Xem lại Hội chứng Gân cơ Chóp xoay. Phần 1: Sinh lý bệnh
LƯỢNG GIÁ- CHẨN ĐOÁN
Hỏi bệnh
Bệnh lý cơ chóp xoay (CCX) thường gặp ở tuổi sau 40. Đa số bệnh nhân ở tuổi 55-85. Khoảng 15% bệnh nhân trên 70 tuổi đau vai có các tổn thương CCX.
Cần hỏi kỹ về nghề nghiệp và các hoạt động thể thao của người bệnh. Nếu có chấn thương, cần hỏi kỹ cơ chế tổn thương.
Đau là triệu chứng thường gặp nhất của bệnh lý CCX. 50% có khởi đầu đau vai dần dần, trong khi 50% còn lại có thể xác định sự kiện ban đầu gây đau. Cần hỏi kỹ về triệu chứng đau bao gồm khởi phát, liên quan đến chấn thương, vị trí, tính chất, cường độ, hướng lan, các xét nghiệm đã làm, điều trị trước đó và hiệu quả của điều trị. Một số đặc điểm của đau vai là:
- Đau thường ở trước bên và trên và lan đến chỗ bám của cơ delta với rách hoàn toàn.
- Đau gia tăng với các hoạt động đưa tay lên đầu hoặc gập ra trước.
- Đau làm bệnh nhân khó ngủ và gia tăng khi bệnh nhân nằm nghiêng bên đau.
Bên cạnh đau, các triệu chứng thường gặp khác là yếu và giới hạn vận động.
Khám lâm sàng:
Thăm khám vùng vai có hệ thống bao gồm nhìn, sờ xương và mô mềm, đánh giá tầm vận động (chủ động và thụ động), các nghiệm pháp đụng chạm và định vị gân, và các nghiệm pháp khác. Thăm khám bao gồm cả khám cột sống cổ, chi trên, khám thần kinh và mạch máu.
Nhìn:
Tìm các vết sẹo, màu sắc da, phù nề, các biến dạng và mất đối xứng hai bên. Đau kéo dài có thể phát hiện cơ trên gai, dưới gai teo rõ.
Sờ các cấu trúc xương và mô mềm, tìm kiếm các vùng đau.
Thường có đau khi ấn phía trước dưới mỏm cùng vai. Tìm các điểm đau liên quan đến các cơ chóp xoay (trigger point).
Sờ rãnh nhị đầu trong trường hợp viêm đầu dài gân cơ nhị đầu.
Đo tầm vận động vai:
Đánh giá cả tầm vận động (ROM: range of motion) chủ động và thụ động của vai, bao gồm các động tác dạng (bình thường 170-180°), khép (bình thường 30-45°), gập ra trước (160-180°), duỗi ra sau (45-50°), xoay ngoài (80-90°) và xoay trong (90- 110°).
Quan sát nhịp bả vai-cánh tay.

Khả năng vận động chủ động thường giảm, do đau hoặc do yếu cơ, đặc biệt là động tác dạng. Tìm cung đau (painful arc), nghĩa là đau hoặc không thể dạng do đau giữa góc 60-120° khi các gân cơ chóp xoay bị chạm với phần trước mỏm cùng vai và dây chằng quạ -mỏm cùng vai (hội chứng chạm).
Nếu đau nhiều hơn khi dạng trên 120° hoặc gập tối đa thì nghĩ đến một bệnh lý khớp cùng vai-đòn.
Xem thêm: Khám khớp Vai. Phần 1: Các bước cơ bản
Các nghiệm pháp đụng chạm:
Các nghiệm pháp đụng chạm dương tính do gây nên sự chạm giữa gân CCX với mặt dưới của cung quạ-mỏm cùng vai và gây đau. Ba nghiệm pháp thường dùng là:
- Nghiệm pháp đụng chạm Neer: Độ nhạy của nghiệm pháp này khoảng 89%.
- Nghiệm pháp Hawkins-Kennedy: Độ nhạy của nghiệm pháp này khoảng 87%.
- Nghiệm pháp Yocum: Độ nhạy của nghiệm pháp này chỉ đạt 78%. Kết hợp ba nghiệm pháp cho kết quả chính xác hơn

