiết bị chỏm nhân tạo. Cắt bỏ chỏm quay mà không thay thế là một lựa chọn khi dây chằng bên và màng gian cốt còn tốt, mặc dù các nghiên cứu về kết quả lâu dài cho thấy những kết quả thành công trái ngược nhau (Tejwani 2007). Đối với những người trẻ tuổi, việc lựa chọn cố định bằng vít hay thay thế phụ thuộc vào mức độ gãy nát.

Trong các trường hợp gãy xương quay đơn độc không liên quan đến chấn thương dây chằng ở khuỷu tay, phương pháp phẫu thuật sẽ nhằm duy trì độ vững của mô mềm của khuỷu tay. Tập luyện sau phẫu thuật thường gồm các bài tập tầm vận động chủ động và chủ động có trợ giúp. Các bài tập thụ động không được khuyến khích. Không chịu trọng lượng trong 6 – 8 tuần cho đến khi đạt được sự liền xương và chỉ nên bắt đầu với sự đồng ý của bác sĩ phẫu thuật. Dây thần kinh gian cốt sau (posterior interosseous nerve, PIN) có thể bị tổn thương hoặc bị căng trong khi phẫu thuật và cần thông báo cho bác sĩ phẫu thuật nếu có triệu chứng tổn thương dây thần kinh này. Nếu có tổn thương dây chằng phối hợp, quy trình tập PHCN cần thay đổi phù hợp.
Chương trình tập PHCN: Gãy chỏm quay không kèm theo tổn thương hoặc sửa chữa dây chằng
Giai đoạn I (0–2 tuần)
- Chỏm quay được giữ bất động trong nẹp trong 1 đến 2 tuần
- Trường hợp thay chỏm quay mà không kèm theo tổn thương dây chằng có thể bắt đầu tập tầm vận động (ROM) nếu có thể chịu được vào ngày hậu phẫu đầu tiên
- Đeo đai đỡ cẳng tay để tạo sự thoải mái trong giai đoạn đầu sau mổ
- Tập tầm vận động chủ động và chủ động trợ giúp gấp và duỗi khuỷu tay
- Tránh làm căng ở mặt phẳng trán (vặn trong/vặn ngoài) bằng cách thực hiện ROM với cánh tay sát thân mình.
- Tránh gấp khuỷu kèm quay sấp.
- Tiếp theo có thể sử dụng một nẹp duỗi để tăng độ duỗi khuỷu
- Duy trì vận động của các khớp lân cận.
Giai đoạn II (2–6 tuần)
- Cắt chỉ khâu hoặc tháo ghim sau hai tuần
- Tiếp tục các bài tập ở Giai đoạn I.
- Bắt đầu tập quay sấp và ngửa chủ động và chủ động có trợ giúp.
- Đến cuối 6 tuần, đạt tầm vận động gấp và duỗi khuỷu đầy đủ
- Duy trì vận động của các khớp lân cận.
- Các giới hạn về hạn chế mang trọng lượng giảm theo quyết định của bác sĩ phẫu thuật.
Giai đoạn III (6 tuần trở lên)
- Tiếp tục bài tập trước.
- Vào khoảng tuần thứ 8, bệnh nhân thường đạt đủ tầm như trước mổ, kể cả quay ngửa và quay sấp.