Các nghiệm pháp đánh giá gân chụp xoay:
Áp dụng co cơ đẳng trường có kháng từng CCX, có thể xác định vị trí gân bị tổn thương. Các nghiệm pháp này dương tính khi thử nghiệm gây đau hoặc yếu cơ. Sau đây là các nghiệm pháp thường dùng:
- Nghiệm pháp Jobe: dùng đánh giá gân cơ trên gai. Độ nhạy và độ đặc hiệu của nghiệm pháp này là 86% và 50%.
- Trường hợp tổn thương rách nặng nề gân cơ trên gai, nghiệm pháp cánh tay rơi (drop arm test) có thể dương tính.
- Nghiệm pháp Patte: Dùng để đánh giá cơ dưới gai (và cơ tròn bé). Độ nhạy của nghiệm pháp này đạt 92% nhưng độ đặc hiệu chỉ đạt 30%.
- Nghiệm pháp tách khỏi lưng (lift-off) của Gerber: Dùng để đánh giá gân cơ dưới vai.
- Nghiệm pháp lòng bàn tay lật ngửa (palm-up test)/Speed test: Dùng để đánh giá đầu dài gân cơ nhị đầu. Độ nhạy là 63% nhưng độ đặc hiệu thấp, chỉ đạt 35%.


Xem thêm: Khám khớp Vai. Phần 2: Các nghiệm pháp đặc biệt.
Chẩn đoán hình ảnh
Hình ảnh học cho phép khẳng định sự bất thường, mô tả mức độ và các dấu hiệu kèm theo.
Chụp X quang thông thường:
Mặc dù không đặc hiệu hoặc không nhạy lắm cho bệnh lý CCX, đây vẫn là xét nghiệm hình ảnh đầu tiên. Cần chụp phim hướng trước sau, bên và nách. Xét nghiệm này hữu ích nhất trong trường hợp chấn thương hoặc rách CCX hoàn toàn mạn tính.
Các dấu hiệu được trình bày ở bảng 1.
| Viêm gân | Rách một phần | Rách hoàn toàn | |
| Bình thường | x | x | x |
| Calci hoá mô mềm | x | x | x |
| Phì đại hoặc phẳng hoá củ lớn | x | x | x |
| Nang đầu xương cánh tay | x | x | x |
| Xơ hoá mỏm cùng vai | x | x | x |
| Gai mỏm cùng vai | x | x | x |
| Mỏm cùng vai loại II và III | x | x | x |
| Thoái hoá khớp cùng vai- đòn | x | x | x |
| Dịch chuyển đầu xương cánh tay lên trên (<6mm) | x |
Siêu âm chẩn đoán:
Mục đích chính của siêu âm là nghiên cứu mô mềm. Với người thực hiên giàu kinh nghiệm, siêu âm có độ nhạy 93-100% và độ đặc hiệu 85-97% đối với rách hoàn toàn và độ nhạy 69-93% với rách một phần.
Những kết quả này có thể so sánh ngang với MRI. Bốn tiêu chuẩn của bệnh lý CCX là không nhìn thấy CCX, không nhìn thấy một vùng ( biến mất cục bộ), mất liên tục, và ổ nghèo echo bất thường.

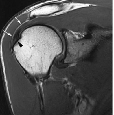
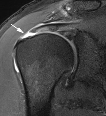
Chụp cộng hưởng từ (MRI):
Dành cho nghi ngờ rách CCX và không cải thiện triệu chứng dù điều trị đầy đủ 3-6 tuần. MRI có thể phát hiện nhiều tổn thương CCX từ thoái hoá đến rách hoàn toàn. MRI là phương pháp chẩn đoán hình ảnh tốt hơn nhiều phương pháp khác, đặc biệt là rách một phần. Nó có thể phát hiện rách trong gân hoặc rách gân mặt bao hoạt dịch, mà những phương pháp khác khó phát hiện. MRI cũng có thể ghi nhận những tổn thương mô mềm khác như cơ, dây chằng, bao khớp, sụn khớp, tuỷ xương.



XEM THÊM: TỰ ĐỌC MRI KHỚP VAI
Chụp khớp ổ chảo-cánh tay:
Chỉ định chính là để xác định rách CCX hoàn toàn (thường kết hợp với CT khớp). Rách hoàn toàn khi có sự nối thông giữa khoang khớp ổ chảo-cánh tay và bao hoạt dịch dưới cơ delta. Với rách một phần, tốt hơn là đánh giá bằng siêu âm hoặc MRI.
Các xét nghiệm khác
Chẩn đoán điện: Trong trường hợp cần phân biệt với bệnh lý rễ cổ
Các chẩn đoán phân biệt
Những nguyên nhân/bệnh lý không do thần kinh
- Bệnh lý gân cơ nhị đầu
- Rách sụn viền
- Bệnh lý khớp cùng vai-đòn
- Gãy xương
- Thoái hoá khớp
- Viêm dính bao khớp (M75.0): Lưu ý đau và giảm vận động một thời gian dài cũng có thể gây biến chứng viêm dính bao khớp vai (vai đông cứng) và lâm sàng biểu hiện bệnh cảnh phối hợp.
- Chấn thương cơ
- Khối u
Những nguyên nhân thần kinh
- Bệnh lý đám rối cánh tay, chấn thương hoặc không chấn thương (như là viêm dây thần kinh cánh tay cấp (Parsonage-Turner)
- Bệnh lý rễ cổ
- Hội chứng lối ra ngực
- Bệnh dây thần kinh trên vai
Lượng giá chức năng
Bệnh nhân bị hội chứng chóp xoay thường giới hạn các hoạt động đưa tay lên đầu (như ném bóng, sơn quét trần, lấy đồ vật trên kệ cao), nhất là khi cần dạng trên 90 độ. Đau cũng có thể xảy ra với các hoạt động đòi hỏi xoay trong hoặc xoay ngoài vai (như cài áo ngực, gãi lưng, chải đầu…).
Một số thang đo lượng giá vùng vai có thể sử dụng:
- Simple Shoulder Test Test (SST: Đánh giá Vai Đơn giản).
- Disabilities of the Arm, Shoulder, and Hand (DASH)
- QuickDASH
- SPADI (Shoulder Pain and Disability Index)
- Constant–Murley score
- Oxford Shoulder Score
ĐIỀU TRỊ
Điều trị triệu chứng (giảm đau)
Chế độ vận động, sinh hoạt:
Tránh các vận động lập lại hoặc tư thế kéo dài gây đau (dạng hoặc gập vai quá 60-90 độ), nhất là trong giai đoạn cấp.
| Hướng dẫn bệnh nhân để phòng ngừa tái phát đau vai |
| ■ Trước khi tập thể dục hoặc làm việc, hãy xoa bóp gân hoặc cơ liên quan; sau đó là tập kháng trở đẳng trường và tập tầm vận động và kéo dãn cơ. |
| ■ Hãy có những khoảng nghỉ nếu hoạt động có tính chất lặp lại. Nếu được, hãy xen kẽ hoạt động mạnh, có thể gây đau với các loại vận động khác. |
| ■ Giữ tư thế tốt; điều chỉnh chỗ ngồi hoặc chỗ làm việc để giảm thiểu căng cơ. Nếu liên quan đến thể thao, hãy tìm kiếm các hướng dẫn huấn luyện về các kỹ thuật phù hợp hoặc điều chỉnh thiết bị để an toàn về cơ học. |
| ■ Trước khi bắt đầu một hoạt động mới hoặc quay lại một hoạt động mà chưa được tập lại, hãy bắt đầu một chương trình tập luyện và làm mạnh cơ. |
Thuốc giảm đau
Các thuốc giảm đau đơn thuần như acetaminophen được sử dụng đầu tiên vì giá thành thấp, vì chỉ cần hiệu quả giảm đau, vì độc tính của kháng viêm không steroid, và vì đặc điểm mạn tính của bệnh lý thoái hoá CCX. Ngoài ra, theo các nghiên cứu gần đây, hiệu quả của thuốc giảm đau (đơn thuần và kháng viêm không steroid) chỉ hơn giả dược trong thời gian ngắn (2 tuần), mà không có sự khác biệt có ý nghĩa thống kê vào tuần thứ 4, do đó không nên sử dụng kéo dài. Trong trường hợp đau kéo dài, nên áp dụng các phương thức điều trị khác.
Các biện pháp không dùng thuốc:
Các phương thức điều trị vật lý (nhiệt lạnh, nhiệt nóng, siêu âm điều trị, điện dẫn thuốc, kích thích thần kinh bằng điện qua da (TENS), điện từ trị liệu, laser năng lượng thấp) và xoa bóp, châm cứu đã được sử dụng để điều trị đau vai, trong đó có bệnh lý CCX. Chúng có thể có tác dụng trong thời gian ngắn, tuy nhiên, ít có nghiên cứu thiết kế tốt đánh giá hiệu quả lâu dài của những phương thức điều trị này.