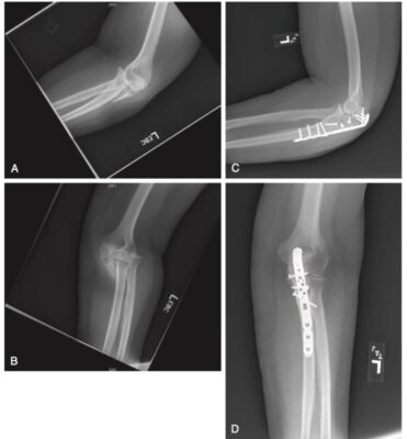
Gãy mỏm khuỷu
Khớp cánh tay trụ là khớp kiểu bản lề. Nó tạo thành hình bán nguyệt khi nó khớp với hố ròng rọc của đầu dưới xương cánh tay. Mỏm khuỷu tiếp khớp với hố mỏm khuỷu của xương cánh tay ở phía sau và mỏm vẹt khớp khớp với hố mỏm vẹt của xương cánh tay ở phía trước. Gãy mỏm khuỷu có thể xảy ra riêng lẻ hoặc cùng với các cấu trúc khác như chỏm quay, mỏm vẹt hoặc tổn thương các dây chằng bên của khuỷu tay. Các gãy xương đơn độc của xương trụ được phân loại theo phân loại Mayo (Morrey 1995).
Việc phân loại giúp đưa ra quyết định điều trị vì phân loại này dựa trên mức độ di lệch, số mảnh gãy, và độ vững của khuỷu tay. Gãy mỏm khuỷu di lệch tối thiểu và vững có thể được điều trị bằng các biện pháp không phẫu thuật. Thông thường khuỷu tay được đặt nẹp hoặc bó bột ở tư thế gập 90 độ trong 3 – 4 tuần với vận động chủ động nhẹ nhàng (Ring 2010).
Mức độ duỗi và gấp cũng như thời điểm bắt đầu tập tầm vận động chủ động có trợ giúp tùy theo quyết định của bác sĩ phẫu thuật và phụ thuộc vào đặc điểm lành thương và gãy xương ban đầu.
Gãy mỏm khuỷu ở người cao tuổi không thể sửa chữa được có thể được điều trị bằng cách cắt bỏ và nâng cơ tam đầu (Newman 2009). Trong trường hợp này, tập luyện sau mổ tương tự như sau phẫu thuật mổ khâu nối cơ tam đầu. Không bắt đầu tập luyện kháng trở cho đến tuần 12 sau phẫu thuật (Newman 2009).
Cố định mỏm khuỷu khi phẫu thuật bao gồm buộc dây, đinh (gãy đơn giản) hoặc nẹp vít (gãy phức tạp). Tập luyện có thể được bắt đầu một tuần sau phẫu thuật. Khuyến khích tập tầm vận động chủ động trợ giúp nhẹ nhàng. Tập chủ động chống lại kháng trở thường đợi đến khi có dấu hiệu liền xương (sau 6 – 8 tuần).

Chương trình PHCN sau gãy mỏm khuỷu (Newman 2009, Ring 2011)
Giai đoạn I (0–2 tuần)
- Nẹp mặt sau được đặt trong 1 đến 2 tuần
- ROM thụ động và chủ động có trợ giúp nhẹ nhàng được bắt đầu sau khi tháo nẹp.
- Đối với những gãy xương nhiều mảnh, không thể tạo được lực nén theo hướng, có thể đặt nẹp lâu hơn hai tuần và bắt đầu vận động muộn hơn.
Giai đoạn II (2–6 tuần)
- Cắt chỉ hoặc tháo ghim vết mổ vào tuần thứ hai
- Tiếp tục vận động khuỷu tay nhẹ nhàng, không tập các bài tập kháng lực
- Duy trì ROM vai, cổ tay và các ngón tay.
Giai đoạn III (6 tuần trở lên)
- Sau khi khẳng định đã liền xương, có thể bắt đầu các bài tập kháng lực nhẹ nhàng, và tăng dần.
- Giảm các hạn chế về mang trọng lượng khi đạt được sự liền xương
- Tăng tiến tâm vận động như trước khi phẫu thuật.
XEM THÊM: ĐIỀU TRỊ VÀ PHỤC HỒI CHỨC NĂNG TRẬT KHỚP KHUỶU
THAM KHẢO:
Charles E. Giangarra, Robert C. Manske. CLINICAL ORTHOPAEDIC REHABILITATION: A TEAM APPROACH, FOURTH EDITION. Copyright © 2018 by Elsevier, Inc.