Một số nghiên cứu cho thấy hiệu quả của liệu pháp shock ngoài cơ thể với triệu chứng đau và tầm vận động trong bệnh lý gân cơ chóp xoay.
Tiêm corticoid dưới mỏm cùng vai:
Tiêm lidocain kết hợp với một corticosteroid như triamcinolon có ích trong điều trị triệu chứng và giúp thầy thuốc phân biệt hội chứng chạm với những bệnh lý khác. Chỉ định cho can thiệp này bao gồm:
- Bệnh lý CCX không cải thiện với điều trị bảo tồn như trên, gồm cả kháng viêm không steroid và vật lý trị liệu.
- Bệnh nhân lớn tuổi, không thích hợp cho phẫu thuật.
- Để chẩn đoán. Nếu bệnh nhân không cải thiện sau tiêm thuốc dưới mỏm cùng vai và chụp X quang bình thường, khám lâm sàng mơ hồ thì ít nghĩ đến bệnh lý CCX.
Tỷ lệ thành công khoảng 60%. Một điểm cần lưu ý là không nên tiêm corticoid quá 2 lần để tránh những tác dụng xấu về sau.

Một số kỹ thuật khác:
- Chọc gân qua da dưới hướng dẫn của siêu âm. Mục đích là tạo các lỗ nhỏ trong gân bị tổn thương để kích thích phản ứng làm lành và gia tăng sửa chữa gân cơ. Là một thủ thuật an toàn nhưng không ưu việt hơn tiêm corticoid dưới mỏm cùng vai.
- Tiêm huyết tương giàu tiểu cầu vào gân cơ tổn thương: Nhằm tạo thuận quá trình lành của gân cơ vì chứa nhiều yếu tố tăng trưởng xuất phát từ tiểu cầu, các yếu tố tăng trưởng chuyển dạng, yếu tố tăng trưởng nội mô… Hiện chưa đủ nghiên cứu có đối chứng để đánh giá kết quả bệnh lý gân cơ chóp xoay.
Tập luyện
Một chương trình tập luyện thích hợp là nền tảng của điều trị bảo tồn.
Mục đích của chương trình tập luyện là phục hồi tầm vận động vai, gia tăng chức năng khớp ổ chảo-cánh tay và bả vai-lồng ngực để bình thường hoá vận động bả vai-cánh tay, và giúp làm vững khớp vai. Tập luyện cần chú ý làm mạnh các CCX (xoay trong, xoay ngoài, dạng) và các cơ hạ đầu xương cánh tay để giúp đầu xương cánh tay trở về vị trí trung tâm ổ khớp như bình thường, tránh sự va chạm của gân chụp xoay với mặt dưới mỏm cùng vai gây tổn thương tiến triển. Với những vận động viên, đôi khi cần có những bài tập đặc biệt.
Các giai đoạn tập luyện cho bệnh lý chụp xoay cũng theo trình tự tập luyện thông thường của bệnh lý cơ xương khớp và bao gồm:
Tầm vận động và kiểm soát đau
Trong giai đoạn đầu của phục hồi chức năng, việc kiểm soát đau và tình trạng viêm là rất quan trọng để các mô liên quan có thể bắt đầu quá trình làm lành, giúp bệnh nhân tăng tiến tới một chương trình phục hồi chức năng tích cực hơn. Các kỹ thuật vận động bao gồm di động mô mềm, tầm vận động thụ động, di động khớp vai nhằm mục đích cải thiện vận động và giảm đau.

Gia tăng tính mềm dẻo và Sức mạnh cơ
Phục hồi tầm vận động cho phức hợp vai bằng cách thực hiện các bài tập chủ động có trợ giúp như bài tập với gậy, ròng rọc trong tầm không đau. Tiếp tục phục hồi tầm vận động thụ động qua các kỹ thuật di động mô mềm, di động khớp.
Gia tăng tầm vận động bằng các kỹ thuật kéo dãn nhẹ khớp vai với những cấu trúc bị căng, co rút, chú trọng vào phần bao khớp vai và chóp xoay phía sau, cơ ngực bé. Căng phần sau bao khớp có thể gây ra sự dịch chuyển ra phía trước hoặc phía trên của đầu trên xương cánh tay, gây đụng chạm. Căng cơ ngực bé có thể làm cho xương bả bị nghiêng về phía trước, dẫn đến sự mất cân bằng cơ của cơ thang bó dưới và giảm khoảng dưới mỏm cùng vai.

Tập mạnh các cơ bả vai chú trọng vào các nhóm cơ thang bó giữa, cơ thang bó dưới và cơ răng trước vì chúng đóng một vai trò quan trọng trong việc kiểm soát xương bả vai và ổn định khớp bả vai lồng ngực.
Cũng có thể bắt đầu tập mạnh các cơ chóp xoay trong giai đoạn này. Tập mạnh các cơ xoay trong và xoay ngoài ở góc dạng vai 30 độ cho phép tránh hiện tượng ép lên gân cơ trên gai (“wringing out” effect) ở mặt khớp khi cánh tay đặt ở góc 0 độ và tạo thuận máu nuôi dưỡng gân.
Cần tránh tập cơ trên gai ở tư thế cốc rỗng (empty can) với ngón cái hướng xuống và cánh tay xoay trong bởi vì bài tập này có thể gây đụng chạm dưới mỏm cùng vai. Bài tập cốc đầy (full can) với ngón cái hướng lên vì tư thế này huy động cơ trên gai tốt hơn và chức năng hơn.

Làm mạnh cơ nâng cao
Giai đoạn tiếp theo chú trọng vào làm mạnh cơ nâng cao các cơ ổn định bả vai và cơ chóp xoay. Các bài tập cảm thụ bản thể, gia tăng sự kiểm soát thần kinh-cơ và tập chức năng cũng có thể được kết hợp trong giai đoạn này. Các bài tập bao gồm cả chuỗi động mở và chuỗi đóng. Các hoạt động chức năng nên hướng tới các hoạt động cụ thể mà bệnh nhân muốn quay trở lại, chẳng hạn như các nhiệm vụ liên quan đến công việc, hoạt động tại nhà hoặc cụ thể cho môn thể thao.

Xem thêm: Các bài tập phục hồi chức năng cho Phức hợp Vai
Phẫu thuật
Không phải tất cả các trường hợp rách CCX được chẩn đoán trên lâm sàng, hoặc bằng chụp khớp, MRI đều cần phải phẫu thuật. Rách CCX không phải là một chỉ định phẫu thuật. Trên thực tế, các thăm dò sử dụng MRI đã cho thấy một tần suất cao rách một phần hoặc hoàn toàn CCX ở những người lớn không triệu chứng.
Hầu hết bệnh nhân lớn tuổi bị hội chứng chạm và rách CCX vẫn khoẻ mà không cần phẫu thuật. Dù vậy cần xem xét phẫu thuật ở bệnh nhân không cải thiện sau sáu tháng điều trị bảo tồn hay ở bệnh nhân dưới 60 tuổi rách CCX nặng ảnh hưởng đến chức năng, với điều kiện tầm vận động khớp thụ động còn tốt. Với bệnh nhân trên 60 tuổi, lời khuyên chung là điều trị bảo tồn.
Trước khi có nội soi khớp, nhiều phương thức phẫu thuật được thực hiện sử dụng phương thức chuẩn của Neer, giải ép CCX bằng cắt phần trước mỏm cùng với 2 cm qua vết mổ hở. Tiếp cận CCX qua cắt cơ delta, do đó phá vỡ chỗ bám của cơ delta và để lại một vết sẹo dài đến 5 cm. Trên bệnh nhân thích hợp, tạo hình mỏm cùng vai (acromioplasty) qua nội soi khớp có thuận lợi là không phá hỏng cơ delta, và có thể thăm dò thêm khớp ổ chảo- cánh tay.
Sau phẫu thuật, vai bệnh nhân thường được bất động một thời gian bằng đai (nên dạng một góc 20-40 độ với gối chêm) tuỳ theo kích thước rách chóp xoay.
| Kích thước vết rách | Sử dụng đai | Bắt đầu vận động chủ động |
| Một phần đến nhỏ (<1cm) | 2 -4 tuần | 4 tuần |
| Vừa đến rộng (2-4 cm) | 4-6 tuần | 6 tuần |
| Nhiều/Massive (>5cm) | 6-8 tuần | 8 tuần |
Để đảm bảo kết quả phẫu thuật, bệnh nhân cần tuân theo một chương trình tập luyện gồm nhiều giai đoạn tăng tiến với thời gian từ 4-6 tháng.
Xem thêm:
Slideshow: Chương trình Tập luyện sau phẫu thuật chóp xoay
Protocol tập luyện sau mổ nội soi chóp xoay
KẾT LUẬN
Bệnh lý CCX (viêm gân, rách) là nguyên nhân gây đau vai khá thường gặp ở những người trên 40 tuổi. Các bước hỏi bệnh, thăm khám tỉ mỉ kết hợp với chụp X quang và siêu âm thường cho phép chẩn đoán tương đối chính xác. Trong trường hợp cần thiết, những xét nghiệm hình ảnh cao cấp hơn cung cấp những thông tin giá trị cho chẩn đoán và định hướng điều trị. Đa số bệnh nhân đáp ứng với một chương trình điều trị bảo tồn. Một số bệnh nhân thích hợp có được sự cải thiện triệu chứng hoặc chức năng nhờ phẫu thuật.







